ILD איזה סיווג היסטולוגי ניתן לעשות ל?
תמונה של צלקות ופיברוזיס, מעט תאי דלקת
תמונה של הרבה תאי דלקת, תמונה אחידה.
דלקת של הברונכיולות.
ILD אילו ממצאים נראה בבדיקה פיזיקלית ל?
ILD אילו ממצאים של בדיקות מעבדה מתאימים ל?
מה המאפיינים של צילומי רנטגן וסיטי במחלות אינטרסטיציאליות?
רנטגן-
סיטי-

איך משמשת בדיקת תפקודי נשימה במחלות פרנכימטיות?
תפקיד פרוגנוסטי- ככל שתהיה תוצאה פחות תקינה הפרוגנוזה גרועה יותר.
FEV, FVC נצפה לראות ערכים נמוכים ב
הנפחים לרוב יהיו ירודים בהכל
במחלות אלו תהיה פגיעה בדפוזיה, משקף את הבעיה בתווך בין האלבאולה לקפילרה
תהיה היפוקסיה וסטורציה ירודה.
בהתחילה תהיה היפוקסמיה ובססת נשימתית, לאחר מכן היפוקסמיה וחמצת נשימתית.
ILD מה הטיפול ב?
מחלות שנוטות להתקדם ואי אפשר להחזיר לאחור את הפיברוזיס.
אפשר לתת טיפולים תומכים: חמצן, הפסקת עישון, חיסונים שימנעו זיהומיים משניים, טיפולי מניעה לא״ס לב ימין.
שיקום ריאות- התעמלות שמחזקת את מערכת הנשימה.ֿ
אפשר לתת סטרואידים, תרופות אימונוסופרסיביות.
תרופות אנטיפיברוטיות שמאטות את התקדמות המחלה
חלק גדול מהחולים מדרדר וזקוק להשתלת ריאה.
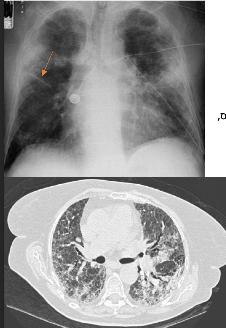
IPF – Idiopathic Pulmonary Fibrosis מה המאפיינים של?
תת סוג של מחלות פרנכימטיות שמאופיין בפרוגנוזה גרועה ותגובה לא טובה לטיפולים. לא יודעים מה הסיבה- אדיופתי.
גברים, 50+, מעשנים, עם ריפלוקס, לאחר חשיפה לאזבסט.
בתחילה תהיה דיספניה במאמץ ושיעול יבש, בהמשך דיספניה במנוחה ושיעול ליחתי- הליחה לא יכולה להתפנות מדרכי האוויר עקב הצלקות (ברונכיאקטזיה).
סיטי עוזר לאבחן ולא תמיד צריך ביופסיה.
honey comb יש
סיטי וביופסיה יהיו הטרוגניים- אזורים בריאים לצד חולים. לא נראה תאי דלקת.
בביופסיה סיבי קולגן ייצבעו בכחול (בחץ)
טיפול- הפסקת עישון וחשיפה לאלרגנים, טיפול ברפלוקס, תרופות אנטיפיברוטיות. סטואידים לא יעזרו כי המחלה לא דלקתית.
נותנים סטרואידים רק אם יש התלקחות שמערבת גורם דלקתי (זיהום, תסחיף ריאתי).
השתלה היא הטיפול היחידי האפקטיבי, הריאות שורדות ל10 שנים ודורשות הרבה תרופות למניעת דחייה עקב החשיפה המרובה שלהם לסביבה חיצונים.

)non specific interstitial Pneumonia( NSIP מה המאפיינים של?
קשור בדכ למחלה סיסטמית אחרת- מחלות רקמת חיבור,
תגובה לתרופה, IBD
דלקת ריאות היפרסנסיטיבית- תגובת גיוס לימפוציטים עקב חשיפה לחומר אורגני, תגובה דלקתית ולא חיידקית.
CRP מתבטא בלויקוציטוזיס, נוגדן מוגבר
בצעירים, נשים, לא מעשנים.
Ground glass בסיטי יהיה מראה של
טיפול- אימונוסופרסיבי במינון גבוה ממושך, עוצר את פעולות מערכת החיסון.

CTD- ILD אילו מחלות סיסטמיות מערבות את הריאות?
מחלות ראומטיות של רקמת החיבור-
סקלרודרמה, ראומטיק ארתריטיס, לופוס, פולימיוטיזיס ודרמיוטיזיס, סיורגן

BOOP /COP מה המאפיינים של.?
ILD סוג נוסף של
מצב תגובתי לזיהום/ חשיפה לחומר/ גידול ממאיר.
הדפוס הוא ברונכיולה שנמחקה עקב רקמת גרעון, ומסביבה יש דלקת.
בסיטי רואים קונסולידציה- תסנין לריאה שמסתיר אותה.

hypersensitive pneumonitis – HP
מה התסמינים, פתופיזיולוגיה, אבחון וסיווג
שאיפה של חומרים אלרגניים הגורמים לאלרגיה עם
8CD הסננה דלקתית שמתווכת עי לימפוציטים
שיעול, קוצר נשימה, תלונות כלליות.
בתפקודי נשימה רואים עדות למחלה רסטרקטיבית בפרנכימת הריאה ולאחר מכן ניתן לקחת ביופסיה ע״י
BAL שטיפה אלוואולרית
סיווג:
טיפול- הרחקת הגורם האלרגני, סטרואידים, במחלה פיברוטית- טיפול אנטיפיברוטי.

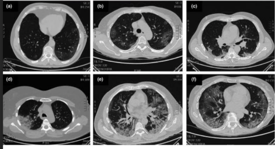
COVID 19 איך נראית פגיעה ריאתית לאחר?
מה הטיפול?
ground glass opacity בשתי הריאות
לעיתים יש קונסולידציה רצינית
טיפול:
סימפטומים קלים- בבית
מצב בינוני- אשפוז, נוגדנים מונוקלונלים
קשה- טכיפניאה מעל 30 לדקה, סטורציה מתחת ל93, הסכנה העיקרית היא התגובה החיסונית- צריך לטפל בציטוקינים עי סטרואידים.
remdesivir- מונעת רפליקציה של הוירוס.
תסמונת פוסט קוביד- הנזקים הריאתיים יכולים להשאיר נכות חמורה אצל המחלימים כמו שינויים אינטרסטיציאליים.
