Image Flashcards

(102 cards)

1
Q

Defined Dextrorotation?

A

is the same as dextrocardia with the apex pointed to the right side but the heart rotated and now th LV is the most anterior Chamber of the heart

How well did you know this?
1
Not at all
2
3
4
5
Perfectly
2
Q

What does CC-TGA means?

A

Congenital corrected Transposition of the great Arteries.

Also called L-Loop

How well did you know this?
1
Not at all
2
3
4
5
Perfectly
3
Q

Characteristis of Shone’s Complex

A

-Subavalvular mitral ring or membranate
-Parachute MV
-Subvalvular Aortic Stenosis or membranate
-Coartaction of the Aorta

How well did you know this?
1
Not at all
2
3
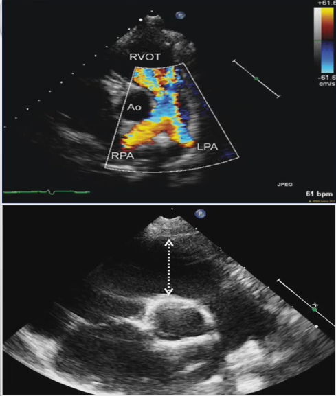
4
5
Perfectly
4
Q

DX

A

Mitral valve cleft. (partial AVSD)

Part of the valve is Absent. t

How well did you know this?
1
Not at all
2
3
4
5
Perfectly
5
Q

DX

A

Mesocardia (the apex is pointed to the central)

How well did you know this?
1
Not at all
2
3
4
5
Perfectly
6
Q

Doppler caracterist of Coarctation of Aorta

A

-Increase Peak Velocity in systole and
-Antegrade flow in Diastoly or pandiastolic foward flow
(so flow that keeps going during sistole)

How well did you know this?
1
Not at all
2
3
4
5
Perfectly
7
Q

most anterior vale of the heart

A

Pulmonary Valve

How well did you know this?
1
Not at all
2
3
4
5
Perfectly
8
Q

DX

A

Pulmonary regurgitation, (no pulmonary valve) the regurgitation star before the pulmonary valve

this is Tetrology of fallot after repair

How well did you know this?
1
Not at all
2
3
4
5
Perfectly
9
Q

The IVC and The Ao run together on either side of the spine

A

Right Isomerosis

How well did you know this?
1
Not at all
2
3
4
5
Perfectly
10
Q

where do we see Mitral V leaflet Cleff

A

Primun Atrail Deffect
Or by itself

How well did you know this?
1
Not at all
2
3
4
5
Perfectly
11
Q

CC-TGA is associated with?

A

Dextrocardia
Complet Heart Block

How well did you know this?
1
Not at all
2
3
4
5
Perfectly
12
Q

Name of the Procedure to Correct Single Ventricle Profile?

A

Glenn Operation

How well did you know this?
1
Not at all
2
3
4
5
Perfectly
13
Q

Defined true Dextrocardia ?

A

the Heart is in the rigth side and the apex is pointing to the apendice (to the right). The RV is still the most anterios chamber of the heart (as normal)

How well did you know this?
1
Not at all
2
3
4
5
Perfectly
14
Q

DX

A

Ostium secundum shunt
Left to Right shunt

How well did you know this?
1
Not at all
2
3
4
5
Perfectly
15
Q

What is the most commun VSD?

A

Perimembranosus VSD

How well did you know this?
1
Not at all
2
3
4
5
Perfectly
16
Q

What does RAC sing Means?

A

Retroaortic Artery Coronary

Iqual sign =

How well did you know this?
1
Not at all
2
3
4
5
Perfectly
17
Q

Defined Dextroposition

A

the heart is in normal position with the apex pointed to the left as normal but the moved to the left or the right

How well did you know this?
1
Not at all
2
3
4
5
Perfectly
18
Q

how to calculates Shunt Volume of th ASD/ VSD

A

Shunt V= Qp - Qs

Qp= pulmonary flow
Qs+ systemic Flow

How well did you know this?
1
Not at all
2
3
4
5
Perfectly
19
Q

DX

A

PArachute Papilary muscel. you can see just one papilary muscle

How well did you know this?
1
Not at all
2
3
4
5
Perfectly
20
Q

What is PDA?

A

Patent ductus arteriosus, conection between aorta and pulmonary arteri. so it is a left ot right shunt

How well did you know this?
1
Not at all
2
3
4
5
Perfectly
21
Q

In Both TGA (D-TGA / CC-TGA) the aorta is conected to the RV and the Aorta is Anterior to the Pulmonary

A

True

How well did you know this?
1
Not at all
2
3
4
5
Perfectly
22
Q

Complet Heart Block is associted with?

A

cc-TGA / L-loop

How well did you know this?
1
Not at all
2
3
4
5
Perfectly
23
Q

DX

A

Perimembranosus septsal deffect

5C, basal is perimembranosus and mind an apical is trabecular

How well did you know this?
1
Not at all
2
3
4
5
Perfectly
24
Q

Aorta on the right and IVC on the left?

A

Situs inversus
Mirror image of the atrial
LA is on the right and the RA is on the left

If you see the image remember like a regular echo where is the LV

How well did you know this?
1
Not at all
2
3
4
5
Perfectly
25
DX
Perimembranosus VSD
26
Hypopastic left Heart Syndrome . Defined
it is a Single Ventricle Heart Deffect where (the left ventricle does not develop porpely)
27
What is the most congenital lesion associated with Desxtrocardia ?
cc-TGA - L-Loop
28
In D-TGA or D-Loop where is the morfological RV
on the right. because the ventricle are located normaly but the Pulmonary and Aorta Artery are Swich
29
How could it the RV be adentified?
Moderated band The TV is more apical compared with the mv More trabeculation
30
How is the pressure gradiant and peak velocity in Valvular regurgitation?
LOW..
31
Most common Coronary Artery Anomalous?
CX originated from the RCA It's bening is the CX is Retroartic so it passes from the back to the Aorta
32
there is a Azigos continuation of the IVC located retroperitonela to the Aorta. so you dont see the IVC
Left Isomerosis
33
DX
Infracristal deffect (VSD)
34
DX
Dextroposition
35
Complication of CC-TGA/ L-Loop
Systemic Ventricul Dysfunction (because the RV which in this case It is in the Left side is not strong enough to contract properly Complet Heart Block Systemic valve is this case TV Regurgitation
36
Most common Cyanotic Congenital Heart desease?
Tetralogy of Fallot
37
DX
Parachute-LIKE Mitral Valve. you can see in PSAX a big Anterolateral Papilary muscle and really small posterio papilary just beside
38
what does L looping means
Formation of the RV in the left side Which is abnormal
39
all the Left to right shunt will lead to LA and LV Volumen overload (dilatation)
yes
40
Where do we see Goose neck
AVSD
41
DX
Levocardia( normal heart with the apex pointed to the left)
42
Coarctation of Aorta, Definition
it's an stenosis of the proximal descending Thoracic Aorta
43
What does Restrictve VSD means?
Small Defects that allow little or no blood to flow from the LV to RV This means than RV and PA pressure are lower than the LV
44
Which valve of the heart is most apical
TV
45
Primun SD is associated with?
Mitral valve Cleff
46
What does D looping Means
Formation of the RV in the right side (anatomical RV) which is normal the RV is in the right side and lv in the left side D-Loop refers to the ventricles
47
DX
Coronary Arteriovenous Fistula You can see in 2D the Dilatation of the coronary sinus ans the aorta depper in the image
48
DX
Supracristal Deffect (VSD) supracristal is close PV
49
DX
Primiun Atrail septal deffect. in the Atrial and AV canal: Atrail-Ventricualr Canal
50
best view tp evaluated Atrail deffect
Subcostal view
51
Atrail Ventricular septal Deffect classification (AVSD)
Partial: just the ostium Primiun deffect complete: Primun ASD = Common Atrial Venricular Valve with 5 leaflets
52
Secundum SD is associated with?
Mitral valve Prolapse
53
What is the most anterior chamber of the heart?
RV
54
Aorta on the left and IVC on the right? named
Situs Solitus
55
Procedure to connect the Venous return direct to the Pulmonary arteri
Fontan Proccedure
56
Complication after tetrology of fallot repair?
The pulmonary Regurgitation (most common) Arritmias RV enlargment RBBB
57
DX
Ventricular Aneurysms
58
Name of this anomaly and explain
D-TGA or D loop. The LV and RV are in a normal location but the PA is conected to the LV and the Ao is connected to the RV. so the grear Arteries are parallel to each other In D-TGA the aorta is anterior to the Pulmonary Morfologycal RV is on the Right
59
Tetralogy of Fallot is asociated with
Coronary Arteries Anomalies LDA originated from the RCA
60
Where can we see RBBB?
Tetralogy of Fallor after Rapier
61
Shone's Variants or imcomplet shone's syndrome
When 2 or 3 left side congenital obstruction are present eje. Bicuspid valve Coartation of AOrta MV parachute
62
Name of the congenital Desease where there is two RA?
Right Isomerism
63
When Rastelli Repair is Perfomed?
It's performe in D-TGA in convination con VSD
64
Tetralogy of Fallot characteristis
VSD Aorta Overriding (on top of the VSD) RVOT Obstruction (PVS, Subvalvular or Supravalvular Pulmonary stenosis) RV hypertrophy (which is secundary to the PVS)
65
what evaluated situs in The sequentil segment Analysys
confirm is the Atrial on the left side is the Left Atrial
66
Types of VSD (ventricular Septal Deffect)
Perimembranous VDS Outlet VSF (close to RVOT) Inlet VSD (close to RVIT) Muscular or trabicular VSD
67
AST VST PDA
Atrial septal defect ventricualr septal defect patant ductus arteriosus
68
Calculated the RVSP from VSD
take the systole aortic pressure if there is not AV stenosis minus the GP of the VSD GP=P1-P2 P2=GP-P1 RVSP=LVSP- 4(GP)2
69
DX
Ebstein Anomaly. will lead to TV Regurgitation
70
DX
RAC sing. LCA traveling Posterior to the Arotic root. Anomalous Coronary Artery
71
Eisenmerger Syndrome Triad consist on:
1) Systemic to pulmonary congenital cardiovascular deffect (right to left shunt) 2)Pulmoary Artery Disease (PHT) 3) Cyanosis
72
Explain Differential Cyanosis?
it occusr because, is the PDA is distal to the left subclavian Artery the Deaxygenated blood is gonna go to the low extremities. so the patien is goin to have low extremitis blue and upper extremities normal. If the PDA is before the left subclavian artery the patient is gonna have all the extremities blue
73
Name of the congenital Desease where there is two LA?
Left Isomerism
74
DX
Dextrorotation or dextroversion
75
which VSD is most associated with Aortic Regurgitation
Outlet deffect is divided in supracristal and infracristal
76
DX
PDA, best view to evaluated it, short axis view
77
DX
Cor Triatrium on the LA It divides the LA in two and if its in the RA is called Cor Triatium Dexter
78
Sequential Segmental analysis consist on:
Situs confirm is the Atrial on the left side is the Left Atrial Position; confirm Apex Direction Atrioventricular Connections: confirm is the ventricle on the right side is really the RV Ventriculararterial Coonection: Great Vessel Relationship
79
DX
Tetralogy of Fallot tou can see the VSD and the overriding of the Aorta
80
Surgical Prosedure, where the PA and Aorta are Transected and reconected to the Correct Ventricle? Name of the Proccedure and The Desease to correct?
Arterial Switch and to correct D-Loop / D-TGA
81
Which Great Artery is anterior, Aorta o pulmonary?
Pulmonary Artery is anterior to the aorta and perpendicular or Ortogonal to the aorta
82
DX
Muscular o trabecular septal Deffect
83
When the Fontan Proccedure is use?
when ther is just on functional ventricle. Eje. Tricuspid Atresia
84
Most common congenital hear desease ?
VSD
85
most posterior chamber of the heart
LA
86
Waht does TGA means
Transposition of the great Arteries
87
DX
Complete AVSD, primun + common valve for AV
88
Shone's Complex
It's a obstruction on the left heart. it has 4 affections -Subavalvular mitral ring or membranate -PArachute MV -Subvalvular Aortic Stenosis -Coartaction of the Aorta
89
MV cleff is Asocciated with
Mitral regurgitation MV cleff it could be by itself or with AS primun deffect
90
Gerbode Deffect
LV to RA deffect. flow goes from RV to RA
91
Partial Anomalous pulmonary venous return is associated with?
Sinus Venousus
92
DX
Doble orifice mitral valve. (congenital mitral Valve)
93
In VSD which chambers are Dilated.? taking in considetation that VSD is a LEFT to Right shunt in Systolic
LA and LV are dilated because the shunt happens is systole so the blood is going from LV to RV during contraction of both Ventricules so the blood enterinjg the RV is expell right away
94
DX
Destrocardia. the paex pointed to the right
95
What does Concordance means?
RA is conected to the RV and LA is connected to the LV
96
What Bleb sing means?
Thsi is the CX originated from the RCA
97
DX
Perimembranosus or out deffect VSD
98
Name of this anomaly and explain it?
CC-TGA or L-Loop The LV and RV are inverted so LV is on the Right and RV is on the left The aorta is anterior to the Pulmonary Artery and they are Parallet to each other Morfological RV on the Left
99
Surgical Procedure, where an interatrail Buffle directs systemic venous return to the anatomy LV, and pulmonary venous return to the Anatomy RV? and name of the Desease
Mustard or Atrail Switch to Correct D-TGA / D-Loop
100
DX
Dextrocardia or mirror image
101
Single Ventricle Heart Deffect Classification?
Hypopastic left Heart Syndrome (the left ventricle does not develop porpely) Tricuspid Atresia; The TV is abnormal or it's not at all
102
In CC-TGA or L-Loop. where is the Morfological RV
On the left