Scanning Flashcards

(40 cards)

1
Q
A

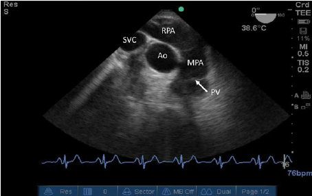
Mid Esophageal 5C

ME 5C 0 degree

How well did you know this?
1
Not at all
2
3
4
5
Perfectly
2
Q

the differentes in rotation between the LV base and the apex
Measure in degree

A

Twist

How well did you know this?
1
Not at all
2
3
4
5
Perfectly
3
Q

Movement is which the transducer is Fixed in position but the face of the Tranducer is moved to demostrate other image planes in the same axis

A

Tilt

How well did you know this?
1
Not at all
2
3
4
5
Perfectly
4
Q

The transducer maintaint the same axis orientation to the heart but moves to a different imaging plane

A

Tilt

How well did you know this?
1
Not at all
2
3
4
5
Perfectly
5
Q
A

Displacement

Tissue Doppler derived strain and strain rate

How well did you know this?
1
Not at all
2
3
4
5
Perfectly
6
Q

Firt view that we get on TEE

A

Mid esophageal 5 chamber View

0 degree

How well did you know this?
1
Not at all
2
3
4
5
Perfectly
7
Q

the transducer maintains a stationary position while the index marker is moved to a new position

A

Rotation

How well did you know this?
1
Not at all
2
3
4
5
Perfectly
8
Q
A

UE Aortic Arch long Axix view

0 to 10 degree

How well did you know this?
1
Not at all
2
3
4
5
Perfectly
9
Q
A

Strain Rate

Tissue Doppler derived strain and strain rate

How well did you know this?
1
Not at all
2
3
4
5
Perfectly
10
Q

The grandiant angle from the base to apex, measure ins degree per cm

A

Torsion

How well did you know this?
1
Not at all
2
3
4
5
Perfectly
11
Q

Name of the Probe tip motion anterior and posterior

A

Anteflex = Anterior
Retroflex= Posterior

How well did you know this?
1
Not at all
2
3
4
5
Perfectly
12
Q
A

Mid Esophageal LV long axis view

120-140 Degree

How well did you know this?
1
Not at all
2
3
4
5
Perfectly
13
Q
A

Trans gastric LV Basal Short axic view

0 Degree

How well did you know this?
1
Not at all
2
3
4
5
Perfectly
14
Q
A

Mid esophageal Ascendin aorta short axis view

we get this view from the long axis of the aorta

0 to 30 Degree

How well did you know this?
1
Not at all
2
3
4
5
Perfectly
15
Q

Name of the Vertical Motion on TEE of the probe in the esophagus

A

Advance = donw
Withdram = Up

How well did you know this?
1
Not at all
2
3
4
5
Perfectly
16
Q

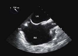
you can see the crsital terminalis between SVC and RAA

A

Mid esophageal Bicaval view

90 - 110 degree

How well did you know this?
1
Not at all
2
3
4
5
Perfectly
17
Q
A

UE Aortic Arch short axis view

The round on top is the Aorti Arch

the curve in the botton is the Pulmonary Artery

18
Q

The transducer moves across the patient skin to a new position

19
Q
A

Velocity

Tissue Doppler derived strain and strain rate

20
Q
A

Mid esophageal AV long axis view

120- 140 degree (same as Lv long axis)

21
Q

move the porbe to the left or to the right TEE

A

Flex to the right
Flex to the left

22
Q

Refers to a motion in which the image is optimized by keeping the transducer in the same position and directing the sound beam toward a structure of interest

23
Q

Name of the rotation of the entire probe toward the patient right of left. TEE

24
Q
A

Upper Esophageal Desc. Aorta Short Axis view

0 Degree

25
Mid esophageal Aorta Long axis view 90 to 110 Degree
26
Tissue Doppler derived strain and strain rate the one wiht more notorius change is Strain
27
Mid Esophageal 2 C At 90 degree Look the wall are the same as TTE
28
Mid Esophageal Mitral commissural view At 60 Degree
29
Multiple transducer movements are used to record a long video clip to show multiple anatomic structures
Sweep
30
The circular motion of the LV miocardium around its long axis, measure in degree
Rotation
31
Mid Esophageal 4C ME 4C 0 degree after 5 chamber we antegrade
32
Within the same imaging plane, the transducer changes orientation either toward or away from the orientation marker
Rock
33
The transducer is Kept at the same location on the chest, and the sound beam is directed to Show a new structure
Angle
34
Strain Tissue Doppler derived strain and strain rate
35
Differences between Rock and Tilt
Rock stays in the Same plane And Tilt stay in the same axys but move toa different plane
36
Absolute Contraintication of TEE
Al esophageal (not esophagela varices) + Perforate viscus and Active Upper GI
37
Standars View of TEE
Upper Esophageal (UE) Mid Esophageal (ME) Transgastric (TG) Mid Transgastric (DTG)
38
Mid esophageal AV short axis view 25 to 45 degree
39
TG Mid Lv short Axis view
40
Mid esophageal RV inflow and outflow 50 to 70 degre