Images Flashcards

(50 cards)

1
Q

IRM du genou pour douleurs et hydarthrose récidivante: que voit-on?

A

Anse de seau du ménisque

How well did you know this?
1
Not at all
2
3
4
5
Perfectly
2
Q

Un patient s’est présenté aux urgence pour blocage aigu du genou, une IRM est réalisée que voit-on?

A

Anse de seau luxée dans l’échancrure intercondylienne

How well did you know this?
1
Not at all
2
3
4
5
Perfectly
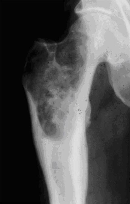
3
Q

Quel diagnostic pour cette tumeur osseuse?

A

Chondrome de la diaphyse fémorale car matrice cartilagineuse

How well did you know this?
1
Not at all
2
3
4
5
Perfectly
4
Q

Tumeur osseuse visiblement maligne: quel est le diagnostic probable?

A

Lésion épiphysaire à matrice cartilagineuse (pop corn) d’allure maligne = Chondrosarcome de l’humérus

How well did you know this?
1
Not at all
2
3
4
5
Perfectly
5
Q

Quelle est la tumeur probable sachant qu’elle est maligne?

A

Tumeur épiphysaire à matrice cartilagineuse (pop corn) = chondrosarcome de l’extrémité sup du fémur

How well did you know this?
1
Not at all
2
3
4
5
Perfectly
6
Q

Un patient a une sensation d’instabilité avec dérobement du genou, avec douleur et hydarthrose récidivante

A
How well did you know this?
1
Not at all
2
3
4
5
Perfectly
7
Q

Quel diagnostic?

A

Tumeur d’allure bénigne car calcifications annulaires, matrice cartilagineuse, intra-osseuse: enchondrome

How well did you know this?
1
Not at all
2
3
4
5
Perfectly
8
Q

Quel diagnostic de tumeur osseuse bénigne?

A

Enchondrome de l’oreille

How well did you know this?
1
Not at all
2
3
4
5
Perfectly
9
Q

Patient avec douleurs cervicales après un accident de voiture de faible cinétique. Diagnostic?

A

Entorse cervicale car antélisthésis, pincement antérieur, perte du parallélisme des vertèbres et augmentation de l’écart inter-épineux

/!\ risque luxation

How well did you know this?
1
Not at all
2
3
4
5
Perfectly
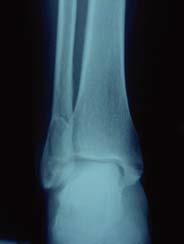
10
Q

Patient consulte aux urgences après une chute, à l’examen clinique pas de luxation , oedème de la cheville important, pas de souffrance cutanée. Diagnostic? Quel a été le mécanisme lésionnel probable?

A

Fracture bimalléolaire de cheville intertuberculaire

mécanisme en rotation externe forcée

How well did you know this?
1
Not at all
2
3
4
5
Perfectly
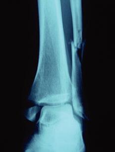
11
Q

Patient consulte aux urgences pour douleurs importantes de cheville et impotence fonctionnelle après une chute. Des radios sont faites: quel diagnostic? Quel est le mécanisme lésionnel probable?

A

Fracture bimalléolaire de cheville sous-tuberculaire

mécanisme en aDduction forcée

How well did you know this?
1
Not at all
2
3
4
5
Perfectly
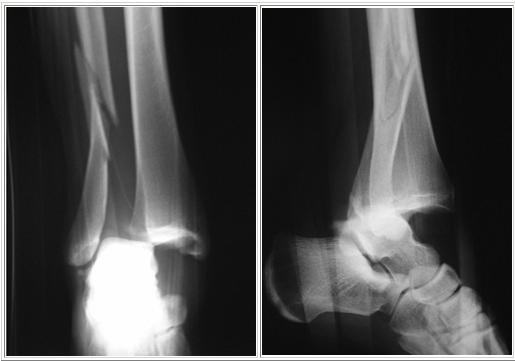
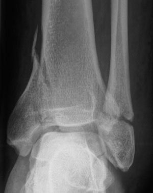
12
Q

Quel est le diagnostic concernant la fracture de cheville sur cette radio? Quel est le mécanisme lésionnel probable?

A

Fracture bimalléolaire de cheville sus-tuberculaire

mécanisme en aBduction forcée

How well did you know this?
1
Not at all
2
3
4
5
Perfectly
13
Q

Sur cette radio, quel diagnostic? Quel est le déplacement des fragments?

A

Fracture de la clavicule au niveau du tiers moyen

déplacement du fragment interne en haut et arrière, du fragment externe en bas

How well did you know this?
1
Not at all
2
3
4
5
Perfectly
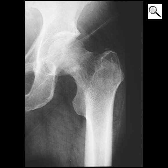
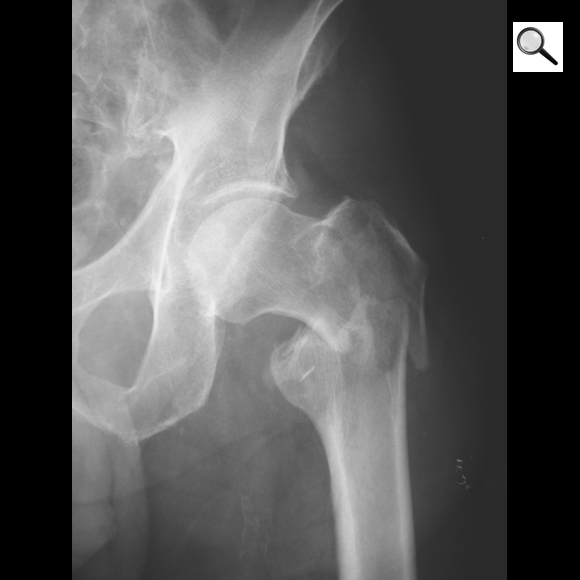
14
Q

Quel diagnostic? Quelle doit être la déformation clinique du membre inf? Doit-on la réduire?

A

Fracture de l’ES du fémur gauche Garden 1

coxa valga

engrènement du foyer de fracture= stable = pas de réduction

How well did you know this?
1
Not at all
2
3
4
5
Perfectly
15
Q

Quel diagnostic? Qu’aurait-il fallu faire avant cette radio?

A

Fracture equivalente bimaleollaire cheville gauche car fracture ME + rutpure LLI

avec diastasis tibio peronier et luxation tibio talienne

réduction en urgence AVANT radio normalement

How well did you know this?
1
Not at all
2
3
4
5
Perfectly
16
Q

Quel est le stade Garden de cette fracture de l’ES du fémur? Quel est le risque évolutif principal?

A

Fracture ES fémur garden 4 car perte de contact entre fragments,
les travées osseuses sont normales

Risque max d’ostéonécrose aseptique

How well did you know this?
1
Not at all
2
3
4
5
Perfectly
17
Q

Quel est le stade Garden de cette fracture du col?

A

Fracture ES fémur gauche Garden 2 car pas déplacé et travées osseuses non déformées

! risque de déplacement secondaire !

How well did you know this?
1
Not at all
2
3
4
5
Perfectly
18
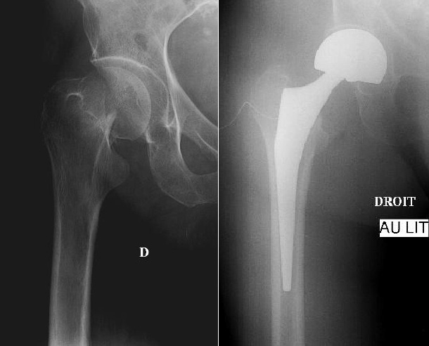
Q

Quelle prothèse a été utilisée ici?

A

Fracture garden 4 ES fémur traitée par

prothèse intermédiaire de hanche

How well did you know this?
1
Not at all
2
3
4
5
Perfectly
19
Q

Quel diagnostic? Quel traitement?

A

Fracture inter-trochantérienne de l’ES du fémur gauche

ttt= vis plaque ou clou gamma

How well did you know this?
1
Not at all
2
3
4
5
Perfectly
20
Q

Quel diagnostic? Quel traitement?

A

Fracture per-trochantérienne fermée de l’ES du fémur gauche

ttt= vis plaque ou clou gamma

How well did you know this?
1
Not at all
2
3
4
5
Perfectly
21
Q

Ce type d’immobilisation est-il approprié pour une fracture de la clavicule?

A

oui, car anneaux en 8 de Zimmer,

permettent une immobilisation en rétroplusion

22
Q

Ce type d’immobilisation est-il approprié pour une fracture de la clavicule?

A

oui, car écharpe simple coude au corps est un traitement possible de la fracture de la clavicule

23
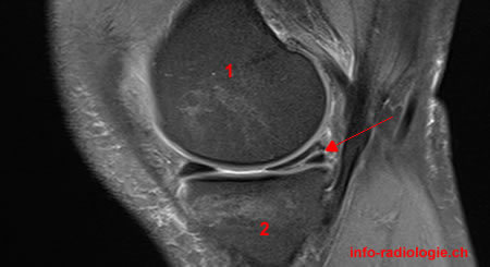
Q

Voici une IRM des ménisques. Diagnostic?

A

IRM normale des ménisques

hé hé

24
Q

Quelle est la manoeuvre représentée ici? Que teste-t-elle?

A

Maneuvre de Gerber

teste le tendon du muscle sous-scapulaire

25
Quelle est la manoeuvre représentée ici? Que teste-t-elle?
Manoeuvre de Hawkins (positive si douleur à la rotation interne de l'épaule coude à 90°) Recherche un conflit sous-acromial
26
Quelle est la manoeuvre représentée ici? Que teste-t-elle?
Manoeuvre de Jobe test le tendon du muscle supra-épineux
27
Quelle est la manoeuvre représentée ici? Que teste-t-elle?
Manoeuvre de Patte teste le tendon des muscles sous-épineux et petit rond
28
Quelle est la manoeuvre représentée ici? Que teste-t-elle?
Manoeuvre de Yocum, positive si douleur à l'élévation du coude rechercher conflit sous-acromial
29
30
Quel est le stade de la classification Neer ici?
Neer 3, car il y a 3 fragments (fracture céphalo tubérositaire)
31
Diagnostic?
Ostéome ostéoïde
32
Diagnostic?
Excroissance osseuse coiffée de cartilage =ostéochondrome (exostose)
33
Quelle tumeur osseuse maligne évoquer ici?
Ostéolyse mitée évoquant sarcome d'Ewing
34
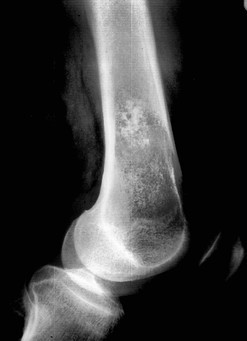
Quelle tumeur osseuse maligne est probable ici?
ostéosarcome de la métaphyse du tibia droit
35
Quelle manoeuvre est représentée ici? Qu'est ce qui est testé?
Palm up test test le tendon du chef long du biceps
36
Diagnostic?
phlegmon des espaces celluleux de la main
37
Diagnostic?
plasmocytome
38
Quel type de prothèse est utilisé ici?
prothèse totale de hanche
39
Quel est le type de réaction périostée ici? Quelle tumeur évoquer?
Réaction périostée en bulbe d'oignon évoquant sarcome d'Ewing
40
Comment est le mur postérieur ici?
Recul du mur postérieur= tumeur
41
Comment est le mur postérieur?
recul du mur postérieur
42
Quelle est la réaction périostée ici?
Rupture de corticale avec triangle de Codman = tumeur osseuse agressive
43
Quels signes cliniques figurent sur cette photo? Quel diagnostic?
Signe de l'épaulette+ coup de hache externe+ comblement du sillon delto pectoral = luxation gléno-humérale antéro-interne épaule en abduction et rotation externe
44
Quelle manoeuvre est représentée ici? Que cherche-t-on?
Test de Neer, positive si douleur à l'élévation et rotation interne du MS recherche conflit sous-acromial
45
Diagnostic?
Tumeur à cellules géantes car ostéolyse discrète
46
Diagnostic?
Tumeur à cellules géantes
47
Quelle tumeur est probable ici? Où se situe-t-elle en général?
Tumeur osseuse métaphysaire à matrice osseuse = ostéosarcome près du genou loin des coudes
48
Quelle tumeur osseuse est probable ici?
Verre dépoli et limites nettes = fibrome non ossifiant
49
Diagnostic?
vertèbre borgne
50
Diagnostic?
vertèbre ivoire