Imaging Flashcards

(32 cards)

1
Q

Identify the relevant anatomy on this scan?

A
How well did you know this?
1
Not at all
2
3
4
5
Perfectly
2
Q

Identify the anatomy on this scan

A
How well did you know this?
1
Not at all
2
3
4
5
Perfectly
3
Q

Identify the anatomy on this scan

A
How well did you know this?
1
Not at all
2
3
4
5
Perfectly
4
Q

Identify the anatomy on this scan

A
How well did you know this?
1
Not at all
2
3
4
5
Perfectly
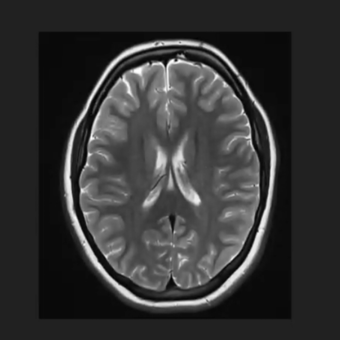
5
Q

Identify the CSF spaces

A

CSF between the gyri in the sulci

How well did you know this?
1
Not at all
2
3
4
5
Perfectly
6
Q

Identify the interhemispheric fissure, foramen of Monrovia, lateral ventricle, slyvian fissure

A

Interhemispheric fissue separates hemispheres
Lateral ventricles - paired space communicate with third ventricle via Forman of monroe,
Sylvian fissure separates the frontal and temporal lobes

How well did you know this?
1
Not at all
2
3
4
5
Perfectly
7
Q

Which structure is filled with CSF and surrounds the brainstem and what is it called, and which structure is the fourth ventricle?

A

) basal cistern

How well did you know this?
1
Not at all
2
3
4
5
Perfectly
8
Q

Where does the CSF flow through the brain as visible on this diagram?

A

Through the third ventricle into the cerebral aqueduct, into the fourth ventricle

How well did you know this?
1
Not at all
2
3
4
5
Perfectly
9
Q

Where does the pituitary gland sit in relation to the ventricles?
Where is the pituitary stalk?

A

Anteriorly in the pituitary fossa

Pituitary stalk superior to pituitary gland

How well did you know this?
1
Not at all
2
3
4
5
Perfectly
10
Q

Where does the optic chiasm sit in relation to the pituitary gland?

A

Immediately superior to pituitary stalk

How well did you know this?
1
Not at all
2
3
4
5
Perfectly
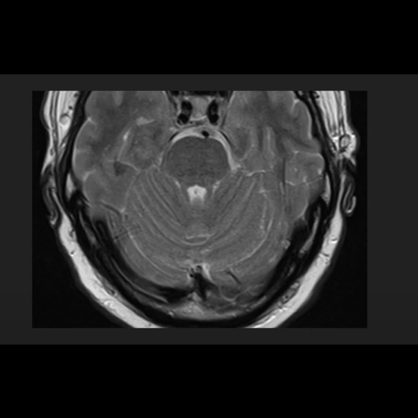
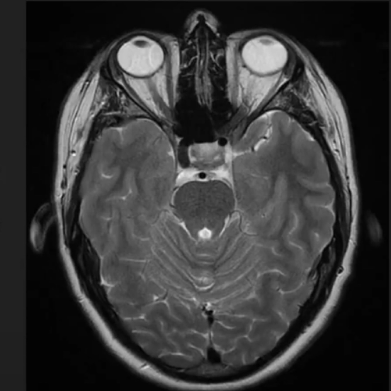
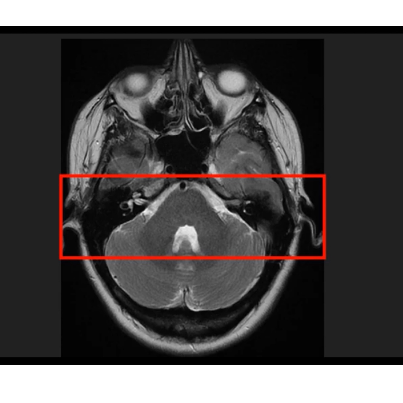
11
Q

Structures surrounding the brainstem and inner ear?

A
How well did you know this?
1
Not at all
2
3
4
5
Perfectly
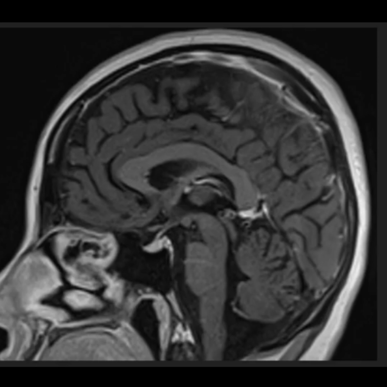
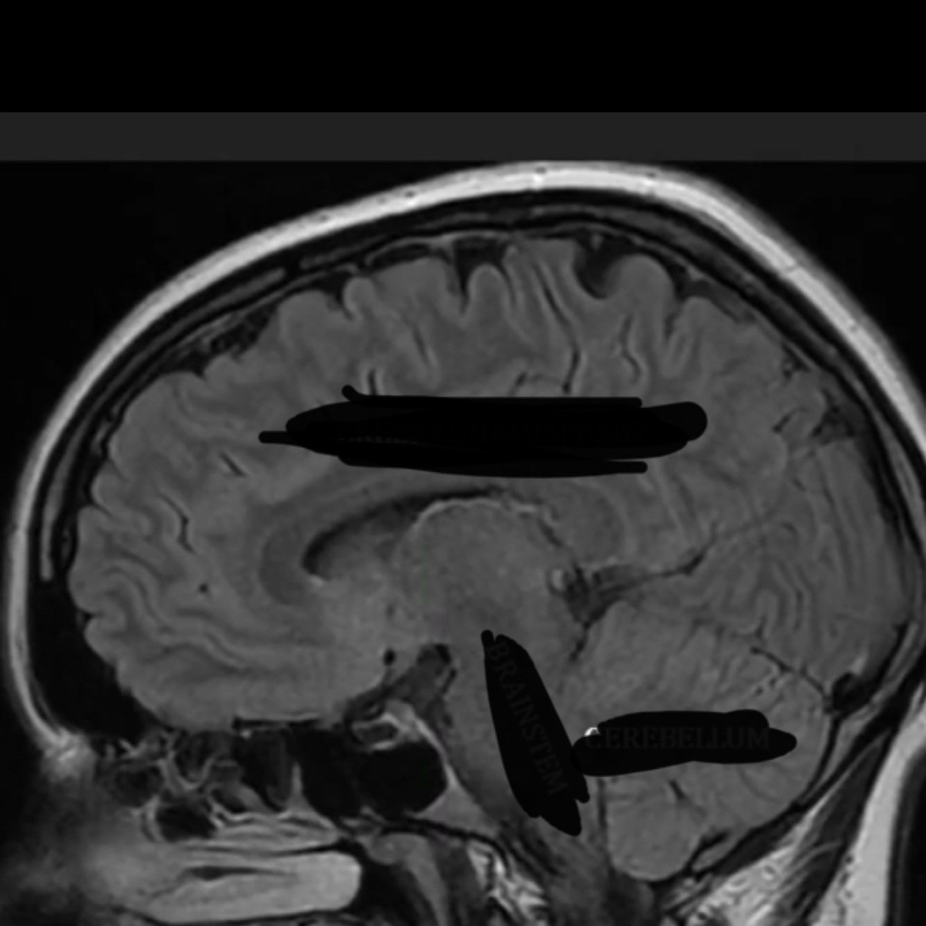
12
Q

Anatomical lobes of the brain, brainstem and cerebellum

A

How well did you know this?
1
Not at all
2
3
4
5
Perfectly
13
Q

Which fissure separates the frontal and parietal lobes?

A

Central sulcus

How well did you know this?
1
Not at all
2
3
4
5
Perfectly
14
Q

What separates the frontal lobes and parietal lobes?

A

Slyvian fissure

How well did you know this?
1
Not at all
2
3
4
5
Perfectly
15
Q

White vs grey matter

A

Grey matter has relatively less myelinated axons but more cell bodies compared to the grey matter

How well did you know this?
1
Not at all
2
3
4
5
Perfectly
16
Q

Key grey matter structures and the consequences of damage to them?

A

Caudate nucleus and lentiform nucleus

Thalamus - problems including thalami pain syndrome, sensory motor disorders and even coma

17
Q

Where and what is the corpus collusum , it’s genu and it’s splenium

A

White matter tract located in the midline extending over the lateral ventricles connecting the two cerebral hemispheres

Anterior aspect genu
Posterior aspect splenium

18
Q

Which arteries for, the circle of Willis

A

Two vertebrae arteries form basilar artery
Two internal carotid arteries and basilar artery give rise to the anterior, middle and posterior cerebral arteries forming the circle of Willis

19
Q

Label the venous sinuses of the brain and explain their drainage

A

Inferior saggital sinus drains into the straight sinus
Along with the superior saggital sinus for, the transverse venous sinuses which drain into the sigmoid sinus which drains into the internal jugular vein

20
Q

T1 weighted MRI sequence

A

White matter is whiter than grey
IV contrast can be used, it appears white

21
Q

T2 weighted MRI sequence

A

Useful to identify abnormal and normal tissue types within the brain

Suppression of water is known as flair

SWI good for appearance of blood

DWI blood is high signal in acute bleed, low in chronic infarct

White is high signal black is low signal

22
Q

MRI flow sequences

A

MRA focusing on arterial system
MRV focuses on venous system

23
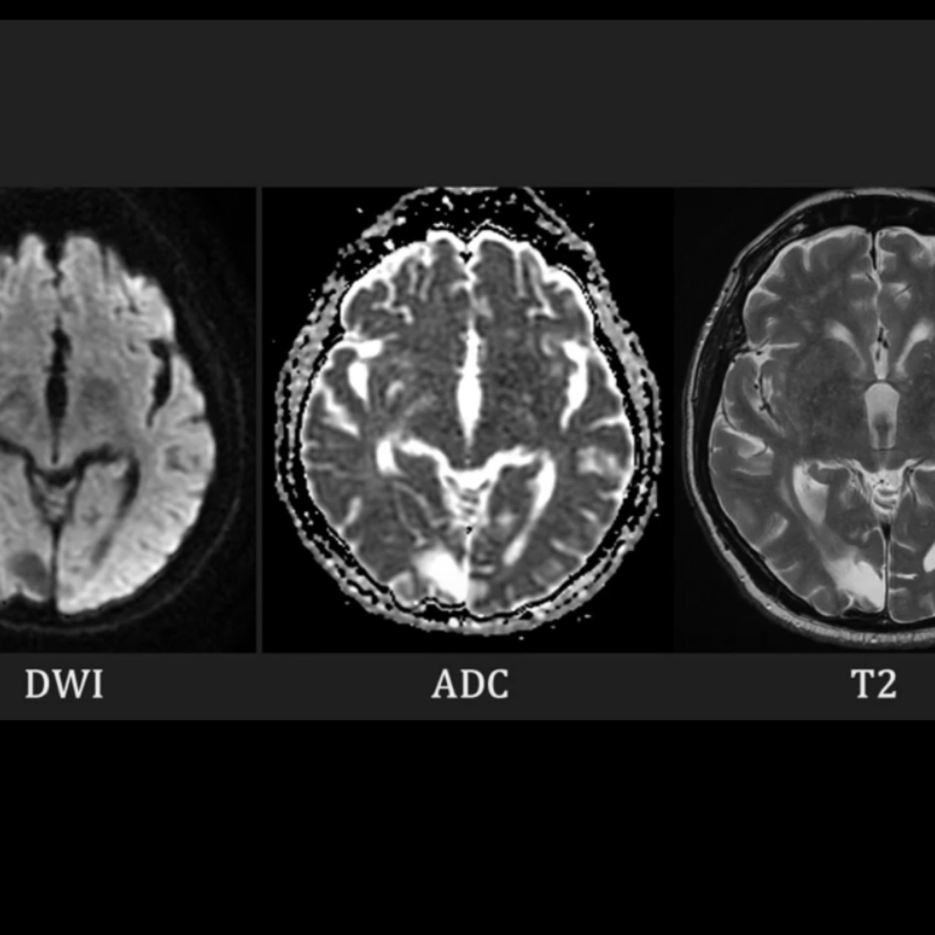
Q

Acute infarct on MRI (DWI ADC T2)

A

DWI high attenuation
ADC low attenuation
T2 high attenuation

24
Q

MRI chronic infarct (DWI ADC T2)

A

DWI low attenuation
ADC high attenuation
T2 high attenuation

25
Acute parenchyma haemorrhage on MRI (T1 T2 T2*)
T1 high signal T2 low signal T2* low signal
26
Extradural haemorrhage on MRI
Biconvex area of signal abnormality
27
Precontrast vs post contrast MRI in subdural haematoma
No contrast enhancement in
28
MRI in intracranial aneurysm
T1 low signal T2 low signal MRA contrast enhancement will occur in region of abnormal signal on previous sequences
29
Venous sinus thrombosis on MRI(SWI and MRV)
SWI low signal MRV no contrast enhancement
30
MS demyelination lesion on MRI (flair, T2)
T2 high signal Flair high signal
31
Glioblastoma on MRI (T1 pre and post contrast T2 DWI and ADC)
T1 Pre contrast low signal area, Post contrast high signal woo low signal centre T2 high signal DWI low signal ADC high signal
32
Lymphoma on MRI (T1 pre and post contrast DWI ADC)
T1 precontrast low signal post contrast high signal DWI High signal ADC low signal