Neuro: haemorrhage Flashcards

(36 cards)

1
Q

What is the most useful imaging to diagnose a subarachnoid haemorrhage?

A

A CT without contrast is very useful here as it detects around 90% of SAH within 48-hours of onset.

How well did you know this?
1
Not at all
2
3
4
5
Perfectly
2
Q

Where does the bleeding occur in a SAH?

A

Subarachnoid haemorrhage involves bleeding in to the subarachnoid space, where the cerebrospinal fluid is located, between the pia mater and the arachnoid membrane.

How well did you know this?
1
Not at all
2
3
4
5
Perfectly
3
Q

Most common aetiology of SAH?

A

Ruptured cerebal aneyruysm

How well did you know this?
1
Not at all
2
3
4
5
Perfectly
4
Q

How does an SAH present?

A

THUNDERCLAP HEADACHE - sudden onset severe occipital headache, tyoically occuring during streneous activity, associated with vommiting and rapid drop in GCS
Neck stiffness
Photophobia
Vision changes
Neurological symptoms such as speech changes, weakness, seizures and loss of consciousness

How well did you know this?
1
Not at all
2
3
4
5
Perfectly
5
Q

SAH risk factors?

A

Hypertension
Smoking
Excessive alcohol consumption
Cocaine use
Family history

Subarachnoid haemorrhage is more common in:

Black patients
Female patients
Age 45-70

It is particularly associated with:

Cocaine use
Sickle cell anaemia
Connective tissue disorders (such as Marfan syndrome or Ehlers-Danlos)
Neurofibromatosis
Autosomal dominant polycystic kidney disease

How well did you know this?
1
Not at all
2
3
4
5
Perfectly
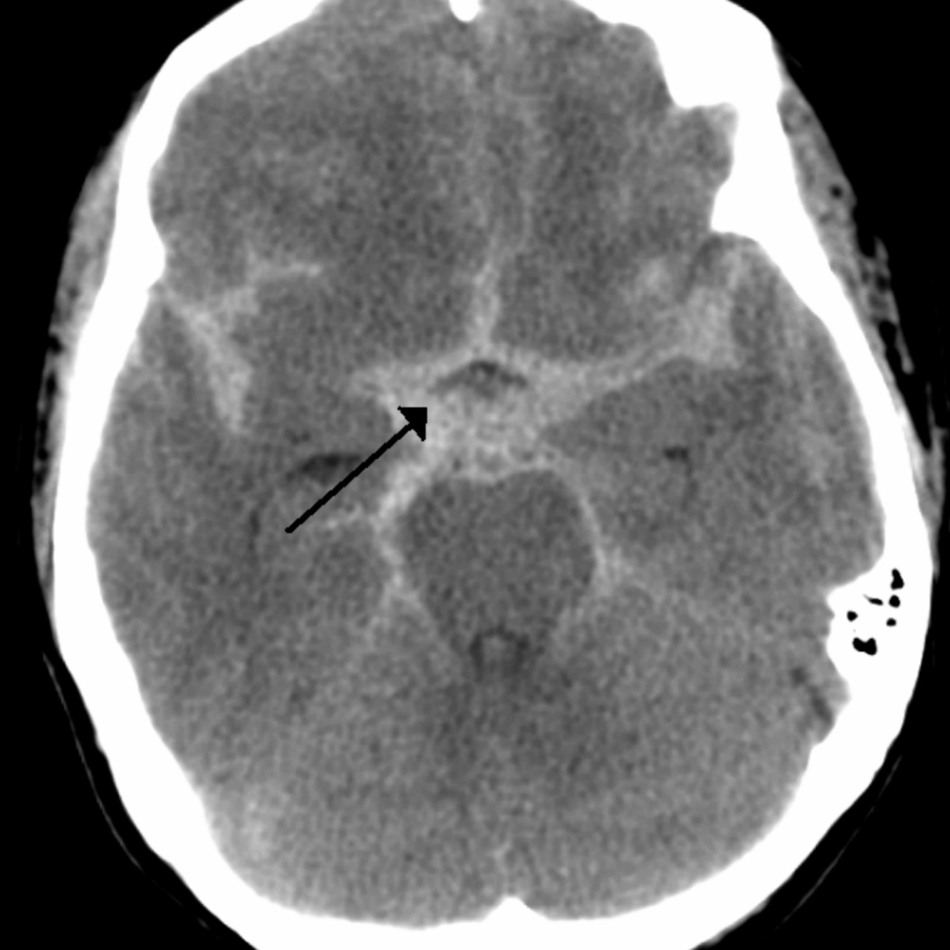
6
Q

What may be seen on CT in an SAH?

A

Blood will cause hyperattenuation in the subarachnoid space.

How well did you know this?
1
Not at all
2
3
4
5
Perfectly
7
Q

Management of SAH?

A

Patients should be managed by a specialist neurosurgical unit. Patients with reduced consciousness may require intubation and ventilation. Supportive care as part of a multi-disciplinary team is important with good nursing, nutrition, physiotherapy and occupational therapy involved during the initial stages and recovery.

Surgical intervention may be used to treat aneurysms. The aim is to repair the vessel and prevent re-bleeding. This can done by coiling, which involves inserting a catheter into the arterial system (taking an “endovascular approach”), placing platinum coils into the aneurysm and sealing it off from the artery. An alternative is clipping, which involves cranial surgery and putting a clip on the aneurysm to seal it.

Nimodipine is a calcium channel blocker that is used to prevent vasospasm. Vasospasm is a common complication that can result in brain ischaemia following a subarachnoid haemorrhage.

Lumbar puncture or insertion of a shunt may be required to treat hydrocephalus.

Antiepileptic medications can be used to treat seizures.

How well did you know this?
1
Not at all
2
3
4
5
Perfectly
8
Q

How to investigate SAH if CT head is negative?

A

Lumbar puncture, looking for:
Raised red cell count (take multiple samples as if decreasing each sample may just be traumatic bleed from LP itself)
Xanthochromia (yellow CSF caused by bilirubin)

How well did you know this?
1
Not at all
2
3
4
5
Perfectly
9
Q

Potential complications of SAH?

A

Vasospasam
Delayed cerberal ischemia
Arrythmias
Acute or chronic hydrocephelus

How well did you know this?
1
Not at all
2
3
4
5
Perfectly
10
Q

Most common cause of SAH?

A

Trauma

How well did you know this?
1
Not at all
2
3
4
5
Perfectly
11
Q

Extradural haemorrhage

A

This is a haemorrhage between the skull and dura mater of the meninges.
Commonly caused by trauma to the pterion, with subsequent tearing of the middle meningeal artery,
patients present with acute severe headache, contralateral hemiplegia, and a rapid deterioration in GCS following a lucid period.
On CT, a biconvex hematoma is diagnostic.
This occurs as the haemorrhage stops expanding at the sutures of the skull, where the dura meets the skull, causing the haemorrhage to expand towards the brain.
Neurosurgical
intervention is usually needed.

How well did you know this?
1
Not at all
2
3
4
5
Perfectly
12
Q

What type of cranial haemorrhage might present with a lucid interval

A

Extradural haemorrhage

How well did you know this?
1
Not at all
2
3
4
5
Perfectly
13
Q
A

Extradural haemorrhage

Haematoma expansion limited by sutures of the skull so expands towards the brain giving characteristic biconvex hyper dense area

How well did you know this?
1
Not at all
2
3
4
5
Perfectly
14
Q

Subdural haemorrhage

A

This is a hemorrhage between the dura mater and arachnoid mater.
They may be acute, subacute, and chronic, but tend to present more gradually than extradural hemorrhages, with gradually increasingheadache and confusion.
They tend to occur in older patients.
Other risk factors include historic head trauma, alcoholism, and anticoagulation.
On CT, a crescent-shaped hematoma is diagnostic. This occurs as expansion of the haemorrhage is not limited by skull sutures, so follows the contour of the skull.
Neurosurgical intervention may be needed, if the haemorrhage is severe and symptomatic enough.

How well did you know this?
1
Not at all
2
3
4
5
Perfectly
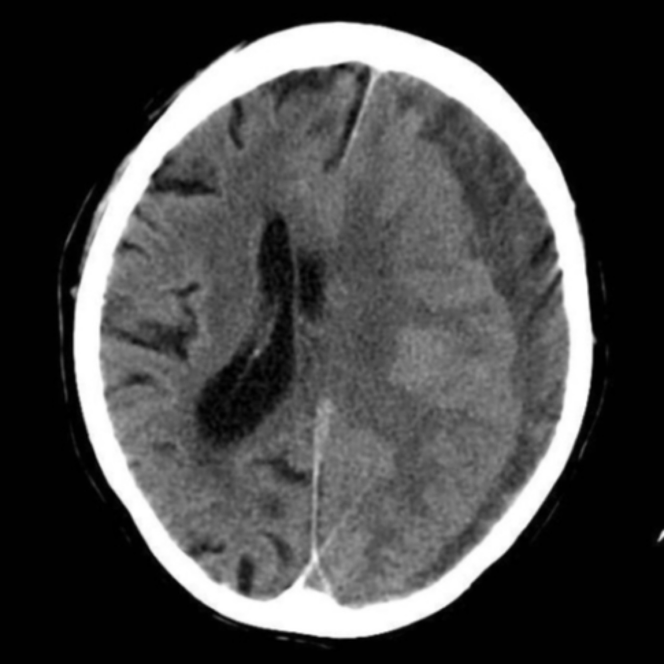
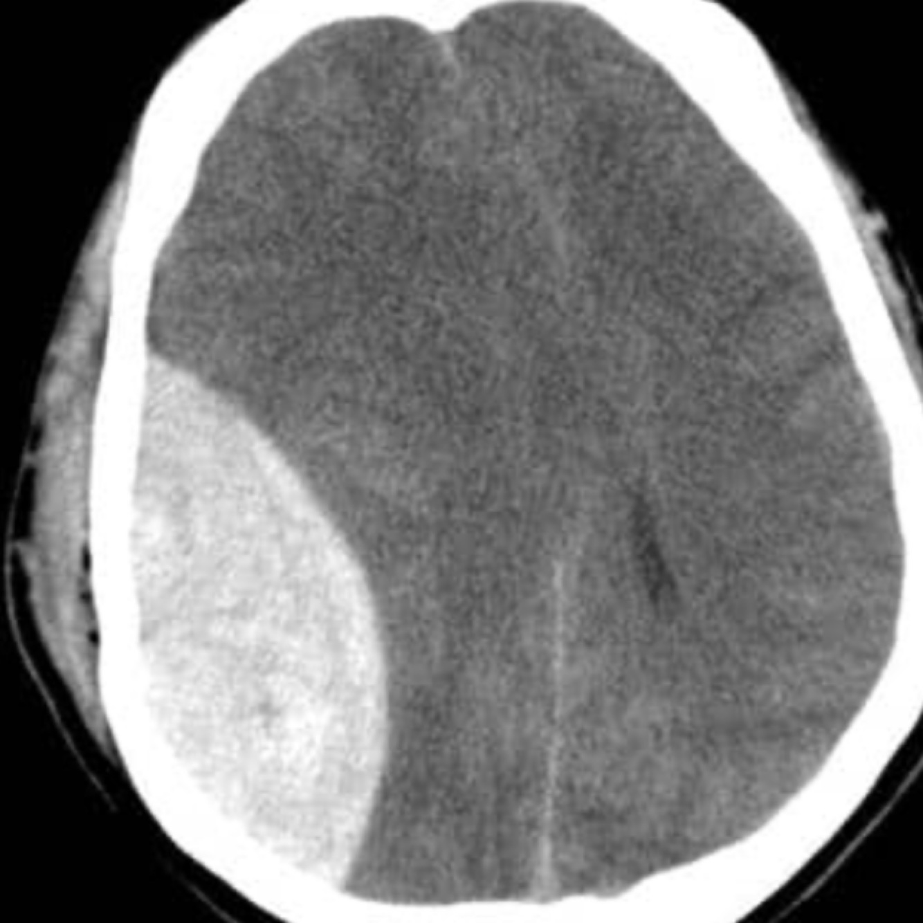
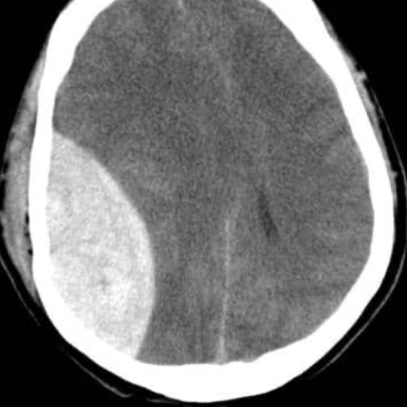
15
Q
A

Acute subdural haemorrhage

Haemorrhage flows contour of skull as not limited by skull sutures

How well did you know this?
1
Not at all
2
3
4
5
Perfectly
16
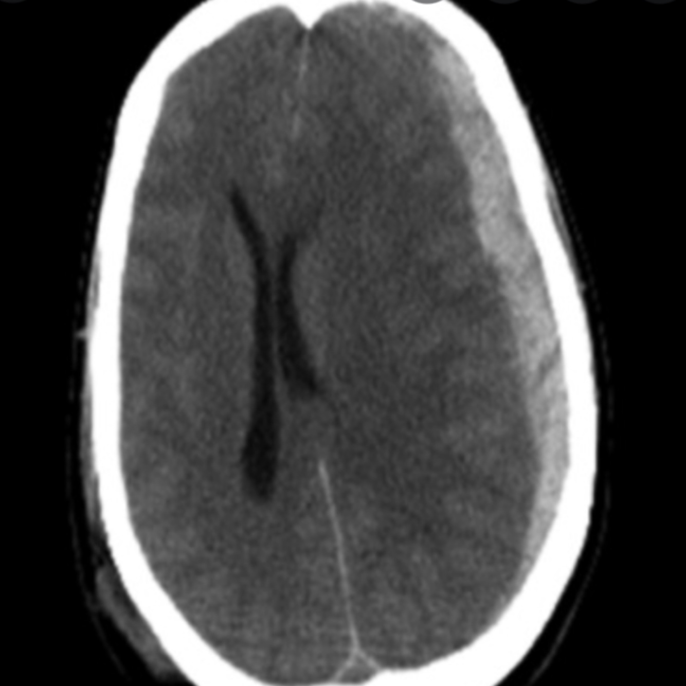
Q
A

Chronic subdural haemorrhage

Haemorrhage flows contour of skull as not limited by skull sutures

17
Q
A

Subarachnoid haemorrhage

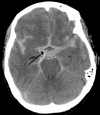
18
Q

Risk factors for intracranial bleeds

A

Head injury
Hypertension
Aneurysms
Ischaemic stroke can progress to haemorrhage
Brain tumours
Anticoagulants such as warfarin

19
Q

Presentation of intracranial bleeds

A

Sudden onset headache is a key feature. They can also present with:

Seizures
Weakness
Vomiting
Reduced consciousness
Other sudden onset neurological symptoms

20
Q

How is GCS calculated

A

Eyes

Spontaneous = 4
Speech = 3
Pain = 2
None = 1

Verbal response

Orientated = 5
Confused conversation = 4
Inappropriate words = 3
Incomprehensible sounds = 2
None = 1

Motor response

Obeys commands = 6
Localises pain = 5
Normal flexion = 4
Abnormal flexion = 3
Extends = 2
None = 1

21
Q

In which patients are subdural haemorrhages more common in and why?

A

Subdural haemorrhages occur more frequently in elderly or alcoholic patients. These patients have more atrophy in their brains making vessels more likely to rupture.

22
Q

Anatomical invovlement subdural haemorrhage

A

Subdural haemorrhage is caused by rupture of the bridging veins in the outermost meningeal layer. They occur between the dura mater and arachnoid mater. On a CT scan they have a crescent shape and are not limited by the cranial sutures (they can cross over the sutures).

23
Q

Anattomical invovlement extradural haemorrhage

A

Extradural haemorrhage is usually caused by rupture of the middle meningeal artery in the temporo-parietal region. It can be associated with a fracture of the temporal bone. It occurs between the skull and dura mater. On a CT scan they have a bi-convex shape and are limited by the cranial sutures (they can’t cross over the sutures).

24
Q

Extradural haemorrhage typical presentation

A

The typical history is a young patient with a traumatic head injury that has an ongoing headache. They have a period of improved neurological symptoms and consciousness followed by a rapid decline over hours as the haematoma gets large enough to compress the intracranial contents.

25
What is an intracerebral hemorrhage and where can it occur and why?
Intracerebral haemorrhage involves bleeding into the brain tissue. It presents similarly to an ischaemic stroke. These can be anywhere in the brain tissue: Lobar intracerebral haemorrhage Deep intracerebral haemorrhage Intraventricular haemorrhage Basal ganglia haemorrhage Cerebellar haemorrhage They can occur spontaneously or as the result of bleeding into an ischaemic infarct or tumour or rupture of an aneurysm.
26
Intracranial hemorrhage: basic principles of management
Immediate CT head to establish the diagnosis Check FBC and clotting Admit to a specialist stroke unit Discuss with a specialist neurosurgical centre to consider surgical treatment Consider intubation, ventilation and ICU care if they have reduced consciousness Correct any clotting abnormality Correct severe hypertension but avoid hypotension
27
What type of intracranial haemorrhages are particularly associated with cocaine and sickle cell anaemia?
SAH
28
What kind of bleed does a ruptured berry aneurysm cause?
Berry aneurysm - subarachnoid haemorrhage
29
What kind of haemorrhage does a bleed from the middle meningeal artery cause?
Middle meningeal artery - extra-dural haematoma
30
How can chronic subdural haematoma occur?
A chronic subdural haematoma is a collection of blood within the subdural space that has been present for weeks to months. Rupture of the small bridging veins within the subdural space rupture and cause slow bleeding. Elderly and alcoholic patients are particularly at risk of subdural haematomas since they have brain atrophy and therefore fragile or taut bridging veins. Infants also have fragile bridging veins and can rupture in shaken baby syndrome.
31
How might a chronic subdural haematoma present?
Presentation is typically a several week to month progressive history of either confusion, reduced consciousness or neurological deficit.
32
Management of chronic subdural haematoma?
If the chronic subdural is an incidental finding or if it is small in size with no associated neurological deficit then it can be managed conservatively with the hope that it will dissolve with time. If the patient is confused, has an associated neurological deficit or has severe imaging findings then surgical decompression with burr holes is required.
33
Chronic vs acute subdural haematoma on CT?
On CT imaging they similarly are crescentic in shape, not restricted by suture lines and compress the brain (‘mass effect’). In contrast to acute subdurals (hyperdense (bright)), chronic subdurals are hypodense (dark) compared to the substance of the brain.
34
How do acute subdural haematomas occur?
An acute subdural haematoma is a collection of fresh blood within the subdural space and is most commonly caused by high-impact trauma. Since it is associated with high-impact injuries, there is often other brain underlying brain injuries.
35
Presentation of acute subdural haematoma?
There is a spectrum of severity of symptoms and presentation depending on the size of the compressive acute subdural haematoma and the associated injuries. Presentation ranges from an incidental finding in trauma to severe coma and coning due to herniation.
36
Management of acute subdural haematoma?
Small or incidental acute subdurals can be observed conservatively. Surgical options include monitoring of intracranial pressure and decompressive craniectomy.