Imaging Flashcards

(132 cards)

1
Q

Question 20
A 54-year-old woman with lupus is hypoxaemic in a Durban intensive care unit after abdominal surgery. She is supported on the following ventilatory parameters
Calculate the alveolar-arterial gradient, D(A-a)O2, and give 2 possible causes of hypoxaemia
in the above patient. What is the limitation of this equation? (5)

A

This patient has a high A-a gradient which could be secondary to ventilation defect vq mismatch or perfusion defect shunting of blood
PAO2= FiO2 (PB-SVH20)-PaCO2/R+F
Norma gradient <20mmhg(<2.7KPA)
Hg A-a gradient = VQ mismatch or diffusion abnormality
Normal gradient with hypoxia = hypercarbia

How well did you know this?
1
Not at all
2
3
4
5
Perfectly
2
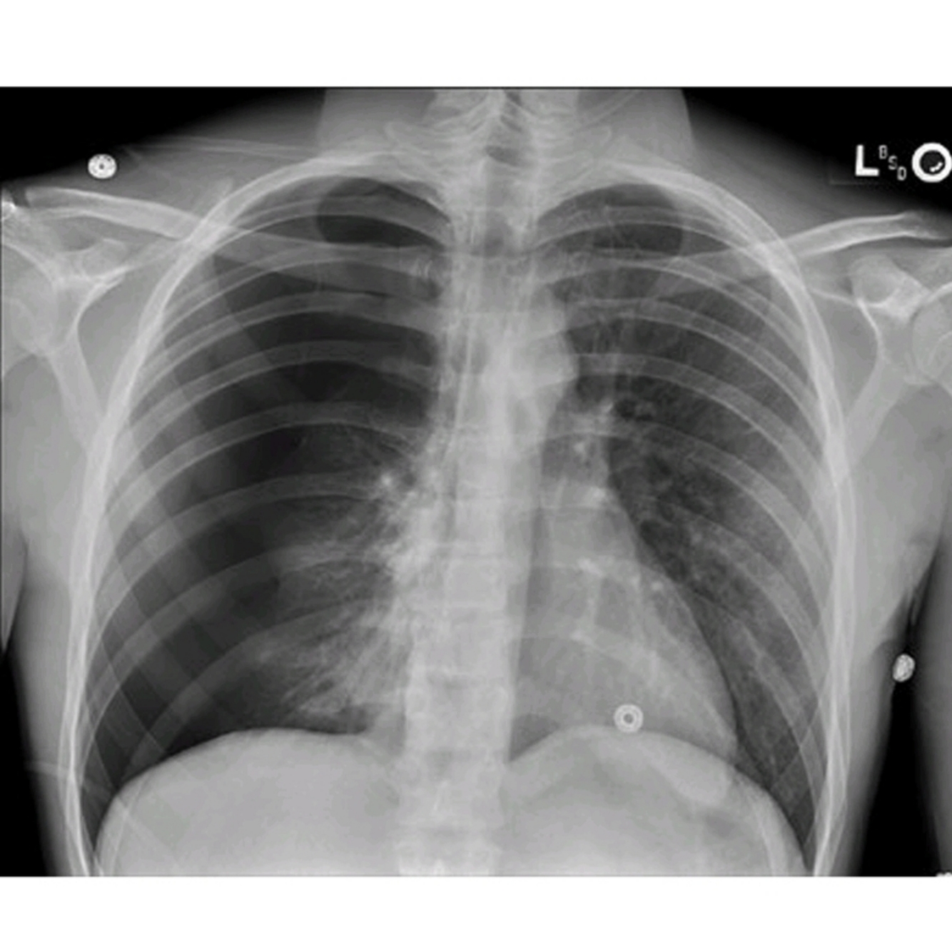
Q

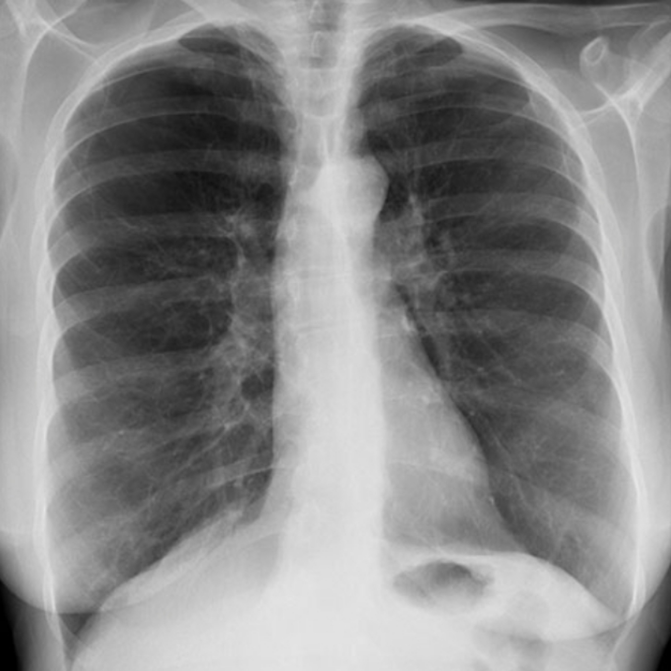
A 67 year old man is scheduled for repair of his inguinal hernia. On closer questioning he reviled history of haemoptysis,. Hi P CXR is shown.
1. Describe the xray
2. What is the underlying diagnosis

A

Diagnosis: COPD
Features:
° Hyperinflation a flat diaphragms , there should be 7 intercostals spaces seen
° Horizontal orientation of ribs
° osteopenic ribs 2° chronic steroid use

How well did you know this?
1
Not at all
2
3
4
5
Perfectly
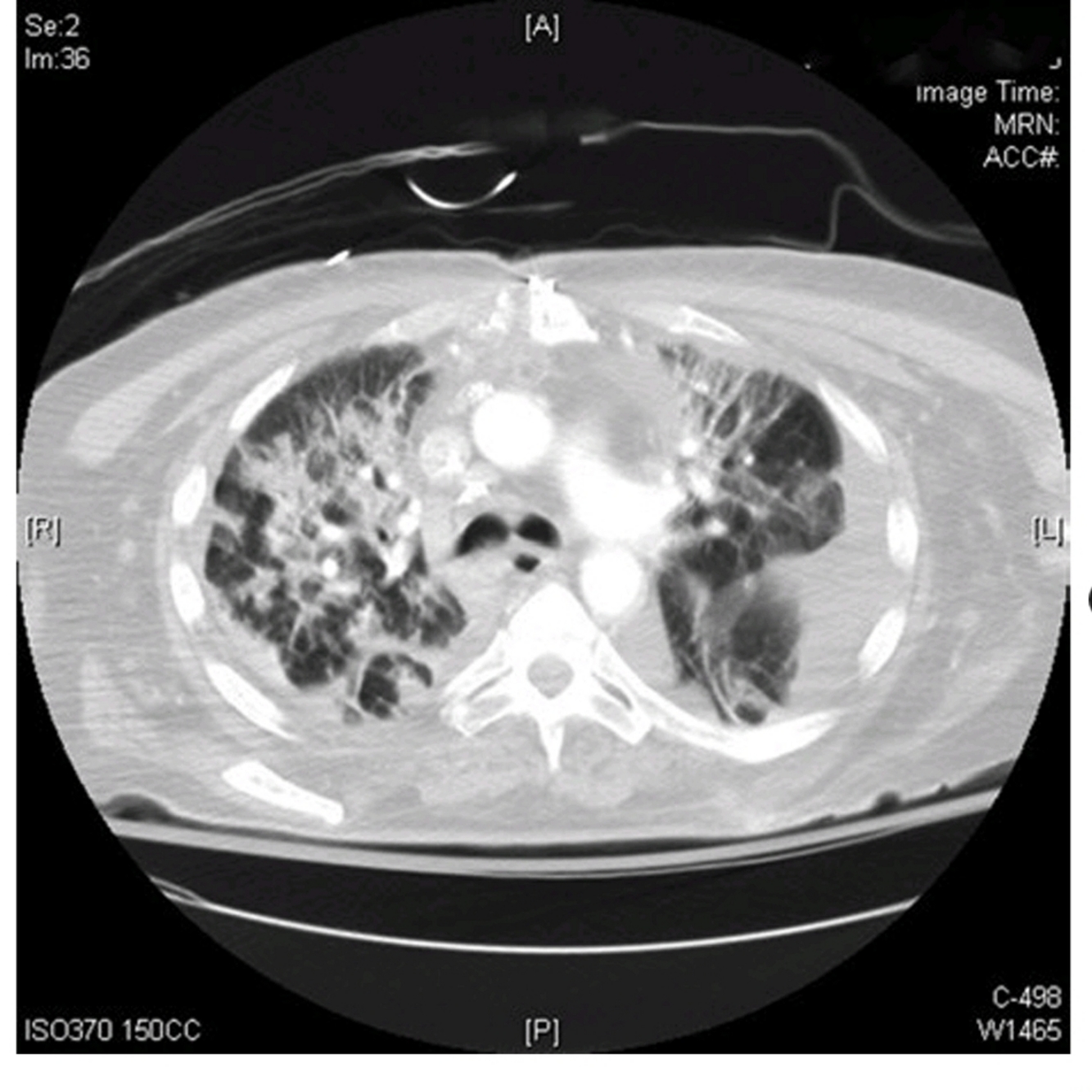
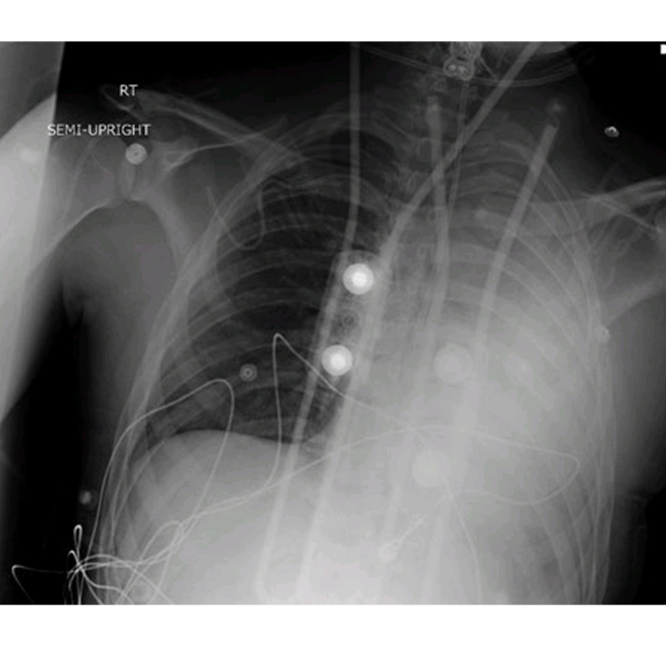
3
Q

What does above image
show?

A

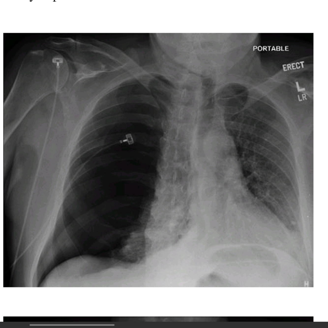
The image shows a large right-sided pneumothorax with visible margins of the collapsed lung. Pneumothorax is the presence of gas within the pleural space owing to disruption of the parietal or visceral pleura

How well did you know this?
1
Not at all
2
3
4
5
Perfectly
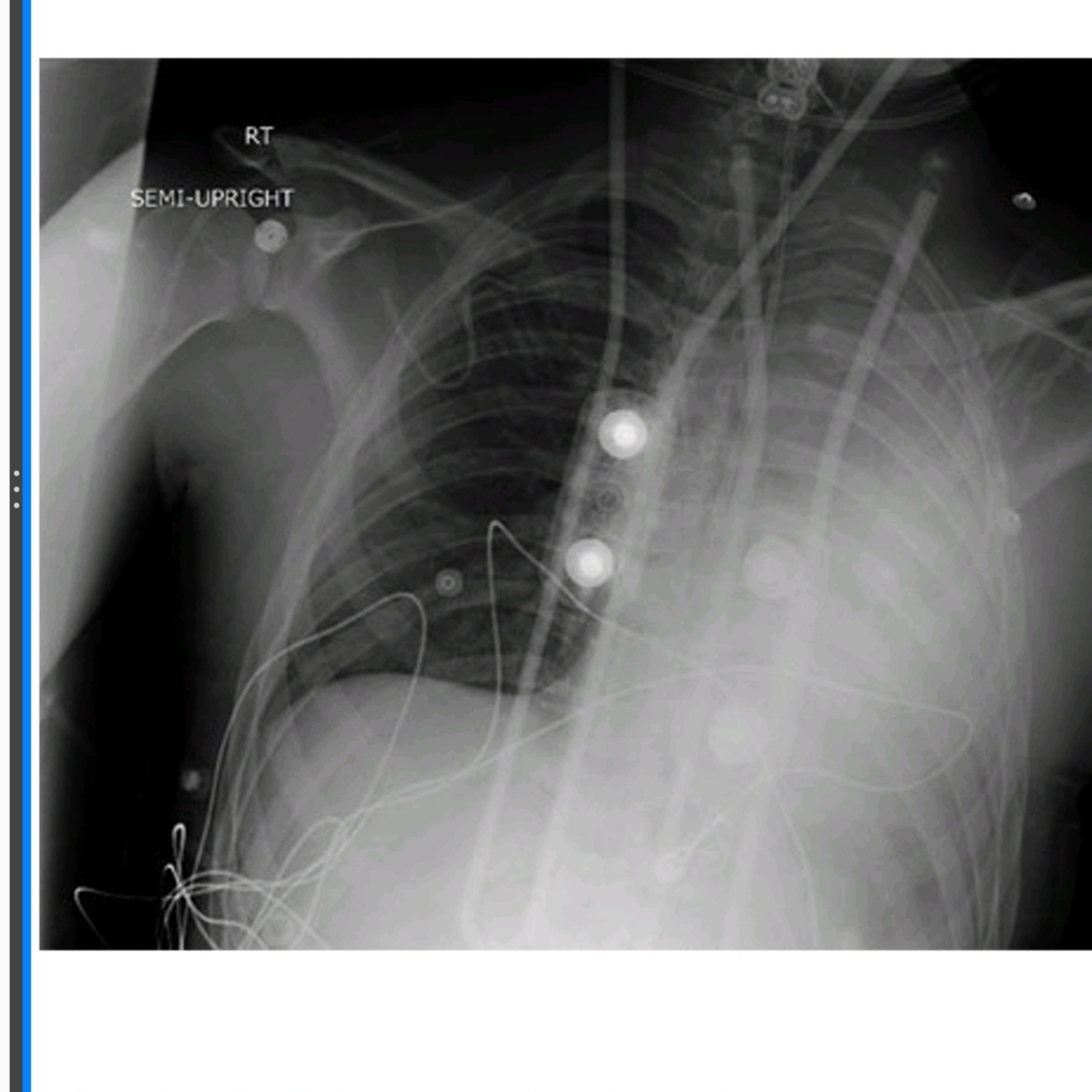
4
Q

How do you treat tension pneumothorax?

A

○ Tension pneumothorax is a surgical emergency, and if suspected on clinical grounds, time should not be spent seeking radiological evidence.
○ A large-bore needle should be placed in the second intercostal space in the midclavicular line, allowing air to drain freely (Fig. 44.3).
○ The needle should be left in place until a tube thoracotomy is performed.

How well did you know this?
1
Not at all
2
3
4
5
Perfectly
5
Q

What are the indications for surgical intervention for a pneumothorax?

A

An air leak from the lung that persists for more than 10days may be an indication for surgical intervention. Recurrent pneumothorax can be treated by chemical pleurodesis without a thoracotomy by instilling tetracycline into the pleural space [3].

How well did you know this?
1
Not at all
2
3
4
5
Perfectly
6
Q

Is there a way to classify this condition (pneumothorax)?

A

Classification Neonatal, spontaneous, traumatic
• Pediatric pneumothorax– neonates with respiratory distress syndrome, especially if they are mechanically ventilated with positive and expiratory pressure and are prone to pneumothorax.
• Congenital diaphragmatic hernia results in underdeveloped lung ipsilateral to the defect in diaphragm. The more compliant contralateral lung is prone to barotrauma and pneumothorax.
○ Spontaneous pneumothorax occurs without trauma and most often in males between 20 and 35years of age. These patients are often tall and slender, and most of the patients are smokers. Recurrent spontaneous pneumothorax is common during the first year after the initial event. Primary spontaneous pneumothorax occurs in tall, thin males aged 20–40 and who are smokers. Secondary spontaneous pneumothorax occurs in patients with underlying pulmonary disease, and the presentation may be more serious with symptoms and sequelae due to comorbid conditions. ○ Traumatic pneumothorax Blunt or penetrating trauma to the chest wall can cause a pneumothorax; the most common cause is iatrogenic and is caused by subclavian line placement. ○ Tension pneumothorax This occurs when air enters the pleural cavity on inspiration but, because of a ball-valve mechanism, is unable to exit. This progressively enlarges the pleural space, shifting the mediastinum and trachea to the contralateral side and also decreasing venous return.
○ Tension pneumothorax is a medical emergency and without prompt intervention leads to rapid deterioration in the patient’s condition leading to death [1].

How well did you know this?
1
Not at all
2
3
4
5
Perfectly
7
Q

Name some causes for the changes seen in the image?
What’s the most valuable x-ray finding used to help differentiate the etiology of this finding

A

The most common causes of unilateral lung whiteout on chest radiograph (Fig. 45.1) are pneumonia, pleural effusion (including hemothorax), and collapse/atelectasis. The ability to differentiate between collapse and pleural effusion is essential beca
2. The most important finding that may help differentiate the etiology of unilateral whiteout is tracheal deviation or mediastinal shiftuse they require distinct treatments, which, if applied erroneously, could harm the patient [1].

How well did you know this?
1
Not at all
2
3
4
5
Perfectly
8
Q

What is the differential diagnosis of this finding when there is no tracheal deviation or mediastinal shift on chest x-ray?

A

○ With a finding of central mediastinum, diagnostic considerations include consolidation/pneumonia, pulmonary edema/ARDS, small to moderate pleural effusions (most likely would cause a partial rather than a complete whiteout), and mesothelioma. ○ Small and moderate pleural effusions tend to gravitate posteriorly without producing mediastinal shift.
○ Encasement of the lung in a mesothelioma patient limits mediastinal shift.

How well did you know this?
1
Not at all
2
3
4
5
Perfectly
9
Q

What is the differential diagnosis when there is mediastinal shift away from the opacity?

A

○ With tracheal displacement away from the diffuse opacity, diagnostic considerations include a moderate to large pleural effusion, large pulmonary mass, and a diaphragmatic hernia.
○ Diaphragmatic hernias on the right side usually consist of liver herniation, while on the left, from herniated bowel.

How well did you know this?
1
Not at all
2
3
4
5
Perfectly
10
Q

What is the differential diagnosis when there is mediastinal shift toward the opacity?

A

Mediastinal shift toward the side of the opacity is seen in lung collapse (endobronchial intubation, mucus plugging), post-pneumonectomy, and pulmonary agenesis/hypoplasia. The figure above (Fig. 45.1) illustrates a case of mucus plugging in the ICU in a young patient with high-level spinal cord injury compromising the strength of his cough and therefore his ability to clear secretions. This scenario can be encountered by the anesthesiologist quite often. Endotracheal tube repositioning with or without bronchoscopy is a simple fix to main stem intubation, whereas endotracheal suctioning or bronchoscopy are easily performed to clear secretions and/or mucus plugs [1, 2, 3].

How well did you know this?
1
Not at all
2
3
4
5
Perfectly
11
Q

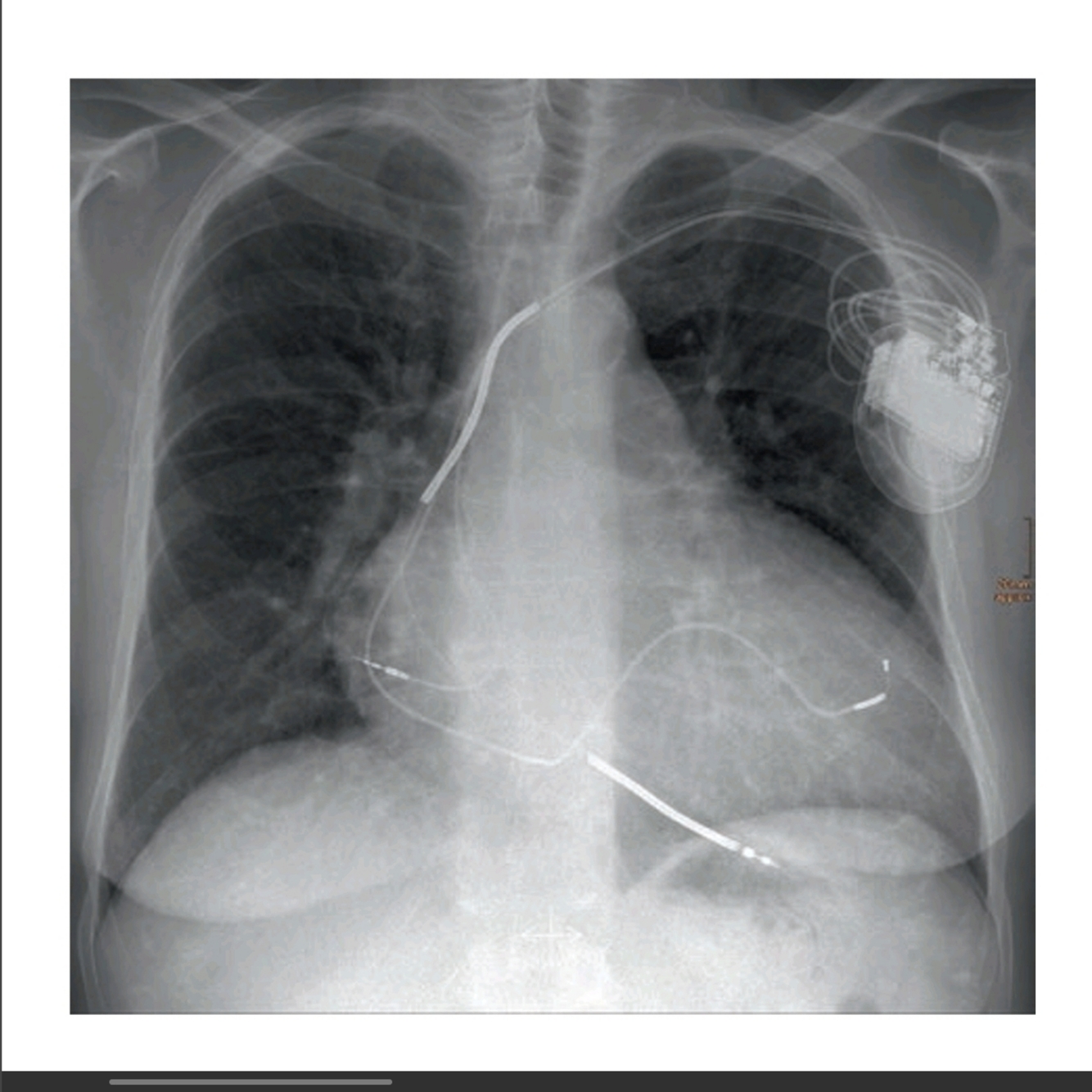
A 65-year-old female after a motor vehicle collision requires emergency surgery for an open lower extremity fracture; the patient tells you she has a “bad heart,” she has no history in your institution, and no signs of heart failure. An EKG shows wide QRS with dual-chamber pacing. A CXR on admission show (See Fig.46.1). 1. What type of device is shown in the image?

A

This patient has an implantable biventricular cardio-defibrillator (BiV ICD) [1].
(a) The radiographic image of a pacemaker would show (See Fig.46.2):
• Smaller generator
• Discreet right ventricular lead (stable diameter)
• With or without right atrial lead or coronary sinus lead
(b) The radiographic image of an ICD would show above image:
• Larger generator.
• Prominent right ventricular lead, otherwise known as shock coils.
They appear as two metallic segments along the length of the ICD lead.
(c) The radiographic image of a BiV ICD would show (See Fig.46.4):
• Larger generator
• Prominent right ventricular lead (shock coils)
• Right atrium lead
• Coronary sinus lead
Manufacturer ID can be seen in the CXR as well

How well did you know this?
1
Not at all
2
3
4
5
Perfectly
12
Q

What are the indications for cardiac implantable electronic device placement?

A

Indications for cardiac implantable electronic device placement [2]:
(a) Pacemaker:
• Patients with symptomatic sinus node dysfunction and bradycardia
• Patients with complete AV block (symptoms less relevant)
• Hypersensitive carotid sinus syndrome and neurocardiogenic syncope
(b)ICD:
• Patients at risk of sudden cardiac death: Prior ventricular tachycardia or fibrillation, low ejection fraction [3]
• Long QT syndrome
• Hypertrophic cardiomyopathy
• Arrhythmogenic right ventricular dysplasia • Cardiac transplantation
•Primary electrical disease: idiopathic ventricular fibrillation, short QT syndrome, Brugada syndrome, and catecholaminergic polymorphic ventricular tachycardia
(c) BiV ICD:
• Treatment of left ventricular dysfunction and heart failure, with prolonged ventricular conduction and heart failure symptoms.
• Required ventricular pacing and low EF:– RV pacing in patients with low EF increases CHF admissions and mortality. • Cardiac resynchronization therapy [4]:– Improved exercise tolerance and mortality.– Continuous pacing provides better hemodynamic stability.

How well did you know this?
1
Not at all
2
3
4
5
Perfectly
13
Q

What is the effect of placing a magnet over the device (pacemaker and/or ICD)?

A

Chapter 38 millers
○ Effect of a magnet on a device [5]: depends on manufacturer type and whether the magnet application is turned on. ST Jude vs Meditronic
(a) Pacemaker:
• Suspend sensing of intrinsic rhythm.
• Pacing in an asynchronous mode: the rate depends on the manufacturer and the battery life; if the battery life is low, the rate may not be adequate for surgery.
• Turns off “rate response.”
(b)ICD:
• Varies depending on device, manufacturer, and programming of the device.
• In general it turns off detection of tachycardia and tachycardia therapy (discharge and pacing).
• In general, it has no effect on the pacemaker (pacing will not become asynchronous). In patients that are pacemaker dependent due to the risk of electrical interference and pacemaker malfunction, it is best to reprogram the device to address both the tachycardia and bradycardia therapy.

How well did you know this?
1
Not at all
2
3
4
5
Perfectly
14
Q

In the OR, you place a magnet over the device. The patient goes pulseless after prolonged use of electrocautery. What is your diagnosis?

A

○ Most probably this patient has a BiV ICD and low ejection fraction and is pacemaker dependent.
° The device functioned appropriately with the magnet, which suspended the tachyarrhythmia detection.
° Pacing was inhibited by the prolonged use of electrocautery.
° Pacing returns to an unresponsive myocardium, after a prolonged period of asystole that might have led to PEA arrest.

How well did you know this?
1
Not at all
2
3
4
5
Perfectly
15
Q

What are the effects of electrocautery, radiation therapy, and radiofrequency on a pacemaker and an ICD?

A

Pacemaker [1, 6]:
(a) Electrocautery:
• Faulty sensing of intrinsic activity causing inappropriate inhibition of pacemaker activity– More prominent with monopolar cautery– More likely with above the waist surgery
• Possible device reset or damage to the generator, or the leads, but unlikely
(b)Radiation therapy:
• Possible device reset when performed near the device
(c) Radiofrequency:
• Electrocautery-like electromagnetic interference that could cause inappropriate inhibition of pacemaker activity which is more likely with procedures above the waist • Possible device reset or damage to the generator, or the leads, but unlikely

ICD:
(a) Electrocautery:
• Faulty sensing of intrinsic activity causing inappropriate sensing of arrhythmias– More prominent with monopolar cautery • Possible device reset or damage to the generator, or the leads, but unlikely (b)Radiation therapy:
• Possible device reset when performed near the device
(c) Radiofrequency:
• Electrocautery-like electromagnetic interference that could cause inappropriate arrhythmia sensing inhibition
• Possible device reset or damage to the generator, or the leads, but unlikely

How well did you know this?
1
Not at all
2
3
4
5
Perfectly
16
Q

What measures can you take to ensure proper intraoperative device functioning? Pacemaker

A

When facing a patient with a device one must ascertain [1, 5]: 243 46 CXR III
(a) Device type and obtain as much information as possible
• Is there a history of cardiac arrest, arrhythmias, or VT/VF?
• Evaluate medical record, registration card.
• Contact the manufacturer.
(b) Procedure type: Location and presence of electromagnetic interference
(c) Patients characteristics:
• Pacemaker dependence:– Usually can tell just from the monitor or EKG.If pacing spikes are not visible, then usually they are not dependent.– If there are spikes in front of all or most P waves and/or QRS complexes, then assume pacemaker dependency.
• Chambers being paced
• Presence of low EF? (d) Urgency of the case
• Elective cases:– Contact patient’s provider, pacemakers should be seen every year, and ICDs every 6 months.– Follow recommendations.
• Emergency cases:
(1) General recommendations:
a. Have magnet immediately available.
i. If magnet impossible to place, must call EP; the device might require reprograming before the procedure.
b. Monitor patient with plethysmography or arterial line.
i. All other forms of monitoring are unreliable due to noise with electromagnetic interference.
c. Transcutaneous pacing and defibrillation pads should be placed (anterior/posterior).
d. Evaluate the pacemaker or ICD before leaving a cardiac-monitored environment.
e. ICD patients should be on monitor at all times while ICD is deactivated.
f. If any device is programmed specifically for surgery, patient cannot be taken off the monitor until the device is reprogrammed. (2)

○ Recommendations for patients—not pacemaker dependent
a. No ICD present:
i. If the surgery is not within 6 inches (15cm) of the device, then no other actions are necessary.
ii. If the surgery is within 6 inches of the device, then a magnet can be placed or the device reprogramed by a device specialist to asynchronous mode (AOO, VOO, DOO).
b. ICD or BiV ICD present:
i. Place magnet to stop tachyarrhythmia detection.
ii. If magnet is impossible to place, or surgery is within 6inches of the device, or is a cardiac/thoracic procedure, then you must call the device specialist to turn off the tachyarrhythmia detection to avoid unwarranted discharges during the procedure if electrical interference is present.
(3) Recommendations for patients—pacemaker dependent
a. No ICD present:
i. Use short electrosurgical bursts.
ii. Place magnet over device for procedures not within 6 inches (15cm) of the device.
iii. If magnet is impossible to place or surgery is within 6 inches of the device, then the device specialists must be called to reprogram to an asynchronous mode. b. ICD or BiV ICD present:
i. Use short electrosurgical bursts.
ii. If the surgery is not within 6 inches of the device, then place magnet over device to suspend tachyarrhythmia detection and contact the device specialist to reprogram the device to an asynchronous mode.
iii. If magnet is impossible to place or surgery within 6 inches of the device, then contact in-hospital device specialist to reprogram the device to an asynchronous mode to avoid electrical interference and to turn off tachyarrhythmia detection to avoid unwarranted discharges during the procedure.

How well did you know this?
1
Not at all
2
3
4
5
Perfectly
17
Q

What do the images above show and what is the differential diagnosis based on the appearance seen in the images above?

A

○ The chest X-ray (Fig. 47.1) shows diffuse bilateral coalescent opacities, whereas the CT chest (Fig. 47.2) shows ground-glass opacification, reflecting an overall reduction in the air content of the affected lung. It is also possible to visualize bronchial dilatation within areas of ground-glass opacification.
Differential diagnosis include
(a) ARDS,
(b) congestive heart failure,
(c) pulmonary hemorrhage,
(d) pneumonia,(
e) transfusion-related acute lung injury, and
(f) non-cardiogenic pulmonary edema.

How well did you know this?
1
Not at all
2
3
4
5
Perfectly
18
Q

What is the current definition of acute respiratory distress syndrome?

A

○ The Berlin definition, dated 2012, states that acute respiratory distress syndrome is an entity characterized by hypoxemia and stiff lungs that occurs within a week of a known clinical insult or new/worsening respiratory symptoms.
° It presents with bilateral opacities on the chest X-ray involving at least three quadrants that are not fully explained by effusions, atelectasis, or nodules.
° Chest computed tomography (CT) findings are opacification that is denser in the most dependent regions as compared to more normal and hyper-expanded lung in the nondependent ones. In addition, CT chest shows widespread ground-glass attenuation, which is a nonspecific sign that reflects an overall reduction in the air content of the affected lung.
○ Respiratory failure in ARDS must not be fully explained by cardiac failure, and an objective assessment for exclusion of such cause may be necessary by echocardiography.
○ Finally, ARDS is classified as mild, moderate, or severe based on PaO2/ FiO2 ratio and PEEP.
° If PaO2/FiO2 ratio is between 200 and 300mmHg with PEEP ≥5, it is classified as mild.
° If PaO2/FiO2 ratio between 100 and 200mmHg with PEEP ≥5, it is moderate.
° PaO2/FiO2 ratio less than 100mmHg with PEEP ≥5 is classified as severe.

Note that the term acute lung injury has been removed, as well as the requirement of pulmonary capillary wedge pressure ≤18mmHg.

How well did you know this?
1
Not at all
2
3
4
5
Perfectly
19
Q

Name some common triggers for the development of ARDS.

A

Common risk factors for ARDS are divided into two categories: direct and indirect.
(a) Direct causes are pneumonia, aspiration of gastric contents, inhalational injury, pulmonary contusion, pulmonary vasculitis, and drowning.
(b) Indirect causes are non-pulmonary sepsis, major trauma, pancreatitis, severe burns, non-cardiogenic shock, drug overdose, and multiple transfusions or transfusion-associated acute lung injury (TRALI).

How well did you know this?
1
Not at all
2
3
4
5
Perfectly
20
Q

What is the approach for mechanical ventilation on patients with the above diagnosis? ARDS

A

○ Protective lung strategy (also known as open lung approach or lung protective ventilation) is the standard of care for the management of patients with ARDS.
○ The ARDS Network was a randomized controlled trial designed based on the concept that the limitation of end inspiratory lung stretch may reduce mortality in this patient population.
°Patients that received lower tidal volume (Vt 4–6ml/kg ideal body weight) and maintenance of plateau pressure between 25 and 30mmHg had a survival benefit, with a decrease in mortality from 40% to 31%.
°Drawbacks from this mode of ventilation were hypoventilation leading to permissive hypercapnia and shear injury due to repetitive opening and closing of alveoli with each cycle. For that reason, PEEP should be set at above lower inflection point to prevent cyclic atelectasis.
○It is difficult to describe an efficient method of applying optimal PEEP in any given patient.
°Applying the highest PEEP that allows for maintenance of goal plateau pressure could be a reasonable approach.
°In that study, the survival benefit was also associated with a reduction of plasma IL-6, supporting the hypothesis that a lung protective strategy limits the spill of inflammatory mediators into the systemic circulation, which may induce multiple system organ failure.
○In refractory hypoxemia, prolonging the inspiratory time by increasing the I:E ratio may improve oxygenation; however, close attention must be directed to avoid air trapping, auto-PEEP, barotrauma, and hemodynamic compromise

How well did you know this?
1
Not at all
2
3
4
5
Perfectly
21
Q

Is there an indication for steroids, statins, or neuromuscular blockade (NMB) in ARDS

A

○ The use of glucocorticoid treatment for ARDS remains contradictory.
° The ARDS Network LaSRS study showed no benefit in mortality from the routine use of steroids in patients with ARDS.
° In addition, it was associated with increased risk of neuromuscular complications, as well as risk of death if started 2weeks after onset of ARDS.
° The potential adverse effects of steroids also include immunosuppression, superadded infection, and higher blood glucose levels. The mineralocorticoid component contributes to fluid/sodium retention; both of which could result in positive fluid balance, a known factor associated with poor outcomes in lung injury.
***At the moment, there is insufficient evidence to justify the routine use of steroids in patients with ARDS.
○ The SAILS trial published in 2014 compared statin with placebo in patients with ARDS in the setting of sepsis.
° Statin therapy did not reduce mortality or increase ventilator free days; therefore there is no evidence to support its use in ARDS.
○Neuromuscular blockade therapy for hypoxia has a few potential benefits.
° Avoidance of large tidal volumes that predispose to volutrauma decreased oxygen consumption from lack of muscle activity and improved patient–ventilator synchrony.
° Literature shows that the use of NMB in early (first 48h) ARDS is associated with improved mortality rate. Having said that, judicious use is warranted since paralysis interferes with neurological exam and has been linked to ICU-acquired weakness and posttraumatic stress disorder

How well did you know this?
1
Not at all
2
3
4
5
Perfectly
22
Q

Which nonconventional therapies can be used to enhance oxygenation in severe ARDS?

A
  1. Airway pressure release ventilation (APRV) is a combination of pressure- controlled ventilation and inverted ratio ventilation on a time-triggered, pressure- targeted, and time-cycled mode (Fig. 47.3).
    ○ A higher and a lower PEEP are set, and 80–95% of the respiratory cycle is spent during inspiration at the higher PEEP.
    ○The patient is allowed to breathe spontaneously during both high and low PEEP.
    ○ The mean airway pressure increases without much increase in the peak pressure, favoring lung protection.
    ○ This mode has been found to be associated with shorter ICU stay and duration of ventilation in patients with ARDS, but contradictory literature still exists, mostly in regard to the lack of evidence of mortality benefit.
  2. High-frequency oscillatory ventilation (HFOV) has been evaluated recently by two randomized controlled trials (OSCAR, and OSCILLATE) as well as by a meta- analysis.
    ○ HFOV has failed to show any mortality benefit.
    ○ The HFOV group in the OSCILLATE trial had higher mortality, higher requirement for sedatives, paralytics, and vasopressors, and therefore no evidence to support its use.
  3. Prone positioning takes advantage of gravity and repositioning of the heart in the thorax to recruit lung regions and improve ventilation–perfusion matching.
    ○ The mechanisms for the proposed benefit are change in diaphragm movements, increased functional and residual capacity, better secretion clearance, and reduced ventilator-induced lung injury.
    ○ The PROSEVA trial, published in 2013, brought attention back to this rescue mode after showing association with major decrease in 28-day and 90-day mortality, increase in ventilation-free days, and reduced time to extubation. ○ An increase in PaO2 by 10mmHg over the first 30min of prone ventilation usually predicts a sustained increase in PaO2 and deems the patient as a “responder.”
  4. Finally, extracorporeal membrane oxygenation (ECMO) remains an important tool for managing refractory hypoxemia that is life-threatening but often considered as a last resort. Literature on its benefit is scarce and controversial.
    ○ Guidelines suggest it should be used in scenarios that have a potential reversible cause, less than 7days on mechanical ventilation, age <65years, no significant comorbidities, no contraindication to anticoagulation, and no significant neurological dysfunction. In case of isolated respiratory failure, a veno-venous approach is advised, whereas in case of hemodynamic instability, a venoarterial approach should be used. More evidence is needed to support its use as standard of care [5].
How well did you know this?
1
Not at all
2
3
4
5
Perfectly
23
Q

What is the role of nitric oxide and prostaglandins in ARDS?

A

○ Inhaled vasodilators reduce pulmonary arterial pressure and redistribute blood flow to well-ventilated lung regions with little to no systemic side effects, improving the ventilation–perfusion matching.
○ Inhaled nitric oxide has been shown to improve oxygenation as measured by PaO2/FiO2 ratio and oxygenation index.
○ It is expensive, gets rapidly inactivated by hemoglobin, can result in methemoglobinemia, and carries an increased risk of renal failure.
***No beneficial effect on mortality or ventilator-free days has been shown with the use of nitric oxide.
○ Inhaled prostaglandins demonstrate similar vasodilator effects when compared to nitric oxide, including improved oxygenation and reduction in pulmonary hypertension; however evidence with large randomized clinical trials is lacking.
○ Patients on these vasodilators are considered “responders” if an improvement on oxygenation is observed within the first 1h of administration.
○ Based on current evidence, inhaled vasodilators must be considered only as a rescue and temporary therapy for patients with refractory hypoxemia (with or without pulmonary hypertension) when other methods have failed.

How well did you know this?
1
Not at all
2
3
4
5
Perfectly
24
Q

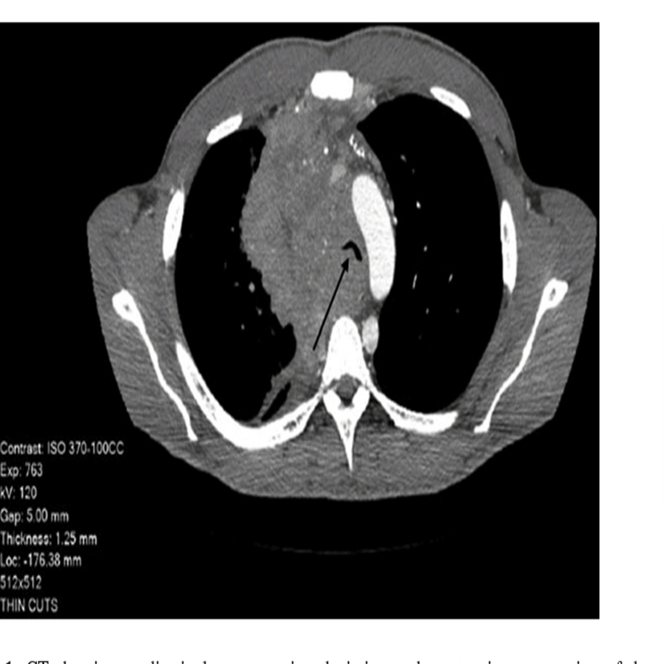
A 58-year-old man with a diagnosis of Hodgkin’s disease presents to the anesthesia preoperative clinic prior to placement of a port. He complains of mild difficulty in sleeping totally supine and clinically shows fullness of the veins of the neck. CT scan (Fig.48.1) shows that he has a mediastinal mass with both tracheal deviation and crescentic compression. 1. What are the symptoms of a mediastinal mass?

A
  1. Symptoms of a mediastinal mass:
    (a) A mediastinal mass may be asymptomatic even when it reaches a significant size. It may be discovered during routine radiological testing for the disease causing the mass or just incidentally [1].
    (b) When the mass reaches a critical size within the restricted mediastinal space, it can cause signs and symptoms related primarily to the cardiac or pulmonary system.
    ° This can include diminished venous return via the superior vena cava (SVC) leading to fullness of the neck veins and in extreme cases cardiac dysfunction from direct compression.
    ° Respiratory symptoms could range from dyspnea, progressive orthopnea, voice changes (nerve palsy), and in late stages stridor
How well did you know this?
1
Not at all
2
3
4
5
Perfectly
25
What are the physical ramifications of a significant mediastinal mass on the airway?
Physical ramifications of the mediastinal mass on the intrathoracic airway: (a) Deviation of the trachea. This could include: • “C”-shaped bowing of the trachea • “S”-shaped trachea (b) Narrowing and invasion of the lumen of the trachea and/or major bronchus: • The trachea when externally compressed becomes crescentic as the membranous posterior wall is the first to collapse. • Narrowing can be a short segment or a long segment of the trachea. • Encroachment can be around the entire carinal trifurcation of the trachea.
26
What are the anesthesia considerations for a significant mediastinal mass?
Anesthesia considerations for a significant mediastinal mass: (a) Lack of symptoms should not be considered as reassuring. ° This is especially true with superior or anterior mediastinal masses. ° With spontaneous ventilation, the mechanics of thoracic cage cause a distracting force on the larger airways by maintaining the intrapleural pressure gradient, helping to maintain the patency of the lumen. ° The loss of bronchial tone due to general anesthesia can also decrease lumen size. °Thirdly, the distension of the major airways will be diminished with smaller ventilatory volumes [2]. The loss of normal spontaneous ventilation during general anesthesia can thus precipitate intrathoracic airway obstruction in such cases with catastrophic results [3]. (b) Once the airway has been secured, the anesthetic plan is determined by the surgery and patient’s other comorbidities. (c) Placement of a regular endotracheal tube (ETT) in a trachea with “S”-shaped deviation can lead to the distal bevel end pushing up against the wall of the trachea leading to obstruction. (d) A smaller ETT size must be chosen against the measured diameter of the lumen by CT scan. (e) Securing the “lost” airway can possibly be done only by rigid bronchoscopy (RB). (f) Long-segment tracheal narrowing is a cause for concern for ETT placement or for the performance of rescue rigid bronchoscopy. (g) Extracorporeal oxygenation (ECO) which takes time with significant prior organization and access placement is the only rescue for loss of the intrathoracic airway with failed rigid bronchoscopy [4, 5]. (h) Significant and chronic tracheal compression can lead to tracheomalacia [6]. ○ This weakness of tracheal wall and airway swelling due to the ETT in a narrowed lumen must be considered before extubation. (i) Occlusion beyond the carina in one of the major bronchi is significant but less concerning than total tracheal obstruction. (j) Intravenous lines should be placed in the lower extremities if the SVC is compromised
27
What are techniques for the safe administration of an anesthetic for a significant mediastinal mass?
Techniques for safe administration of anesthesia in a patient with a significant mediastinal mass: (a) Ascertain the significance of the mass and its encroachment of the airway preoperatively—this consultation should include the surgeon (and CVT surgeon), radiologist, and anesthesiologist [7]. ° The factors in risk assessment include symptoms, type of tumor, and airway compromise. (b) Many tumor masses will show amazing resolution with chemotherapy or radiation prior to surgery. The CT scan in the above patient was repeated after short definitive therapy and showed near-total resolution of tracheal deviation and compression (Fig. 48.2). This should be done if appropriate. (c) When feasible, consider avoidance of general anesthesia. In the case presented, if venous access for treatment was critically needed, this should be done under monitored anesthesia care (MAC). If SVC drainage is compromised, venous access should be secured in the lower extremity. (d) Even if MAC or regional anesthesia is considered, every precaution to prevent loss of spontaneous ventilation must be employed. Rigid bronchoscopy must be available in the OR. (e) If MAC or regional anesthesia is not feasible, the choices are maintenance of spontaneous ventilation with either an inhalational induction or perform awake fiber-optic intubation followed by general anesthesia with appropriate ETT placement. This should include proper selection of the appropriate ETT for size and made with reinforced material. (f) In cases of significant compromise or long-segment stenosis, awake fiber- optic intubation after placement of access catheters for extracorporeal oxygenation in the groin is warranted [5, 8]. In extreme cases of carinal encroachment, the patient can be placed on ECO and rigid bronchoscopy performed under TIVA for airway securement (personal experience). After the anesthetic, due caution must be given to the airway, as described above (3H), before removing the ETT which must preferably be done in the fully awake and recovered patient.
28
Case presentation: A 44-year-old man was brought into the hospital after being hit by a truck while riding a bicycle. Glasgow Coma Scale (GCS) was 5 on presentation. CT images of his head on arrival are shown below (Fig. 49.1A–C). 1. Define Glasgow Coma Scale.
○ Teasdale and Jennett first described the Glasgow Coma Scale (GCS) in 1974 as a neurological tool to assess the level of consciousness following head injury. ○ The scale is since widely used by medical professionals worldwide as a reliable and objective way of recording the conscious state of a person for initial as well as subsequent assessments. ○ The scale ranges from a minimum score of 3 (not zero) to a maximum score of 15. ○ As described in Fig. 49.2, GCS has three elements: eye response, verbal response, and motor response.
29
How do you grade traumatic brain injury
Traumatic brain injury (TBI) can be classified as mild, moderate, or severe, based on patient’s Glasgow Coma Scale (GCS) on presentation. ○ A TBI with a GCS of 13 or above is classified as mild, 9–12 as moderate, and 8 or below as severe. ○ The patient described above, therefore, has suffered a severe traumatic brain injury. ○ Other classification systems exist secondary to the limited ability of GCS alone in predicting the outcome. ○ The model developed by the US Department of Defense and Department of Veterans Affairs uses three criteria: GCS after resuscitation, duration of post-traumatic amnesia (PTA), and loss of consciousness (LOC) . ○ It has also been proposed that changes visible on neuroimaging, such as swelling, focal lesions, or diffuse injury, should also be taken into consideration
30
What are the common types of traumatic brain injuries?
○ Some of the common types of traumatic brain injury include epidural hematoma, subdural hematoma, subarachnoid hemorrhage, intraparenchymal hemorrhage, contusion, intraventricular hemorrhage, and diffuse axonal injury. ○ An epidural hematoma is the bleeding from an artery leading to collection of blood between the skull and dura. ° It can present with the characteristic feature of a lucid interval following which the patient decompensates acutely. ° It is often a neurosurgical emergency requiring emergent craniotomy and hematoma evacuation. ○ Subdural hematoma is secondary to bleeding from ruptured bridging veins leading to collection of blood between the dura and arachnoid layers of meninges. ° In elderly, subdural hematomas can occur even from minor trauma and present with symptoms such as new onset headache, seizures, and focal neurological deficits. ○ Subarachnoid hemorrhage is the bleeding into the space between arachnoid membrane and pia mater. ° Trauma is the leading cause of subarachnoid hemorrhage. ○ Intraparenchymal or intracerebral hemorrhage is the bleeding into the brain tissue itself. ○ A contusion is a small intracerebral hemorrhage commonly noted in orbitofrontal and anterior temporal cortices. ○ Intraventricular hemorrhage is the bleeding into the ventricles of the brain. ° This is often accompanied by intraparenchymal hemorrhage. ° An external ventricular drain is usually placed to drain the intraventricular hemorrhage. ○ Diffuse axonal injury (DAI) happens when there is widespread damage to the white matter tracts of the brain secondary to shearing forces. ° It is one of the most devastating types of traumatic brain injury and can result in persistent vegetative state.
31
What are the abnormal findings in the images shown above?
○ The CT images (Fig. 49.3A–C) show some of the common CT findings that can be present in cases of traumatic brain injury following high-velocity motor vehicle collisions. ○ Figure 49.3A shows subdural hematomas (blue arrows) in the midline and bilaterally (right larger than left), skull fracture (red circle), and soft tissue swelling on the right (yellow arrow). ○ Figure 49.3B shows significant subarachnoid hemorrhage in the basal cisterns (blue margins). ○ Figure 49.3C shows a nondepressed skull fracture running obliquely through the bifrontal and left parietal calvarium (blue arrows) and comminuted depressed fractures of the bilateral nasal bones and the nasal septum (green circle).
32
What are the usual aspects of medical care of a patient with acute traumatic brain injury
○ Guidelines for the management of severe traumatic brain injury have been published [6, 7]. ○ Broadly, the acute management of a patient with traumatic brain injury revolves around ensuring hemodynamic stability; airway protection; control of elevated intracranial pressure by emergent medical and surgical measures such as intravenous mannitol/hypertonic infusion, hyperventilation, and placement of external ventricular drain and/or emergent craniotomy and surgical intervention; rapid identification and management of other injuries; and multimodal monitoring. ○ The initial approach to a trauma patient involves the primary and secondary surveys with rapid assessment of the airway, breathing, circulation, neurologic status (GCS), and associated injuries. ○ Signs and symptoms of severe traumatic brain injury and elevated intracranial pressure (such as low GCS, pupillary dysfunction, Cushing’s triad) usually indicate the need for emergent surgical interventions. ○ Airway management in such circumstances may be complicated by the status of the cervical spine, laryngopharyngeal integrity, and full stomach.
33
Describe some of the important elements of perioperative anesthetic care in a patient with acute traumatic brain injury
Some of the key elements of perioperative anesthetic care in a patient with acute severe traumatic brain injury include: (a) Treat hypotension first and then intracranial pressure (ICP). ° The cerebral blood flow is more affected by the decrease in blood pressure than by elevated ICP. (b) Intracranial pressure (ICP) and cerebral perfusion pressure (CPP) management: ° treat if ICP is above 20 mmHg but avoid prophylactic hyperventilation. ° Define target MAP based on ICP to maintain a normal CPP and cerebral blood flow: CPP = MAP − ICP or CPP = MAP − CVP (take the higher of ICP or CVP). ° Avoid CPP <50 mmHg or >70 mmHg. (c) Avoid hypotension: avoid SBP <90 mmHg. (d) Avoid hypoxia: avoid PaO2 <60 mmHg or O2 SaO2 <90%. (e) Maintain normovolemia. ° Avoid using hypotonic solutions such as lactated ringer, free water, or glucose containing intravenous fluids. These can increase ICP by increasing cerebral edema. ° The first choice for IV fluids in patients with brain injury is normal saline and plasmalyte. (f) The objective is to avoid secondary injuries from hypoxemia, hypercapnia, hypotension, elevated ICP, and metabolic derangements.
34
Case presentation: A 51-year-old woman initially presented to the hospital with 1-month history of confusion. Figure 50.1A, B illustrates the initial CT and MRI f indings. She underwent awake craniotomy with maximal resection of the mass followed by outpatient chemotherapy and radiation. She was reoperated 6 months later for recurrence of the lesion noted on surveillance imaging (Fig. 50.1C, D). Eight months after that, she presented with progressive weakness, confusion, aphasia, and gaze preference and was found to have further progression of the disease (Fig. 50.1E, F). 1. Identify and describe the abnormal findings in the images shown above.
○ The CT and MRI images of the brain depicted in Figs. 50.1A, B and 50.2A, B show an irregular heterogeneously enhancing mass lesion centered in the region of the splenium of the corpus callosum, slightly to the left of the midline. ° This mass extends to involve the left lateral ventricle and bilateral thalami. ○ These findings are concerning for a high-grade glioma, likely glioblastoma multiforme. ° This patient underwent awake craniotomy and resection of the mass followed by outpatient chemotherapy and radiation. ° The pathology confirmed the diagnosis of glioblastoma. ○ Figures 50.1C, D and 50.2C, D depict the local recurrence of the tumor six months later. Following this, the patient underwent repeat craniotomy and tumor resection. ○ Figures 50.1E, F and 50.2E, F depict the pre- and post- contrast MRI images which reveal recurrence in the right frontal region eight months later (encircled region). ° Radiation-induced changes are also noted (blue arrows). The decision was made to pursue hospice care at this point.
35
How are brain tumors classified?
○ Brain tumors can be classified in a number of ways. °A primary brain tumor is a tumor that starts in the brain, as opposed to metastatic brain disease. ° Primary brain tumors can be classified as benign tumors that tend to have slower growth and distinct borders vs. malignant tumors that grow rapidly, invade the surrounding tissues and structures, and have grave prognosis. ○ Brain tumors are also commonly graded using the WHO grading system. ° Grade I tumors such as craniopharyngiomas and pilocytic astrocytomas grow slowly and are associated with good long-term prognosis. ° Grade II brain tumors are also slow growing but can spread into adjacent tissue. °Grade III and IV tumors are malignant. Glioblastoma is the most common example of a grade IV primary brain tumor. ○ A very extensive WHO classification of brain tumors was recently published and serves as the guideline for neurosurgeons and neuropathologists.
36
List some of the common brain tumors.
○ The most common brain tumors include meningiomas, gliomas, and metastatic brain disease. ○ Meningiomas are the most common primary brain tumors. ° A meningioma is a tumor that arises from the meninges, which are the linings of the brain. °They occur most frequently in middle-aged women. °They are benign, WHO grade I tumors, and surgery is the usual first-line treatment. Small asymptomatic meningiomas can also just be observed. °Approximately 5% of meningiomas are malignant in nature. ○ Gliomas are tumors arising from glial cells which form the supportive tissue of the brain. °They are the second most common primary brain tumors but comprise the most common malignant brain tumor. °An astrocytoma is a glioma arising from the glial cells called astrocytes. °A grade IV astrocytoma is also called Glioblastoma multiforme or GBM. °GBM can present with a variety of neurological signs and symptoms such as headache, seizures, and focal neurologic deficits. Usual treatment is maximal surgical resection followed by radiation and chemotherapy, but recurrence is frequent and prognosis is usually grave. ○ Craniopharyngioma is a benign tumor that arises from a nest of cells located near the pituitary stalk. °These tumors can present with signs of increased intracranial pressure by causing obstruction of CSF outflow across the foramen of Monro. °Surgery is the first-line treatment. ○Medulloblastoma is a high-grade cerebellar tumor usually seen in children. °They can extend into the fourth ventricle and cause hydrocephalus by obstructing CSF outflow and metastasize to the spinal cord. °Treatment included resection followed by radiation and chemotherapy. °Metastatic brain disease is the spread of a primary tumor elsewhere in the body to the brain. °The common cancers that spread to the brain are those arising in the thyroid, lung, breast, kidney, prostate, and colon, as well as melanomas. °The prognosis is grave.
37
What is the role of steroids in the acute management of brain tumors?
○ Steroids are often used acutely to treat the cerebral edema that can sometimes be caused by a brain tumor. ○ There are two broad categories of cerebral edema: cytotoxic edema and vasogenic edema. °Cytotoxic edema happens after neuronal death and involves both grey and white matter. This is usually seen after a stroke. °Vasogenic edema involves the white matter only and is often associated with tumors, infections, and hypertensive encephalopathy. Steroids are very effective for vasogenic edema from brain tumors and can temporarily relieve some of the neurologic signs and symptoms. ○They can be utilized before, during, or after surgery or to treat edema caused by radiation therapy. ○ Steroids can also be prescribed to improve quality of life in patients with advanced primary or metastatic neoplastic brain disease. ○ The usual dose in acute setting is dexamethasone 10 mg IV followed by 4 mg every 6 h.
38
Describe important elements of anesthesia in a patient undergoing awake craniotomy for an intracranial mass lesion.
○ Awake craniotomy is utilized when the brain lesion (such as a tumor) is located in close proximity to an eloquent cortical region such as Broca’s area or the motor strip. ○ It provides the neurosurgeon the opportunity to preserve neurological function and limit deficits by performing awake functional cortical mapping during the resection. ○ The procedure, however, poses some unique challenges to the anesthesiologist [2]. ° Patient cooperation during the procedure is critical, and loss of intraoperative cooperation may result in a failed awake craniotomy. ° Well- motivated and mature patients are the best candidates. ° Preoperative evaluation should include a discussion of the expectations and level of cooperation required during the procedure as well as eliciting risk factors for failed awake craniotomies such as history of alcoholism, low tolerance to pain, and anxiety or psychiatric disorders [3]. ° Intraoperatively, the most critical element of anesthesia management is provision of a rapid and smooth transition of the anesthetic depth tailored to the different surgical stages while maintaining a stable hemodynamic and cardiopulmonary function. Comfortable positioning is mandatory. Several different anesthetic techniques have been described such as conscious sedation, asleep-awake-asleep technique, and asleep-awake technique. The choice of anesthetic agent is highly dependent upon the requirement for functional cortical mapping and intraoperative electrocorticography. Propofol infusion with a supplementary opioid is a common anesthetic choice for awake craniotomies.
39
A 38-year-old female has undergone an ORIF of the femur with a general anesthetic and epidural anesthesia for postoperative pain. On the second postoperative day, she is complaining of increasing back pain, numbness, and some weakness on the left leg. Her VSS show a blood pressure of 110/60 mmHg, HR 85, RR 14, T-38.8 C. The surgeon would like you to remove the epidural catheter. She is on aspirin and subcutaneous heparin 5000 units three times a day . What does the MRI show you in this picture?
○ Figure 51.1A and B shows a fluid collection in the epidural space in the thoracic spine in a T1-weighted image in sagittal and axial views, respectively. ○ Figure 51.1C and D shows a hyperintense mass at the same level in a T2-weighted image. ○ Figure 51.1D shows an intense mass pushing on the anterior aspect of the spinal cord (white arrows). ○ Spinal epidural hematoma can occur spontaneously or may follow spinal or epidural anesthesia [1]. ° The peridural anterolateral venous plexus usually is most often the primary source, though arterial sources of hemorrhage can occur rarely. ° This is supported by the fact that hematoma usually develops over hours to days suggesting a slow accumulation of blood from a venous bleed. ° The hematoma usually extends to the dorsal aspect of thoracic or lumbar region over several vertebral levels. If the patient has any contraindication to obtaining a MRI, then a CT myelography scan may be substituted to make an early diagnosis. MRI is however more specific in detecting the various stages of hematoma compared to CT myelography and is considered the first choice diagnostic step to confirm the presence of an epidural hematoma. °An acute hematoma usually presents as low signal intensity signal on T1-weighted image and high signal intensity on T2-weighted image [2].
40
What is the incidence of this condition?
Epidural hematoma after neuraxial anesthesia is fortunately a rare event. The true incidence is unknown but is estimated to occur at an incidence of 1:220,000 after a spinal block and 1:150,000 after an epidural block [3]. The risk is much higher at 1 in 3000 in certain patients with risk factors. The risk is much lower in the obstetric population compared to vascular patients. About 1 in 430 patients with epidural catheters will be suspected to have an epidural hematoma and undergo a workup for it [4].
41
How does this condition present clinically?
○ Patients with epidural hematoma present with severe unrelenting, nonpositional, acute onset back pain and varying degrees of lower-limb weakness and sensory deficits. ○ Some patients may have motor weakness as a primary symptom in the absence of back pain. ○ If the compression is extensive, then it could cause bowel and bladder incontinence. ○ Symptoms could be absent or attenuated in the presence of a well-functioning epidural catheter infusing high concentrations of local anesthetics. ○ Symptoms rarely develop in the immediate postoperative period and typically take 2–3 days. Once symptoms begin, they can progress from back pain to a complete or partial paraplegia or even quadriplegia in a few hours.
42
A 38-year-old female has undergone an ORIF of the femur with a general anesthetic and epidural anesthesia for postoperative pain. On the second postoperative day, she is complaining of increasing back pain, numbness, and some weaknesco privation s on the left leg. Her VSS show a blood pressure of 110/60 mmHg, HR 85, RR 14, T-38.8 C. The surgeon would like you to remove the epidural catheter. She is on aspirin and subcutaneous heparin 5000 units three times a day What is the differential diagnosis for this patient?
○The differential diagnosis for this presentation can include • epidural abscess, • intradural hemorrhage, • prolonged and exaggerated neuraxial block, • anterior spinal artery syndrome, • spinal cord compression due to presence of tumors, • disc herniation, • worsening of previous spinal stenosis, • lumbar radiculopathy, • compression fracture of the spine, and • spinal cord infarction. ○ There should be a high index of suspicion for an epidural hematoma in an anticoagulated patient who has an epidural catheter and in the presence of back pain with neurological deficits.
43
A 38-year-old female has undergone an ORIF of the femur with a general anesthetic and epidural anesthesia for postoperative pain. On the second postoperative day, she is complaining of increasing back pain, numbness, and some weakness on the left leg. Her VSS show a blood pressure of 110/60 mmHg, HR 85, RR 14, T-38.8 C. The surgeon would like you to remove the epidural catheter. She is on aspirin and subcutaneous heparin 5000 units three times a day What are its risk factors?
○ The risk factors for developing an epidural hematoma include “patient-specific” factors or “surgery-related” issues. ○ “Patient-specific factors” include advanced age, needle size, presence of epidural catheter, females, trauma patients, spinal cord and vertebral column abnormalities, preexisting spinal stenosis, organ function compromise, presence of underlying coagulopathy, traumatic or difficult needle placement, as well as indwelling catheter in anticoagulated patient. ○ Spontaneous spinal epidural hematoma can sometimes occur with anticoagulation, thrombolysis, blood dyscrasias, coagulopathies, thrombocytopenia, neoplasms, or vascular malformations. ○ “Surgery-related factors” include prolonged surgery and high intraoperative blood loss
44
How could one prevent epidural haematoma occurrence?
○ The practice guidelines put forth by the American Society of Regional Anesthesia and Pain Medicine provide several preventive measures to avoid the occurrence of epidural hematoma. ○ The rarity of occurrence mandates that most guidelines come from the collective experience of recognized experts in the field of regional anesthesia and anticoagulation. They are based on case reports, clinical series, pharmacology, hematology, and risk factors for surgical bleeding. ○ The timelines to stopping and restarting anticoagulants after neuraxial anesthesia are summarized in Table 51.1. ○ Multiple anticoagulants always pose an additional risk even in the case of aspirin, selective serotonin reuptake inhibitors, and nonsteroidal anti- inflammatory medications [5, 6]. ○ Several newer anticoagulants in the past few years necessitate a thorough knowledge of these drugs and their impact on neuraxial anesthesia. ○ Optimal coagulation is necessary during needle placement, maintenance, and removal of catheters. ○ Close monitoring of anticoagulation status, frequent and regularly timed neurological checks, and the use of low- concentration local anesthetics are necessary to avoid this dreaded complication.
45
What treatment options are available? Spinal haematoma
The treatment of epidural hematoma is timely diagnosis, consultation with a neurosurgeon, and an emergency laminectomy to avoid persistent neurological deficits. The prognosis is best when the laminectomy is done within 8 h. Treatment delay greater than 24 h is associated with the worst prognosis [7].
46
An 82-year-old man with a history of hypertension, hyperlipidaemia and COPD presented from a nursing home for an emergent laparotomy for a ruptured appendix. A transoesophageal echocardiography (TEE) probe was placed intraoperatively for diagnosis and monitoring after several attempts at managing hypotension proved futile. Questions 1. What are some of the benefits of using TEE in managing patients for non-cardiac surgery?
TEE can provide immediate and accurate haemodynamic measurement of cardiac function including cardiac output and left ventricular filling pressure, chamber preload, atrial interaction and pulmonary arterial pressures. Doppler ultrasound principles are used to derive intracardiac flow across orifices and valves in order to calculate orifice area, stroke volume and cardiac output. Intraoperative cardiac output measurement provides a tool for assessing global cardiac function. The information obtained from the cardiac output measurement can be used in guiding therapeutic decision during cardiac and non-cardiac surgery. The use of TEE for cardiac output measurement thus provides a simple and reliable minimally invasive method of assessing cardiac function. Intraoperatively, TEE can be used to diagnose or redefine the cause of haemodynamic instability and detect new or unsuspected pathology like valvular (stenosis or regurgitation) and other lesions.
47
What physics principles underlie the calculation of valve area, stroke volume and cardiac output using TEE? (See Figs. 52.1, 52.2, 52.3, 52.4 and formula illustration)
○ Blood flow across valves and orifices of the heart can be obtained using the Doppler capabilities of echocardiography and applying the basic principle of physics and fluid dynamics. ○ According to the principles of physics and fluid dynamics, ° Volume in a cylinder = cross-sectional area of the cylinder or vessel × vessel length of cylinder or vessel pr2L 2 ´=´ , where r is the radius of the cylinder or vessel and L is the distance between the two point (or the length of the cylinder or vessels). Also, flow rate (Q) is calculated as Flowrate Q volume Area ()==´= ´p2 L t t where t is time for fluid to traverse from point A to B.
48
Intraoperative echo showed a severely calcified aortic valve with a left ventricular outflow tract diameter (LVOT) of 2.59 cm, an LVOT VTI of 17.5, maximum LVOT velocity (Vmax) of 69.2 cm/s, aortic valve VTI of 152 cm and an aortic valve Vmax of 533 cm/s. The heart rate on the monitor was 97 beats/min. How would you calculate the stroke volume and cardiac out?
49
A 60-year-old-patient with a history of right upper lobe lung cancer, peripheral vascular disease, and chronic bronchitis is scheduled for a transthoracic echocardiography as part of workup for lung resection. Echocardiography evaluation revealed a severely calcified aortic valve, severe left ventricular hypertrophy, and a low normal ejection fraction (EF 50%): 1. What is the etiology and pathophysiology of aortic stenosis?
Causes of aortic stenosis (AS) in adults: (a) Degeneration of tricuspid valve—commonest, seen after 60 years age, caused by generalized atherosclerosis (b) Degeneration of bicuspid valve—seen before 60, fusion of right and left cusps resulting in large anterior and small posterior cusp, associated with aortic dissection, aneurysm and coarctation (c) Rheumatic—commonest cause worldwide, usually associated with mitral disease as well (d)Outflow obstruction: • Subvalvular—either membrane or hypertrophic obstructive cardiomyopathy (HOCM) • Supravalvular—Williams syndrome Aortic sclerosis, defined as valve thickening without obstruction to LV outf low, is present in 25% of adults over 65 years of age. Predisposing factors common to both aortic stenosis and sclerosis are hypertension, smoking, serum low-density lipoprotein, and diabetes mellitus. ○ Aortic sclerosis usually progresses to aortic stenosis in the presence of progressive inflammatory atherosclerosis. ○ Ten percent of patients with aortic sclerosis progress to AS within 5 years. ○ In the 2014 ACC/AHA guidelines on valvular disease, aortic sclerosis is considered part of the AS continuum with sclerosis assigned stage A (at risk group).
50
How do you assess and grade aortic stenosis?
○ Diagnosis and assessment of severity of AS made on the basis of history, physical exam, and echocardiographic findings. ○ Patients with severe aortic stenosis (AS) usually present with angina, syncope, sudden death, or heart failure. ○ Physical exam may reveal a crescendo-decrescendo ejection murmur. ○ ECG will show signs of left ventricular hypertrophy and left atrial enlargement. ○ Two-dimensional echocardiography with Doppler evaluation (TTE or TEE) is the test of choice to confirm the diagnosis of AS and assess severity and also note the presence of coexisting diseases such as aortic regurgitation, mitral stenosis, mitral regurgitation, aortic root dilation, and coronary artery disease (Fig. 53.1). ○ The peak velocity and mean pressure gradient across the aortic valve are measured by means of Doppler interrogation of the aortic valve (Fig. 53.2). ○ Accurate Doppler measurement of aortic valve velocity (and pressure) requires a near parallel alignment of the ultrasound beam to the aortic valve. ○ The normal aortic valve area is approximately 3.0–4.0 cm2. ○ The velocity and pressure gradients across the aortic valve are flow dependent. ○ In patients with low ejection fraction, dobutamine or exercise stress echo may be needed to confirm the diagnosis. ○ In the 2014 guidelines, severity of AS was divided into 4 stages (A, B, C, and D) based on valve anatomy, valve hemodynamics, hemodynamic consequence, and symptoms [1] (Table 53.1
51
What is the natural history of patients with aortic stenosis?
○ Patients with aortic stenosis usually present when symptoms become severe enough to disrupt normal daily activity. ○ Prior to that, morbidity and mortality are very low. ○ The rate of progression to severe aortic stenosis varies, but in general it has been shown that in patients with at least moderate aortic stenosis, jet velocity across the aortic valve increases by 0.3 m/s per year, mean gradient increases by 7 mmHg per year, and AVA decreases by 0.1 cm2 per year. ○ Patients with symptomatic or severe aortic stenosis present with angina, dyspnea, lightheadedness, syncope, and heart failure. Sudden death is a feared complication of severe aortic stenosis, and, although rare, it has been reported to occur without symptoms. ○ Average survival in patients with symptomatic aortic stenosis is 30–50% at 2 years. ○ Patients with asymptomatic severe AS require close monitoring in order to detect sudden changes in symptoms. ○ Patients with mild-to-moderate aortic stenosis will not have symptoms of the disease, but due to the unpredictable disease progression, it is mandatory for these asymptomatic patients to have regular clinical follow-up and evaluation for development of symptoms and disease progression. During these follow-ups, patients should be educated on the signs and symptoms of disease progression such as exercise intolerance, exertional chest discomfort, dyspnea, and syncope.
52
What interventions are available for patients with aortic stenosis
○ Appearance of symptoms is the most important indication for intervention in patients with aortic stenosis. ○ There are no specific medical therapies to treat or slow the progression of aortic stenosis. ○ It is recommended to treat hypertension in patients with increased risk of developing AS (stages B and C) ○ Hypertension is prevalent in patients with AS and has been shown to be a risk factor for AS and also increase the morbidity and mortality risk associated with AS. ○ The treatment is started at low dose, and patients should be monitored closely by experienced cardiologist to avoid complications associated with the disease state or treatment in these high-risk patients. ○ Angiotensin-converting enzyme (ACE) inhibitors, diuretics, and vasodilators can be used in the acute setting in patients with severe decompensated AS. The use of these medications may require invasive hemodynamic monitoring. ○ Aortic valve replacement (AVR) is the only definite treatment for patient with AS.  °Early surgical intervention has been shown to decrease mortality in patients with severe AS. ° Decision to operate should be based on symptoms, valve anatomy, and hemodynamics. °The ACC/AHA guideline recommends surgical AVR for all patients who meet an indication for AVR with low or intermediate surgical risk. °Major indications for surgical AVR (class I recommendation) are severe symptomatic AS, asymptomatic severe AS with LVEF <50%, asymptomatic severe AS in patients undergoing CABG, other heart surgeries or surgery on the aorta. °In patients with moderate AS undergoing other cardiac surgery, it is reasonable to perform surgical AVR if the aortic velocity is between 3 and 3.9 m/s or the mean pressure gradient is between 20–39 mmHg (class IIa recommendation). ° These patients are likely to have symptoms of the disease within 5 years due to the progressive nature of aortic stenosis. °Transcatheter aortic valve replacement (TAVR) is a minimally invasive surgical procedure for replacing the aortic valve. At present, it is indicated in patients with severe AS who are high risk for open surgical replacement of the aortic valve. °It involves placing a valve mounted on balloon at the tip of a catheter over a diseased native aortic valve. °The catheter is fed through either the femoral artery or through the apex of the heart which require a small incision to be made on the left chest wall. °According to the ACC/AHA 2014 guidelines on valvular disease, TAVR is recommended in AS patients with indications for AVR who have a high risk for open AVR, or a prohibitive surgical risk and a predicted post TAVR risk greater than 12 months.
53
A 45-year-old Caucasian female with a recent history of breast cancer status post- chemotherapy and radiation therapy was admitted with high-grade fever, slurred speech, back pain, and petechial rash. Surveillance cultures had been inconclusive with one of three samples being positive for coagulase-negative Staphylococcus aureus. Transthoracic echocardiography, performed as part of initial workup, showed no valvular vegetation, preserved ejection fraction (55%), and mild aortic regurgitation. A diagnosis of infective endocarditis was suspected, and despite treatment with antibiotics, the patient continued to have intermittent high-grade fever and signs and symptoms of congestive heart failure. Transesophageal echocardiography performed 7 days’ post-presentation showed a large mobile mass on the aortic valve, severe aortic regurgitation with a depressed ejection fraction of 40% (see Figs. 54.1, 54.2, and 54.3). Therefore, cardiothoracic surgery was consulted for evaluation for possible valve replacement surgery. What are the risk factors for infective endocarditis?
The following patients present a high risk for infective endocarditis [1–9]: (a) Male, elderly (age > 60) (b) Prior history of prior IE (c) Poor dental hygiene (d) Patient undergoing dental procedures involving gingival tissues (e) Patients with valvular heart disease (e.g., rheumatic valvular disease) (f) Patients with uncorrected or partially corrected congenital heart disease (g) IV drug use (h)Prosthetic valves (i) Immunosuppressed patient (j) Patients with history of diabetes (k) Patients with intracardiac devices (l) Patients undergoing hemodialysis
54
Explain the pathophysiology of infective endocarditis?
Pathophysiology: (a) IE occurs when bacteria or fungi invade sterile platelet-rich thrombus at sites of injury in the endocardium. (b) Sources of bacteria include the skin, oral cavity, mucosal surfaces, or sites of focal infection. (c) Infection results in invasion of the thrombus and destruction of the underlying valvular and endocardial tissues. (d) Bacteria usually resistant to the complement system of the body. (e) Common bacterial species: Staphylococcus, Streptococcus, Enterococci, and HACEK group (Haemophilus, Actinobacillous, Corynebacterium, Eikenella, and Kingella).
55
Describe the clinical manifestations of infective endocarditis?
Infective endocarditis can affect all organ systems of the body [1–9]: (a) Nonspecific symptoms: fever (most common symptoms), chills, sweats, headaches, weight loss, back pain, myalgia arthralgia, cough, and pleuritic chest pain (b) Other symptoms highly specific for IE: cardiac murmur (85% of patients), splinter hemorrhage in nail beds, petechiae on skin and mucous membranes, Janeway lesions (nontender macules on palm and sole), Roth spots (hemorrhagic lesions on retina), and Osler nodes (tender nodules on fingers and toes) (c) Cardiac complications: valvular insufficiency, congestive heart failure (30-40% of IE patients), and periannular and intraventricular abscesses (can result in intracardiac fistulas), cardiac arrhythmias (usually the result of periannular abscesses) (d) Vascular-embolic complications: septic emboli (15–35% of IE patients), mycotic aneurysm, and vertebral osteomyelitis (e) Neurologic complications (mostly from vascular embolic events): brain abscess, embolic stroke, and cerebral hemorrhage (f) Renal complications: kidney infarct from septic emboli and glomerulonephritis (caused by immune complexes) (g) Pulmonary complications (commonly seen in right heart IE): septic pulmonary emboli and pyopneumothorax
56
How do you diagnose infective endocarditis?
The modified Duke Criteria is the most common guideline used in the diagnosis of infective endocarditis. Pathological and clinical information obtained during workup have been divided into major and minor criteria (adapted with permission from the ACC/AHA 2014 Guidelines for Management of Valvular Heart Disease) [8]: ( a) Major criteria: • Blood culture positive for IE: at least two positive cultures of blood samples drawn >12 h apart or all three or a majority of ≥4 separate cultures of blood (with first and last sample drawn at least 1 h apart) • Single positive blood culture for Coxiella Burnetii or anti-phase 1 IgG antibody titer ≥1:800 • Evidence of endocardial involvement • Echocardiogram positive for IE (b)Minor criteria • Predisposing heart condition • IV drug use • Fever (temperature > 38 °C) • Vascular phenomena including major arterial emboli, septic pulmonary infarcts, mycotic aneurysm, intracranial hemorrhage, conjunctival hemorrhages, and Janeway lesions • Immunological phenomena including glomerulonephritis, Osler nodes, Roth spots, and rheumatoid factor • Positive blood culture but does not meet a major criterion as noted above (c) The criteria further stratify the diagnosis of IE into definite, possible, or rejected based on whether a patient exhibits a set of major and/or minor clinically defined characteristics (adapted with permission from the ACC/ AHA 2014 Guidelines for Management of Valvular Heart Disease): • Definite IE: Pathological criteria: culture demonstrated microorganism or histology showing intracardiac abscess ○ Clinical criteria: two major criteria or one major and three minor criteria or five minor criteria • Possible IE: One major criterion and one minor criterion or three minor criteria. • Rejected IE: Firm alternative diagnosis. No pathological evidence of IE was found at surgery or autopsy after antibiotic therapy for 4 days or less. Resolution of clinical manifestations occurs after ≤4 days of antibiotic therapy. Clinical criteria for possible or definite infective endocarditis are not met.
57
What is the role of TTE and TEE in the diagnosis of infective endocarditis?
Echocardiography is a major criterion in the diagnoses of infective endocarditis, and therefore it should be performed in all patients with suspected IE [8]: (a) Echocardiographic evidence of IE includes (see Figs. 54.1, 54.2, and 54.3): • Valvular vegetation K.B. Vandyck • Associated valvular regurgitation • Intracardiac mass • Periannular abscess (b) Transthoracic echocardiogram (TTE): • Initial test of choice to identify vegetation and quantify hemodynamic effect of IE. • Good sensitivity and specificity (75% and ~100%, respectively). • Absence of lesions on TTE does not rule out IE when there is high suspicion of IE. • Suboptimal TTE images may be seen in patients with chronic obstructive pulmonary disease, previous thoracic and cardiovascular surgery, and morbid obesity. (c) Transesophageal echocardiogram (TEE): • Generally, more sensitive for the diagnosis of TEE especially for prosthetic valves, paravalvular abscess, fistulas, and intracardiac devices. • Specificity is slightly lower than TTE. • Recommended as the initial test of choice when feasible. • Recommended in cases of negative TTE but high suspicion of IE. • Recommended for follow-up of patients with IE, small left-sided heart IE and patients who develop progressive disease despite institution of antimicrobial therapy.
58
What are the treatment options for patients with infective endocarditis?
Treatment: The mainstay of treatment for infective endocarditis is antibiotic, often over weeks, with regular surveillance to gauge effectiveness of treatment. (a) Factors that present a challenge during antibiotic treatment: • Focal infection with high bacterial density • Impaired immunity in the patient • Slow rate of bacterial growth within a biofilm • Low microorganism metabolic activity (b) Choice of antibiotics must be based on the knowledge of the susceptibility profile of the microorganism in the vegetation. (c) Systemic antibiotics must be in concentrations high enough to counteract the high density of bacterial in the vegetation. (d) An expected infectious disease must be directly treated with antimicrobials in IE patient. (e) Valve replacement is recommended in the following cases: • Large mobile vegetation greater than 10 mm in diameter • Vegetation with associated regurgitation • Paravalvular infection and/or annular abscess • Penetrating intracardiac lesion • Endocarditis with associated heart block and/or malignant arrhythmia • Fungal vegetation • Persistent bacteremia despite antibiotic treatment
59
Which are the guidelines on managing high-risk patients presenting for surgery? IE antibiotic prophylaxis
Antibiotic prophylaxis is recommended in the following highest-risk patients only: (a) Prosthetic heart valve (b) Prior history of IE (c) Dental procedures involving break in oral mucosa and gingival tissue (d) Procedures in infected gastrointestinal and genitourinary tract (e) Procedures on infected skin and integument (f) Biopsy of the respiratory tract (g) Unrepaired cyanotic congenital heart disease (h) Repaired congenital heart disease with residual defects Antibiotics for Recommendation for Dental Procedures [1] (a) Patients who can take oral meds: • Oral amoxicillin (adults 2 g, children 50 mg/kg) (b) Patients unable to take oral meds: • Ampicillin IV or IM (adults 2 g, children 50 mg/kg) • Cefazolin IV (adults 1 g, children 50 mg/kg) • Ceftriaxone IV (adults 1 g IV or IM, children 50 mg/kg) (c) Patients allergic to penicillin (anaphylaxis, angioedema, urticaria): • Oral azithromycin or clarithromycin (adult 500 mg, children 15 mg/kg) • Oral clindamycin (adults 600 mg, children 20 mg/kg) (d) Patients allergic to penicillin and unable to take oral medications: • Clindamycin IV or IM (adults 600 mg, children 20 mg/kg) • Vancomycin IV (adults 15 to 20 mg/kg, children 15 mg/kg)
60
What do Figs. 55.1, 55.2, and 55.3 represent?
○ The figures show still echocardiographic frames for a patient with mitral valve regurgitation. ○ Figure 55.1 is color flow Doppler with transesophageal echocardiography, and Figs. 55.2 and 55.3 demonstrate continuous wave Doppler sampled across the mitral valve and pulsed wave Doppler sampled at the mitral valve using transthoracic echocardiography (TTE).
61
Define color flow Doppler and its application in mitral valve regurgitation.
○ Color flow Doppler displays intracavity blood flow in colors (red, blue, green, or their combinations) depending on the velocity, direction, and extent of turbulence. ○ Color flow Doppler is a widely used method for the detection of regurgitant valvular heart disease. ○ This technique provides visualization of the origin and width (vena contracta) of the regurgitation jet, spatial orientation of the jet area in the receiving chamber, and flow convergence into the regurgitant orifice. ○ The area of the regurgitant jet can provide a rapid quantitative assessment of the severity of the regurgitation; generally speaking, a large area may indicate a more significant regurgitation. ○ Vena contracta or regurgitant jet width (black double arrow in Fig. 55.1) is the narrowest portion of a jet that occurs at/ or just downstream from the orifice of the valve, and it is an indirect measure of the regurgitant orifice. ○ Proximal isovelocity surface area (PISA) or flow convergence is another method to quantify the severity of mitral valve regurgitation. °It is based on the continuity equation and the principle of flow conversation . °As blood in the left ventricle approaches the mitral regurgitant orifice, there is convergence and flow acceleration. This is seen in hemispheric waves of decreasing area but of equal velocity (hence, the term isovelocity) . ○ PISA is identified by color flow Doppler as the “red-blue” aliasing interface (PISA radius is the distance between the “+” signs in Fig. 55.1). ○ PISA radius is used to calculate the effective regurgitant orifice area (ERO), which is the cross-sectional area of the vena contracta, and regurgitant volume (which is the volume of the blood that is leaking back to the left atrium during systole) [1]. ○ ERO and the regurgitant volume can also be calculated using the volumetric method. ○ In the absence of significant aortic valve regurgitation, the regurgitant volume is equal to the flow across the mitral valve minus the flow across the left ventricular outf low tract (systemic stroke volume) [1]. ○ These calculations are made by obtaining the LVOT and mitral valve diameters and LVOT and mitral valve time-velocity integral (TVI). ○ Figure 55.3 shows pulsed wave Doppler at the mitral valve which depicts the TVI of the mitral valve.
62
What is continuous wave Doppler?
○ Doppler echocardiography measures blood flow velocities in the heart chambers as well as in the great vessels. ○ Continuous wave Doppler measures the changes in velocities along the beam path and is used to record the highest flow velocity available. ○ Analysis of continuous wave Doppler signal by noting the shape, contour, density, and velocity of the signal can provide an insight on the severity of mitral valve regurgitation .
63
Describe the different grades of mitral valve regurgitation.
○ Mitral valve regurgitation is graded into mild, moderate, and severe. ○ This is based on quantitative as well as qualitative assessment, and it involves the use of Doppler echocardiography. ○ The visualization of the jet area and jet area to left atrium area ratio by color flow Doppler provides a quick assessment tool of the severity of mitral valve regurgitation [3]. ○ This method tends to underestimate eccentric jets and overestimate the severity of mitral regurgitation in ventral jets. ○ Mitral valve regurgitation can be quantitatively assessed by measuring the vena contracta width, effective regurgitant orifice area, the regurgitant volume, and the regurgitant fraction (the ratio between the regurgitant volume and the flow across the mitral valve). ○ Table 55.1 illustrates the different grades of mitral valve regurgitation using the different variables [3]. °Based on the data provided in the figures, this case represents severe mitral valve regurgitation (vena contracta 0.7 cm and regurgitant volume of 63 mL).
64
I. A 48-year-old male with history of uncontrolled hypertension and end-stage renal disease on hemodialysis presents for TTE as part of preoperative risk stratification prior to possible renal transplant. He has NYHA Class III symptoms at baseline. 2D images show moderately to markedly increased left ventricular wall thickness. LVEF calculated by the biplane Simpson’s method is 56%. The remainder of his diastolic parameters are as shown in Figs. 56.1, 56.2, 56.3, and 56.4. Describe what happens in normal diastole
○ Diastole is defined as the portion of the cardiac cycle between aortic valve closure and mitral valve closure. ○ It is normally divided into four phases: isovolumic relaxation, rapid early diastolic filling, diastasis, and atrial contraction. ○ Isovolumic relaxation occurs between aortic valve closure and mitral valve opening. °Through an active, calcium-dependent process, left ventricular pressure decreases, while volume remains the same. ° When left ventricular end- diastolic pressure falls below left atrial pressure, the mitral valve opens and rapid early diastolic filling begins. ° This usually accounts for 70% of left ventricular filling. ° As pressures equalize between the left atrium and left ventricle, a small amount of filling continues via passive flow from the pulmonary veins; this is diastasis. ° Diastasis generally accounts for 5% of left ventricular filling and is only present at slower heart rates. If the patient is in sinus rhythm, atrial systole follows diastasis. ° Left atrial pressure again transiently increases, and there is further filling of the left ventricle. ° Atrial contraction generally accounts from 25% of left ventricular filling in the normal heart. ° Diastolic function is influenced by volume status, properties of the left ventricle (stiffness, recoil), atrial properties, and catecholamines.
65
What are the causes of diastolic dysfunction? What is the difference between diastolic dysfunction and heart failure with preserved ejection fraction (HF-pEF)?
○ Aging, hypertension, diabetes, obesity, coronary artery disease, renal disease, valvular heart disease, and infiltrative processes all affect left ventricular mechanics/stiffening and thus diastolic function. ○ In the presence of systolic dysfunction, diastolic function is always abnormal. ○ HF-pEF is defined as the presence of diastolic dysfunction accompanied by signs/symptoms of clinical heart failure in patients with an ejection fraction of at least 50%.
66
How do you use echocardiography to grade diastolic dysfunction?
○ In the 2016 American Society of Echocardiography/European Association of Cardiovascular Imaging guidelines, there are four main echocardiographic parameters used to assess diastolic dysfunction: mitral inflow pulse wave (PW) Doppler, annular tissue Doppler imaging (TDI), peak tricuspid regurgitant (TR) velocity, and left atrial end-systolic volume index (LAESVi). ○ Mitral inflow PW Doppler is measured in the apical four chamber (A4C) view with the Doppler cursor placed at the mitral leaflet tips. ° The initial wave of early diastolic filling is labeled the E wave. °The second wave represents filling due to atrial contraction and is labeled the A wave. °In normal hearts the E/A ratio is typically between 0.9 and 1.5. °As relaxation becomes impaired, but before left atrial pressures (LAP) rise, there is an increased reliance on atrial contraction to maintain diastolic filling, and the E/A ratio is <0.9. °As LAP continues to rise, there is again more filling happening in early diastole due to the increased pressure gradient between the left atrium (LA) and left ventricle (LV), and the E/A ratio becomes “pseudo normal.” °As left ventricular compliance decreases and LAP rises further, there is initial brief filling in early diastole with relatively little filling happening during atrial contraction, and the E/A ratio increases to ≥2. ○ Mitral inflow PW Doppler varies with volume status, mitral valve disease, and atrial arrhythmias. ○ Annular TDI velocities are measured with PW Doppler in the A4C view with the cursor placed at both the septal and at the lateral mitral annulus. °Myocardial relaxation in early diastole is labeled e′. °Septal and lateral e′ velocities are normally >7 cm/s and >10 cm/s, respectively [3]. ° As myocardial relaxation becomes impaired, annular tissue Doppler velocities decrease. °The ratio of mitral inflow during early diastolic filling (E) and tissue Doppler early myocardial relaxation (e′) has been shown to correlate with LAP. ° Specifically, an average E/e′ ratio > 14, a septal E/e′ ratio > 15, and a lateral E/e′ ratio > 13 are consistent with elevated LAP [2]. ° Annular TDI velocities are not dependent on volume status but are unreliable in the presence of significant mitral annular calcification, a mitral prosthesis, or a mitral annuloplasty ring. ○ The peak TR velocity (Fig. 56.3) also positively correlates with LAP and pulmonary capillary wedge pressure (PCWP) in the absence of pulmonary vascular or pulmonary parenchymal disease. °It should be measured using continuous wave (CW) Doppler in multiple views with an attempt to get the cursor as parallel as possible to the direction of regurgitant flow. °A peak TR velocity > 2.8 m/s is consistent with elevated LAP [3]. Finally, left atrial size is related to chronic elevations in LAP (in the absence of mitral valve disease, atrial arrhythmias, or post-cardiac transplant). °Left atrial size is best assessed by the left atrial end-systolic volume index (LAESVi), with left atrial area traced in atrially focused A4C, and apical 2-chamber (A2C) views one to two frames before mitral valve opening. °Left atrial volume is calculated using either Simpson’s method of disks or the area-length method (0.85 × A1 × A2)/ (L1–L2/2) and is indexed to body surface area (BSA). A LAESVi >34 mL/m2 is consistent with chronic elevations in left atrial pressure [2]. ⊙ Currently, the main purpose in grading diastolic dysfunction is to evaluate whether LAP is elevated as elevated LAP is modifiable and correlates with symptoms and outcomes. ☆ Grade I diastolic dysfunction is characterized by impaired left ventricular relaxation with normal filling pressures. There is a decrease in early diastolic f illing and an increase in filling with atrial contraction. ☆ Filling pressures are elevated in grades II–IV diastolic dysfunction. In grade II diastolic dysfunction, the left atrium remodels and left atrial pressures increase to compensate for elevated left ventricular end-diastolic pressures. ☆ Grades III–IV diastolic dysfunction represent restrictive filling where left ventricular filling only occurs in the setting of markedly elevated left atrial pressures due to reduced left ventricular compliance (exaggerated change in pressure for a small change in volume). Grade III is reversible; grade IV is irreversible [1–3]. Table 56.1 summarizes the findings for each of the four key variables in grades I–IV diastolic dysfunction.
67
What do Figs. 56.1, 56.2, 56.3, and 56.4 show?
5. With our patient, the mitral inflow PW Doppler E/A ratio is 1.2 (Fig. 56.1). This is either normal or pseudo normal. Therefore, we need to assess his average E/e′ ratio, his peak TR velocity, and his LAESVi. His average E/e′ ratio is >14 at 19.3 (Fig. 56.2). His peak TR velocity is >2.8 m/s at 4.19 m/s (Fig. 56.3). His LAESVi is >34 mL/m2 at 66.5 mL/m2 (Fig. 56.4). As all three parameters are abnormal, LAP is elevated, and he has grade II diastolic dysfunction
68
I. A 48-year-old male with history of uncontrolled hypertension and end-stage renal disease on hemodialysis presents for TTE as part of preoperative risk stratification prior to possible renal transplant. He has NYHA Class III symptoms at baseline. 2D images show moderately to markedly increased left ventricular wall thickness. LVEF calculated by the biplane Simpson’s method is 56%. The remainder of his diastolic parameters are as shown in Figs. 56.1, 56.2, 56.3, and 56.4. Does this patient have normal or abnormal diastolic function? How would you grade it
Page 303 ○ With our patient, the mitral inflow PW Doppler E/A ratio is 1.2 (Fig. 56.1). °This is either normal or pseudo normal. °Therefore, we need to assess his average E/e′ ratio, his peak TR velocity, and his LAESVi. °His average E/e′ ratio is >14 at 19.3 (Fig. 56.2). °His peak TR velocity is >2.8 m/s at 4.19 m/s (Fig. 56.3). ° His LAESVi is >34 mL/m2 at 66.5 mL/m2 (Fig. 56.4). ○ As all three parameters are abnormal, LAP is elevated, and he has grade II diastolic dysfunction.
69
What are the key considerations for managing diastolic dysfunction in the preoperative period?
○ The data is mixed on how anesthesia affects diastolic function. ○ It used to be thought that isoflurane and desflurane prolonged isovolumic relaxation; however, further studies have had opposite findings [5]. ○ Ketamine can reduce left ventricular compliance, and propofol can prolong isovolumic relaxation; however, propofol can also decrease preload, which improves left atrial pressures. ○ The important thing is to recognize which patients have diastolic dysfunction as these patients will be more sensitive to changes in preload, tachycardia, and arrhythmias. ○ Volume overload/increased preload will further increase already elevated left atrial pressures and can precipitate pulmonary edema. ○ Atrial arrhythmias (atrial fibrillation, atrial flutter) result in loss of coordinated atrial systole. ○ In patients with impaired relaxation who rely on atrial contraction to fill the ventricle, this can result in sudden impaired filling and elevation of LAP.  ○ Diastole is shorter at higher heart rates, and tachycardia can worsen already impaired diastolic dysfunction by further limiting diastolic filling
70
A 70-year-old male presents to the ED after an industrialfate accident causing a traumatic below-knee amputation on the right side. The patient has been obtunded and dyspneic since arrival. A total of six pRBC units and 5 L of crystalloids have been given in the last hour. You have been asked to evaluate this patient prior to operative BKA. HR, 120; BP, 90/60; RR, 35; SpO2, 84%. Questions 1. What is the view shown in the picture and how do you obtain it (See Fig. 57.1)?
○ This is a longitudinal view of the subcostal inferior vena cava. ○ In the supine position, if possible with the knees bent, (relaxes abdominal wall) the probe is placed in the midline 2 or 3 cm below the xyphoid perpendicular to the abdominal wall with the orientation marker pointing toward the 3 o’clock position (See Fig. 57.1A). ○ Focusing on the right atrium the probe is turned counterclockwise until the orientation marker is pointing toward the patient’s head or until the IVC is seen merging into the RA.  ○ The IVC diameter is best-measured 2–3 cm before the IVC-RA junction, where the IVC walls are parallel [1].
71
Is it accurate to measure fluid status and fluid responsiveness with TTE?
IVC diameter and dynamic measurements of the IVC diameter have been used as surrogates for CVP, fluid status, and responsiveness to fluid therapy. Several difficulties may be encountered when using this technique. It maybe difficult to obtain the appropriate image; the liver or diaphragm may tend to splint open the IVC in the most proximal portions. Tricuspid valve dysfunction, right heart structural abnormalities, and variation in the diameter of the IVC among normal patients may also confound the matter [2]. As recommended by the American society of echocardiography, in the context of focused cardiac ultrasound, IVC diameter and plethora are useful as surrogates of fluid status, when formal transthoracic echocardiography is not practical or readily available [3]. The IVC diameter and respiratory variation should be used along with other indicators of volume status for clinical correlation. The interpretation of this image alone should not be used for clinical decision-making.
72
How do you interpret the following images?
○ The following ultrasound images are obtained from the patient: ° Figure 57.2 shows a longitudinal view of the subcostal inferior vena cava. ° Figure 57.3 shows a longitudinal view of the subcostal inferior vena cava in M-mode measuring the IVC diameter during inspiration and expiration ○ Ultrasound images of the IVC could be interpreted using the following criteria [1]: (a) Hypovolemia: a reduced IVC diameter (<2.5 cm) and collapse with inspiration greater than half or complete collapse (b) Hypervolemia: an increase in IVC diameter (>2.5 cm) and minimal collapse with inspiration. • Other situations that can cause this appearance are cardiac tamponade, mitral regurgitation, or aortic stenosis. Interpretation of IVC Diameter [5]: (a) By measuring IVC diameter (normal 1.5–2.5 cm): • Less than 1 cm: Very possible large blood loss necessitating blood transfusion • Less than 1.5 cm: Possible hypovolemia • More than 2.5 cm: Possible hypervolemia By measuring IVC diameter collapse with inspiration (Caval Index) preferably in M-mode as shown in Fig. 57.3: = • Cavalindex IVCdiameterinexpirationIVCdiameter ininspiratio n ()´ 100 IVCdiamterinexpiration • Caval index >50% suggests fluid responsiveness. (c) Central venous pressure estimated by IVC imaging. • CVP of 0–5 cm H2O: Findings include an IVC diameter of less than 1.5 cm and a total collapse with inspiration. • CVP of 5–10 cm H2O: Findings include an IVC diameter between 1.5 and 2.5 cm, and a caval index of >50%. • CVP of 11–15 cm H2O: Findings include an IVC diameter between 1.5 and 2.5 cm, and a caval index of <50%. • CVP of 16–20 cm H2O: Findings include an IVC diameter larger than 2.5 cm, and a caval index of <50%. • CVP larger than 20 cm H2O: Findings include an IVC diameter larger than 2.5 cm, and no changes in the diameter with inspiration. The dynamic image of the IVC ultrasound obtained in this case shows volume overload in the patient based on criteria discussed.
73
A 70-year-old male presents to the ED after an industrial accident causing a traumatic below-knee amputation on the right side. The patient has been obtunded and dyspneic since arrival. A total of six pRBC units and 5 L of crystalloids have been given in the last hour. You have been asked to evaluate this patient prior to operative BKA. HR, 120; BP, 90/60; RR, 35; SpO2, 84%. Would you change this patient’s management, based on the ultrasound findings, and how?
○ The ultrasound images (see answer to question 3) appear to show a patient that could be in acute congestive heart failure, secondary to massive transfusion of blood products/crystalloids (flash pulmonary edema). ○ This finding needs to be confirmed (see answer to question 5). If congestive heart failure is strongly suspected continuing fluid resuscitation will worsen the situation. ○ A more precise measurement of his fluid status and cardiac function is necessary to guide further therapy. Other supportive measures like ventilatory support, forced diuresis, and inotropic support might be necessary [6].
74
A 70-year-old male presents to the ED after an industrial accident causing a traumatic below-knee amputation on the right side. The patient has been obtunded and dyspneic since arrival. A total of six pRBC units and 5 L of crystalloids have been given in the last hour. You have been asked to evaluate this patient prior to operative BKA. HR, 120; BP, 90/60; RR, 35; SpO2, 84%. How would you confirm your suspicion?
○ Clinical examination of the patient followed by further testing which should include EKG, chest X-Ray, and formal transthoracic echocardiography. ○ Invasive tests include CVP and PA pressure measurement and cardiac catheterization. ○ Laboratory tests include N-terminal pro-B-type natriuretic peptide and markers of cardiac ischemia.
75
A 50 kg patient receives a supraclavicular peripheral nerve block in the preoperative area for anesthesia and postoperative pain for open reduction and internal fixation of an ulnar fracture on the left arm. The patient received a total of 20 cc of 0.5% ropivacaine during the block (See Fig. 58.1). 55 min later, the surgery starts and the patient complains of pain in the area of the surgery. 1. Based on the ultrasound image above what is the most likely cause of the patient’s pain?
○ Most probably this patient experienced ulnar sparing due to poor distribution of the injection to the lower trunk. ○ This occurs commonly when the injection is made superficial to the plexus and does not cover the lower trunk (in the “eight ball corner pocket,” which is the area formed by the angle between the brachial plexus and first rib). ○ These patients will report adequate motor and sensory block over the median, radial, and musculocutaneous distribution; however, the area of the ulnar nerve, and medial cutaneous nerve of the forearm retain sensation and function.
76
How would you supplement the block?
○ Time permitting, the block could be supplemented by placing more local anesthetic in the “eight ball corner pocket,” since the patient could safely still receive more local anesthetic. ○ The maximum dose of ropivacaine in this patient is 150 mg (3 mg/kg). ° So we could safely repeat the block targeting the area of interest and inject up to another 10 cc of ropivacaine 0.5%. ° Awake patients might complaint of tourniquet pain. ° All patients experience neuropathic pain after a few minutes of a tourniquet being inflated to 100 mmHg above the systolic blood pressure. ° With enough time this manifests as pain, sometimes severe in awake patients, or a sympathetic response in patients under general anesthesia. ○ Other reasons for pain are due to surgical stimulation in the area covered by the intercostobrachial nerve, the upper, inner aspect of the upper arm, which is not routinely covered by brachial plexus blocks. ° This area can be anesthetized with a field block of the medial side of the arm or a PECS II (pectoralis nerves) block.
77
A 50 kg patient receives a supraclavicular peripheral nerve block in the preoperative area for anesthesia and postoperative pain for open reduction and internal fixation of an ulnar fracture on the left arm. The patient received a total of 20 cc of 0.5% ropivacaine during the block (See Fig. 58.1). 55 min later, the surgery starts and the patient complains of pain in the area of the surgery. Are there other reasons for pain during surgery? Apart from ulner sparing
Other reasons for pain are due to surgical stimulation in the area covered by the intercostobrachial nerve, the upper, inner aspect of the upper arm, which is not routinely covered by brachial plexus blocks. This area can be anesthetized with a field block of the medial side of the arm or a PECS II (pectoralis nerves) block.
78
A 50 kg patient receives a supraclavicular peripheral nerve block in the preoperative area for anesthesia and postoperative pain for open reduction and internal fixation of an ulnar fracture on the left arm. The patient received a total of 20 cc of 0.5% ropivacaine during the block (See Fig. 58.1). 55 min later, the surgery starts and the patient complains of pain in the area of the surgery. Should a continuous nerve catheter been placed?
○ A catheter is indicated if it’s expected that the patient will require continuous analgesic coverage beyond the first 24 h after surgery, would need strenuous physical therapy, and has unresolved trauma or a chronic pain syndrome among others. ○ A peripheral nerve catheter placed under ultrasound guidance has a better chance of success, with fewer complications, than the one placed with stimulation alone. ○ It also prolongs the pain relief in the postoperative setting, which might contribute to better patient satisfaction and active participation in rehabilitation with selective sensory blockade. ○ In this particular case, a catheter is not indicated since the pain of the trauma and surgery is expected to decrease after surgery; there is no need for strenuous physical therapy, and the patient has no chronic pain.
79
Do additives in the block mixture have a role?
Some additives might have a role. ○ The effects of these additives are: ° Epinephrine: Delays the entry of local anesthetics into plasma. This effect is noted with lidocaine, mepivacaine, prilocaine, and bupivacaine, but not on ropivacaine ° Dexamethasone: Increases the duration of motor and sensory blockade at a recommended dose of 4–8 mg. The mechanism is unknown. It may act by increasing the activity of inhibitory potassium channels on nociceptive C fibers via glucocorticoid receptors, thereby decreasing the fibers’ activity, and it appears that the same effect is achieved with intravenous use. ° Clonidine: Prolongs motor and sensory blockade with all local anesthetics except mepivacaine. However, it might cause hypotension, sedation, bradycardia, and fainting possibly due to systemic absorption. ○ Buprenorphine: Perineural 150–300 μg of buprenorphine significantly prolongs the duration of blocks. Intravenous or intramuscular use provides only partial benefit . ○ In this case, dexamethasone would be an adequate choice as it will help prolong the duration of the block, and it has a long history of safe use in the epidural space. ○ Patients may show modest temporary increases in blood glucose levels, especially in patients with diabetes mellitus.
80
Figure 59.1 image is obtained from a patient (80yo M, 60 kg) in the PACU after a repeat femoral peripheral nerve block for postoperative pain of a knee arthroplasty. The patient received a total of 30 cc of 0.5% bupivacaine and 20 cc of 0.5% ropivacaine. Patient is complaining of persistent pain in the area of the surgery What are the structures labeled a, b, and c?
a, femoral vein; b, femoral artery; c, femoral nerve.
81
Figure 59.1 image is obtained from a patient (80yo M, 60 kg) in the PACU after a repeat femoral peripheral nerve block for postoperative pain of a knee arthroplasty. The patient received a total of 30 cc of 0.5% bupivacaine and 20 cc of 0.5% ropiva- caine. Patient is complaining of persistent pain in the area of the surgery. What are the possible causes of persistent postoperative pain?
Persistent pain might be due to: (a) Inadequate distribution of the local anesthetic in the correct plane, possibly due to difficult and distorted anatomy after multiple attempts (b) Lack of coverage of the sciatic nerve area on the back of the knee or the obturator nerve on the medial aspect of the thigh
82
Would you repeat the block?
○ This patient has received a large amount of local anesthetic after the two attempts; a repeat one is inadvisable as we are over the maximum safe dose for local anesthetic. ○ In this patient, the maximum safe dose of ropivacaine (3.5 mg/kg) is 280 mg and bupivacaine (2 mg/kg) is 160 mg. ○ In the case of combined local anesthetics, the proportional maximum dose of each agent should be calculated, and the sum should not exceed 100%. ○ This patient has received 100 mg of ropivacaine and 150 mg of bupivacaine. The proportion of the maximum safe dose per agent is calculated as follows: Proportion of the maximum dose Dose given in mg Maximumsafedoseinm=gg×100 ○ In this patient the proportion for each agent is calculated as follows: Proportionofthe dose of Ropivacain emax=100=36%100 280 mg mg× Proportion of the dose of Ropivacaine max=100=94%150 160 mg mg × The total dose of local anesthetic in this patient exceeds the 100% (94 + 36) of the maximum safe dose. Further use of local anesthetic is unadvisable.
83
If the patient develops seizures after peripheral nerve block how would you treat him?
○ Seizures in this setting would be very suspicious for local anesthetic systemic toxicity (LAST). ○ According to the American Society of Regional Anesthesia and Pain Medicine (ASRA), management in this setting should include [1]: (a) Airway management: ventilate with 100% oxygen. (b) Seizure suppression: benzodiazepines are preferred; avoid propofol in patients having signs of cardiovascular instability. (c) Alert the nearest facility having cardiopulmonary bypass capability. d) Lipid emulsion therapy (not propofol): • Bolus 1.5 mL/kg. • Continuous infusion at 0.25 mL/kg/min. • Bolus may be repeated and the infusion raised to 0.5 mL/kg/min for persistent hypotension. • Continue treatment for 10 min after attaining stability. • Maximum dose of lipid—10 mL/kg in first 30 min. (e) Other possibilities of seizure activity in this setting are pseudo-seizures, cryptogenic, metabolic insult, toxic insult, CNS infection, stroke, brain trauma, cerebral hemorrhage, and alcohol or drug withdrawal. 5. Management of cardiovascular collapse in this setting differs from the one caused by other etiologies and current recommendations by ASRA are [1]: (a) Advanced Cardiac Life Support (ACLS): • Avoid vasopressin, calcium channel blockers, beta-blockers, or local anesthetics. • Reduce individual epinephrine doses to <1 mcg/kg, to avoid onset of malignant arrhythmias. (b) Lipid emulsion (20%) therapy: • Bolus 1.5 mL/kg (lean body mass) intravenously over 1 min. • Continuous infusion 0.25 mL/kg/min. • Repeat bolus once or twice for persistent cardiovascular collapse. • Double the infusion rate to 0.5 mL/kg/min if blood pressure remains low. • Continue infusion for at least 10 min after attaining circulatory stability. • Recommended upper limit: Approximately 10 mL/kg lipid emulsion over the first 30 min. (c) Consider placing the patient on cardiopulmonary bypass if prolonged resuscitation with no return of cardiac function is present
84
If the patient with LAST develops hypotension and asystole how would you treat him?
Management of cardiovascular collapse in this setting differs from the one caused by other etiologies and current recommendations by ASRA are [1]: (a) Advanced Cardiac Life Support (ACLS): • Avoid vasopressin, calcium channel blockers, beta-blockers, or local anesthetics. • Reduce individual epinephrine doses to <1 mcg/kg, to avoid onset of malignant arrhythmias. (b) Lipid emulsion (20%) therapy: • Bolus 1.5 mL/kg (lean body mass) intravenously over 1 min. • Continuous infusion 0.25 mL/kg/min. • Repeat bolus once or twice for persistent cardiovascular collapse. • Double the infusion rate to 0.5 mL/kg/min if blood pressure remains low. • Continue infusion for at least 10 min after attaining circulatory stability. • Recommended upper limit: Approximately 10 mL/kg lipid emulsion over the first 30 min. (c) Consider placing the patient on cardiopulmonary bypass if pprolonged resuscitation with no return of cardiac function is present.
85
What other options are available to treat this patient’s pain?
Preoperatively patients should be counseled on postoperative goals and expectations of pain control; patients with medical and psychiatric comorbidities will especially benefit from preoperative optimization as well. For persistent pain, before repeating the femoral nerve block, patient assessment to determine the pain location would help in distinguishing between a failed femoral nerve block and pain in an area not covered by a femoral block. If the latter is the case, then the patient would benefit with supplementation of sciatic and obturator nerve blocks. Acute postoperative pain requires a multimodal approach. The patient will benefit from the use of acetaminophen, NSAIDs, antidepressants, and/or antiepileptic medications. Continuous evaluation of pain and titration of opioids, if needed, is recommended which may also be administered as a patient-controlled option [2, 3]. Other options available in the postoperative period are topical application of local anesthetics and the use of TENS.
86
An ultrasound of the chest/lung is obtained on a multi-trauma patient with chest drains and on a ventilator in the ICU. What is lung sliding?
Lung sliding is the movement of the pleural interface in a synchronous fashion with spontaneous or mechanical ventilation. The parietal and visceral pleura constitute the pleural interface, which is a hyperechoic structure between two ribs on bidimensional ultrasound. It is maximized in the lower lung fields, as the lung descends toward the abdomen. Lung sliding identification is the most commonly used artifact in the exclusion of pneumothorax as well as in the confirmation of endotracheal intubation
87
What is the difference between lung sliding and lung pulse?
○ Lung pulse artifact is a small to-and-fro movement of the visceral on the parietal pleura induced by the heartbeat rather than respirations. ○ It is more prominent on the left side, closer to the heart. ○ In order for it to be visualized, ventilation and, consequently, lung sliding must be absent. ○ It implies an intact pleural interface, and its presence excludes a pneumothorax.
88
What is the best ultrasound method to detect lung sliding?
M-mode ultrasound is the preferred method for lung movement imaging, producing the characteristic “seashore sign” (Fig. 60.1). This image has two portions. The superficial part (top of the figure) is typically composed of multiple horizontal lines that correspond to motionless soft tissue. It ends on the pleural line. The other portion corresponds to the motion of the normal lung. This motion generates an artifact that originates from the pleural line and looks like sand on a beach. The image on its entirety looks like water waves in the ocean touching the sand on a beach.
89
What is the differential diagnosis for absence of lung sliding?d
Lung sliding becomes vague in pulmonary overexpansion, parietal emphysema, pneumonia, and severe ARDS. It disappears in pneumothorax, complete atelectasis, pleural fibrosis, and apnea.
90
What is lung point?
○ On two-dimensional ultrasound, lung point is the transition point between the presence and absence of a lung sliding. ○ It represents the border of the pneumothorax and the intact pleural interface. ○ In M-mode, the absence of lung sliding will create a series of black and white horizontal lines called the “stratosphericor barcode” sign. ○ In this mode, the lung point can be identified by the transition of a seashore sign to a stratospheric sign (Fig. 60.1). This is a pathognomonic sign for the presence of pneumothorax, with 100% specificity [3].
91
Besides lung sliding, what other two common artifacts can help with differential diagnosis?
○ A-lines are multiple horizontal regularly spaced hyperechogenic lines which represent reflections of the pleural interface. ○ Each A line is separated by a distance equivalent to the thickness of the subcutaneous tissue between the ultrasound probe and the pleural interface (Fig. 60.2). ○ They are present in a normal lung as well as in the presence of pneumothorax. ○ B-lines, also known as comet tails or lung rockets, are artifacts created by repetitive reflections of the ultrasound wave within the lung parenchyma because of a higher concentration of physiologic or pathologic fluid. ○ They are vertical white lines, originating from the visceral pleura and reaching the bottom of the screen (Fig. 60.3). B-lines will erase the A-lines on their passage. ○ A few B-lines (less than 3) may be seen in a healthy lung and more so in the dependent regions. Their presence is utilized in the diagnosis of alveolar interstitial syndrome (pulmonary edema, ARDS) and exclusion of pneumothorax [4].
92
What are the indications for a feeding tube placement?
○ Early records note that Capivacceus placed a tube to deliver nutrients into the foregut [1]. ○ The practice became more common during the seventeenth century. ○ The tubes are inserted to decompress the stomach or for intestinal ileus or obstruction. ○ Patients that most frequently need a naso-enteric tube (NET) are in surgical intensive care settings. ○ Other indications include prematurity, failure to thrive (or malnutrition), neurologic and neuromuscular disorders, inability to swallow, anatomical and postsurgical malformations of the mouth and esophagus, cancer and digestive disorders. ○ The feeding tubes could be for short-term or even long-term use. ○ Feeding tubes are placed in patients either through the nose or percutaneously.
93
Name some methods available to confirm appropriate placement of a feeding tube, and what are the drawbacks of the most definite methods of confirming feeding tube placement?
○ Appropriate placement of an NET is not always successful. ○ Misplacement is said to occur about 13–20% in adults and in 39–55% of pediatric patients. ○ Many different methods have been used to confirm proper placement. These include: (a) Auscultation—injecting air into the feeding tube and listening for the rush of air over the stomach (b) Bubbling—placing the end of the tube under water to look for bubbling which would indicate misplacement into the tracheobronchial tree (c) Appearance and pH of aspirate from NET (d) Endoscopy and fluoroscopy—expensive and time consuming (e) Capnometry—to detect CO2 from the tracheobronchial tree in misplaced NET (f) Detection of a copper wire in the stylet of the feeding tube with a locator device placed over the chest 4 (g) The gold standard—radiography of the chest and abdomen which should visualize the entire feeding tube within the gastro intestinal tract to identify proper positioning. None of these methods ensure that the incidence of misplacement is reduced to zero. ○ To date, two “gold standard” methods of confirming the appropriate placement of the feeding tube are recognized: the radiographic (or fluoroscopic) and the endoscopic method. ° Both these modalities provide confirmation of appropriate placement with great accuracy. ° Fluoroscopy exposes the patient to radiation, which is avoided by endoscopy. ° Both procedures are expensive in terms of finances and time. ° There is the issue of ready availability of equipment as well as the technical difficulty of interpreting the images reliably with both methods. ○ Quite often when a method other than the radiographic method is used for the confirmation of the location of the tip of the NET, an X-ray of the abdomen is performed to additionally verify location of the tip of the NET.  ° This further adds a cost to the process as well as exposing the patient to radiation
94
What preconditions need to be met for placement of a feeding tube?
○ The process of placing the NET is noted to be simple and safe. ○ Ideally the patient is not on an anticoagulant. ○ Patients are also required to be fasting for about 6 hours, if the feeding tube is placed percutaneously; in such situations the patient may require moderate sedation or even a general anesthetic for NET placement.
95
Are there complications associated with feeding tube placement?
○ There are a few risks associated with the placement of the NET such as bleeding, infection, dislodgement of the tube, as well as bloating and nausea. ○ Undetected placement of the NET in the respiratory tract may lead to pneumonia, lung puncture, pneumothorax, empyema, and even death.
96
What do these images show?
○ Figure 62.1 is computed tomography showing a large pulmonary embolism (PE) involving the right pulmonary artery (red arrow). ○ Figure 62.2 is pulmonary angiography of the same patient showing the same finding.
97
How does one assess the pretest probability for this finding? PE
○ Wells score (Table 62.1) is used to calculate the pretest probability of PE. ○ In patients with high pretest probability for PE, imaging is the test of choice. ○ Pulmonary arteriography is the gold standard for diagnosis of PE.  ○ Current generation multi-detector helical computed tomography (CT) has high sensitivity and specificity, comparable to pulmonary arteriography, in detection of PE [2]. ○ Helical CT is the most widely used modality in current clinical settings and would be the diagnostic test of choice in this case. ○ However, in patients with high pretest probability for PE (as in our case) and a negative CT, further investigation in the form of duplex ultrasound of lower extremities or pulmonary arteriography should be considered [3].
98
How does imaging play a role in diagnosis of PE?
○ In patients with high pretest probability for PE, therapeutic anticoagulation should be initiated immediately while awaiting further diagnostic testing (CT, duplex ultrasound, etc.) [4]. ○ Treatment for PE has evolved with the introduction of novel oral anticoagulants or non-warfarin oral anticoagulants (NOAC). ○ Treatment for acute PE can be one of the following: (a) Weight-based low-molecular-weight heparin (LMWH) for 5 days followed by dabigatran, edoxaban, or warfarin (NOACs) (b) Rivaroxaban or apixaban without initial LMWH ○ The treatment for acute PE is divided into the following treatment phases: •acute phase of 5–10 days, short-term phase 3–6 months, and long-term phase beyond 6 months. ○ The duration of therapy depends on the underlying cause for the PE and the risk to benefit ratio of anticoagulation. ○ Outcomes in PE patients depend on the clinical presentation. ○ Based on clinical presentation, they can be further classified into [5]: (a) Massive PE: Acute PE with sustained hypotension (systolic BP < 90 mmHg sustained for over 15 min or requiring ionotropic support) in the absence of any other cause, pulselessness, or profound bradycardia (highest risk of adverse outcomes). (b) Sub-massive PE: Acute PE without sustained hypotension, with signs of hypoperfusion, right ventricular dysfunction on echocardiography, elevated cardiac troponins, and elevated brain natriuretic peptide (intermediate risk of adverse outcomes). (c) Low-risk PE: Acute PE with normal blood pressures, normal cardiac biomarkers, and normal RV function (low risk of adverse outcomes). ○ Further risk stratification using Pulmonary Embolism Severity Index (PESI) scores (Table 62.2), signs of cardiovascular decompensation, and signs of shocklike state allows for consideration of inpatient versus outpatient treatment setting for further management and for the consideration for advanced therapies including thrombolytic therapy [6].
99
What are the acute therapeutic options in this situation? PE
○ The role of systemically administered thrombolysis in acute PE is reserved for patients with clinically massive PE who are not at risk for major bleeding. ○ As mentioned above, massive PE is defined as PE with resulting hypotension (SBP < 90 mmHg) [7]. In low-risk PE, antithrombotic therapy is sufficient. ○ Thrombolytic therapy may be considered down the road in these patients if they acutely develop hypotension while on antithrombotic therapy. ○ Thrombolysis may also be considered in those patients who were initially stable, if blood pressure decreases but is still >90 mmHg, and they develop a shock-like state along with supplemental signs of cardiac decompensation including acute right ventricular failure, elevated cardiac troponins, and brain natriuretic peptide levels (sub-massive PE) [4].
100
When is thrombolytic therapy used in PE?
○ The role of systemically administered thrombolysis in acute PE is reserved for patients with clinically massive PE who are not at risk for major bleeding. ○ As mentioned above, massive PE is defined as PE with resulting hypotension (SBP < 90 mmHg) [7]. ○ In low-risk PE, antithrombotic therapy is sufficient. ○ Thrombolytic therapy may be considered down the road in these patients if they acutely develop hypotension while on antithrombotic therapy. ○ Thrombolysis may also be considered in those patients who were initially stable, if blood pressure decreases but is still >90 mmHg, and they develop a shock-like state along with supplemental signs of cardiac decompensation including acute right ventricular failure, elevated cardiac troponins, and brain natriuretic peptide levels (sub-massive PE) . ○ Contraindications to systemic thrombolysis are mentioned in Table 62.3. ○ Thrombolytic agents approved by the FDA are alteplase (100 mg infusion over 2 h), urokinase (4400 U/kg as a loading dose given at a rate of 90 mL/h over a period of 10 min, followed by continuous infusion of 4400 U/kg/h at a rate of 15 mL/h for 12 h), and streptokinase (250,000 U as a loading dose over 30 min, followed by 100,000 U/h over 12–24 h).
101
What is the role of catheter based therapy for PE ?
○ Patients who are not candidates for systemic thrombolysis should be monitored closely for development of shock-like state (hypotension, worsening tachycardia, gas exchange, oliguria, mentation, etc.). ○ If there is concern for clinical deterioration, catheter-based thrombectomy may be considered over systemic thrombolysis especially in the presence of a relative contraindication for systemic thrombolysis). ○ Catheter-based thrombectomy consists of catheter- directed thrombolysis (reduced dose of thrombolytic administered directly to the thrombus) or mechanical thrombectomy without thrombolysis (endovascular catheter is used to mechanically disrupt the thrombus).
102
A sixty-one-year-old male with known descending thoracic aortic aneurysm with Stanford-type B aortic dissection underwent thoracic endovascular aortic repair (TEVAR) due to ongoing pain and rapidly expanding aneurysm. The procedure was complicated due to significant curvature of the thoracic aorta; patient was subsequently discharged home. Patient was readmitted 2 weeks later with worsening chest pain, back pain, and dizziness. At the time of presentation, patient was in distress. Examination revealed sinus tachycardia HR 120 bpm, no obvious cardiovascular exam findings were noted, pulses were equal in all four extremities, and serum chemistry was unremarkable except for mild renal insufficiency. Due to recent TEVAR procedure, CT angiography was obtained; images are displayed below. What is seen in the images?
○ Figure 63.1 is a triple phase computed tomographic image (CT) showing a type III endoleak in the descending thoracic aorta originating from the stent graft. ○ Figure 63.2 is also a triple phase CT image of the same patient showing the extension of the type III endoleak proximally. ○ This patient underwent a thoracic endovascular aortic repair (TEVAR) procedure for urgent repair of acute type B thoracic aortic dissection with ongoing chest pain and rapid aneurysmal expansion. ○ TEVAR is the procedure of choice in patients with complicated type B dissections. ○ The CT images are consistent with an endoleak. ○ Endoleak is defined as blood collection outside the stent graft but within the aneurysm sac. ° This is a known complication following TEVAR.  ° According to reported data, it occurs in about 5–20% of cases [1].
103
How is the above complication classified?
○ The most widely used method classifies endoleaks depending on the mechanism of formation of the endoleak: (a) Type I endoleak: Proximal or distal reperfusion of the aneurysmal sac. ° This occurs due to malapposition of the stent graft to the aortic wall. ° This is an early complication following TEVAR and needs urgent intervention. ° This is considered to be a form of treatment failure. (b) Type II endoleak: Retrograde reperfusion of the aneurysmal sac from branch vessels. ° These have a benign course and usually need surveillance only. (c) Type III endoleak: Leak into the aneurysmal sac due to structural damage to the stent graft in the form of tears, fractures, or junctional separation. ° This requires urgent intervention and is considered to be a form of treatment failure. (d) Type IV endoleak: Leakage into the aneurysmal sac due to endograft porosity. (e) Type V endoleak: Increase in the aneurysm sac in the absence of leak (endotension). This is poorly understood.
104
What are the treatment options of endoleaks?
○ Type I endoleaks are caused by malapposition of the proximal or the distal end of the stent graft to the aortic wall leading to a direct communication of the luminal blood to the aneurysmal sac and potential for rupture. ° Treatment involves securing the proximal and distal ends of the stent graft using endovascular approach, usually with balloon angioplasty. ° If endovascular repair fails, open repair is recommended. ○ Type III endoleaks are caused by structural damage to the stent graft leading to direct communication of the luminal blood to the aneurysmal sac, leading to expansion and rupture of the aneurysmal sac. ° Initial treatment strategy is endovascular stent graft placement or extension; if this fails, then open repair is recommended.
105
What is the recommended surveillance to detect this complication?
○ Lifelong surveillance is recommended following TEVAR since complications like type III endoleaks can occur many years down the line . ○ Triple phase CT (images obtained before, during, and after contrast administration) angiography is the modality of choice in many centers. ○ As in our case, endoleak on a triple phase CT angiography will show up as contrast outside the stent graft structure in delayed imaging after the contrast has cleared the aortic lumen. ○ Patients receive CT angiography immediately post procedure, then at 1 month, 6 month, and then yearly with clinical follow-up. ○ Magnetic resonance imaging (MRI) can be used as an alternative modality to reduce cumulative radiation in cases where MRI compatible grafts have been used. ○ Ultrasound is not as reliable in the setting of TEVAR due to chest wall interference. ○ Transesophageal echocardiography as a follow-up tool has some disadvantages due to its invasive nature.
106
A 46-year-old male presents to the ER after a syncopal event. The patient developed severe precordial chest pain while lifting weights, immediately followed by syncopal event lasting 30 seconds. Currently in the ER, he continues to have chest pain that radiates to the back. He describes it as a tearing sensation. Pain does not respond to nitroglycerine. On exam patient appears in distress, diaphoretic, HR 120 bpm, BP 150/70 mmHg on right, and 120/60 mmHg on left; chest exam is within normal limits. EKG is consistent with sinus tachycardia and ST depressions anterolaterally. CXR reveals widened mediastinum. Creatinine 2.0 ng/ml (0.0–0.399 ng/ml) Troponin 0.2 ng/ml (0.0–0.399 ng/ml) D-dimer 800 BNP 240 pg/ml (0–100 pg/ml) Echocardiography is performed next and a couple of images are displayed below. What do the images show?
Figure 64.1 shows a transthoracic echocardiographic image of a Stanford type A acute aortic dissection. Figure 64.2 shows a transesophageal echocardiographic image of the same patient confirming the same finding.
107
How is this condition created aortic dissection?
○ Acute aortic syndromes have very high mortality and need a very high index of suspicion for diagnosis. ○ Acute aortic dissection, intramural hematoma, and penetrating aortic ulcer are all considered to be acute aortic syndromes [1]. ○ Aortic dissection is a disruption of the medial layer of the aortic wall with bleeding within or along the wall of the aorta. ○ The blood may tear through the adventitia or back into the intima creating a dissection flap. ○ Acute aortic dissection is rapidly fatal, 40% patients die immediately, about 20% patient die during or immediately after surgery, and only about half the patients are alive 5 years out from surgery . ○ Conditions that place extreme stress on the aortic wall (hypertension, deceleration injury, weight lifting) or lead to degeneration of the aortic media (genetic syndromes, inflammatory vasculitides, bicuspid aortic valve) can increase the risk of aortic dissection
108
What are the presenting features of this condition?
○ Presenting symptoms are sudden onset and severe chest, back, or abdominal pain that is described as tearing or ripping in quality . ○ Some patients with acute aortic dissections may not have any chest pain at all and may present with syncope and shock like state. ○ Patients also present with perfusion defects and end organ damage depending on the extension of the dissection flap, with resulting neurological deficits, myocardial ischemia, renal insufficiency, mesenteric ischemia, or limb ischemia. ○ On physical exam, patients may demonstrate perfusion deficits in the form of a pulse deficit and systolic blood pressure deferential. ○ Vascular examination of all four extremities should be conducted in all patients with suspected aortic dissection.
109
How is this condition classified?
○ Thoracic aortic dissections are classified according to the involvement of the various segments of the thoracic aorta. ○ Accurate classification is necessary to decide on surgical versus medical management. ○ Two classification schema have been proposed: DeBakey and Stanford. ○ The Stanford classification is more widely used, it classifies thoracic aortic dissections based on the involvement of the ascending aorta into: (a) Stanford A: involving ascending aorta (before the brachiocephalic artery). Urgent surgery is recommended. (b) Stanford B: involving the descending aorta only (after the left subclavian artery). Surgery usually not recommended. ○ The DeBakey classification: Acute limb ischemia (a) Type I: Originates in ascending aorta and propagates distally. Urgent surgery is recommended. (b) Type II: Dissection is limited to the ascending aorta only. Urgent surgery is recommended. (c) Type III: Originates in the descending thoracic aorta and propagates distally. Surgery is usually not recommended.
110
What end organ complications can we expect from aortic dissection?
○ As mentioned previously, acute thoracic aortic dissections carry high morbidity and mortality. ○ This is largely due to the end organ complications that arise due to obstruction to blood flow via the dissection flap. ○ The various end organ complications are listed in (Table 64.1).
111
What is the role of imaging and laboratory testing in aortic dissection?
○ The role of D-dimer testing in the screening of aortic dissection has been reported in literature. ○ In patients with low to intermediate pretest probability for aortic dissection, D-dimer test may have a role in ruling out dissection and avoiding further imaging. ○ However, the guidelines do not recommend the use of D-dimer testing in patients with suspected aortic dissection [1, 7]. ○ First step in the algorithm for managing patients with suspected aortic dissection is to determine the pretest probability of aortic dissection. ○ In patients who have a high pretest probability (severe chest pain, known risk factors, and high- risk exam features), the first step is immediate surgical consultation followed by imaging in the form of transesophageal echocardiography, computed tomography, or magnetic resonance imaging. ○ Transesophageal echocardiography has several advantages including quick access, absence of radiation, and ability to be performed in patients who are unstable.
112
What is the treatment of choice for a aortic dissection?
○ Stanford type A dissection is rapidly fatal due to high rate of complications. ○ Immediate surgical consultation should be obtained. ○ Urgent surgery is the treatment of choice in unstable patients. ○ In patients who are relatively stable, preoperative cardiovascular evaluation and coronary angiography should be considered prior to surgery. ○ While awaiting surgery or in patients who are not considered surgical candidates, intravenous beta blockers should be initiated to reduce heart rate to <60 bpm. ○ Non-dihydropyridine calcium channel blockers can be used in patients who cannot tolerate beta blockers. ○ If blood pressure remains elevated (>120 mmHg) despite adequate heart rate control, vasodilators can be initiated. ○ Intraoperative transesophageal echocardiography to evaluate for acute aortic regurgitation should be performed. ○ In presence of aortic valve involvement or significant coronary artery disease, valve replacement surgery or bypass grafting is performed in addition. ○ The surgery involves replacing the entire dissected segment with a Dacron graft. ○ If the aortic valve is not involved, it is resuspended onto the graft.
113
1. How do pediatric chest X-rays differ from those of an adult?
○ Pediatric chest X-Ray differ from those of adults because: (a) They are difficult to obtain as cooperation is limited. (b) Chest X-rays change with age. (c) Children present with different conditions. (d) There are specific areas to review when interpreting a pediatric chest X-ray. (f) The thymus can cause confusion.
114
Consider this normal chest X-ray of an infant (Fig. 65.1). Is there a system for interpreting the image?
○ There are many ways of reading a CXR [2].  ○ Adopt a method that suits you and stick to it. ○ Here is an example: (a) Check ID and quality (b)Bone structure (c) Tracheobronchial tree and mediastinum (d)Heart silhouette (e) Contours of thorax (f) Lung fields (g)Abdomen (h)Soft tissues (i) Lines, tubes, and artefacts
115
What points do you look for when interpretation an cxr?
Points to look for: (a) Check ID and quality: • Age will guide you in your interpretation. • Quality of the picture: rotation, inspiration, and exposure . Over- or underexposed films will impair your judgement on parenchymal density and vascularity. • Position: AP, PA, and supine. Particularly important in neonates where lung mechanics are different such as the angle of the ribs. This can be affected by poor positioning of the child. • Also, ensure the orientation markers are correct (R and L). This is an opportunity to detect situs inversus or dextrocardia. (b)Bone structure: • Check skeleton integrity. Premature neonates have an absence of humeral head ossification [3]. • Is the spine visible behind the mediastinum reflecting correct exposure? • Rotation can be excluded if the clavicles are symmetrical either side of the midline. • Ribs direction will vary with age. Flatter in neonates. Rib notching of coarctation is not usually visible until the age of 5. • Trauma of delivery: shoulders and clavicles. Non-accidental injuries (NAI) in older children: fractured ribs, upper limbs, etc. • In infants, a higher proportion of the skeleton is visible including head and neck, upper limbs, pelvis, and hips. These should all be checked.Tracheobronchial tree and mediastinum: • Position and integrity of trachea and main bronchi. • Presence of a foreign body either directly visible or indirectly by its effect on ventilation. • The thymus is routinely visible until the age of 3. It is readily identifiable but can make the heart shadow difficult to analyze. • Some lines should be visible within the mediastinum in particular the esophagus. Look for possible esophageal atresia if the nasogastric tube curls up before reaching the stomach. • There are some common mediastinal tumors in children including lymphomas, neurogenic tumors (ganglioneuromas), thymomas, teratomas, and lipoblastomas. (d) Heart silhouette and hila: • This area can provide a number of clues in cases of cardiovascular malformations. A clinical suspicion is likely and it is useful to know if the child has a cyanotic or non-cyanotic condition. • Points to consider are heart size, shape, and position. • Special attention needs to be given to the lung vasculature from the pulmonary vessels in the hila to the overall vascularity of the lung fields up to the periphery of the thoracic cavity. Do the lungs appear hypo- or hypervascularized? Correct X-ray exposure is crucial [1]. (e) Contours of the thorax: • A systematic review of all the peripheral regions of the thoracic cavity is necessary. • Check the apices for pneumothoraces but remember that the child could be supine. • Inspect the margins of the mediastinum and heart silhouette, the costo- diaphragmatic angles, and the position and shapes of the two hemidiaphragms. Note the fissures if visible. (f) Lung fields: • Compare symmetrically: lung translucency, inflation, parenchyma, vascularization, and lung markings. Diaphragmatic hernias usually occur on the left side. • A good quality X-ray is needed to identify and distinguish parenchymal disease or abnormal vasculature. You need to decide whether the pathology involves the lung or the cardiovascular system. If it is unilateral, a local process may be involved. A bilateral symmetrical aspect is more likely due to a systemic condition whether respiratory or cardiac. (g)Abdomen: • This must be included in the neonatal X-ray [1]. Look for the presence of air in the bowel. In esophageal atresia, air will be absent unless there also is a tracheoesophageal fistula (TOF) below the level of the atresia. • In older children, check the size of solid organs: grossly enlarged liver, spleen, and kidneys can be visible. • Check for free air under the diaphragm from trauma or ruptured viscus (h)Soft tissues: • Check body fat (absent in premature children), edema (hydrops fetalis), or surgical emphysema. (i) Artefacts: • Children in PICU or NICU will have a number of lines inserted which need to be checked for correct position (Fig. 65.2): umbilical artery or vein catheters, central venous catheter, PICC, nasogastric (NG) tube, endotracheal (ET) tube, shunts, and drains [3]. • Artifacts include umbilical clips, skin folds, monitoring equipment, cots, or ventilator parts
116
What is specific to each age group when interpreting a cxr ?
○In every case, knowledge of the clinical presentation should guide the interpretation [2]. Furthermore, some pathologies will be more common at different ages. For example, the following conditions should be sought in the chest X-ray of: A premature baby or a neonate: Remember X-ray will be AP and supine. Check fetal maturity—ossification of humeral heads. Check lines and tubes [1]. Look for acute cardiopulmonary conditions—respiratory distress in premature babies, transient tachypnea of the newborn, and meconium aspiration. Congenital malformations, cardiovascular anomalies, and hypoperfusion of the lung fields. Rarer anomalies include: Diaphragmatic hernia: abdominal content in the chest cavity. Esophageal atresia: NG tube curling up and absence of intraabdominal gas unless TOF is also present [1]. Dextrocardia: check that labelling has been correctly done. Infants: respiratory tract infections, NAI, tumors: mediastinal but also chest wall and metastatic tumors. Foreign bodies. Rib notching of coarctation (not in under 5). Children: trauma, NAI, and infections.
117
What should you not expect to see on an infant chest X-ray?
A tension pneumothorax: this is a life-threatening condition which should be managed clinically without X-ray confirmation.
118
Do not forget? CXR interpretation
Do not forget: the elephant in the room [2]. ○ If something is obvious and appears important, notice and mention it early. ○ It is then up to you to prioritize your interpretation according to the clinical situation.
119
What is the initial prehospital management of a choking child? [1]
○ Assess severity of choking episode [1]. (a) Effective cough (crying or verbal response to questions, loud cough, able to breath before coughing, normal GCS) • Encourage cough—unless patient deteriorates or until obstruction is relieved. Transport to ED if indicated! (b) Ineffective cough (unable to breath, cyanosis, decreasing GCS, unable to vocalize) • Conscious—blind oropharyngeal finger sweep is not recommended. Alternating five back blows with five chest thrusts (infants) or five abdominal thrusts (child >1 year). Repeat until object comes out or child becomes unconscious. • Unconscious—start CPR.
120
Describe the presentation of a foreign body (FB) aspiration in a child? [2–5]
○ History of aspiration from a witness (not always available). ○ Presentation can range from complete obstruction with hypoxia and cardiac arrest to partial obstruction with symptoms described below to being asymptomatic and presenting later [2]. ○ Symptoms: coughing, choking, stridor or wheezing, drooling, vomiting, chest discomfort, difficulty in swallowing, reduced appetite or refusal to eat, and gagging on eating and drinking. Signs: tachypnea, intercostal muscles retraction, use of accessory muscles, nasal flaring, or cyanosis. Sometimes asymptomatic with no physical signs even with a reliable history of aspiration. ○ Sometimes the presentation is with repeated pneumonias or lung abscesses. ○ Physical examination: • Persistent stridor—high-pitched inspiratory stridor usually a result of supraglottic obstruction. • Biphasic stridor: indicates an obstruction at glottic or subglottic region. • Expiratory stridor: indicates a tracheal or bronchial obstruction. • Decreased breath sounds and wheezing can be indicative of an aspirated FB. ○ X-rays: AP (Antero Posterior) and lateral x-rays of the chest including the neck must be obtained. • Inspiratory and expiratory films will help in lateralizing (radiolucent) FB by emphasizing air trapping. • Left and right lateral films are used in young, uncooperative children (the side with the FB will not deflate when placed dependent). • Over 50% of X-rays are normal within 24 hours of aspiration. • Radiopaque FB: CXR: Pediatric II It is important to distinguish between a battery/magnet and simple coin. • Battery will have a double halo on X-ray and should be removed as a matter of urgency if stuck in the esophagus. Radiolucent FB: The following indirect signs can be present: • Normal or air trapping with air bronchograms. • Atelectasis and partial or total collapse of affected lung. • Hyperinflation of affected lung +/− mediastinal shift. • Pneumothorax or air in the mediastinum. • Consolidation. 3. Hyperinflated right lung with increased translucency, flattened right hemidiaphragm, wider spaced right ribs, and mediastinal shift to the left are the radiological features of obstruction. 4. Management of these cases should involve a multidisciplinary team (MDT) approach and good communication between the team members. • The need for special equipment, specialized skills with a pediatric otorhinolaryngologist, a pediatric anesthesiologist, and a pediatric intensivist would warrant transfer of these patients to a facility that can provide them. (a) Esophageal FB. [2] Several techniques have been described in the literature for the removal of FB.  • Rigid and flexible esophagoscopy requires a general anesthetic (GA). • Balloon retrieval and bougienage of esophageal FB does not require a GA. Bougienage relies on the rationale that if you push the coin into the stomach, it will pass down the gastrointestinal tract. • GA requires a rapid sequence induction and intubation to prevent aspiration. A repeat esophagoscopy is performed after removal of the FB to assess any mucosal injury. (b)Button battery ingestion. • We will consider this as a separate topic as the potential for significant esophageal injuries is very high within 2 hours of ingestion of the battery. • Ingestion of the newer lithium button batteries are of great concern as the generation of hydroxide radicals in the esophageal mucosa result in a caustic injury from the high pH.  • This can lead to esophageal perforation, mediastinitis, tracheoesophageal fistula or aorto-enteric fistulas, and life-threatening bleeding. • The most common battery that raises concern is the 3 V, 20/22 mm lithium button battery (CR 2032) [2]. • Ingested esophageal batteries should be removed as a matter of urgency for the reasons mentioned above. • Asymptomatic gastric batteries are allowed to pass naturally but should be monitored with follow up X-rays. • Symptomatic gastric batteries or simultaneous ingested magnets should be removed urgently. • Children at greatest risk are those younger than 5 years of age and those with ingested battery size >20 mm and multiple battery ingestions [3]. (c) Tracheal or bronchial FB. • The procedure planned may be a diagnostic flexible bronchoscopy (in cases where the diagnosis is not certain) or a rigid bronchoscopy for FB retrieval in symptomatic children. • As the surgeon and anesthesiologist share management of a potentially obstructed airway, a clear communication of a detailed anesthetic and surgical plan and good cooperation between the two teams is essential. ○ Anesthetic Technique: • Preoperative assessment should determine where the FB has lodged, the nature of the FB, and the time it occurred. FB in the trachea means there is a risk for complete airway obstruction, and the risk is less if it is lodged beyond the carina. • There are three main anesthetic issues—method of induction, ventilation, and maintenance of anesthesia. The optimal method of induction is not definitely established but maintaining spontaneous ventilation during the induction of a patient with a proximal FB is commonly practiced [2]. • While spontaneous and controlled ventilation are feasible for FB removal, positive pressure ventilation down the bronchoscope with intermittent apnea while manipulating the object may be more suitable for distal FB retrieval. • Airway trauma and rupture are significant and potentially fatal complications; hence, it is essential to avoid coughing and bucking secondary to the intense stimulation from a rigid bronchoscope. • Movement can be prevented with neuromuscular blockade or deep anesthesia. In theory, there is a risk of positive pressure ventilation causing air trapping due to a ball-valve effect but the literature does not support this concern. • Maintenance can be with inhalational agents or a total IV technique with propofol and remifentanil infusions with the advantage of a constant level of anesthesia irrespective of ventilation [4, 6]. • Ventilation—spontaneous, controlled, and manual jet ventilation (with the ventilation catheter inserted separately from the bronchoscope) has been used and in one series, the incidence of intraoperative hypoxemia was less with manual jet ventilation. • To facilitate removal of the FB through the larynx, the vocal cords should be well relaxed which can be achieved with a small dose of neuromuscular blocker or propofol. • If the FB occludes the trachea and cannot be removed, it can temporally be pushed down the left or right main bronchus to allow one-lung ventilation. • Rarely, a tracheostomy or a thoracotomy might be needed [4]. • Once the procedure is finished, a tracheal tube is inserted if a full stomach is a problem and the patient is woken up and extubated on return of protective reflexes. The patient in our case report suffered several episodes of respiratory distress and cyanosis and was rapidly transferred to the operating room for an emergency rigid bronchoscopy. Adequate intravenous access was in situ (two cannulas minimum). Anesthesia was induced with 100% O2 and sevoflurane after a period of
121
What does the CXR in our patient show?
Hyperinflated right lung with increased translucency, flattened right hemidiaphragm, wider spaced right ribs, and mediastinal shift to the left are the radiological features of obstruction.
122
What is the management of aspirated and ingested FB? [1–6]
4. Management of these cases should involve a multidisciplinary team (MDT) approach and good communication between the team members. The need for special equipment, specialized skills with a pediatric otorhinolaryngologist, a pediatric anesthesiologist, and a pediatric intensivist would warrant transfer of these patients to a facility that can provide them. (a) Esophageal FB. [2] Several techniques have been described in the literature for the removal of FB. Rigid and flexible esophagoscopy requires a general anesthetic (GA). Balloon retrieval and bougienage of esophageal FB does not require a GA [4]. Bougienage relies on the rationale that if you push the coin into the stomach, it will pass down the gastrointestinal tract. GA requires a rapid sequence induction and intubation to prevent aspiration. A repeat esophagoscopy is performed after removal of the FB to assess any mucosal injury. (b)Button battery ingestion. [2] We will consider this as a separate topic as the potential for significant esophageal injuries is very high within 2 hours of ingestion of the battery. Ingestion of the newer lithium button batteries are of great concern as the generation of hydroxide radicals in the esophageal mucosa result in a caustic injury from the high pH. This can lead to esophageal perforation, mediastinitis, tracheoesophageal fistula or aorto-enteric fistulas, and life-threatening bleeding. The most common battery that raises concern is the 3 V, 20/22 mm lithium button battery (CR 2032) [2]. Ingested esophageal batteries should be removed as a matter of urgency for the reasons mentioned above. Asymptomatic gastric batteries are allowed to pass naturally but should be monitored with follow up X-rays. Symptomatic gastric batteries or simultaneous ingested magnets should be removed urgently. Children at greatest risk are those younger than 5 years of age and those with ingested battery size >20 mm and multiple battery ingestions [3]. (c) Tracheal or bronchial FB. The procedure planned may be a diagnostic flexible bronchoscopy (in cases where the diagnosis is not certain) or a rigid bronchoscopy for FB retrieval in symptomatic children. As the surgeon and anesthesiologist share management of a potentially obstructed airway, a clear communication of a detailed anesthetic and surgical plan and good cooperation between the two teams is essential. Anesthetic Technique: Preoperative assessment should determine where the FB has lodged, the nature of the FB, and the time it occurred. FB in the trachea means there is a risk for complete airway obstruction, and the risk is less if it is lodged beyond the carina. There are three main anesthetic issues—method of induction, ventilation, and maintenance of anesthesia. The optimal method of induction is not definitely established but maintaining spontaneous ventilation during the induction of a patient with a proximal FB is commonly practiced [2]. While spontaneous and controlled ventilation are feasible for FB removal, positive pressure ventilation down the bronchoscope with intermittent apnea while manipulating the object may be more suitable for distal FB retrieval. Airway trauma and rupture are significant and potentially fatal complications; hence, it is essential to avoid coughing and bucking secondary to the intense stimulation from a rigid bronchoscope. Movement can be prevented with neuromuscular blockade or deep anesthesia. In theory, there is a risk of positive pressure ventilation causing air trapping due to a ball-valve effect but the literature does not support this concern. Maintenance can be with inhalational agents or a total IV technique with propofol and remifentanil infusions with the advantage of a constant level of anesthesia irrespective of ventilation [4, 6]. Ventilation—spontaneous, controlled, and manual jet ventilation (with the ventilation catheter inserted separately from the bronchoscope) has been used and in one series, the incidence of intraoperative hypoxemia was less with manual jet ventilation. To facilitate removal of the FB through the larynx, the vocal cords should be well relaxed which can be achieved with a small dose of neuromuscular blocker or propofol. If the FB occludes the trachea and cannot be removed, it can temporally be pushed down the left or right main bronchus to allow one-lung ventilation. Rarely, a tracheostomy or a thoracotomy might be needed [4]. Once the procedure is finished, a tracheal tube is inserted if a full stomach is a problem and the patient is woken up and extubated on return of protective reflexes. The patient in our case report suffered several episodes of respiratory distress and cyanosis and was rapidly transferred to the operating room for an emergency rigid bronchoscopy. Adequate intravenous access was in situ (two cannulas minimum). Anesthesia was induced with 100% O2 and sevoflurane after a period of preoxygenation with 100% O2. Once the patient was anesthetized and the airway maintained, a rigid bronchoscope was inserted to examine the airways. The FB (an orange pip) was located at the origin of the right main bronchus (Fig. 66.4). After many difficulties, including transient occlusions of the lower trachea, the pip was removed with a rigid sucker. All secretions and FB material were removed and the underlying mucosa was evaluated (Fig. 66.5). The child was allowed to slowly emerge from general anesthesia and was closely observed for laryngo-/bronchospasm. After a period of observation in post-anesthetic recovery area, the patient was allowed back to the pediatric ward for further observation.
123
What is the incidence and complication rate of FB in children?
Asphyxiation due to FB is a leading cause of death in the pediatric population aged 0–3 years in the European Union (EU) and in the United Status. During 2000, ingestion or aspiration of a foreign body (FB) was responsible for more than 17,000 emergency department visits in children younger than 14 years in the United States with a preponderance in males. In the United States, FB aspiration was responsible for about 4800 deaths in 2013, or about 1 death per 100,000 children [5], aged 0 to 4 years. Estimates in the EU show 50,000 incidences [5, 7]a year with a 10% fatality rate. 26% of FB are food objects such as bones, nuts, or seeds. The remaining 74% are non-food objects: coins, marbles, and toys. Coins make up 15% of FB. Acute and chronic complications seem to occur in almost 15% of patients [2, 5, 7]. Complications: Complete obstruction can lead to cardiac arrest and death if not treated promptly. In children in whom the diagnosis was delayed, most common complications included croup, pneumonia, pneumothorax, atelectasis, stricture, and perforation. Less commonly, perforation of the bronchial tree and f istula formation into surrounding structures can happen [2, 5]. Complications rate from rigid endoscopy and bronchoscopy is low (0.2–5%) and mortality is less than 0.2% [2].
124
I. A 70-year-old male with long-standing history of a cardiac murmur presents for evaluation of decreased exertion tolerance. He has no other significant past medical or surgical history. He previously was very active and walked 2–3 miles daily but recently has had to cut back to one mile due to fatigue and dyspnea. Physical exam is notable for a 3/6 holosystolic murmur located at the apex and radiating to the axilla, a laterally displaced apical impulse and an early diastolic rumble. A transthoracic echocardiogram (TTE) is obtained which prompts a transesophageal echocardiogram (TEE) for further evaluation. What is the normal anatomy of the mitral valve?
The mitral valve is the left atrioventricular (AV) valve. It is a bileaflet valve composed of anterior (aortic) and posterior (mural) leaflets. The anterior mitral valve leaflet (AML) occupies 1/3 of the mitral annulus but is broader and occupies 2/3 of the surface area of the valve. It is in fibrous continuity with the left and non- coronary cusps of the aortic valve. The posterior mitral valve leaflet (PML) occupies 2/3 of the mitral annulus but only accounts for 1/3 of the surface area of the valve [1]. It is divided into three scallops which Carpentier labeled P1, P2 and P3 going laterally to medially. By convention, the AML is similarly divided into three segments (A1, A2, A3 from lateral to medial) which correspond to the PML scallops. The mitral annulus is fibrous anteriorly, muscular posteriorly, and changes shape during the cardiac cycle. The muscular posterior portion is more prone to dilatation and calcification. On the ventricular aspect of the mitral valve, there are three layers of chordae tendinae (primary, secondary and tertiary) which attach to the papillary muscles. There are classically two papillary muscles: posteromedial and anterolateral. The posteromedial papillary muscle is connected via cords to the medial 1/2 of the mitral valve and the anterolateral papillary muscle gives cords to the lateral 1/2 of the mitral valve. With normal mitral valve function, there is a zone of coaptation where the leaflets close, as well as a 4–5 mm zone of apposition where the two leaflets overlap.
125
What do Figs. 67.1 and 67.2 demonstrate?
Figures 70.1 and 70.2 show the classical 3D TEE surgeon’s view of the mitral valve in systole (Fig. 67.1) and diastole (Fig. 67.2). In the surgeon’s view, the left atrium has been opened and you are looking down at an en face view of the mitral valve. The aortic valve by convention is at the top of the image. In this view, the lateral commissure and left atrial appendage are to the left of the image, and the medial commissure and tricuspid valve apparatus are to the right of the image. PML scallops are labeled by the Carpentier convention, lateral to medial, P1, P2 and P3. The adjacent segments of the AML are labeled A1, A2, A3 from lateral to medial. These images show a flail P2 segment due to a ruptured cord (arrow). A flail segment is defined as the tip of the leaflet pointing towards the left atrium in systole and the left ventricle in diastole.
126
How is mitral regurgitation classified?
Mitral regurgitation (MR) is typically described by the Carpentier Classification (adapted from Tsang et al.) [2]. This patient’s mitral regurgitation would be described as type II (likely due to fibroelastic disease) with isolated flail P2 segment due to a ruptured cord (Table 67.1).
127
What is the role of 3D TEE in the evaluation of mitral regurgitation?
○ Echocardiographic evaluation of MR should seek to identify the origin of regurgitation (is it primary? secondary?), the specific lesion responsible for the regurgitation, which aspects of the mitral valve apparatus are affected (leaflets? annulus? chordae tendinae? papillary muscles?), the severity of the MR, and the downstream effects of the MR.  ○ This complete evaluation aids in surgical planning [2, 3]. ○ TEE is indicated preoperatively or intraoperatively (class I recommendation) or when surgery is being considered (class IIa recommendation) to “establish the anatomic basis of severe MR and to assess the feasibility of and guide surgical repair” . ○ TEE is also indicated when TTE is technically inadequate or non-diagnostic in the evaluation of severe MR (class I recommendation).
128
5. What are the advantages and disadvantages of three-dimensional (3D) echocardiography compared to two-dimensional (2D) echocardiography?
3D TEE provides anatomic information from a typical surgeon’s viewpoint which can be critical in communicating findings in an operative setting. It is superior to 2D imaging in correctly identifying affected scallops. Changes in annular size or adjacent anatomy can result in misidentification of scallops on typical 2D TEE views. 3D TEE eliminates this source of error [5, 6]. 3D TEE is also more sensitive and specific than 2D echocardiography for the identification and characterization of commissural lesions. It provides additional information on annular size and geometry as well as on adjacent anatomic structures without necessitating mental 3D reconstruction. As a result, it is less operator dependent than 2D TEE. Current 3D probes have the ability to do X-plane imaging (imaging of simultaneous orthogonal planes), live (real-time) 3D imaging, 3D full volume imaging (4–7 heartbeats are averaged to obtain a large volume image), and 3D full color volume imaging, which with newer technology is useful in the quantification of mitral regurgitation. The main limitations of 3D TEE are the need for an adequate acoustic window, the need to minimize respiratory artifact and translational motion when obtaining full-volume imaging to minimize stitch artifacts, and the decrease in temporal resolution when compared to 2D TEE.
129
What are the indications for surgical treatment of mitral regurgitation?
○ Surgery is indicated for severe acute MR (class I recommendation) [4]. ○ For primary mitral valve pathology, surgery is indicated for chronic, severe, symptomatic MR as long as left ventricular ejection fraction (LVEF) is 30% or greater and left ventricular end-systolic dimension (LVESD) is less than or equal to 55 mm (class I recommendation). ○ Surgery is indicated for chronic, severe, asymptomatic MR if the LVEF is between 30 and 60% and the LVESD is at least 40 mm (class I recommendation). ○ It is reasonable to send an asymptomatic patient with chronic, severe MR, an LVEF >60%, and LVESD <40 mm for repair with an experienced surgeon if the likelihood of successful repair is >90% (class IIa recommendation). ○ It is also reasonable to refer patients with chronic severe MR and either new onset Atrial Fibrillation or pulmonary hypertension (pulmonary artery systolic pressure > 50 mm Hg at rest or >60 mm Hg with exercise) for surgery (class IIa recommendation). ○ It should be noted that if at all possible, mitral valve repair is preferred over mitral valve replacement. ○ Patients should be referred to a surgical center with expertise in mitral valve repair, where the likelihood of successful repair is at least 90% (class I recommendation). ○ It is recommended that mitral valve surgeons do at least 25 repairs per year, and mitral valve centers of excellence do at least 50 repairs per year. ○ Isolated P2 prolapse is the most easily repaired lesion. Repair success rates decrease with anterior or multi-segment prolapse, mitral annular calcification, and significant billowing/ excess leaflet tissue.
130
II. A 40 year old female with hypertension, diabetes, and end-stage renal disease on hemodialysis presents to the emergency room complaining of a 2 week history of fevers, chills, night sweats and a 1 day history of rapidly progressive shortness of breath. She is sitting upright, in moderate distress and appears dyspneic. Temperature is 38.4°C. 2/2 blood cultures grow S. aureus. Physical exam reveals an S3 and an early diastolic flow rumble. What do Figs. 67.3, 67.4, and 67.5 demonstrate?
○ These images show a 3D TEE surgeon’s view of the mitral valve in systole (Fig. 67.3) and diastole (Fig. 67.4). ○ The aortic valve is labeled at the top of the screen (Ao). ○ The lateral commissure is on the left by the left atrial appendage; the medial commissure is on the right by the tricuspid valve (TV) apparatus. ○ On the atrial aspect of the P2 scallop of the PML, there is an irregular, shaggy, echogenic mass (arrow in Fig. 67.4) which involves the mitral valve annulus and is associated with local destruction of the P2 scallop. ○ The regurgitant orifice is marked with an arrow in Fig. 67.3. ○ Figure 67.5 shows the color doppler mitral regurgitation through the perforated leaflet. ○ The patient has positive blood cultures for a typical organism (S. aureus), suggestive echocardiographic findings, and is febrile. ○ She has two major and one minor Duke criteria which is diagnostic for infective endocarditis [7]. ○ TEE confirmed severe MR which was likely acute given her clinical presentation. ○ Her lack of murmur is explained by rapid equilibration of left atrial and left ventricular diastolic pressures. If present, the murmur of acute severe MR occurs in early systole and terminates in early to mid-systole. ○ An S3 is often present due to acute left ventricular volume overload and a diastolic rumble flow murmur may be heard [8].
131
Using the Carpentier classification, what is the mechanism of mitral regurgitation?
In this patient, mitral valve leaflet motion is normal. The mechanism of MR is due to leaflet perforation from infective endocarditis (IE) (Carpentier class I) (Table 67.1).
132
What are additional key echocardiographic findings in the evaluation of this condition?
○ In this situation, 3D TEE was used to confirm the location and size of the vegetation (P2 scallop with extension into the muscular annulus), to evaluate for any other associated valvular disease (in this case leaflet perforation), to evaluate the shape/size of the mitral valve annulus for surgical planning, and to evaluate for extension into adjacent structures. ○ The anterior mitral valve leaflet is in fibrous continuity with the left and non-coronary cusps of the aortic valve as well as the right and left fibrous trigones. ○ With IE involving the anterior mitral leaflet, it is important to carefully examine for perivalvular or aortic valvular extension. ○ Perivalvular extension of IE is an indication for surgical intervention. ○ It is also important to accurately quantify the degree of regurgitation as severe, symptomatic regurgitation due to IE is an indication for surgical intervention. ○ Large vegetations (>10 mm in size) associated with embolic phenomena, or recurrent embolic phenomenon are also indications for surgical management of IE.