Physiological Studies Flashcards

(40 cards)

1
Q

The image below is a snapshot of a pressure–volume curve of a patient on a ventilator in the ICU.
What does pressure–volume (P–V) curve describe?

A

○ Pressure–volume curves describe the mechanical behavior of the lungs and chest wall during inspiration and expiration, giving the clinician a sense of the patient’s lung and chest wall compliance (Fig. 73.1).
○ It has been studied in many disease states but most extensively in patients with ARDS.
○Different than static pressure volume curves, dynamic pressure–volume curves are obtained during actual gas flow through the respiratory cycle, and add the variable of airway resistance to the equation.
○ Many ICU and OR ventilators currently come with the built-in capability to record constant flow dynamic pressure–volume curves.

How well did you know this?
1
Not at all
2
3
4
5
Perfectly
2
Q

What is the goal of using P–V curves?

A

○ The reason clinicians initiated the analysis of pressure–volume curves in different disease scenarios was to assess individual patient’s respiratory mechanics and possibly customize the ventilator settings according to their findings.
○ Ultimately, the goal was to optimize the ventilator settings for each patient and improve compliance, thus protecting them from ventilator-induced lung injury

How well did you know this?
1
Not at all
2
3
4
5
Perfectly
3
Q

Does PV loops improve outcome?

A

○ Despite the initial enthusiasm and excitement that the use of P–V curves could improve morbidity and mortality, it has not been borne out in studies.
○ Difficulties in measurements and improper use of the information may have been contributors to the lack of evidence and have raised questions about the clinical usefulness of this method.
○ Since the development of new ventilators with the built-in capacity to measure dynamic pressure–volume curves, promising research has been ongoing and hopefully will result in the initially desired clinical outcomes

How well did you know this?
1
Not at all
2
3
4
5
Perfectly
4
Q

What are inflection points on the P–V curve?

A

○ Lower inflection point (LIP) represents the lung volume at which some alveoli close (closing capacity).
○ The upper inflection point (UIP) represents the start of overdistension or the stop of recruitment.
° Both lower and upper inflection points can be identified on a static respiratory system compliance curve (static pressure–volume curve, Fig.73.2).
° In theory, the lungs should be ventilated between these two inflection points, although no outcome study has shown significant benefit with this approach.
° In fact, studies have considered the LIP to be the minimal pressure above which mechanical ventilation should take place in ARDS.
° Similarly, LIP is proposed as the starting point for PEEP titration in that setting. ° Gattinoni etal. suggested that the calculation of what they called “P-flex” could result in the optimal PEEP for a given patient.
° P-flex is the intersection point between the slopes of the low-compliance segment and high-compliance segment (Fig.73.2) and corresponds roughly to the lower inflection point.
° Static pressure–volume curves are difficult to obtain in routine care; therefore, dynamic compliance curves, available in most ventilators, are being used instead (Fig.73.1).
° Typically, inflection points are not easily identified on dynamic curves, but when visible, the presence of a lower inflection point may indicate insufficient PEEP because it represents a sudden increase in lung volume at a certain pressure.
° In an optimized and recruited lung, achieving a given pressure should not be required to open several alveoli at once, which makes LIP more visible. Instead, alveoli should be gradually, slowly, and uniformly opened, making LIP less visible. In Fig.73.3, it is easier to identify the LIP and understand how recruitment (change in tidal volume) only happens after 10cmH2O of pressure is applied to the airway. This high pressure requirement in order to promote a change in volume implies insufficient PEEP.On the other hand, the presence of an upper inflection point may indicate excessive PEEP, over inflation, or overall excessive pressure in the respiratory system. The latter is termed “beaking” (Fig.73.1) [2, 3].

How well did you know this?
1
Not at all
2
3
4
5
Perfectly
5
Q

How can one select appropriate PEEP?

A

○ The importance of selecting an adequate level of PEEP stems from the goal of not only lung recruitment for improved compliance and oxygenation but also optimization of respiratory mechanics and avoidance of the development of ventilator- induced lung injury.
○ This type of injury can occur from different mechanisms: barotrauma (high alveolar pressure), volutrauma (alveolar overdistension), atelectotrauma (cyclic opening/closing of alveoli), and biotrauma (release of inflammatory mediators).
○ Ideal ventilator settings imply a combination of PEEP and small tidal volume that causes the least insult to the lung.
○ The only ventilator setting that has been associated with improved outcome is avoiding a plateau pressure above 30cmH2O.
○ Stepwise algorithms for PEEP increments and other methods suggesting specific PEEP values for certain clinical scenarios have been questioned by investigators, mostly due to lack of benefit in survival statistics. Examples of such methods are staircase recruitment maneuver, adjusting according to FiO2 requirements, adjusting higher than the lower inflection point on a pressure–volume curve, adjusting to maximize static compliance (TV/Pplat-PEEP), adjusting to maintain plateau pressure of 28–30cmH2O, and adjusting by measurement of transpulmonary pressures with esophageal balloon, titration to lowest intrapulmonary shunt (highest SvO2) [3].

How well did you know this?
1
Not at all
2
3
4
5
Perfectly
6
Q

What are the benefits of adequate PEEP?

A

○ Adequate PEEP increases FRC, recruits atelectatic and collapsed lung areas, optimizes ventilation/perfusion ratio, reduces right to left shunt, and avoids end- expiratory alveolar collapse.
○ Potential disadvantages are reduction of cardiac output by diminished venous return, reduction of renal/hepatic/splanchnic circulations, overdistension/rupture of alveoli, and increase of intracranial hypertension.

How well did you know this?
1
Not at all
2
3
4
5
Perfectly
7
Q

Forty-two-year-old female is 61 inches and 98 lbs and has shortness of breath. Figure68.1 is her spirogram. FVC is 94% of predicted. FEV1 is 46% but post bronchodilator increases to 66%. FEV1/FVC was 39%.
How is spirometry performed and what information does it provide?

A

Spirometry: the patient inhales until the lungs are full and rapidly and forcefully exhales.
○ The test is dependent on patient effort, so it must be properly performed.
○ The test is repeated until three acceptable and consistent results are obtained.
(a) Forced vital capacity or FVC.
- This is the total exhaled volume in liters exhaled after full inspiration, typically in the first 6s.
(b) Forced expiratory volume in liters during the first second or FEV1.
(c) The ratio of the FEV1/FVC as a fraction. Normal is between 0.7 and 0.8.
(d) The forced expiratory flow rate in the midportion of the FEV1, the FEF25–75.
(e) Normal values are obtained from tables, obtained in normal controls, and vary by height, gender, and ethnicity.
○ These data provide objective measurements to determine the severity and follow the course of the pulmonary disease [1].
(f) These measurements are based on flow over time. Flow volume loops are f low rates plotted against volume and are discussed in a separate chapter.

How well did you know this?
1
Not at all
2
3
4
5
Perfectly
8
Q

When is spirometry indicated?

A

○ Spirometry can confirm the presence and severity of obstructive and restrictive lung disease.
○ The response to bronchodilator can assist to differentiate asthma from COPD.
○ It can be useful to assess progression and response to therapy.
○ Spirometry is not routinely necessary in preoperative testing for non-thoracic surgery.
○ In patients evaluated for lung resection, simple spirometry, FVC, and FEV1 should be obtained.
○ The predicted postoperative FEV1 is calculated as ppoFEV1=preopFEV1%×(1–% functional lung removed/100). A ppoFEV1<40% indicates a higher risk of postoperative complications; these patients may need additional testing, and/or a ppoFEV1<30% may require postop ventilation [2].

How well did you know this?
1
Not at all
2
3
4
5
Perfectly
9
Q

Describe normal and abnormal spirometry curves

A

Three basic patterns are:
(a)Normal: FEV1 and FVC are >80% of predicted. FVC1/FVC is >0.7.
(b)Obstructive: FEV1<80% of predicted FVC normal or reduced, usually decreased to a lesser degree than FEV1 FEV1/FVC<0.7. (Fig.68.3)
○ An obstructive pattern is usually seen in COPD or asthma.
(c)Restrictive: FEV1 is normal or slightly reduced. FVC<80% of predicted. FEV1/FVC>0.7. (Fig.68.4)
Restrictive pattern is seen in parenchymal disease such as pulmonary fibrosis.
○ Extraparenchymal causes include chest wall deformity such as scoliosis, obesity, pleural effusion, and neuromuscular disorder. Further pulmonary testing with CO diffusion capacity may help in the diagnosis. If both FEV1 and FVC are reduced, the patient may have a mixed restrictive and obstructive disorder (Fig.68.5).
○ Another possibility is that severe obstruction may lead to air trapping. Measuring total lung capacity and residual volume will show increased residual volume in air trapping

How well did you know this?
1
Not at all
2
3
4
5
Perfectly
10
Q

Describe spirometry in COPD.

A

Chronic obstructive lung disease COPD is common.
○ Causes include cigarette smoking, occupational exposure to particulates such as in coal miners, and α1 antitrypsin deficiency.
○ There is a progressive airflow limitation that is not fully reversible. This is due to loss of elastic recoil in emphysema and airway narrowing by secretions or inflammatory changes.
○ Clinical features include productive cough, progressing dyspnea, and prolonged expiration

How well did you know this?
1
Not at all
2
3
4
5
Perfectly
11
Q

What is bronchodilator reversibility testing?

A

○ Bronchodilator testing demonstrates reversibility of obstruction, indicating benefit from bronchodilator therapy, primarily beta2 agonists.
○ FVC and FEV1 are measured at baseline and after inhaled bronchodilator.
(a) FEV1 increases of at least 12% or 200ml from baseline is considered significant. This supports the diagnosis of asthma.
(b) Some patients with COPD respond to bronchodilators.
(c) In general spirometry that returns to normal after bronchodilator is not COPD .

How well did you know this?
1
Not at all
2
3
4
5
Perfectly
12
Q

How would you interpret this patient’s spirometry?

A

○ This patient’s spirometry has an FVC of >80%; thus, a restrictive component is not present.
○ The marked decreased FEV1 at 46% predicted and FEV1/FVC of 39% indicate an obstructive component that is severe.
○ She shows responsiveness to bronchodilators.
○ The diagnosis of either COPD or asthma is based on the history and physical in addition to spirometry.

How well did you know this?
1
Not at all
2
3
4
5
Perfectly
13
Q

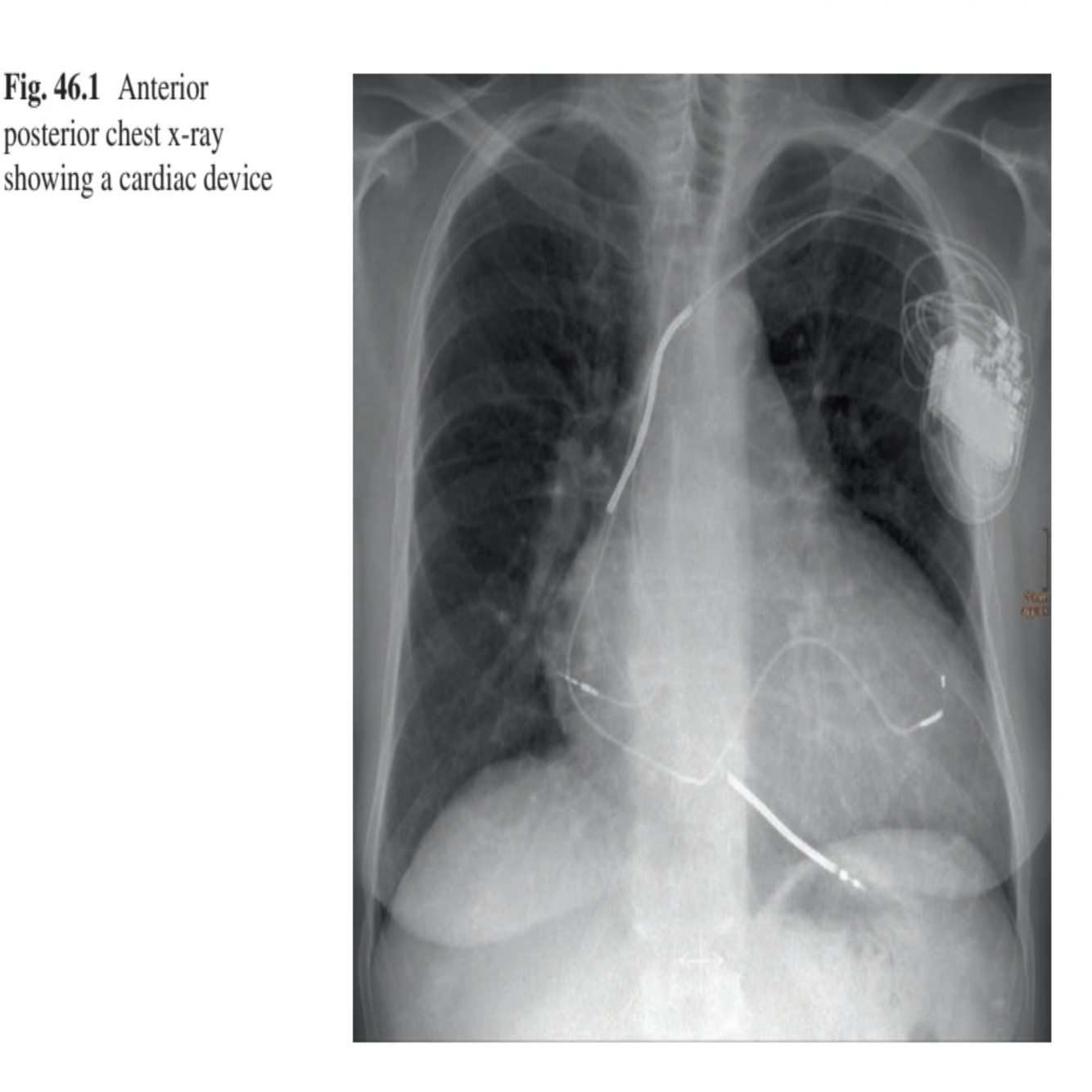
You are contacted about a 61-year-old female patient who is starting a course of electroconvulsive therapy (ECT) for depression the following day. She has been a nursing home resident for the prior 2years, has not seen a cardiologist in that time, and is a poor historian. Her comorbidities include hypertension and coronary artery disease treated with angioplasty and stents 5years ago. A chest X-ray was done 2days prior to rule out pneumonia and is shown below. No other information is available and there is no family. 1. What does the X-ray demonstrate?

A

○ The chest X-ray shows what appears to be a pacemaker device over the right chest with a single lead in the right atrium.
○ Pacemakers have one or two thin leads, and the tip of the lead can be in the atrium, right ventricle, and/or left ventricle as opposed to an ICD which will have two radiodense shock coils with one in the SVC area and the second in the right ventricle

How well did you know this?
1
Not at all
2
3
4
5
Perfectly
14
Q

You are contacted about a 61-year-old female patient who is starting a course of electroconvulsive therapy (ECT) for depression the following day. She has been a nursing home resident for the prior 2years, has not seen a cardiologist in that time, and is a poor historian. Her comorbidities include hypertension and coronary artery disease treated with angioplasty and stents 5years ago. A chest X-ray was done 2days prior to rule out pneumonia and is shown below. No other information is available and there is no family.
What needs to be done next?

A

○ Apart from the routine pre-anesthesia assessment, the CIED needs to be addressed.
○ ECT is an elective procedure and is a source of electromagnetic interference (EMI).
○ As per the guidelines, before an elective procedure, the patient’s cardiologist, if known, is contacted for recommendations. If not known, then the CIED team (cardiologist, cardiac electrophysiologist, device clinic nurses and staff) from the same or a neighboring hospital is involved.

How well did you know this?
1
Not at all
2
3
4
5
Perfectly
15
Q

What is the information that needs to be communicated with the CIED team?

A

Information that need to be communicated with the CIED team:
(a) Intended surgical procedure and its anatomic location
(b) Location of the pulse generator
(c) Patient position during the procedure
(d) Type of electrocautery to be used whether monopolar or bipolar
(e) Presence of other sources of EMI
(f) Cardioversion or defibrillation during the procedure
(g) Venue for the procedure
(h) Postoperative plan: Day case/inpatient with telemetry bed
(i) Surgical procedure that can cause mechanical damage the leads to CIED

How well did you know this?
1
Not at all
2
3
4
5
Perfectly
16
Q

What information does the CIED team communicate with the anesthesiologist?

A

Information that the CIED team communicates with the Anesthesiologist [1, 4]:
(a) Details of the settings in the CIED and their functioning status.
(b) Date of last device interrogation (should be 6months for AICD and 1year for pacemaker).
(c) Device type, manufacturer, and model
(d) Indication for device placement.
(e) Life of the battery.
(f) Age of the leads (should be >3months).
(g) Current programming mode.
(h) Is the patient pacemaker dependent?
(i) Response of the device to magnet placement.
(j) Any alert status on the device.
(k) Pacing threshold on the last occasion.
(l) Individualized prescription or perioperative recommendation based on patient information, device characteristics, and surgical factors.

How well did you know this?
1
Not at all
2
3
4
5
Perfectly
17
Q

Name some sources of electromagnetic interference (EMI).

A

Sources of EMI in a hospital setting [2]: (a) Electrocautery (especially monopolar electrocautery).
(b) Evoked potential monitors.
(c) Nerve stimulators.
(d)Fasciculations.
(e) External defibrillation.
(f) Magnetic resonance imaging (MRI).
(g)Radiofrequency ablation.
(h) Extracorporeal shock wave lithotripsy (ESWL).
(i) Electroconvulsive therapy (ECT).
(j) Other sources of interference include large tidal volumes and shivering.
Sources of EMI in daily life [3]:
(a) Digital music players
(b) Magnets in stereo speakers, headphones, toys, jewelries, and some clothes
(c) Metal detectors
(d)Tasers
(e) Cellular phones
(f) Portable home phones
(g)Auto engines
(h) Arc welding equipment
(i) Cockpits
(j) RFID equipment
(k) High-voltage power coils

18
Q

What are the adverse effects of EMI on CIED?

A

Adverse effects of EMI [1, 4]:
(a) Damage to the CIED circuitry.
(b) Failure to pace, defibrillate, or both.
(c) Asynchronous pacing.
(d) Arrhythmia detection and AICD shocks.
(e) Rate-adaptive sensor activation.
(f) Electrical reset is a very rare occurrence that can happen when an energy surge directly contacts the CIED generator and results in major hardware/ software failure.
○ The reset mode is a safety backup, and depending on the manufacturer, the device will go to a preset rate and then has to be reprogrammed or replaced. The most common cause is therapeutic ionizing radiation rather than electrocautery or cardioversion.
(g) EMI could produce enough current to flow from the generator to the pacing electrode and damage the tissue-lead interface.
○ Acute injury may lead to loss of sensing and pacing.

19
Q

Is it necessary to interrogate this device? If so, why? Pacemaker

A

For reasons mentioned in answer 4 and as there has not been a cardiology consultation in 2years, this device needs to be interrogated/checked.

  1. Information that the CIED team communicates with the Anesthesiologist [1, 4]:
    (a) Details of the settings in the CIED and their functioning status.
    (b) Date of last device interrogation (should be 6 months for AICD and 1 year
    for pacemaker).
    (c) Device type, manufacturer, and model
    (d) Indication for device placement.
    (e) Life of the battery.
    (f) Age of the leads (should be >3 months).
    (g) Current programming mode.
    (h) Is the patient pacemaker dependent?
    (i) Response of the device to magnet placement.
    (j) Any alert status on the device.
    (k) Pacing threshold on the last occasion.
    (l) Individualized prescription or perioperative recommendation based on
    patient information, device characteristics, and surgical factors.
20
Q

What is the effect of ECT on CIED?

A

○ In ECT, a brief electrical current (duration 1–2s), although sometimes a more prolonged stimulus, is delivered to the head triggering a seizure.
○ Transient ECG changes such as increased P wave amplitude, altered QRS shape, and ST-T wave abnormalities may occur.
○ The physiological stresses of ECT which include bradycardia, hypotension followed by tachycardia, and hypertension may provoke cardiac failure in patients with marginal cardiac function.
○ With the brief shocks, hemodynamically significant pacing inhibition is unlikely. ○ Similarly, with ICDs on standard programming, inappropriate shocks from this brief electrical therapy are also unlikely.
○ If a more prolonged stimulus is used, then there is a potential for significant bradycardia and ICD shocks.
○ A prolonged, intense seizure may cause myopotential inhibition of the device in pacemaker-dependent patients .

21
Q

How is anesthesia managed patient with pacemaker?

A

○ Monitoring should include continuous ECG and continuous peripheral pulse.
○ In pacemaker-dependent patients, a magnet is placed over the generator, and in others it is made available.
○ For an AICD, a magnet is kept handy.
○ It is also advisable to know the ICD tachycardia detection rate and be prepared to use the magnet if the heart rate, post-ECT, approaches that level.
○ Temporary pacing systems and external cardioversion devices should be made available.
○ Postoperatively, if the device was programmed pre-procedure, then the patient should not leave a monitored area until reprogramming and device function have been restored.
○ Otherwise, recommendation for the follow-up assessment and reprogramming needed after surgery and the timing of postoperative CIED evaluation are based on the CIED recommendations.

22
Q

A 48-year-old male patient presents to the preanesthesia clinic to prepare for a knee arthroscopy procedure. The patient has a history of COPD and is a 40-pack-year smoker. Vitals are HR 72, BP 140/74, SpO2 93% on room air, and temp 36.6, with height of 64inches and weight of 88kilograms. Pulmonary function tests, including a flow volume loop, were present in the patient’s medical records from an outside hospital
Draw a normal flow volume loop. Label the x- and y-axes. Where is the residual volume and total lung capacity located? Show where expiration and inspiration are represented.

A

Refer to Fig. 70.1a. The y-axis represents the flow rate. On this same axis exhalation is found in the area above the x-axis, and inhalation is represented below the x-axis. The lung volume is plotted on the x-axis and the value decreases from left to right. In other words, the x-axis starts at total lung capacity at the left end, and the volume decreases progressively until residual volume is reached at the far right.

23
Q

Regarding patient effort, what is required from the patient for a flow volume loop to be accurate? What type of patients might have difficulty with a FVL?

A

A flow volume loop requires the patient to provide maximal ventilatory effort. This might be difficult to obtain in pediatric patients and patients who might be in acute respiratory distress.

24
Q

Where is the peak expiratory flow rate (PEFR) located on the FVL? What are the normal values for PEFR for adult females and males? Besides a respiratory problem, what are major influences on the PEFR?

A

A normal peak expiratory flow rate (PEFR) is located at the highest point on a f low volume loop. A PEFR averages between 440 and 740L/min in men and 340 and 530L/min in women. Age and height are the major influences on PEFR [1].

25
Where does an FVL start? What direction does the FVL follow?
The flow volume loop begins on the left of the x-axis and follows a clockwise direction.
26
Draw an FVL for a patient with mild COPD. Describe some key characteristics. Explain what happens to the FVL whenever there is severe COPD.
In mild COPD, the PEFR usually decreases slightly so that the initial expiratory f low is not affected significantly (Fig. 70.2). Instead of the almost linear decrease in expiratory flow, there is a “scooping” of the loop soon after the PEFR. This scooping represents the decreased amount of flow secondary to difficulty in expelling the volume of gases left in the distal airways. In severe COPD, the PEFR is affected more drastically. The expiratory flow does not come close to the flow of a normal subject.
27
Draw an FVL for a patient with vocal cord paralysis.
This FVL depicts a paralyzed vocal cord adducting during inspiration resulting in decreased airflow, but expiration is not affected (Fig. 70.3).
28
Explain what an FVL for a patient with a fixed obstruction such as a goiter looks like
The peak flow of the FVL will be decreased during exhalation and inhalation. Exhalation and inhalation flows will typically mirror each other. Since the patient is providing maximal effort, residual lung volume and total lung volume remain the same (Fig. 70.4) [2].
29
What does an FVL typically look like for restrictive lung disease?
While there are many variations for FVLs representing restrictive lung diseases, typically the TLC and RV are decreased. However, the peak flows remain almost normal although for a shorter time (Fig. 70.5).
30
Sixty-five-year-old lady awaiting Whipple surgery presents to the preoperative clinic. She has a past medical history of ischemic heart disease with percutaneous coronary intervention in the past, prior ischemic stroke with left-sided hemiparesis, diabetes mellitus well controlled on metformin, essential hypertension, and hyperlipidemia. Patient stated that she started noticing chest pressure over left precordium with moderate exertion over the past 3 months. She is partially dependent. Due to suspicion of ischemic heart disease and elevated risk surgery, cardiology clinic referral is made, and surgery is postponed. Cardiologist orders a stress test. Results are displayed below What do the images demonstrate?
Patient underwent a dobutamine stress echocardiogram. Figures show still frames of the left ventricle in end systole, at rest, and at peak stress (Figs. 69.1 and 69.2). Findings are consistent with stress-induced wall motion abnormality involving the left anterior descending coronary artery distribution (anterior and anterolateral myocardium).
31
What is the pathophysiologic basis of stress testing
○ Functional stress testing is the test of choice for detecting myocardial ischemia. ○ Stress testing is based on the principle of “the ischemic cascade”; according to which, as the severity of ischemia increases, the ischemic manifestations worsen progressively from diastolic dysfunction, reduced epicardial perfusion, regional wall motion abnormalities, global systolic dysfunction, and finally EKG changes ○ The aim of a stress test is to activate the ischemic cascade with either exercise or drugs and demonstrate the resulting ischemic manifestations via EKG, echocardiography, myocardial perfusion imaging (MPI), or magnetic resonance imaging. ○ Exercise stress is preferred over pharmacological stress because of the higher physiological stress levels achieved via exercise. Exercise stress also provides additional prognostic information like functional capacity. However, not all patients are candidate for exercise stress testing, especially those who have significant disabilities or disabling comorbidities.
32
What factors influence the choice of stress testing?
○ The sensitivity and specificity of a stress test depend upon the pretest probability of ischemic heart disease (IHD); °Sensitivity of the stress test to detect disease increases in patient populations with high pretest probability of IHD (65-year- old male with typical chest pain); on the other hand the specificity of the stress test to detect the absence of disease increases in populations with low pretest probability of IHD (35-year-old female with atypical chest pain). ○ The clinical utility of a stress test in diagnosing or ruling out IHD is best in those with intermediate pretest probability of IHD (45-year-old male with atypical chest pain). ○ The choice of stress testing depends on patient’s ability to exercise, body habitus, and baseline EKG. ○ According to the ACC-AHA guidelines, exercise stress EKG testing is recommended in ° Symptomatic patients with intermediate pretest probability for ischemic heart disease (IHD) ° Moderate functional capacity, and ° Interpretable EKG at baseline. ○ Exercise stress with MPI or echocardiography is recommended in symptomatic patients with intermediate to high pretest probability of IHD, moderate functional capacity, and uninterpretable EKG at baseline. ○ Pharmacological stress MPI or echocardiogram is recommended for symptomatic intermediate to high pretest probability patients who have limited functional capacity and are not able to exercise [1].
33
What is the role of stress testing in the preoperative setting?
○ Routine stress testing for IHD in the preoperative setting is not recommended. ○ For patients who are scheduled for elevated risk surgery (>1% risk of major adverse cardiovascular events) and have excellent functional capacity (METS > 10), it is reasonable to proceed with surgery without stress testing. ○ Even in patients with intermediate functional capacity (METS 4–10), proceeding with surgery without stress testing may be considered [2]. ○ Patients who are scheduled for elevated risk surgery and have poor functional capacity (<4 METS) or if functional capacity cannot be determined, stress testing may be considered if results of the stress test would change preoperative management. ○ In our patient scheduled for elevated risk surgery, functional status estimation is not possible due to hemiparesis and partially dependent status. As per the ACC-AHA guidelines, stress testing may be considered as mentioned above. ○ More importantly however, our patient should be scheduled for stress testing independent of surgical status due to the fact that she has high pretest probability for ischemic heart disease and is currently symptomatic. ○ High-risk stress features (as shown in this case) suggest a high ischemic burden which would benefit with revascularization. Our patient underwent coronary angiogram that revealed significant stenosis of the left anterior descending (LAD) coronary artery (Fig. 69.3). After discussions between the patient, surgeon, anesthesiologist, and cardiologist, multidisciplinary decision was made to postpone Whipple surgery to allow for percutaneous coronary intervention with bare metal stent and dual antiplatelet therapy for 30 days.
34
What do Figs. 71.1, 71.2, and 71.3 show?
○ The images represent coronary angiography in different angiographic angulations. ○ Coronary angiography is defined as the radiographic visualization of the coronary arteries after the injection of radiopaque iodinated contrast media [1]. ○ This procedure is typically performed as a part of the cardiac catheterization procedure which may also include hemodynamic assessment or imaging of other cardiac chambers (usually the left ventricle). ○ Coronary angiography is performed of both the left and right coronary arteries and bypass grafts, if present, using specialized catheters. ○ Images are obtained in different angulations to accurately delineate the coronary anatomy. ○ Figures 71.1 and 71.2 delineate the anatomy of the left coronary system. ° Figure 71.1 is a caudal angulation and best shows the left circumflex artery and its branches (arrow). ° Figure 71.2 is a cranial angulation view, and it best shows the left anterior descending artery and its branches (arrow). ° Figure 71.3 shows the right coronary artery.
35
. Describe the normal coronary anatomy
○ There are two major epicardial arteries: the left main and the right coronary arteries originating typically from the left and right sinuses of Valsalva at the base of the ascending aorta [2]. ○ The left main coronary artery further divides to the left anterior descending (LAD) and the left circumflex (LCX) coronary arteries. In some instances, the left main coronary artery also gives a third branch termed the ramus intermedius artery. ○ The LAD and LCX further subdivide to diagonal and obtuse marginal arteries. ○ The dominance of the coronary circulation is determined based on the origin of the posterior descending artery (PDA) which supplies the posterior part of the interventricular septum. ○ The PDA arises from the right coronary artery in 70% of the patients rendering the circulation right dominant and from the left circumflex artery in 15% of the cases which makes the circulation left dominant. ○ In the remainder of the cases, the PDA arises from both the right coronary and the left circumflex arteries, in which cases the circulation is termed codominant [3]. ○ The nomenclature of the different segments of the coronary artery tree has been described by the Bypass Angioplasty Revascularization Investigation (BARI) group, and detailed description is beyond the scope of this chapter [4]. Table 71.1 summarizes the main branches of the coronary arteries.
36
List some indications and contraindications for cardiac catheterization.
○ The main indication of cardiac catheterization in adults is to delineate the coronary anatomy and the severity of stenoses for suspected coronary artery disease. ○ The procedure may be performed on elective or urgent basis. ○ The main indications of coronary angiography. 1. Suspected coronary artery disease (a) Stable angina (b) Unstable angina (c) Abnormal stress test 2. Acute myocardial infarction (a) ST segment elevation myocardial infarction (b) Non-ST segment elevation myocardial infarction 3. History of resuscitated sudden cardiac death 4. Valvular heart disease 5. Congenital heart disease 6. Cardiomyopathy 7. Cardiac transplant (initial assessment or follow-up) ○There are no absolute contraindications (apart from patient refusal) for cardiac catheterization. Contraindications: 1. Renal failure (acute of chronic) 2. Active gastrointestinal bleeding 3. Bleeding diathesis 4. Severe anemia 5. Infection or fever 6. Recent stroke (less than 1 month) 7. Severe electrolyte imbalance 8. Severe uncontrolled hypertension 9. Severe decompensated heart failure 10. Documented allergy (anaphylactoid reaction) to iodinated contrast media 11. Uncooperative patient 12. Pregnancy
37
What are the complications of cardiac catheterization?
Cardiac catheterization is a relatively safe procedure; however, there are a number of complications that may be associated with it, and the patient needs to be well informed about them prior to proceeding with this invasive procedure. The main complications [5, 6] encountered in this procedure are summarized in Table 71.4.
38
What are the determinants of myocardial demand and supply?
○ The balance and interrelation between myocardial oxygen demand and supply is complex and is governed my multiple factors. ○ The determinants of myocardial oxygen demand include the heart rate, myocardial contractility, preload (end- diastolic pressure or volume), afterload (arterial impedance), and muscle mass. ○ The main determinants of myocardial oxygen supply include coronary blood flow and arterial oxygen content [7]. ○ Coronary blood flow is directly proportional to coronary perfusion pressure (aortic diastolic pressure—left ventricular end-diastolic pressure) and inversely proportional to microvascular resistance (left ventricular wall tension). ○ If demand exceeds supply, myocardial ischemia ensues with its deleterious effects.
39
What defines a significant coronary stenosis?
○ A significant coronary artery stenosis is defined as an angiographic stenosis of 70% or more in a major epicardial artery. ○ An angiographic stenosis of 50% or moreof the left main coronary artery is considered to be significant. ○ In many instances, the stenosis does not reach the cutoff of angiographic significance, and further testing is needed. ○ There are multiple modalities that can be used to assess the significance of an intermediate angiographic stenosis including fractional flow reserve (FFR) and intravascular ultrasound (IVUS). ○ FFR is defined as the maximal blood flow to the myocardium in the presence of a stenosis in the supplying coronary artery, divided by the theoretical normal maximal flow in the same distribution [8]. ° A value of 0.80 or less indicates that a stenosis is hemodynamically significant and thus may be a cause of ischemia and would benefit from revascularization [9]. IVUS can be used to image the coronary artery and better characterize a stenosis. ° An area of less than 4.0 mm2 (this value varies based on the different studies) in an epicardial artery or 6.0 mm2 in the left main coronary artery is considered to be significant.
40
What are the main components of a “cath report”?
At the conclusion of cardiac catheterization, a comprehensive report is key to help in the management of the patient and for future reference. Table 71.5 summarizes the key components of the report.