Imaging Flashcards

(7 cards)

1
Q

Diagnostic Imaging: CXR systematic approachs

A

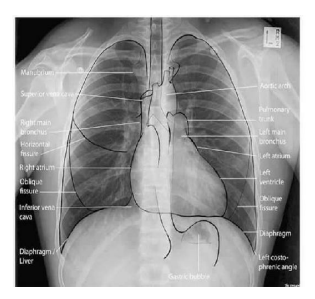
Use a systematic approach

  • Airway Structures
    Trachea, Carina, Bronchi
  • Breathing Structures
    Lungs, Pleura
  • Cardiac
    Heart size, borders
  • Diaphragm
    Costophrenic angles
  • Everything else
    Aorta, bones, tissue
How well did you know this?
1
Not at all
2
3
4
5
Perfectly
2
Q

How does Asthma look on CXR?

A

Flattened diaphragm on chest X-Ray (CXR)

How well did you know this?
1
Not at all
2
3
4
5
Perfectly
3
Q

How does a Pleural Effusion look on the CXR ?

A

Will gravitate to most dependent area

How well did you know this?
1
Not at all
2
3
4
5
Perfectly
4
Q

How does Pneumonia look on CXR?

A

Chest X-ray (CXR) shows pleural effusions, lobar consolidation

How well did you know this?
1
Not at all
2
3
4
5
Perfectly
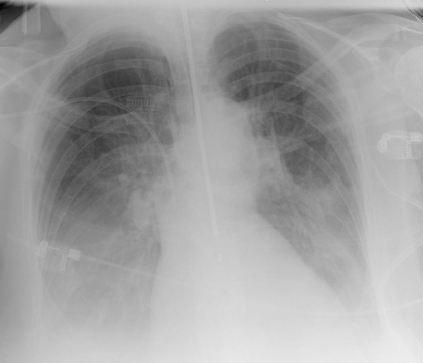
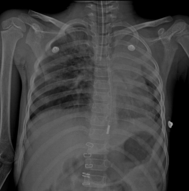
5
Q

Correct ETT Placement on CXR

A

Normal tip: 3-5 cm above carina

Case courtesy of Jeremy Jones, <a>Radiopaedia.org</a>. From the case <a>rID: 13260</a>

How well did you know this?
1
Not at all
2
3
4
5
Perfectly
6
Q

Is the ETT Placed correctly?

A

Yes

How well did you know this?
1
Not at all
2
3
4
5
Perfectly
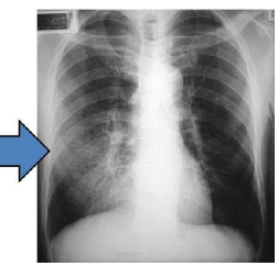
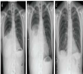
7
Q

In this CXR -Is the ETT Placed correctly?

A

No ETT it is a RMB intubation

Case courtesy of Aditya Shetty, <a>Radiopaedia.org</a>. From the case <a>rID: 26991</a>

How well did you know this?
1
Not at all
2
3
4
5
Perfectly