Pathophysiology Flashcards

(10 cards)

1
Q

How do you identify Asthma?

A
  • Respiratory Acidosis due to hypercarbic respiratory failure
  • Decreased or absent wheezing is ominous and precedes respiratory failure
  • Flattened diaphragm on chest X-Ray (CXR)
  • Chest cavity is over expanded due to air trapping
  • Shark-fin wave form on CO2
  • Exhalation problems fatigue the quickest
How well did you know this?
1
Not at all
2
3
4
5
Perfectly
2
Q

What is the treatment for Asthma?

A

Aggressive medical intervention-> Bronchodilators,High flow O2,Epinephrine,Magnesium,Steroids,IV Fluids Ketamine if sedation needed

Ventilation support–0 PEEP initially icvrease to <5 PmmHg ,BVM/ BiPAP Increase the I:E ratio to 1:4

How well did you know this?
1
Not at all
2
3
4
5
Perfectly
3
Q

What COPD Stands for?
What pathophysiolgys make up COPD?

A
  1. Chronic obstructive pulmonary disease
    • Chronic Bronchitis “blue bloaters”
    • Emphysema “pink puffers”
How well did you know this?
1
Not at all
2
3
4
5
Perfectly
4
Q

What is the treatment for COPD?

A

Aggressive medical intervention-> Bronchodilators,High flow O2,Epinephrine,Magnesium,Steroids,IV Fluids Ketamine if sedation needed

Ventilation support–0 PEEP initially icvrease to <5 PmmHg ,BVM/ BiPAP Increase the I:E ratio to 1:4

RSI and Ventilation support may be need

How well did you know this?
1
Not at all
2
3
4
5
Perfectly
5
Q

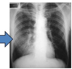
How do you identify Pleural Effusion? What is the Treatment?

A

Chest X-ray (CXR)
Fluid in the pleural space,Will gravitate to most dependent area
S/S-Shortness of breath,A sharp pain in the chest

Treatment ->Evacuation or drainage

How well did you know this?
1
Not at all
2
3
4
5
Perfectly
6
Q

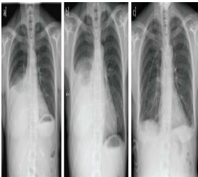
How do you identify Pneumonia? What is the Treatment?

A

CXR will showhows pleural effusions, lobar consolidation–> “Patchy infiltrates”

Treatment –>Treat with O2
, IV fluids, bronchodilators, and antibiotics (if bacterial)

Note:Pneumonia more often viral, but sometimes bacterial, rarely fungal

How well did you know this?
1
Not at all
2
3
4
5
Perfectly
7
Q

What does ARDS stand for? And what is it?

A

Acute Respiratory Distress Syndrome

A form of diffuse alveolar injury. It is characterized
by increased permeability of the alveolar-capillary barrier, leading to an influx of fluid into the alveolar space.
This results in hypoxemia and pulmonary hypertension, which further contributes to the V/Q mismatch

How well did you know this?
1
Not at all
2
3
4
5
Perfectly
8
Q

Treatment for ARDS?

A

Focus on oxygenation with: ↑PEEP (>10 cm H2O) & ↑ FiO2
** ARDSnet Guidelines**:Low tidal volumes (4cc/kg)/Increase Rate (F)-Ensure adequate minute volume

Fight the V/Q Mispatch

How well did you know this?
1
Not at all
2
3
4
5
Perfectly
9
Q

Diabetic Ketoacidosis (DKA)

A

Common in Type I diabetic teens/children

** Lab value:** Glucose 350 mg/dl- 800 mg/dL,ABG/VBG- Metabolic acidosis

Treament will lower serum potassium

Average fluid deficit is 3-6L, Rarely over 800mg/dl

How well did you know this?
1
Not at all
2
3
4
5
Perfectly
10
Q

DKA Treatment

A

NS/LR Admistion
Insulin-Common protocol: bolus 0.1 unit/kg of insulin
Continuous infusion of 0.1 unit/kg/hr
UNTIL Glucose 200mg/Dl then Switch to 5% dextrose with 0.02-0.05 units/kg/hr

Warning-

How well did you know this?
1
Not at all
2
3
4
5
Perfectly