Coin or Cannonbal lesions on CXR?
Pulmonary mets
Most likely diagnosis?

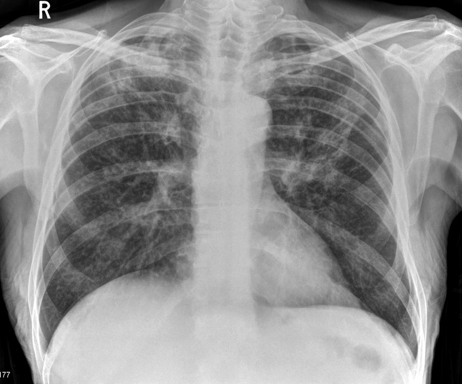
chest radiograph shows bilateral ill defined upper lobe infiltrates/consolidation.
Most likely diagnosis: Tuberculosis
What kind of investigation is this?
What does the image show?

Barium swallow.
Extensive ulcerating oesophageal carcinoma
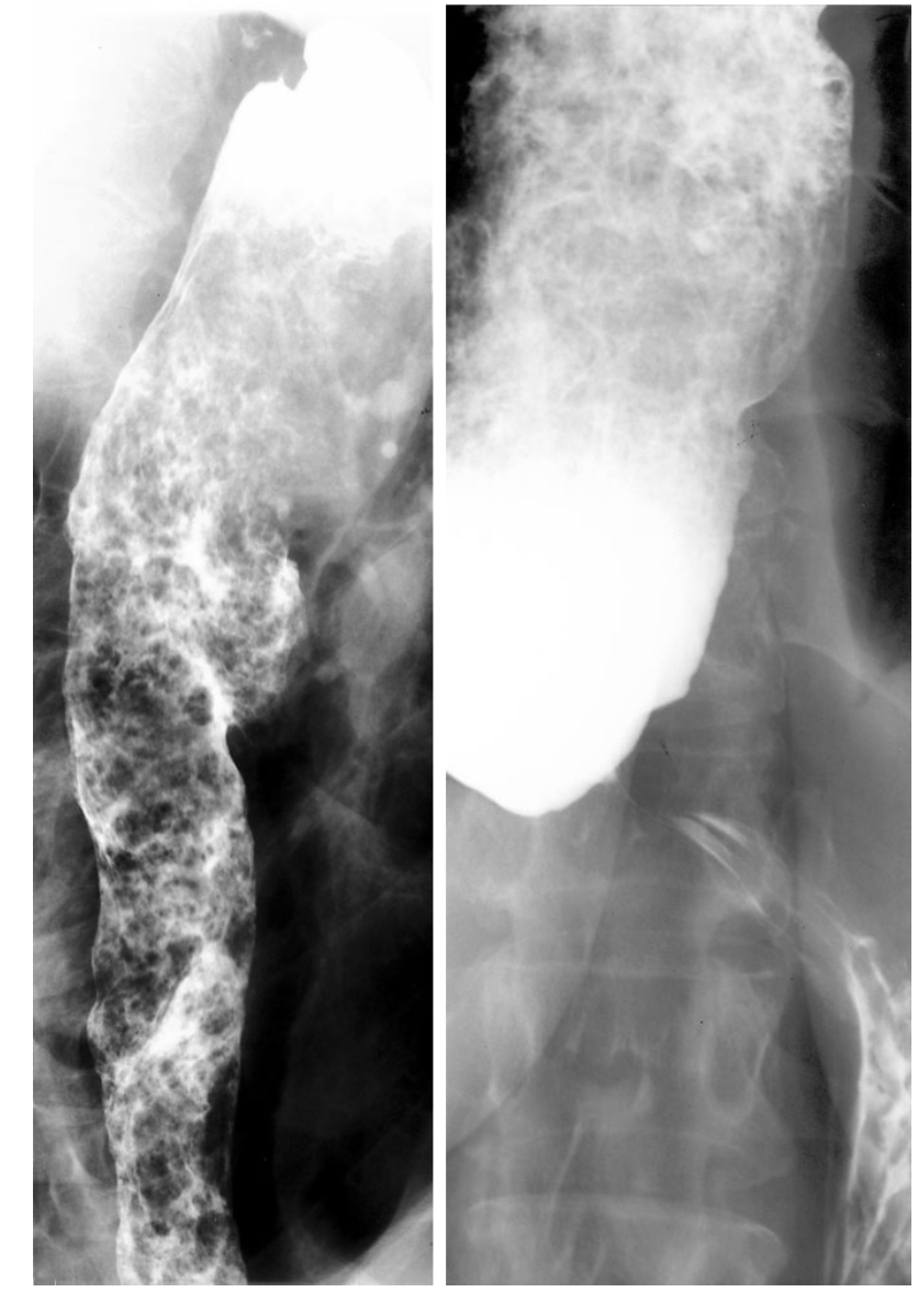
Take a look at this scan, what does it show and what is the most likley diagnosis?

Barium swallow.
There is tight, smooth narrowing noted of the lower oesophagus, which is dilated proximally and full of food residue.
This is in keeping with achalasia of the oesophagus.