Infection Flashcards

(22 cards)

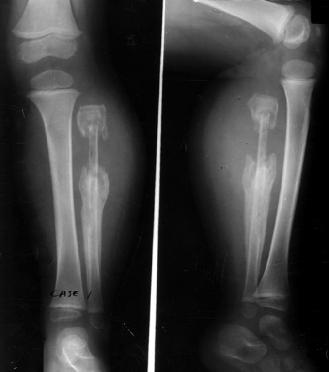
1
Q

What periosteal reaction is present?
What is the differential diagnosis?

A

Laminated periosteal reaction (aggressive)

  1. Osteomyelitis
  2. Ewing sarcoma
  3. Osteosarcoma
  4. Lymphoma

diaphyseal lesion in immature skeleton

How well did you know this?
1
Not at all
2
3
4
5
Perfectly
2
Q

What pattern of destruction is present?
What are the top three differential diagnoses?

A

Permeative lytic (aggressive)

  1. Osteomyelitis
  2. Ewing sarcoma (diaphysis)
  3. Osteosarcoma (metaphysis)

immature skeleton

How well did you know this?
1
Not at all
2
3
4
5
Perfectly
3
Q

What are the present soft tissue findings?

A
  • Soft tissue emphysema
  • Sequestrum
  • Swelling

osteomyelitis

How well did you know this?
1
Not at all
2
3
4
5
Perfectly
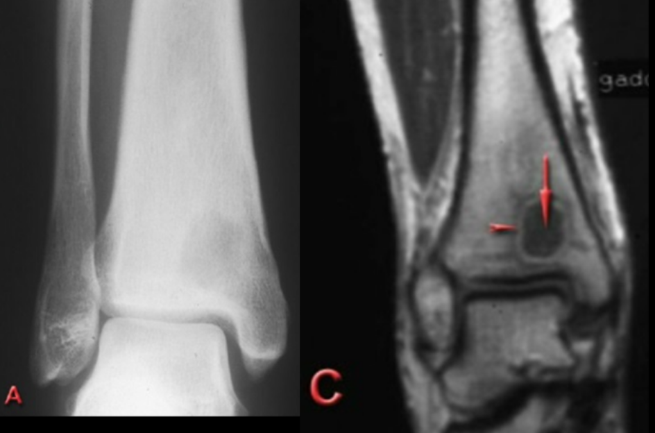
4
Q

7-year-old male with leg pain, swelling, and a fever has normal x-rays.
This is a T1 fat suppression MRI with contrast.
What is the diagnosis?

A

Osteomyelitis

medullary cavity infection with cloaca

How well did you know this?
1
Not at all
2
3
4
5
Perfectly
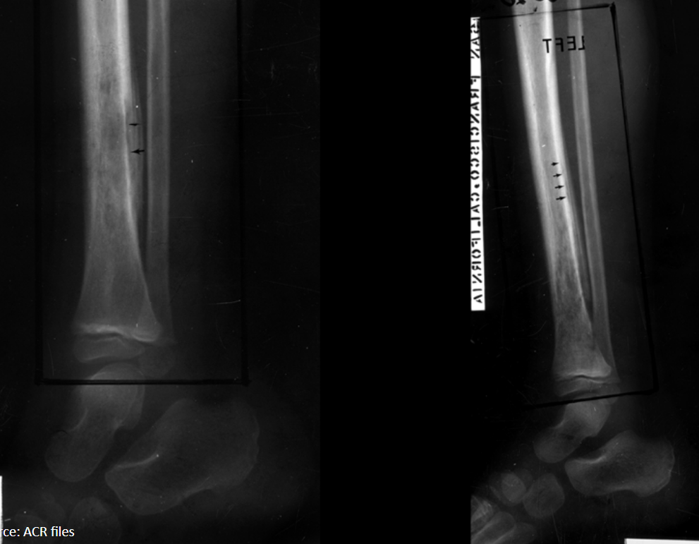
5
Q

3-year-old male presents with leg pain and swelling.
Which leg is the problematic one?

A

Left leg

R marker in corner

“dirty fat” takes on water density

How well did you know this?
1
Not at all
2
3
4
5
Perfectly
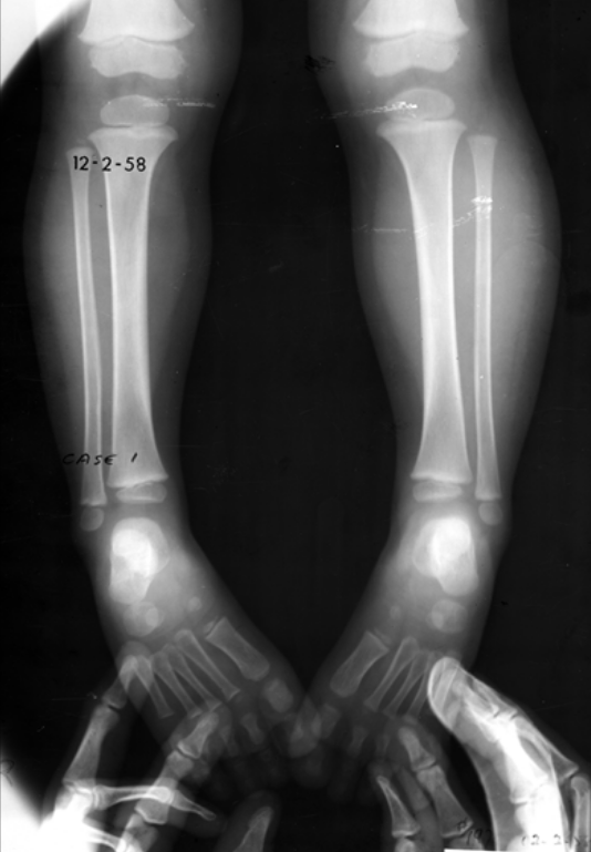
6
Q

3-year-old male presents with leg pain and swelling. He is radiographed several days into his symptoms.
What radiographic infectious terms are present?

A
  • Sequestrum
  • Involucrum
  • Cloaca

osteomyelitis

permeative lytic destruction (aggressive)

How well did you know this?
1
Not at all
2
3
4
5
Perfectly
7
Q

Patient presents with insidious onset pain.
What is a three item differential?
What follow-up imaging is necessary?

A
  • Brodie abscess (especially if recent infection or fever)
  • Osteoblastoma (>2cm)
  • Aneurysmal bone cyst

MRI with contrast

geographic lytic lesion in metaphysis with acute pain

How well did you know this?
1
Not at all
2
3
4
5
Perfectly
8
Q

Patient presents with insidious onset pain.
What is the most likely diagnosis?

A

Brodie abscess

pus pocket with well defined margins of sclerotic border

How well did you know this?
1
Not at all
2
3
4
5
Perfectly
9
Q

11-year-old male presents with chronic leg pain.
What radiographic finding suggests chronic osteomyelitis?
What is the differential diagnosis with this finding?

A

Solid wavy periosteal bone formation
Paget sarcoma

How well did you know this?
1
Not at all
2
3
4
5
Perfectly
10
Q

12-year-old male presents with chronic leg pain.
What is the diagnosis?

A

Chronic osteomyelitis

DDx: Paget sarcoma

note solid wavy periosteal bone and cloaca

How well did you know this?
1
Not at all
2
3
4
5
Perfectly
11
Q

What radiographic sign is present?
What does this mean by definition?

A

Waldenstrom’s sign: uneven hip joint space (one is increased) due to joint capsule swelling laterally displacing the femur

AVN of femoral capital epiphysis: LCP

How well did you know this?
1
Not at all
2
3
4
5
Perfectly
12
Q

12-year-old female presents with hip pain that refers to the knee.
Based on the evidence of avascular necrosis in her femoral capital epiphysis, what is the diagnosis?

A

Legg-Calve-Perthes (LCP)

Waldenstrom sign present

How well did you know this?
1
Not at all
2
3
4
5
Perfectly
13
Q

10-year-old female presents with a painful limp.
What is the diagnosis?

A

LCP

Legg-Calve-Perthes

sclerosis and flattening with epiphyseal fragmentation of femur (AVN)

How well did you know this?
1
Not at all
2
3
4
5
Perfectly
14
Q

What findings are seen in the right femur?
What is the diagnosis?

A

Mushroom deformity, degenerative changes, superolateral displacement of femoral head
LCP

How well did you know this?
1
Not at all
2
3
4
5
Perfectly
15
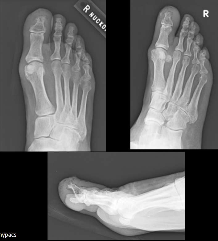
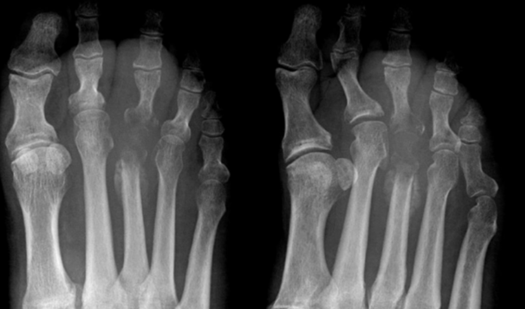
Q

Patient is radiographed 10 days after onset of forefoot pain.
Which structure is affected by avascular necrosis?

A

Third metatarsal head

Freiberg disease

How well did you know this?
1
Not at all
2
3
4
5
Perfectly
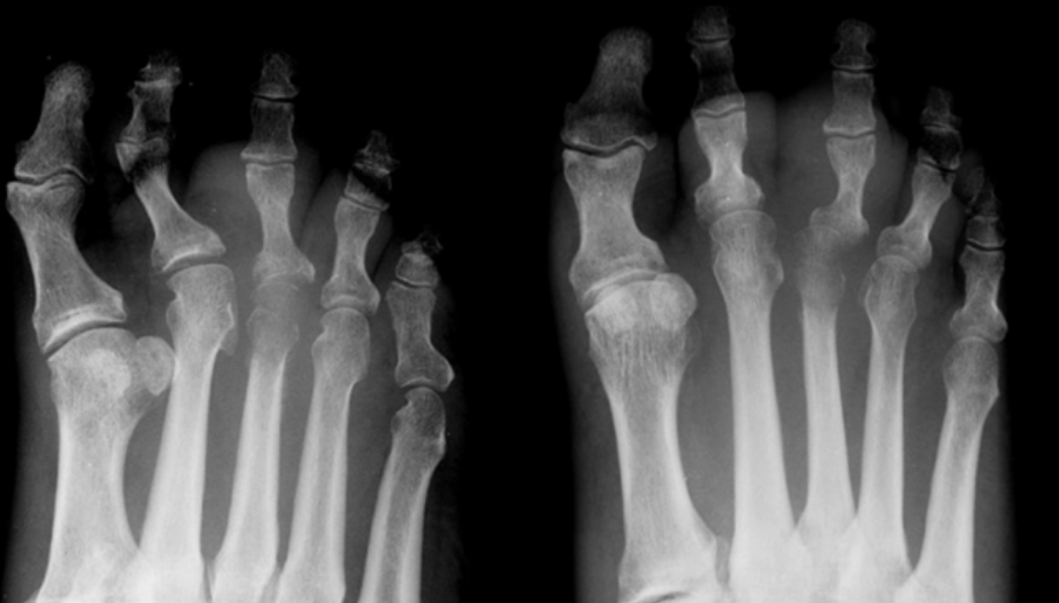
16
Q

Patient is radiographed 19 days after onset of forefoot pain.
What is the diagnosis?
What are two underlying conditions which may result in this specific diagnosis?

A

Freiberg disease
Diabetes, alcoholism

osteochondrosis (AVN) of metatarsal head (3rd)

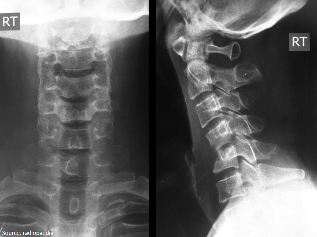
17
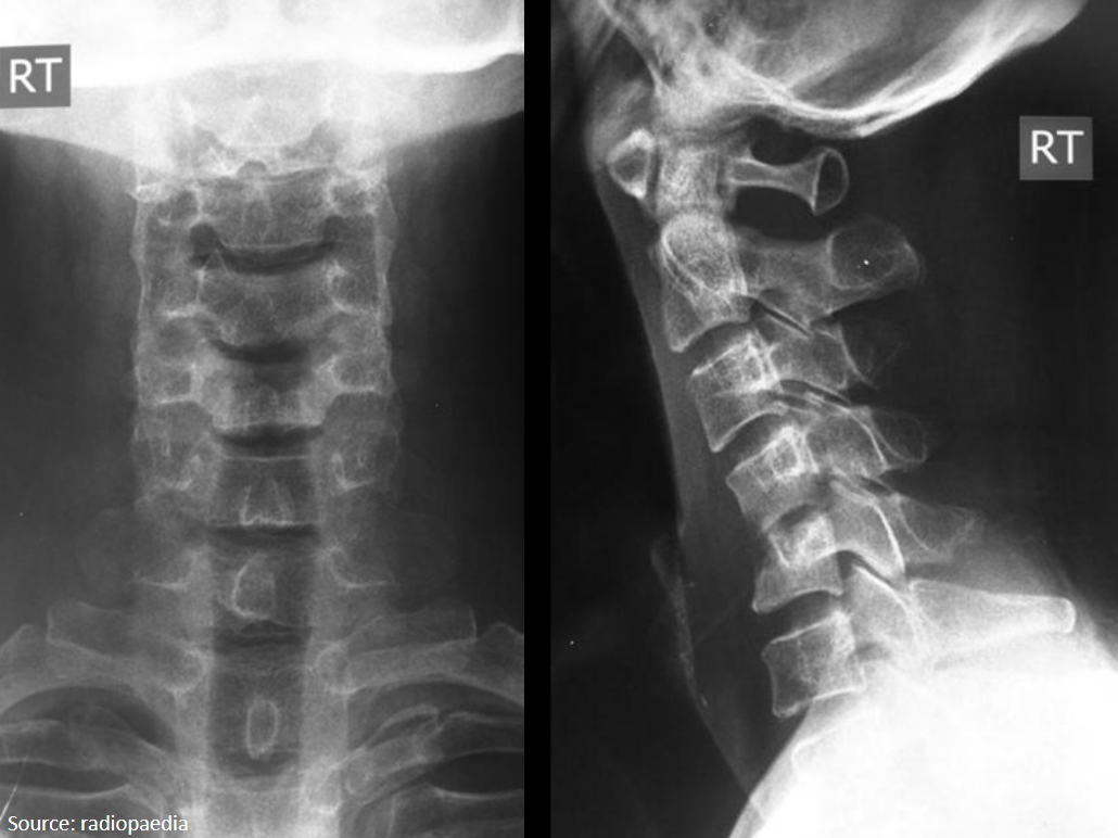
Q

What is the diagnosis?
What are the two most common etiologies?

A

Spondylodiscitis:

  1. Staph aureus
  2. Pseudomonas

disc and anterior vertebral endplate destruction

suppurative infection

18
Q

This is spondylodiscitis.
Why is an infection in this area particularly dangerous?

A

Increased spinal pressure leading to inflammation:

  • meningitis
  • encephalitis
  • neural infection
19
Q

What findings are on this radiograph?
What is the diagnosis?

A
  • Anterior vertebral body destruction
  • Endplate loss
  • Disc destruction

Spondylodiscitis

acute suppurative infection

20
Q

What is shown by the MRI with contrast?
What is the diagnosis?

A

Phlegmon
Spondylodiscitis

pus has more protein

21
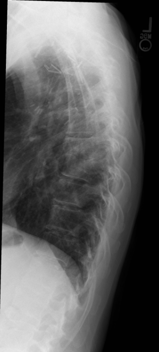
Q

What is seen on these radiographs that suggests spondylodiscitis?

A

Paraspinal abscess on AP
Endplate erosive changes on lateral

cold abscess in psoas

22
Q

What is the radiographic sign?
What is the diagnosis?

A

Snowflake sign
Tuberculosis