Spinal Trauma Flashcards

Labs 4 and 5: principles of fracture, and cervical, thoracic, and lumbar trauma (62 cards)

1
Q

What is the orientation of the fracture and the causative mechanism?

A

Oblique fracture due to compression

30-60 degrees

How well did you know this?
1
Not at all
2
3
4
5
Perfectly
2
Q

What is the orientation of the fracture and the causative mechanism?

A

Spiral fracture due to rotation with axial compression

How well did you know this?
1
Not at all
2
3
4
5
Perfectly
3
Q

What is the orientation of the fracture and the causative mechanism?

A

Transverse fracture due to tension/shear force
May be pathological

How well did you know this?
1
Not at all
2
3
4
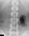
5
Perfectly
4
Q

What type of fracture is demonstrated?

A

Comminuted

How well did you know this?
1
Not at all
2
3
4
5
Perfectly
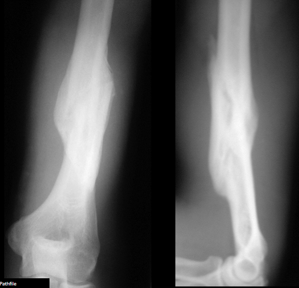
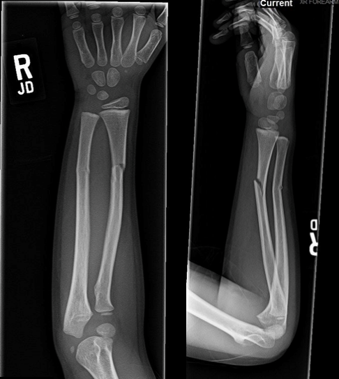
5
Q

What is the diagnosis for the fracture of the radius and the causative mechanism?

A

Greenstick fracture
Angular/shear force (bending)

How well did you know this?
1
Not at all
2
3
4
5
Perfectly
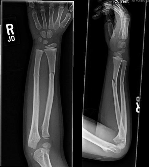
6
Q

What is the diagnosis for the fracture of the ulna and the causative mechanism?

A

Torus fracture
Compressive/axial force

How well did you know this?
1
Not at all
2
3
4
5
Perfectly
7
Q

What is the diagnosis?
What radiographic sign is present?

A

Intracapsular fracture with effusion/lipohemarthrosis
FBI sign present

How well did you know this?
1
Not at all
2
3
4
5
Perfectly
8
Q

What is the diagnosis?
What radiographic sign is present?

A

Intracapsular fracture with effusion/lipohemarthrosis
Sail sign present

How well did you know this?
1
Not at all
2
3
4
5
Perfectly
9
Q

What is the diagnosis?

A

Gymnast fracture

distal radius

type 1 Salter-Harris fracture

How well did you know this?
1
Not at all
2
3
4
5
Perfectly
10
Q

What is the diagnosis?
What is the name for the fragment seen?

A

Type 2 Salter-Harris fracture
Thurston Holland fragment

through physis and metaphysis

How well did you know this?
1
Not at all
2
3
4
5
Perfectly
11
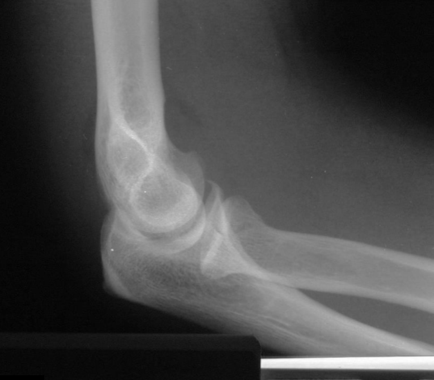
Q

What is the diagnosis?
What is the most emergent soft tissue structure likely damaged in this patient?

A

Posterior elbow dislocation
Ulnar and median nerves

reduction associated with fracture of coronoid process

How well did you know this?
1
Not at all
2
3
4
5
Perfectly
12
Q

What is the diagnosis?
What are some lesions associated with this injury?

A

Anterior shoulder dislocation

Associated with:

  • Hill-Sach fracture (60%)
  • Flap fracture (15%)
  • Bankart lesion
  • Labral tear

axillary nerve injury possible

How well did you know this?
1
Not at all
2
3
4
5
Perfectly
13
Q

What stage of fracture healing is the top picture in?
What stage is the bottom picture in?

A

Top: inflammatory
Bottom: reparative

How well did you know this?
1
Not at all
2
3
4
5
Perfectly
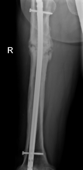
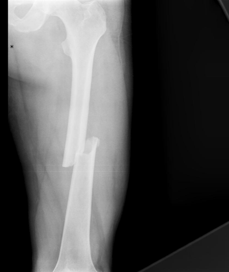
14
Q

What stage of fracture healing is this patient in?
What complication has occurred?

A

Remodeling phase
Malunion

How well did you know this?
1
Not at all
2
3
4
5
Perfectly
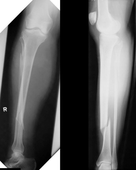
15
Q

What complication has occurred?

A

Malunion

How well did you know this?
1
Not at all
2
3
4
5
Perfectly
16
Q

What complication has occurred?

A

Delayed union and non union

How well did you know this?
1
Not at all
2
3
4
5
Perfectly
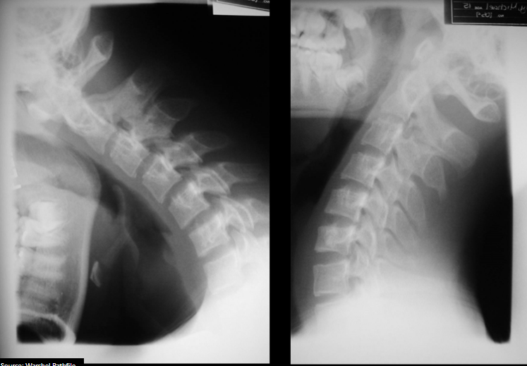
17
Q

What are two radiographic findings in this view?
What is the diagnosis?

A
  • Offset of lateral atlantoaxial alignment
  • Wide paraodontoid space

Jefferson fracture

C1 burst fracture

How well did you know this?
1
Not at all
2
3
4
5
Perfectly
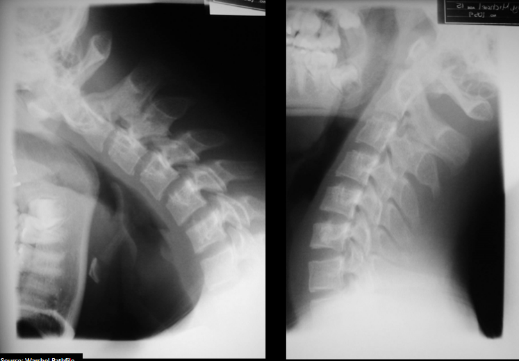
18
Q

What is the mechanism of a Jefferson fracture?
What evidence is there against a posterior arch fracture diagnosis?

ignore arrow
A

Axial compression
Halo brace (post halo reduction)

unstable fracture

How well did you know this?
1
Not at all
2
3
4
5
Perfectly
19
Q

What is the diagnosis?
How would this patient present?

A

Jefferson fracture
Positive Rust sign (holding own head) due to severe instability

can be neurologically intact

How well did you know this?
1
Not at all
2
3
4
5
Perfectly
20
Q

What radiographic sign is present?

A

Bow tie sign

unilateral facet dislocation

How well did you know this?
1
Not at all
2
3
4
5
Perfectly
21
Q

Which cervical line has the most pertinent abnormality?

A

Anterior body line displays slight anterolisthesis

unilateral facet dislocation

How well did you know this?
1
Not at all
2
3
4
5
Perfectly
22
Q

What is the diagnosis and mechanism of injury?
Is this stable or unstable?

A

Unilateral facet dislocation due to flexion with rotation (towards side of dislocation)
Stable until reduced

treat as unstable

How well did you know this?
1
Not at all
2
3
4
5
Perfectly
23
Q

This x-ray was difficult to obtain due to severe acute torticollis.
What is the diagnosis?

A

Atlantoaxial rotary fixation

note asymmetry of paraodontoid spaces

How well did you know this?
1
Not at all
2
3
4
5
Perfectly
24
Q

What is the diagnosis?
How will this patient present?

A

Atlantoaxial rotary fixation
Acute torticollis

etiology can be post-traumatic or post-infectious

How well did you know this?
1
Not at all
2
3
4
5
Perfectly
25
What is the most important finding out of these views?
Posterior translation of C1 | indicates a dens issue
26
Assuming this is due to trauma, what is the diagnosis? What is the most common mechanism? Is this condition stable?
Type 2 odontoid fracture Hyperextension Unstable | fracture through the base of the dens ## Footnote DDx: os odontoideum
27
What is the most important finding in this view? What is the diagnosis?
Interruption of cortex seen in C2 Type 3 odontoid fracture | fracture through lateral facets
28
What is the diagnosis and mechanism of injury? Is this stable or unstable?
Type 3 odontoid fracture due to hyperflexion or hyperextension Unstable | fracture through lateral facets ## Footnote emergency transport
29
What is the diagnosis and mechanism of injury? Is this stable or unstable?
Hangman fracture due to hyperextension (without distraction) Unstable (emergency transport) ## Footnote patients often neurologically intact at presentation
30
This is after a MVA. What is the diagnosis?
Cervical compression fracture C5 ## Footnote loss of anterior body height
31
This is after a MVA. What is the diagnosis?
Tuft fracture | not testable name
32
These are two different patients. What injury do they have in common? Is this stable or unstable?
Teardrop fracture Unstable and needs emergency transport | anterior inferior cervical body fracture ## Footnote ligamentous rupture and neurologic injury concerns
33
What radiographic findings are present? What is the diagnosis?
* Bowtie sign * Focal rotation on AP * <49% anterolisthesis Unilateral facet dislocation C6/C7 ## Footnote articular process fractures are common
34
What is the mechanism of injury? Is this stable or unstable?
Flexion with rotation Unstable due to rupture of interspinous and facet capsular ligaments | unilateral facet dislocation C6/C7
35
What finding is seen in this CT? What is the diagnosis?
Hamburger bun sign (on axial) Unilateral facet dislocation ## Footnote articular process fracture likely
36
What finding is present on the AP view? What is the diagnosis?
Double spinous sign Clay shoveler fracture (C6/C7) | stable ## Footnote DDx: nuchal bone
37
What is the diagnosis and mechanism(s) of injury? Is this stable or unstable?
Clay shoveler fracture (T1/T2) due to flexion avulsion or direct impact Stable | heals non-union
38
What is the diagnosis? Is this stable or unstable?
Unilateral facet dislocation C6/C7 Treat as unstable and emergency transport ## Footnote note bowtie sign, focal rotation on AP, and <49% anterolisthesis
39
What is the diagnosis? What is the mechanism of injury?
Bilateral facet dislocation C5/C6 Hyperflexion ## Footnote note >50% anteriolisthesis
40
Is this injury stable or unstable? What other structures are involved in this injury?
Unstable * Interspinous ligament * Ligamentum flavum * Facet capsules * PLL * 50% have disc herniation | bilateral facet dislocation ## Footnote neurologic deficit in 75% of patients
41
What is the diagnosis? What is the mechanism of injury?
Acute compression fracture (wedge shape) L2 Hyperflexion and/or axial load
42
Which hallmark signs of acute compression fracture are seen here?
* Step defect * Zone of impaction | wedge shaped compression ## Footnote paraspinal edema is another possible sign
43
Is this injury stable or unstable? What is the appropriate follow-up?
Stable injury (1 column of Denis affected) Orthopedic referral | acute compression fracture L2
44
What is the mechanism of injury? Is this stable or unstable? What is the appropriate follow-up?
Flexion and axial compression Stable injury Orthopredic referral | acute compression fracture ## Footnote note wedge shape
45
Is this compression fracture new or old? What evidence is there to support this?
Old Evidenced by disc degeneration | wedge-shaped ## Footnote takes 2 years after fracture to show degeneration
46
How does this fracture differ from a wedge-shaped compression fracture?
Central endplate fracture | still flexion and axial compression mechanism ## Footnote L5 transitional segment also present
47
What is the diagnosis? Is this injury new or old?
T11 compression fracture (wedge-shaped) New/acute injury (paraspinal edema present)
48
What is the diagnosis? What finding on the AP view confirms this?
L2 burst fracture Widening of interpedicle distance | indicates posterior element fracture
49
Is this injury stable or unstable? What is the appropriate follow-up?
Unstable Emergency transport | 2-3 columns of Denis involved
50
What is the diagnosis and mechanism of injury? What is a major concern for this patient?
Burst fracture due to axial compression with flexion Concern for neurological injury (cauda equina) due to retropulsion of posterior elements
51
What is the diagnosis? What is the mechanism?
Burst fracture Axial compression with flexion ## Footnote neurological concern
52
What injury is present at L2? What injury is present at L3?
L2: Chance fracture (horizontal splitting) L3: compression fracture (wedge-shaped) | Chance fracture is more clinically significant
53
What is the mechanism of injury for L2? Is this stable or unstable?
Flexion and distraction over a fulcrum Unstable injury (neurocompromise and soft tissue concerns) ## Footnote Chance fracture is compression of anterior body with horizontal splitting of posterior vertebral body, spinous, and/or pedicles
54
What is the most clinically significant injury present? What organ injury is of most concern?
Chance fracture Injury to spleen ## Footnote note splitting of posterior elements
55
What is the diagnosis? What complication has most likely occurred?
Burst fracture L1 Cauda equina syndrome ## Footnote note vertical splitting of body, comminution of body, retropulsion of middle column body fragments
56
What is the diagnosis? What organ injury is associated with this diagnosis?
Transverse process fracture Kidneys (upper) / ureter (lower) | abdomen CT follow-up
57
What is the diagnosis? What is the appropriate follow-up?
Transverse process fracture Abdomen CT (with IV contrast) | concern for kidneys and ureter
58
What is the diagnosis? What is the mechanism of injury?
Transverse process fracture **Flank trauma** or extension with lateral flexion ## Footnote huge force; concern for ureter or kidney damage
59
What is the diagnosis? What soft tissue finding helps make the diagnosis?
Horizontal sacral fracture Presacral space increased due to hematoma
60
This is a 72-year-old female with 3 weeks of severe sacral pain. What finding is seen on the lateral sacral view to make you suspect a diagnosis?
Kink in anterior sacrum S1/S2 suggests fracture ## Footnote bone density is severely decreased
61
Is this injury stable or unstable?
Isolated horizontal sacral fracture is stable
62
This is a 72-year-old female with 3 weeks of severe sacral pain. What finding is present on these T2 weighted MRIs of the sacrum? What is your suspected diagnosis?
Bone marrow edema Insufficiency fracture (pathological) | fracture line also seen ## Footnote bone density is severely decreased (osteopenic)