Inflammation Flashcards

(27 cards)

1
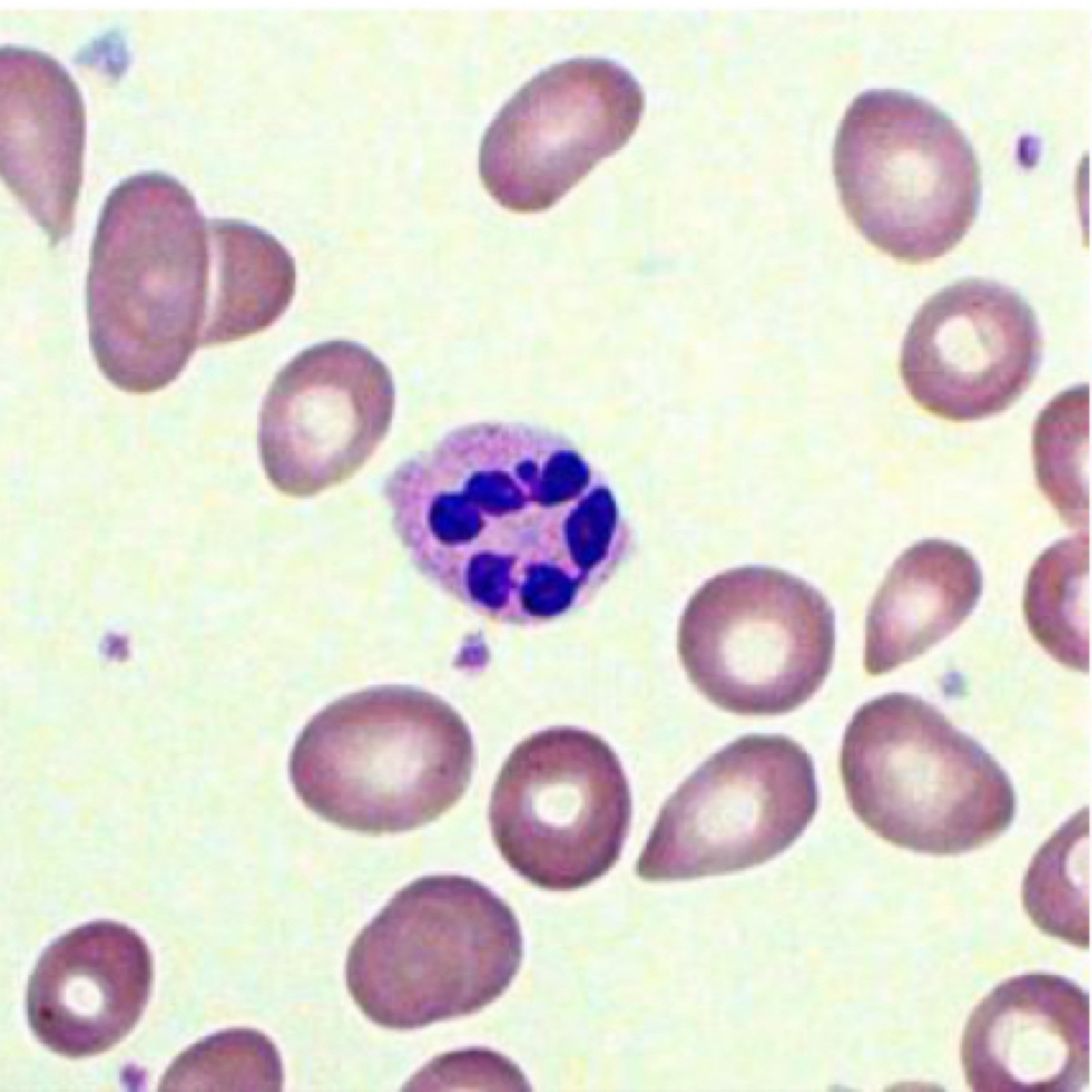
Q

What cell type is this

A

Neutrophil

How well did you know this?
1
Not at all
2
3
4
5
Perfectly
2
Q
A
How well did you know this?
1
Not at all
2
3
4
5
Perfectly
3
Q
A
How well did you know this?
1
Not at all
2
3
4
5
Perfectly
4
Q

Exudate

A

Fluid released by an organism through pores or wound

How well did you know this?
1
Not at all
2
3
4
5
Perfectly
5
Q

Transudate

A

Fluid accumulation but low/no protein and no cells. Often due to alterations in pressure rather than inflammation.

How well did you know this?
1
Not at all
2
3
4
5
Perfectly
6
Q

Effusion

A

Fluid moving out of blood vessel into the extracellular space

Non-specific term

How well did you know this?
1
Not at all
2
3
4
5
Perfectly
7
Q

What are the five categories of effusion?

A

-Serous
-Catarrhal
-Fibrinous
-Suppurative or Purulent
-Haemorrhagic

How well did you know this?
1
Not at all
2
3
4
5
Perfectly
8
Q

What are the features of serous exudate?

A

Hallmark of early inflammation*
Accumulation of fluid with a low [plasma protein] and no to low numbers of leukocytes

Histology: hyperaemia (vessels filled with blood), increased clear space between tissues and dilated lymphatics

How well did you know this?
1
Not at all
2
3
4
5
Perfectly
9
Q

Gross morphology of serous effusion?

A

Clear fluid exudation, swelling, vesicles, redness.

How well did you know this?
1
Not at all
2
3
4
5
Perfectly
10
Q

Examples of serous exudate?

A

Thermal injury (burn)

Allergies (type I hypersensitivity)

How well did you know this?
1
Not at all
2
3
4
5
Perfectly
11
Q

Catarrhal exudate features

A

Accumulation of a thick gelatinous fluid material containing abundant mucus and mucin from a mucous membrane

-occurs when there is stimulation of mucous production (GIT and respiratory tract)

How well did you know this?
1
Not at all
2
3
4
5
Perfectly
12
Q

Catarrhal exudate gross morphology:

A

Clear to slightly opaque
Thick fluid

-can sometimes have neutrophils depending on severity

How well did you know this?
1
Not at all
2
3
4
5
Perfectly
13
Q

Catarrhal exudate- examples

A

Chronic allergies, autoimmune diseases, infections in regions with lots of mucin producing cells (colon)

How well did you know this?
1
Not at all
2
3
4
5
Perfectly
14
Q

Fibrinous inflammation and exudate

A
  • accumulation of fluid with a high concentration of plasma protein and no to low numbers of leukocytes
How well did you know this?
1
Not at all
2
3
4
5
Perfectly
15
Q

Fibrinous exudate gross morphology

A

Affected tissues are red (active hyperaemia) and covered with a thick, stringy, elastic, white-gray to yellow exudate that can be removed from the surface of the tissue.

How well did you know this?
1
Not at all
2
3
4
5
Perfectly
16
Q

What is an example where you would see Fibrinous exudate?

A

Suggestive of more severe endothelial cell injury that allows leakage of large molecular weight proteins such as fibrinogen into the ECF- often caused by microbial infections

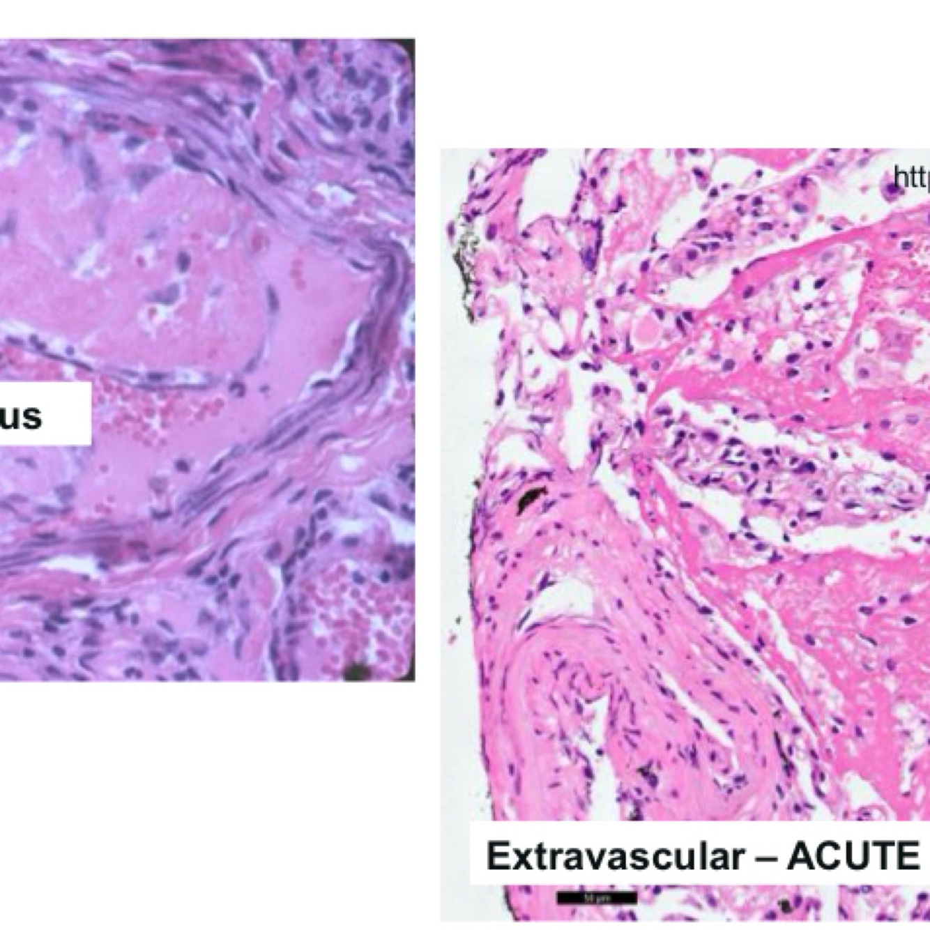
17
Q

Intravascular vs. Extravascular Fibrinous inflammation

18
Q

Suppurative/purulent exudate features

A

Accumulation of fluid with a high concentration of plasma protein and high numbers of leukocytes, predominately neutrophils

19
Q

Gross morphology of purulent exudate

A

Surfaces and/or connective tissues of the affected organs are hyperemic and covered by or contain, respectively and thick white-grey to yellow exudate (pus)

Ex. Commonly caused by bacterial infection, Suppurative mastitis

20
Q

When is Suppurative exudate classified as an acute inflammatory process?

A

If the yellow, creamy fluid is predominately composed of neutrophils and therefore this is classified as an acute inflammatory process

21
Q

Give a morphological diagnosis

A

Mammary gland; severe, diffuse, acute to subacute suppurative mastitis.

22
Q

What is the function of exudation of neutrophils?

A
  • exudation of neutrophils is designed to dilute or wall off an insult
  • neutrophils contain a range of substances such as reactive oxygen septics and proteolytic enzymes like myeloperozidase
    -these are antimicrobial agents designed to kill bacteria but when released into the tissues they are cytotoxic and can cause significant injury to the resident cell population contributing to tissue damage and necrosis
23
Q

Haemorrhagic exudates features

A

-accumulation of fluid containing a lot of erythrocytes

24
Q

Hemorrhagic exudates gross morphology

A

Tissues have large areas of red discolouration and fluid is opaque and red/brown

25
What type of scenario would you see a hemorrhagic exudate?
Inflammation damaging blood vessels or a traumatic lesion
26
What is the difference between Vesicles vs. Bullae
Vesicles: -small -fluid filled blister -formed under the epidermis -usually less than 0.5cm IF larger than 0.5cm it is considered a bullae
27