Practice Questions Flashcards

(68 cards)

1
Q

Which of the following is a feature of cell death by apoptosis?

a.
Karyolysis (nuclear dissolution)

b.
Florid inflammatory response

c.
Blebbing of the plasma membrane

d.
Cell membrane rupture

A

Blebbing of the plasma membrane

How well did you know this?
1
Not at all
2
3
4
5
Perfectly
2
Q

Reperfusion of tissue after a period of ischaemia can cause further injury to the tissue via which mechanism?

a.
Free radical production

b.
Type II Hypersensitivity

c.
Increased vascular permeability

d.
Passive hyperaemia

A

Free radical production

How well did you know this?
1
Not at all
2
3
4
5
Perfectly
3
Q

Which of the following features is present in irreversible cellular injury but absent in reversible cell injury?

a.
Detachment of ribosomes from endoplasmic reticulum

b.
Increased anaerobic glycolysis

c.
Loss of membrane integrity

d.
Swelling of mitochondria

A

Loss of membrane integrity

How well did you know this?
1
Not at all
2
3
4
5
Perfectly
4
Q

Necrosis due to ischaemia that has resulted microscopically in retained tissue architecture with cells that have karyolytic or absent nuclei is indicative of which of the following?

a.
Caseous necrosis

b.
Gangrenous necrosis

c.
Coagulative necrosis

d.
Liquefactive necrosi

A

Coagulative necrosis

How well did you know this?
1
Not at all
2
3
4
5
Perfectly
5
Q

A 3 week-old foal died unexpectantly. On post-mortem examination the brain exhibited the following changes. What is the process occurring in the images?

A

Liquefactive necrosis

How well did you know this?
1
Not at all
2
3
4
5
Perfectly
6
Q

Lymphoma and anal sac gland adenocarcinomas can cause metastatic calcification by which of the following mechanisms?

a.Production of excess calcium by neoplastic cells

b.
Production of parathyroid hormone by neoplastic cells

c.
Neoplastic cells produce parathyroid hormone related peptide

d.
Neoplastic cells produce vitamin D analogues

A

Neoplastic cells produce parathyroid hormone related peptide

How well did you know this?
1
Not at all
2
3
4
5
Perfectly
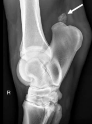
7
Q

A 12 year horse with mild lameness had a 5mm diameter, oval, firm mass between the gastrocnemius and deep digital flexor tendon. Histology showed a focus of mineralisation amongst fibrous scar tissue, and some mild lymphocytic and plasmacytic inflammation. No other abnormalities were found in the horse.

Image: Radiograph showing region of mineralisation (arrow).

What is the most likely pathological process causing this lesion?

A

Dystrophic calcification

How well did you know this?
1
Not at all
2
3
4
5
Perfectly
8
Q

Selenium deficiency can lead to cell death through which mechanism?

A

Lack of availability as a co-factor for Glutathione peroxidase antioxidant

How well did you know this?
1
Not at all
2
3
4
5
Perfectly
9
Q

Which gross feature is most consistent with a post mortem clot in a blood vessel rather than a true pre-mortem thrombus?

A

Non-adherent to the endothelium

How well did you know this?
1
Not at all
2
3
4
5
Perfectly
10
Q

Image: Post mortem specimen from a dog.

What is the correct term for the post mortem change indicated by the arrow?

A

Pseudomelanosis

How well did you know this?
1
Not at all
2
3
4
5
Perfectly
11
Q

What would be the correct terminology for post-mortem (artifactual) bright yellow discolouration of tissues macroscopically?

a.Haemorrhage

b.Bile imbibition

c.Icterus

d.Haemoglobin imbibition

A

b.Bile imbibition

How well did you know this?
1
Not at all
2
3
4
5
Perfectly
12
Q

A dog died after having been administered with excessive amounts of a vitamin D analogue. Postmortem examination revealed mineralisation of lungs, kidney and stomach.

What is the most likely reason for calcium deposition in the lung, kidney and stomach in this case?

a.Metastatic mineralisation

b.Metastatic osteomas

c.Dystrophic ossification

d.Dystrophic mineralisation

A

a.Metastatic mineralisation

How well did you know this?
1
Not at all
2
3
4
5
Perfectly
13
Q

Image of a kidney from a cat. The changes within the image represent which pathologic process?

A

Necrosis

How well did you know this?
1
Not at all
2
3
4
5
Perfectly
14
Q

Free radicals can induce cell damage by which of the following?

a.Lipid bilayer formation

b.Vitamin E scavenging

c.p53 induced repair

d.Protein misfolding

A

Protein misfolding

How well did you know this?
1
Not at all
2
3
4
5
Perfectly
15
Q

Describe the stepwise pathogenesis of a cell undergoing apoptosis via the intrinsic pathway. You may use either text or upload a diagram if you choose.

A

The intrinsic pathway of apoptosis is triggered by intracellular stress signals such as DNA damage, abnormal proteins or oncogene products, endoplasmic reticulum stress, withdrawal of a growth factor or mitochondrial dysfunction.

This leads to release of pro-apoptotic mediators from the mitochondria resulting in the subsequent activation of downstream caspases.

Activation of caspases leads to breakdown of key cellular organelles in a highly organised manner and leads to the death of the cell. The cell forms apoptotic bodies, which are then phagocytosed by macrophages. These macrophages and the apoptotic cells do not induce a florid inflammatory response.

How well did you know this?
1
Not at all
2
3
4
5
Perfectly
16
Q

Part 1 - DESCRIBE the change(s) shown.

Part 2 -Provide a MORPHOLOGIC DIAGNOSIS.

Part 3 - Name the type of inflammatory response you would expect to see associated with this lesion in this species.

A
  1. The normal architecture of the central portion of the lymph node is disrupted and replaced by aggregates of pale tan, firm material that is forming lamellations
  2. Moderate, regionally extensive/focal, chronic, caseous lymphadenitis
  3. Granulomatous
How well did you know this?
1
Not at all
2
3
4
5
Perfectly
17
Q

Compare and contrast six differences between apoptosis and necrosis

A

Apoptosis:
-Often affects only single cells
-Cell shrinks
-Chromatin condenses & nucleus fragments (pyknosis and karyorrhexis)
-Cell membrane remains intact
-Cytoplasm packed in apoptotic bodies
-No inflammation
-Rapid phagocytosis of apoptotic bodies
-Active process (energy dependent)
-Can be physiological or pathological

Necrosis:
-Often affects group/field of cells
-cell swells
-Nuclear lysis (karyolysis , karyorrhexis and sometimes pyknosis)
-cell membrane damaged
-cytoplasm released
-often induces a florid inflammatory response
-often slow to clear
-passive/accidental process (not energy depnendent)
-always pathological

How well did you know this?
1
Not at all
2
3
4
5
Perfectly
18
Q

In the diagram below, which scenario would result in the development of a neoplasm?

A

B

-need an initiation event to occur, which is a permanent change in the DNA

-then a promoter, which can induce tumours in initiated cells

How well did you know this?
1
Not at all
2
3
4
5
Perfectly
19
Q

Which of the following might contribute to the development of neoplasia?

a.Loss of function mutation of a tyrosine kinase receptor

b.Deactivation of telomerase

c.Under-expression of Rb

d.Upregulation of p53

A

Under-expression of Rb

pRb acts as a tumour suppressor by inhibiting G1/S transition of the cell cycle

-if this is under-expressed, abnormal proliferation can occur.

How well did you know this?
1
Not at all
2
3
4
5
Perfectly
20
Q

Lack of expression of MHC I molecules by neoplastic cells increases their susceptibility to being targeted by which of the following cells?
a.Multinucleated giant cells

b.CD8+ T cells

c.CD4+ T cells

d.Natural killer cells

A

NK cells

Neoplastic (tumour) cells often downregulate MHC class I molecules to evade detection by CD8+ cytotoxic T cells, which require MHC I to recognize infected or abnormal cells.

Lack of MHC is a trigger for NK cells
-in cells that do not express MHC, natural killer cells are activated to kill the cell via the granzyme perforin pathway

How well did you know this?
1
Not at all
2
3
4
5
Perfectly
21
Q

Which one of the following is the correct term for a malignant primary tumour of bone origin?

a.Osteocytoma

b.Osteoma

c.Osteosarcoma

d.Osteocarcinoma

A

Osteosarcoma

How well did you know this?
1
Not at all
2
3
4
5
Perfectly
22
Q

PARR is a diagnostic tool that uses PCR to determine whether an infiltrate of lymphocytes in a tissue is a clonal population or a mixed group of cells.

What information would this tool provide the user about these lymphocytes?

A

Whether or not they are neoplastic

How well did you know this?
1
Not at all
2
3
4
5
Perfectly
23
Q

What is the most likely diagnosis?
a.Pre-neoplastic hyperplasia

b.Pulmonary adenoma

c.Pulmonary metastases

d.Pre-neoplastic dysplasia

A

Pulmonary metastases

How well did you know this?
1
Not at all
2
3
4
5
Perfectly
24
Q

Histology each of these white nodules shows iinfiltrations of poorly differentiated epithelial cells with marked nuclear atypia and a high mitotic rate.

Which diagnosis is most appropriate?

a.Primary splenic carcinoma

b.Splenic nodular hyperplasia

c.Metastatic carcinoma

d.Haemangiosarcoma

A

Metastatic carcinoma

metastatic carcinoma is a type of cancer that orginates in epithelial cells, that has spread from the primary site to other parts of the body.

How well did you know this?
1
Not at all
2
3
4
5
Perfectly
25
A domestic shorthaired cat is diagnosed with a luminal intestinal adenoma. Which of the following is a likely effect of this tumour? a.Intestinal obstruction b.Pulmonary metastasis c.Spread to local lymph nodes d.Calcification of multifocal blood vessels
Intestinal obstruction
26
A biopsy of the mass shown in the image below contains well differentiated bone with minimal cellularity. The cells present are well differentiated. There is no significant atypia or mitotic activity. What is the most likely diagnosis?
Osteoma
27
A loss of function mutation in the gene for which of the following is likely to contribute to the development of neoplasia? a.Tyrosine kinase receptor b.p53 c.Anti-apoptotic enzymes d.Growth factor
p53
28
Image: Metastatic thyroid carcinoma in a canine kidney. What is the most likely route of metastasis?
Haematogenous (carried through the blood)
29
Papilloma virus can contribute to the development of neoplasia via which of the following mechanisms? a.Production of tumour suppressor genes by the virus b.Production of oncogenes by the virus c.Production of free radicals by the virus d.Production of pro-apoptotic enzymes by the virus
Production of oncogenes by the virus
30
Which of the following is a likely sequelae to a parathyroid gland adenoma? a.Metastatic calcification b.Dystrophic calcification c.Local invasion of the adenoma d.Pulmonary metastasis of the adenoma
metastatic calcification -parathyroid gland adenoma, will overproduce PTH, leading to hypercalcemia (high blood calcium) -metastatic calcification will occur when there is high serum calcium and cause calcium deposits in normal tissues
31
32
Leukaemia
Neoplastic lymphocytes present within the blood
33
Liposarcoma
Neoplastic population of adipocytes with marked anisocytosis and anisokaryosis and large numbers of mitoses
34
Adenoma
Non-invasive neoplastic population of glandular epithelium with with no anisocytosis or anisokaryosis
35
Lipoma
Neoplastic population of adipocytes with no anisocytosis, anisokaryosis or mitoses
36
Adenocarcinoma
Invasive neoplastic population of glandular epithelium with marked anisocytosis and anisokaryosis
37
Lymphoma
Neoplastic lymphocytes present within the intestinal wall only
38
Briefly summarise the differences between tumour suppressor genes and oncogenes. (8 marks).
Tumour suppressor genes are genes that normally either inhibit cell growth or promote apoptosis. Loss of function of these genes leads to neoplasia. Both alleles need to be affected for development of neoplasia. Oncogenes are genes that are normally involved in growth factor pathways and tend to promote cellular growth. Gain of function mutations lead to neoplasia. Only 1 allele needs to be affected for the development of neoplasia.
39
List 2 specific examples of oncogene alterations that could contribute to the development of neoplasia.
Mutant growth factor receptor (or tyrosine kinase receptor) that is constitutively activated Mutant cyclins or cyclin dependant kinases that are constitutively active Mutant telomerase that that is constitutively active Mutant anti-apoptotic enzymes that are constitutively active
40
a. Describe the changes in the image. You send the sample to the lab as a biopsy for histopathology. The report describes multifocal aggregates of a monomorphic population of highly atypical glandular epithelial cells that are extending from the mucosa, through the submucosa and into the surrounding mesentery. These cells have marked anisocytosis, anisokaryosis and large numbers of abnormal mitoses. b. Use all the information above to name the pathologic process that is occurring in this image. Be as specific as possible.
A. all layers of the intestinal wall, and the attached mesentery contain innumerable, multifocal to coalesing, approx 1-10mm, pale tan, nodules. The serous surrounding these nodules is regionally discoloured bright red. B. Adenocarcinoma Intestinal adenocarcinoma -can be metastatic b/c it is multifocal
41
Which tissue type has the least regenerative capacity after injury? a.Kidney b.Liver c.Smooth Muscle d.Cardiac Muscle
Cardiac muscle
42
43
Which chemical mediator stimulates fibroblasts to produce collagen during wound healing? a.Interferon gamma b.Platelet derived growth factor c.Transforming growth factor beta d. Interleukin 1
Transforming growth factor beta
44
Which phase of wound healing involves the formation of granulation tissue and angiogenesis?
Proliferation phase
45
Which cell type is primarily responsible for the synthesis of collagen during wound healing? a.Endothelial cells b.Fibroblasts c.Parenchymal cells d.Macrophages
b.Fibroblasts
46
How does healing differ in bone compared to skin?
Cartilage forms during the proliferation phase
47
What is the most appropriate morphological diagnosis?
Liver & diaphragm: Mild, multifocal, chronic fibrous adhesions.
48
What is the time course of these lesions?
Chronic
49
The image shows the rectum from a pig with the mucosal surface visible. What is the underlying cause of this complication of wound healing?
Excessive wound contraction
50
List three cells which are crucial for wound healing and outline their role in the healing and repair process.
Inflammatory cells produce cytokines, growth factors and inflammatory mediators and phagocytose debris Parenchymal cells i.e. epithelial cells proliferate for return to normal structure and function of the affected tissue Endothelial cells for neovascularization/angiogenesis Fibroblasts for deposition of a new ECM (i.e. collagen) Myofibroblasts for wound contraction
51
Using a skin wound as an example, describe three ways in which primary and secondary intention healing differ
Primary, minimal tissue loss and closely opposed edges v secondary, large areas of tissue loss Primary, minimal inflammation and granulation tissue formation, secondary significant inflammation and granulation tissue formation Primary rapid, secondary slow Primary, minimal scarring or contraction; secondary lots of scarring/fibrosis and wound contraction
52
List six factors that might cause delayed wound healing
Continued tissue damage by the original agent or a secondary agent – e.g. infections and foreign bodies Poor nutrition – e.g. protein, Vitamin A, Vitamin C, Zn Poor blood supply in the area Metabolic disturbances e.g. diabetes, hyperadrenocorticism --> immunosuppression Mechanical factors Repeat trauma
53
The image shows a transverse section through the cerebral hemispheres from a horse. A strong foul smell emanated when it was sectioned at post-mortem examination. Describe and interpret the gross changes.
Within the right cerebral hemisphere, there is a focal, well demarcated (1), circular, lesion with a 0.5-0.8mm firm, white outter capsule, (glial scar/fibrosis,1) surrounding central accumulations of white to grey, soft, friable caseous material. (exudate/necrotic debris. (abscess/granuloma,1). The left cerebral hemisphere is compressed and thinned (pressure atrophyfor good structure NOTE: There are fibroblasts in the meninges, so fibrosis, abscessation, granuloma formation etc can form in the meninges and extend into the brain! But if the primary lesion is deep in the brain, fibrosis will not occur but glial scarring can.
54
The smaller image on the left shows severe suppurative mastitis in a sheep. The image on the right shows a similar lesion which has healed. A. Describe and interpret the changes in the larger image on the right. (7 marks) B. Outline what occurred in the tissues as this lesion healed.
A. Affecting approximately 50% of the visible tissue, is a focally extensive, depression, in the centre of the mammary gland,(necrosis/tissue loss,1) which is filled with firm, white tissues (fibrosis, 1). B. Inflammation neutralises the insult --> M2 macrophage activated to stimulate healing and repair--> migration of fibroblasts and angiogenesis within wound bed, granulation tissue formation--> some glandular cell proliferation may occur but loss of supporting stroma means limited potential for regeneration (2) --> fibroblasts mature and synthesize collagen --> fibrosis --> myofibroblasts contract pulling wound edges together --> fibrosis remodels over time to add strength to the wound
55
Type IV hypersensitivity reactions are mediated by: a. Tissue deposition of antigen-antibody complexes b. Antibody binding to cell-associated antigen c. Cytotoxic T cells d. IgE mediated mast cell degranulation
Cytotoxic T cells
56
A congenital immunodeficiency disorder is most likely to result in the development of an infection in what time period?
After loss of maternally derived antibody
57
Identify the antibody class contained in highest concentrations in the blood:
IgG
58
Immunoglobulins are produced by which type of immune cell?
Plasma cells
59
Which of the following must occur for immune-mediated disease to develop? a.Genetic predisposition b.A prior infection c.Loss of self-tolerance d.Exposure to a foreign drug or chemical
c.Loss of self-tolerance
60
Degranulation of mast cells is an effector mechanism of which type of hypersensitivity reaction?
Type I
61
Which type of antibody is particularly important for mucosal immunity? a.IgA b.IgE c.IgG d.IgM
IgA
62
Identify the primary location in which dendritic cells present antigen to T cells: a.Thymus b.At the site of infection c.Draining / regional lymph nodes d.In the blood stream
Draining / regional lymph nodes
63
Plasma transfusion is used to provide which blood component for the treatment of failure of passive transfer? a.Lymphocytes b.Immunoglobulins c.Dendritic cells d.Cytokines and chemokines
Immunoglobulins
64
Which immunodeficiency disorder is characterised by increased numbers of neutrophils in the blood but a lack of inflammation in infected tissues? a.B cell immunodeficiency b.Complement deficiency c.Leukocyte adhesion deficiency d.T cell immunodeficiency
Leukocyte adhesion deficiency
65
An acquired immunodeficiency disorder is most likely to result in the development of an infection in what time period?
In the first few days after birth After weaning As an adult After loss of maternally derived antibody
66
Observe the lesions on this horse. Which cell type is most significant in the pathogenesis of this process?
Mast cell
67
List and briefly describe 3 causes of acquired / secondary immunodeficiency.
1. Failure of passive transfer This occurs when a neonate fails to suckle colostrum and thus does not obtain the protective immunity from the immunoglobulins it contains. Affected neonates succumb to infections in the first few days or week of life. 2. Immunosuppressive drugs These drugs are often used to treat autoimmune conditions (eg. IMHA), but are not-specific at targeting autoimmunity and thus also suppress protective immunity, increasing patients risk of secondary infections. 3. Cancer chemotherapy drugs These drugs inhibit rapidly dividing cells (eg. cancer, but also bone marrow stem cells), leading to bone marrow suppression, decreased production of immune cells, and increased risk of infection. 4. Viral infection of immune cells Some viruses that directly infect immune cells (eg. Canine distemper virus, FIV, FeLV) impair the normal function of those cells by taking over cellular machinery (for viral replication) and can result in secondary immune suppression. 5. Hypercortisolemia and stress This is particularly a problem in intensively raised livestock and associated with transport of livestock. Cortisol is a stress hormone, but it suppresses immune cell function, and increases the risk that these animals develop infection. Large numbers of animals in close confines also increases the risk of transmission of pathogens from one animal to the next.
68
List THREE (3) immune mediated diseases that reflect different types of hypersensitivity reactions, and two common triggers or predisposing factors for each. (9 marks)
1. Immune mediated haemolytic anaemia Type II hypersensitivity disease 2 common triggers (i) infection of red blood cells with haemotropic parasites (eg. Babesia) (ii) genetic predisposition (eg. Cocker spaniel breed) 2. Glomerulonephritis (often called “immune complex glomerulonephritis’) Type III hypersensitivity disease 2 common triggers (i) African swine fever (ii) Hog cholera (iii) Also many others (eg. Borrelia burgdorferi, Leishmania spp., Bovine virus diarrhoea virus) 3. Mucocutaneous diseases (eg. erythema multiformae, toxic epidermal necrolysis) Type IV hypersensitivity disease 2 common triggers (i) Antibiotics (ii) Other types of drugs (anticonvulsants etc.) (iii) Infections (iv) Vaccines