Inflammation Flashcards

(20 cards)

1
Q

describe acute inflammation (exudative inflammation) vs. chronic inflammation

A
  • acute
    • acute inflammation refers to an inflammatory rxn in which the dominant changes are vascular and exudative (fluids and cells), therefore also = exudative inflammation
      • PMNs (neutrophils) dominant
  • chronic
    • injurious agent persists in the tissues and continues to damage them often for weeks or months
      • great amount of proliferation of cells and connective tissues
How well did you know this?
1
Not at all
2
3
4
5
Perfectly
2
Q

describe the sequence of events in inflammation

A
  1. margination
  2. pavementing & rolling
  3. adhesion & emigration
  4. chemotaxis & activation
How well did you know this?
1
Not at all
2
3
4
5
Perfectly
3
Q

describe margination (step 1)

A
  • when blood is viscous there is peripheral orientation of WBCs because of sludging of RBCs (rouleaux formation)
    • WBCs are pushed to periphery of vessels because they are smaller particles now
How well did you know this?
1
Not at all
2
3
4
5
Perfectly
4
Q

describe pavementing and rolling (2)

A
  • the group of CAM involved in the rolling phase are L-selectins present on the surface of the phagocyte
  • in the endothelial cells, 2 main subclasses of adhesion molecules are described:
    • P-selectin
    • E-selectin
    • these increase with cytokines and interact with the phagocytes’ adhesion molecules
How well did you know this?
1
Not at all
2
3
4
5
Perfectly
5
Q

describe adhesion and emigration (3)

A
  • endothelial adhesion molecules: ICAM-1 and VCAM
    • both are up-regulated during inflammation by various cytokines
  • phagocyte adhesion molecules: LFA-1 (CD11a/CD18)
    • these integrins only adhere to their ligands when the leukocytes are activated by inflammatory chemotactic factors
  • after binding occurs, the leukocyte moves between endothelial cell gaps called diapedesis
How well did you know this?
1
Not at all
2
3
4
5
Perfectly
6
Q

describe chemotaxis and activation (4)

A
  • chemotactic factors for PMN:
    • C5a (most important for neutrophils)
    • LTB4
    • IL-8
    • bacterial products (most important for macrophages)
How well did you know this?
1
Not at all
2
3
4
5
Perfectly
7
Q

describe granulomatous inflammation

A

a type of chronic inflammation

  • formation of granuloma = grain-like nodule
  • granuloma is made of: macrophages with rim of lymphocytes and plasma cells
  • often macrophages form giant cells (multinucleated)
  • examples are: TBC, syphilis, fungal infxn, foreign body, etc.
How well did you know this?
1
Not at all
2
3
4
5
Perfectly
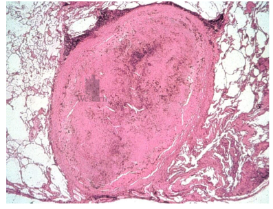
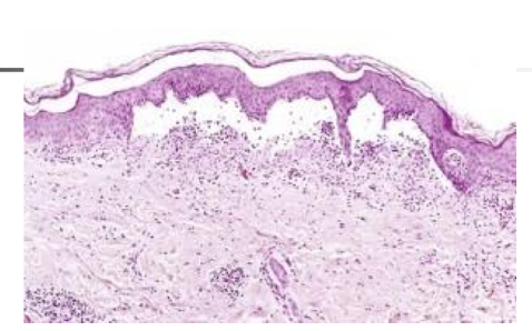
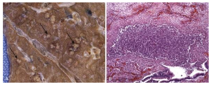
8
Q

describe what is seen in the image

A
How well did you know this?
1
Not at all
2
3
4
5
Perfectly
9
Q

describe what is seen in the image

A
How well did you know this?
1
Not at all
2
3
4
5
Perfectly
10
Q

describe what is seen in the image

A
How well did you know this?
1
Not at all
2
3
4
5
Perfectly
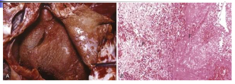
11
Q

describe what is seen in the image

A

left = bread and butter pericarditis

How well did you know this?
1
Not at all
2
3
4
5
Perfectly
12
Q

describe what is seen in the image

A
How well did you know this?
1
Not at all
2
3
4
5
Perfectly
13
Q

describe what is seen in the image

A
How well did you know this?
1
Not at all
2
3
4
5
Perfectly
14
Q

describe what is seen in the image

A
How well did you know this?
1
Not at all
2
3
4
5
Perfectly
15
Q

describe what is seen in the image

A
How well did you know this?
1
Not at all
2
3
4
5
Perfectly
16
Q

describe what is seen in the image

17
Q

describe what is seen in the image

18
Q

describe what is seen in the image

19
Q

describe what is seen in the image

20
Q

describe the 4 types of inflammation (based on exudate)

A
  • serous: mild injury, albumin in exudate, blister, ascites, etc.
  • fibrinous: more serious leakage (fibrin), serosal surface
  • suppurative: pus, liquefactive, necrosis by bacteria
  • sanguinous: rich in RBCs, serious vascular injury, tuberculous pleuritis, tumors