Who gets Respiratory Distress syndrome (RDS)?
preterm infants (<37 wks)
Which syndrome is due to deficiency of surfactant in immature lung?
RDS
What is important to give a newborn w/ RDS?
-Give surfactant
How is RDS diagnosed?
_*Clinically_
How do you prevent RDS?
-prevent preterm birth
-give antenatal (before birth) steroids
How is RDS managed
CPAP
or
intubation + surfactant therapy + mechanical ventilation
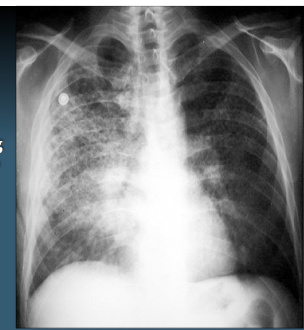
The following are hallmarks of which dz?
Hypoxemia & bilateral radiographic opacities
Acute Respiratory Distress syndrome (ARDS)
(note- this is NOT the same as respiratory distress syndrome in newborns)
Which dz looks like TB but is less severe
(sxs include cough, chest discomfort, +/- hemoptysis, dyspnea, fatigue, malaise, weakness)
MAC pulmonary dz
(a non-TB mycobacteria infection AKA- NTM)
What is the name of each of the 2 major clinical presentations of MAC pulmonary dz?
cavitary disease: pts w/ underlying lung dz
nodular bronchiectatic disease: dz in pt w/o underlying lung dz
primarily in white, middle-aged to elderly men (often alcoholics) w/ underlying COPD
MAC pulmonary dz in pt w/ underlying dz
Primarily nonsmoking women >50 who have underlying bronchiectasis
MAC pulmonary dz in pt w/o underlying lung dz
What are the 3 ways the lung is affected in interstitial lung disease?
_1. *lung parenchyma is damaged_
_2. *nflammation of the alveolar walls_
_3. *Scarring (fibrosis) begins_
Clinical presentation of which disease?
Progressive dyspnea on exertion and nonproductive cough
(wheezing and CP uncommon)
Interstitial Lung Disease
What is the most common CXR finding in interstitial lung dz
Reticular “netlike” opacities
**this will be on exam**

What is the prognosis of Interstitial lung dz (ILD) if honeycombing is seen on CXR?
poor prognosis

What do PFTs show in interstitial lung disease (ILD)
decreased TLC (<80%)
normal FEV1/FVC ratio (nml= 70-80%)
= restrictive
(also decreased DLCO and hypoxemia seen)
What is the gold standard for interstitial lung disease (ILD)?
Lung biopsy
(may be required for definitive diagnosis or to stage dz)
not always indicated
T/F: Interstitial Lung Disease (ILD) can lead to Cor pulmonale–> R heart failure?
True
What are the 4 known causes of interstitial lung diseases (ILDs)
“IDIO”
_______= any disease of the respiratory tract due to inhalation of dust particles
(ex: asbestosis or silicosis)
Pneumoconiosis
What condition?
Asbestosis
What disease?
-Cancer assoc. w/ short- term (1-2 yrs) asbestos exposre
-not caused by smoking
-prognosis= 6-12 mo after presentation
Mesothelioma
What is the definitive dx of asbestosis but is not usually indicated
open-lung biopsy
Which dz?
CXR- opacities in lower lungs, _pleural plaques*_
Asbestosis