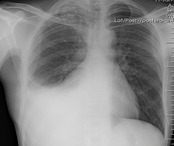
What is shown here?


Pleural Effusion
“dramatic” be suspicious of what?

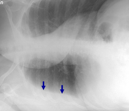
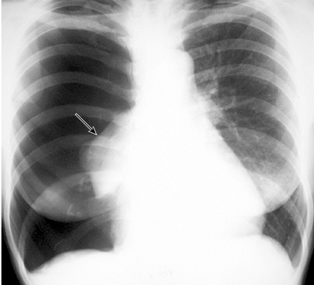
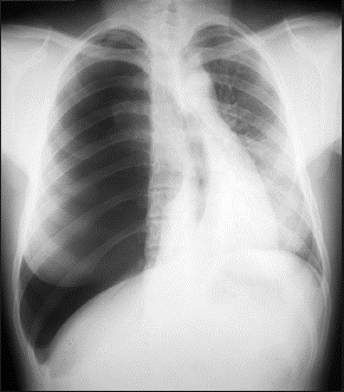
Right sided Pleural Effusion, w/ meniscus sign
Be suspicious of malignancy bc/ large volume
What is blue arrow pointing to?
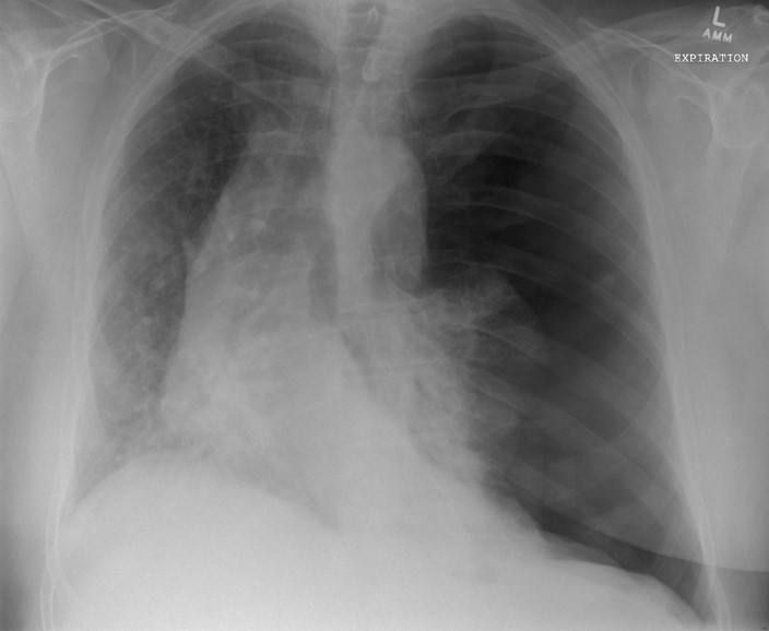
What is seen on the left?


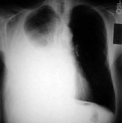
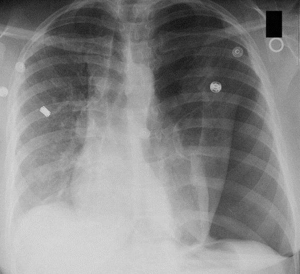
Spontaneous Pneumothorax
(well demarcated line, right side is super black bc no lung tissue there)

Spontaneous Pneumothorax
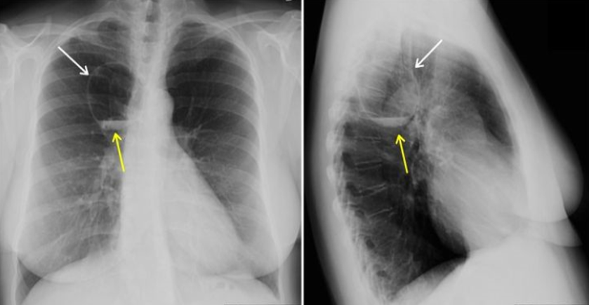
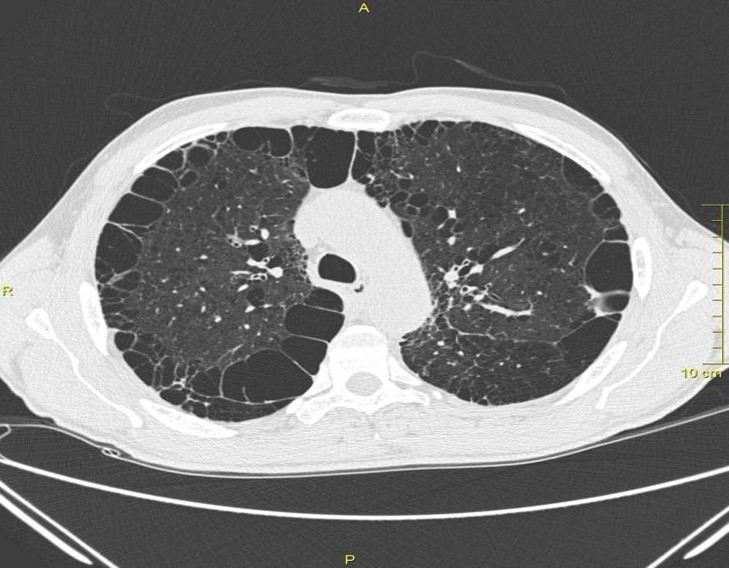
What is seen here?

Lung Bullae/Bleb

Spnt Pneumothorax

US of Spnt Pneumo showing absence of sliding lung
What is this x-ray showing?
What 3 findings suggest this?

Right Tension Pneumothorax w/

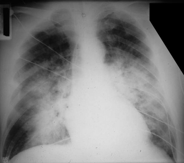
Acute Respiratory Distress Syndrome

ARDS

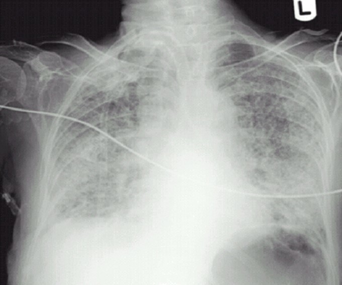
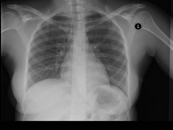
Right Pleural Effusion

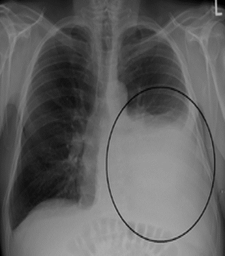
Left Tension Pneumothorax
Flattening of left diaphragm
Deviated to the right

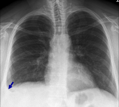
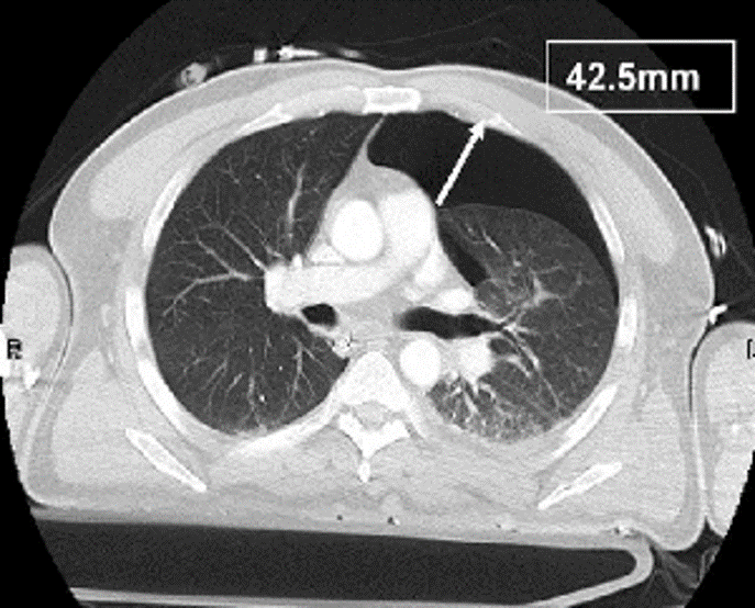
Blebs (pockets of air) in COPD pt

Left pneumothorax

Normal CXR