Intro Flashcards

(15 cards)

1
Q

Qu’est-ce que l’histologie? (3)

A
  1. Étude des tissus et de leurs composants (cellulaires ou non)
  2. Observation d’éléments de taille inférieure au pouvoir de résolution de l’œil humain…
  3. Utilisation de microscopes optiques !

Grossissement 10 à chaque case (cases en rose: microscope optique => HISTOLOGIE)

How well did you know this?
1
Not at all
2
3
4
5
Perfectly
2
Q

Qu’est-ce qu’un tissu?

A

= Ensemble de cellules qui possèdent fondamentalement la même structure (4 types)
—> Les cellules d’un tissu sont groupées pour réaliser un ensemble fonctionnel

How well did you know this?
1
Not at all
2
3
4
5
Perfectly
3
Q

Coupe histologique, pourquoi?

A

Pour transformer une partie d’organe en très minces tranches permettant le passage d’un faisceau lumineux (m. optique) ou d’un faisceau d’électrons (m. électronique) et la formation d’une image des composants cellulaires et extra-cellulaires de l’organe

How well did you know this?
1
Not at all
2
3
4
5
Perfectly
4
Q

Ordres des grandeurs des coupes paraffines et semi-fines (microscope optique) et des coupes fines (microscope électronique)

A

Microscope optique: (résolution: 0,2µm) => HISTOLOGIE

Coupe en paraffine ≈ 3-10 μm d’épaisseur

Coupe semi-fine ≈ 1 μm d’épaisseur

Microscope électronique: (résolution ~1nm)

Coupe fines ≈ 20-50 nm d’épaisseur

How well did you know this?
1
Not at all
2
3
4
5
Perfectly
5
Q

Quelle est l’épaisseur (environ) d’une cellule épithéliale?

A

~20 µm

HISTOLOGIE: Coupe à 5 µm d’épaisseur = on voit 1/4 de la cellule sur la coupe (4 coupe successives observées)

How well did you know this?
1
Not at all
2
3
4
5
Perfectly
6
Q

Comment effectuer un prélèvement en Histologie? (4 possibilités)

A
  • Résections (coupe histologique)
  • Biopsies (aiguille -> diagnostique)
  • Frottis (décroche les cellules en surface)
  • Ponctions (absorption du liquide)
How well did you know this?
1
Not at all
2
3
4
5
Perfectly
7
Q

Comment préserver le tissu lors de la réalisation d’une coupe histologique? (2)

A
  • Congélation rapide
  • Enrobage dans la paraffine (coupes histologiques)
How well did you know this?
1
Not at all
2
3
4
5
Perfectly
8
Q

Avantages (3) et inconvénients (3) de la fixation d’une coupe histologique:

A

Avantages:
- Préservation
- Diminution du métabolisme cellulaire
- Diminution de la putréfaction

Inconvénients:
- Dénaturation (variation de volume et structures)
- Efficacité/pénétration variable (fixateurs)
- Lipides non fixés

How well did you know this?
1
Not at all
2
3
4
5
Perfectly
9
Q

Avantage et inconvénients (3) de la déshydratation d’une coupe histologique:

A

Échantillon doit être enrobé dans de la paraffine (paraffine non compatible avec l’eau)

Avantages: déshydratation = obligation (cellules humaines remplies d’H20)
- Permet de faire en sorte que la paraffine prenne la place de l’eau
- H2O -> EtOH (éthanol) croissant -> solvant organique -> matériel d’enrobage (paraffine)

Inconvénients:
- Variation de volumes (diminuent)
- Dénaturation
- Extraction des lipides

How well did you know this?
1
Not at all
2
3
4
5
Perfectly
10
Q

6 étapes de réalisation d’une coupe histologique:

A
  1. Prélèvements
  2. Fixation (formol/paraformaldéhyde)
  3. Déshydratation
  4. Enrobage (plongeant de l’échantillon dans paraffine)
  5. Coupe (paraffine) => 2D
    —> Ruban de tranches de 5µm d’épaisseur obtenu
  6. Montage sur lame en verre & Coloration

=> Importance de l’orientation du spécimen lors de l’enrobage (décision en amont)

How well did you know this?
1
Not at all
2
3
4
5
Perfectly
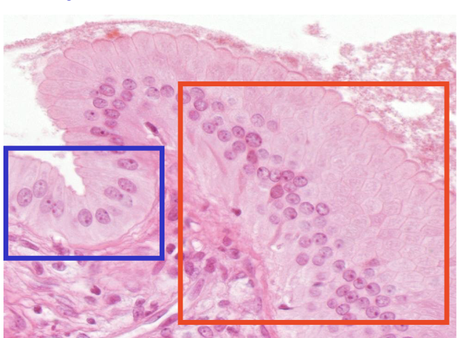
11
Q

Pourquoi a-t-on l’impression que cette épithélium est stratifié (alors qu’il ne l’est pas = simple) sur la partie en rouge de la coupe?

A

Le plan de coupe a été fait en biais (coupe dans l’axe en rouge)

How well did you know this?
1
Not at all
2
3
4
5
Perfectly
12
Q

Qu’est-il important de faire quand on observe une coupe histologique d’un épithélium?

A

Suivre l’épithélium sur toute la surface

=> Dès qu’on voit à 1 région où l’épithélium à l’air simple (1 seule couche de cellule/rangée de noyaux) alors tout l’épithélium est simple)

=> Quoiqu’il arrive, un épithélium stratifié ne peut jamais avoir l’air simple

=> ATTENTION aux différents plans de coupes!!!!!

How well did you know this?
1
Not at all
2
3
4
5
Perfectly
13
Q

Pourquoi la coloration est-elle nécessaire après le montage sur la lame d’une coupe histologique?

A

Un organe fixé, déshydraté et coupé en tranches est pratiquement transparent et dépourvu de contraste (hyper fin)

How well did you know this?
1
Not at all
2
3
4
5
Perfectly
14
Q

Coloration la plus utilisée en histologie

A

Coloration Hémalun-Éosine =

Hémalun (Hematoxyline):
= Colorant basique (interagit avec les structure acides = ARN)
—> acides nucléiques (noyaux)

Eosine:
= Colorant acide
—> protéines (cytoplasme, structures/matrice extracellulaires)

=> Il y a des structures qui n’interagissent pas avec certains colorants (ne veut pas dire qu’elles existent pas)

How well did you know this?
1
Not at all
2
3
4
5
Perfectly
15
Q

Que sont les artéfacts en histologie? (donnes en 4)
Donner les noms des 2 fixateurs classiques

A

Quelques choses qui apparaît sur la coupe mais qui ne devrait pas y être/ne reflète pas ce qu’il y a dans le tissu
—> Dus à la méthode de préparation

  1. Fixateur qui fixe les lipides mais mauvaise pénétrance => uniquement observation de la périphérie
  2. Fixateur classiques (formol/formaldéhyde) ne fixent pas les lipides => structures (gouttelettes lipidiques)/cellules graisseuses (adipocytes) apparaissent blanches (trous blancs)
  3. Déshydratation induit la rétraction de l’échantillon => création d’espaces blancs artéfactuels
  4. Coupure d’un échantillon dur => plis apparaissent (lignes pas interessants à observer)
How well did you know this?
1
Not at all
2
3
4
5
Perfectly