TP cardio Flashcards

(36 cards)

1
Q

Coupes pour observer les différents types de vx:

A
How well did you know this?
1
Not at all
2
3
4
5
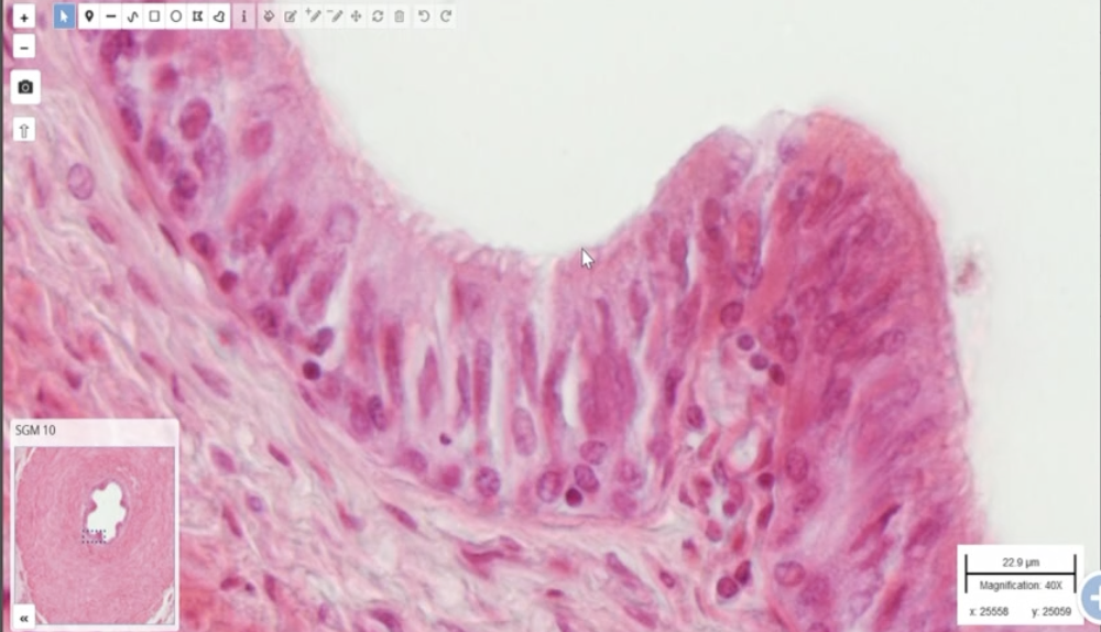
Perfectly
2
Q
A
How well did you know this?
1
Not at all
2
3
4
5
Perfectly
3
Q
A

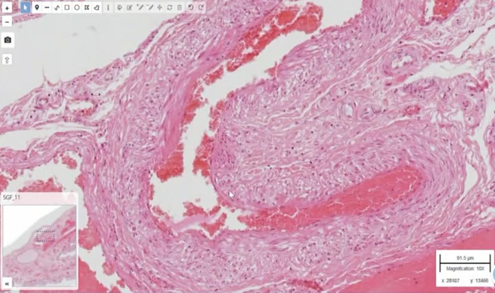
Structure pointée = Nerfs ÉNORME (circule à côté de l’artère)
==> Bien délimitée, régions blanches avec ptt point au milieu, noyaux entre les structures

NB: (sur la coupe violette: Transition progressiveentre artère purement élastique et artère musculaire)

How well did you know this?
1
Not at all
2
3
4
5
Perfectly
4
Q
A
How well did you know this?
1
Not at all
2
3
4
5
Perfectly
5
Q
A
How well did you know this?
1
Not at all
2
3
4
5
Perfectly
6
Q

K’

A

A = veine (paroi mince pas régulière)
=> JAMAIS de GR ds vx lymphatique!!!
B= artère (paroi compacte, homogène et épaisse par rapport au diamètre)
C = artère
D = vx lymphatique (paroi très mince présence de leucocytes mais pas GR)
E = lymphatique (paroi très mince + endothélium et aspect granulaire rosé (lymphe))

How well did you know this?
1
Not at all
2
3
4
5
Perfectly
7
Q

Quelle est la couche la plus importante dans une artère?

A

Média

(le critère qui permet de distinguer l’artère des veines)

How well did you know this?
1
Not at all
2
3
4
5
Perfectly
8
Q

Est-ce qu’on peut bien voir la lame élastique au niv de la média en hémalun éosine?

A

Pas vraiment

(parfois on peut bien distinguer la lame élastique interne si épaisse mais le reste c chaud, car colorées en rose et se confondent avec cytoplasme ce cell muscu lisses car contiennent des prot)

How well did you know this?
1
Not at all
2
3
4
5
Perfectly
9
Q

C’est-ce quoi la partie brillante sur cette photo?

A

Lame élastique externe, très ramifiée (c rare qu’on puisse la voir en hémalin éosine)

How well did you know this?
1
Not at all
2
3
4
5
Perfectly
10
Q

Ça c quoi?

A

Artère

==> Partie plus mince = bifurcation en une artère plus petite (mais c tjrs une artère parce qu’on voit la paroi compactes et homogène)

How well did you know this?
1
Not at all
2
3
4
5
Perfectly
11
Q

Ça c quoi?

A

Nerfs, ça se voit

How well did you know this?
1
Not at all
2
3
4
5
Perfectly
12
Q

C quoi?

A

PAS UN VAISSEAUX CAR LA 1ÈRE COUCHE N’EST PAS UN ENDOTHÉLIUM SIMPLE APPLATI!!!

(au début on peut se dire que c une artère parce que bcp de muscuature mais 1er critère = présence d’un endothélium)

How well did you know this?
1
Not at all
2
3
4
5
Perfectly
13
Q

Quel épithélium?

A

Psoeudo-stratifié

=> Cell prismatiques
Cell basales
et pas ttes les cell prismatiques touchent la lame basales (≠ bistratifié)

=> Stéréocils à la surface (pas à savoir reconnaître) ===> canal déférent (syst génital masculin = seul endroit avec stéréocils)

How well did you know this?
1
Not at all
2
3
4
5
Perfectly
14
Q

Quoi comme vx?

A

Artère (même si elle est pas ronde)

=> Musculature compacte et homogène sur tout le pourtour

How well did you know this?
1
Not at all
2
3
4
5
Perfectly
15
Q

Est-ce qu’on peut affirmer que dans tout les cas:

  • les artères sont rondes
  • les veines sont plus biscornues
A

NON!!!!!!!!!!!

Artère pas formcément ronde!!
Veine pas tjrs avec des formes chelou!!!

How well did you know this?
1
Not at all
2
3
4
5
Perfectly
16
Q

Quand on a un doute sur le vx, en général c quoi?

A

Une veine
=> Parce que pour artère en général y a pas de doute, c évident donc par défaut, si y’ a un doute, c une veine

17
Q

Là c quoi?

A

Veine

=> Car paroi pas homogène et pas bien délimitée
=> MUSCULAIRE car bcp de musculature dans la média (on voit la différence ente la média et d’adventice car muscu coupée transversalement dans la média et longitudinalement dans l’adventice mais c pas super évident)

18
Q

C quoi ce tissu?

A

Muscle strié squelettique (coupé transversalement)

=> Cell grandes
=> Plsrs noyaux par cellules
=> Noyaux en périphérie
=> Cytoplasme bien coloré (actine + myosine 2)

19
Q

Quel épithélium?

A

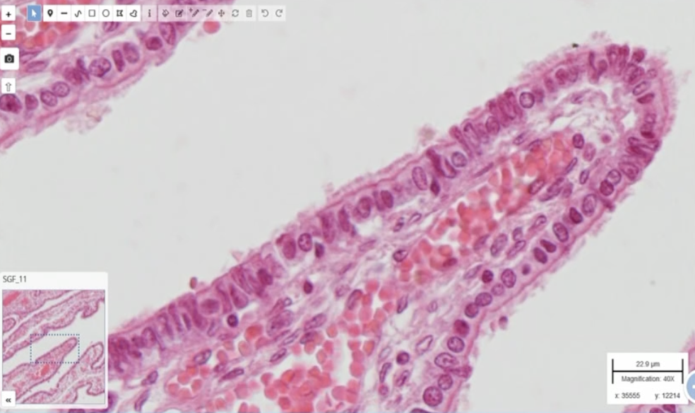
Simple prismatique avec des kinocils

(mais bon quelques zones un peu ambiguës)

20
Q

C quoi?

21
Q

Quel vx?

A

Artère (certes, biscornue)

=> On voit bien la limite de la média et de l’adventice
=> Épaisseur régulière, compacte, homogène sur tout le porutour

22
Q

Quel vx?

23
Q

Quel vx?

A

Veine
=> Paroi fine et pas du tt régulière

24
Q

Ça?

A

Artère

Ça aussi d’ailleurs…

25
C quel vx?
Veine
26
C quoi?
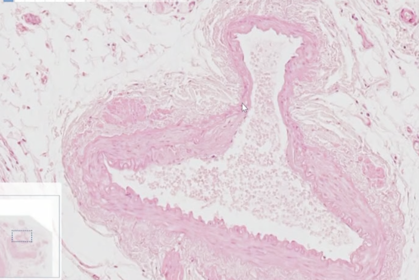
Vx lympahtique (y a bien un endothélium en périphérie) => ⚠︎ c PAS une déchirure du tissu, y'a un ENDOTHÉLIUM
27
Quel vx?
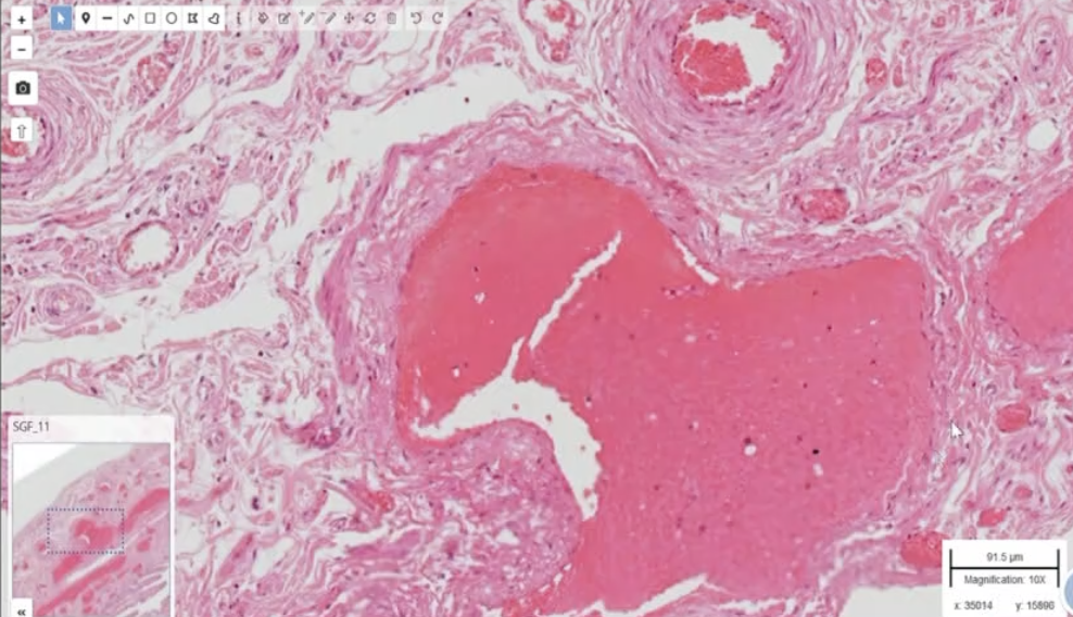
Veine => Paroi très peu épaisse par rapport au ce GRAND vx
28
Quel vx?
Vx lympahtique
29
Quel vx?
Artère (petite) => Paroi épaisse par rapport au diamètre du vx + compacte et homogène aussi
30
Quel vx?
Artère
31
C quoi?
Veine
32
C quoi?
Vx lymphatique
33
Quel vx?
Veine
34
C quoi?
Artère
35
C quoi?
Veine
36
C quoi ce truc?
PAS UN VAISSEAUX => Épithélium en périphérie