Introducción Flashcards

(66 cards)

1
Q

¿Para qué sirve el formol en la fijación de una muestra? (3)

A
  1. Evitar autolisis
  2. Evitar formación de colonias de microorganismos
  3. Endurecer tejido
How well did you know this?
1
Not at all
2
3
4
5
Perfectly
2
Q

¿Qué tipo de enlaces forma el formol? ¿Cuál es su relación?

A

Enlaces cruzados con lisina
20:1

How well did you know this?
1
Not at all
2
3
4
5
Perfectly
3
Q

En la inmunohistoquímica, ¿qué marcador pinta la membrana, núcleo o citoplasma de color café?

A

CD

How well did you know this?
1
Not at all
2
3
4
5
Perfectly
4
Q

¿Qué significa HISTO y LOGOS?

A

Histo: Tejido
Logos: Estudio

How well did you know this?
1
Not at all
2
3
4
5
Perfectly
5
Q

¿Quién es considerado el padre de la histología?

A

Anton van Leuwenhook

How well did you know this?
1
Not at all
2
3
4
5
Perfectly
6
Q

Según la histología, ¿qué somos?

A

Embrión trilaminar (3 capas)
(célula-tejido-órgano)

How well did you know this?
1
Not at all
2
3
4
5
Perfectly
7
Q

¿Qué es una biopsia?

A

Un fragmento de tejido

How well did you know this?
1
Not at all
2
3
4
5
Perfectly
8
Q

¿Cuáles son los tipos de biopsias? (7)

A

1_ Incisional
2_ Excesional
3_ trans operatoria congelación
4_ por ponch
5_ por curetaje
6_ posoperatoria
7_ aspirativa, con aguja gruesa por trocar

How well did you know this?
1
Not at all
2
3
4
5
Perfectly
9
Q

¿A qué se le realizan las autopsias?

A

Cadaveres

How well did you know this?
1
Not at all
2
3
4
5
Perfectly
10
Q

¿A qué se le llama el pintar un tejido?

A

Histoquímica

How well did you know this?
1
Not at all
2
3
4
5
Perfectly
11
Q

¿Cuál es la tinción más frecuente en histoquímica?

A

Hematoxilina y eosina (H&E)

How well did you know this?
1
Not at all
2
3
4
5
Perfectly
12
Q

¿De qué color pinta la hematoxilina a los basofilos?

A

Azul o morado

How well did you know this?
1
Not at all
2
3
4
5
Perfectly
13
Q

¿De que color pinta la eosina a los acidofilos?

A

Naranja o rosado magenta

How well did you know this?
1
Not at all
2
3
4
5
Perfectly
14
Q

¿Normalmente, de qué color se ve el citoplasma de las células con tinción de hematoxilina y eosina?

A

Rosa

How well did you know this?
1
Not at all
2
3
4
5
Perfectly
15
Q

¿Normalmente, de qué color se ve el núcleo de las células con tinción de hematoxilina y eosina?

A

Morado

How well did you know this?
1
Not at all
2
3
4
5
Perfectly
16
Q

¿Cuál es el objetivo de la Histoquímica especializada?

A

Buscar o resaltar algo en especifico

How well did you know this?
1
Not at all
2
3
4
5
Perfectly
17
Q

¿Para qué sirve la fijación de una muestra?

A

Evita que se heche a peder la muestra

How well did you know this?
1
Not at all
2
3
4
5
Perfectly
18
Q

¿Cuál es el fijador universal?

A

Formol al 10%

How well did you know this?
1
Not at all
2
3
4
5
Perfectly
19
Q

1_ ¿Qué tipo de tinción es? ¿Qué colores suele mostrar?
2_ ¿Qué se ve de color azul y rojo?

A

1_ Tricromico de Masson, azul, rojo, negro
2_ azul: tejido conectivo, rojo: citoplasma

How well did you know this?
1
Not at all
2
3
4
5
Perfectly
20
Q
  1. ¿Qué tipo de tinción es?
  2. ¿Qué se ve en este tipo de tinción?
  3. ¿Qué órgano es?
A
  1. PAS (ácido peryodico de shift)
  2. Carbohidratos y moco
  3. Colon (campo de margaritas)
How well did you know this?
1
Not at all
2
3
4
5
Perfectly
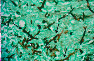
21
Q
  1. ¿Qué tipo de tinción es?
  2. ¿Qué resalta esta tinción?
A
  1. Grocott
  2. Hongos (base plata, de color negro/cafe)
How well did you know this?
1
Not at all
2
3
4
5
Perfectly
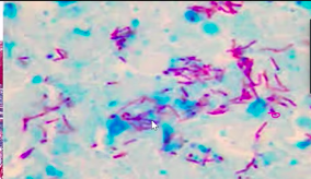
22
Q
  1. ¿Qué tipo de tinción es?
  2. ¿Qué es lo que esta pintado de rosa magenta?
A
  1. Ziehl Neelsen
  2. Basilos (pueden ser bacterias) BAAR
How well did you know this?
1
Not at all
2
3
4
5
Perfectly
23
Q

¿Con qué se fijan las citologías?

A

Alcohol al 96%

How well did you know this?
1
Not at all
2
3
4
5
Perfectly
24
Q

¿Qué se analiza en una Biopsia?

A

La arquitectura de las células

How well did you know this?
1
Not at all
2
3
4
5
Perfectly
25
¿Qué se observa en una citología?
La morfología de la célula
26
¿Cuáles son las tinciones especializadas para microorganismos en la histoquímica especializada? (9)
1_ Ziehl Neelsen 2_ Brown and Brenn 3_ Grocott 4_ Warthin Starry 5_ Fontana Masson 6_ Pearls 7_ Rojo congo 8_ Rojo oleoso 9_ PAS
27
¿Qué se identifica con la tinción Ziehl Neelsen?
BAAR (bacterias ácido-alcohol resistentes)
28
¿Qué se identifica con la tinción Brown and Brenn?
Gram + y Gram -
29
¿Qué se identifica con la tinción Grocott?
Hongos
30
¿Qué se identifica con la tinción Warthin Starry?
Espiroquetas
31
¿Qué se identifica con la tinción Fontana Masson?
Melanina
32
¿Qué se identifica con la tinción Pearles?
Hierro
33
¿Qué se identifica con la tinción rojo congo?
Amiloide
34
¿Qué se identifica con la tinción rojo oleoso?
Grasa
35
¿Qué se identifica con la tinción PAS?
Mucopolisacáridos (carbohidratos y moco)
36
¿Qué tipo de tinción es?
Fontana Masson
37
¿Qué tipo de tinción es?
Pearles
38
¿Qué tipo de tinción es?
Rojo oleoso
39
¿Qué tipo de tinción es?
Ziehl Neelsen
40
¿Qué tipo de tinción es?
Azul Alciano (identifica Mucina ácida)
41
¿Qué tipo de tinción es?
Masson (identifica colágena)
42
¿Qué tipo de tinción es?
Reticulina (identifica retículo)
43
¿Qué tipo de tinción es?
Van Gieson (identifica fibras elásticas)
44
Característica de la tinción rojo congo
- Analiza con lente de restringencia - Cambia de rojo ladrillo a verde manzana (en amiloides)
45
Pasos del proceso de tejido por congelación
1_ estudios transoperatorios 2_ tinciones para grasa 3_ inmunofluorescencia
46
¿Cuáles son las indicaciones de un estudio transoperatorio?
1. Normar conducta quirúrgica inmediata 2. Confirmar que el muestreo es adecuado
47
¿Cuáles son las contraindicaciones de un estudio transoperatorio?
1. Satisfacer curiosidad diagnóstica 2. Hueso y lesiones grandes de tejidos blandos
48
¿Cuál es el objetivo de la inmunohistoquímica?
Reacción antígeno-anticuerpo
49
Es una glucoproteína producida por células especifícas del sistema inmune en respuesta de un antígeno
Anticuerpo
50
Tipos de anticuerpos
1. Monoclonales 2. Policlonales
51
Son los anticuerpos producidos por líneas celulares
Monoclonales
52
Son los anticuerpos producidos por animales inmunizados
Policlonales
53
¿Qué métodos son utilizados para localizar un antígeno diana en células y tejidos?
Inmunicitoquímicos directos e indirectos
54
Pasos para preparar una muestra
1. Fijación 2. Inclusión 3. Corte 4. Tinción
55
¿Para qué sirve la fijación de una muestra al ser preparada
Conservar la estructura del tejido
56
Paso de la fijación de una muestra, dónde la muestra es lavada y deshidratada en disoluciones de alcohol
Inclusión
57
¿Cómo se llama la maquina que corta las muestras de tejido?
Microtomo
58
¿Cómo se extrae la parafina de las muestras a la hora de exponerla a tinción?
Se disuelve y extrae con xileno o tolueno
59
¿Qué componentes tisulares desaparecen durante la fijación por la tinción de HE?
Glucógeno, proteoglucanos y glucosaminoglucanos
60
Permite localizar objetivos de ácidos nucleicos específicos en células y tejidos fijados.
ISH (hibridación in situ)
61
¿Qué permite visualizar ISH?
Objetivos de ADN y ARN
62
Permite visualizar varios objetivos en la misma muestra.
FISH (hibridación in situ fluorescentes)
63
¿Qué permite visualizar FISH? (4)
1. Detectar secuencias específicas de ácidos nucleicos 2. Ubicación de un gen específico en cromosoma 3. # de copias del gen 4. Anormalidades en un gen
64
Nos permite obtener información genética de la morfología del tejido
CISH (Hibridación cromogenética in situ)
65
¿Qué permite visualizar CISH?
1. La expresión de un gen 2. La morfología del tejido (simultáneamente al gen)
66
¿Cuáles son los extendidos citológicos en las biopsias?
1_ Biopsia aspirativa por aguja fina (BAAF) 2_ Raspados secrecionales liquidos