Repaso Lab Flashcards

(87 cards)

1
Q

¿Qué es?

A

inmunohistoquimica

How well did you know this?
1
Not at all
2
3
4
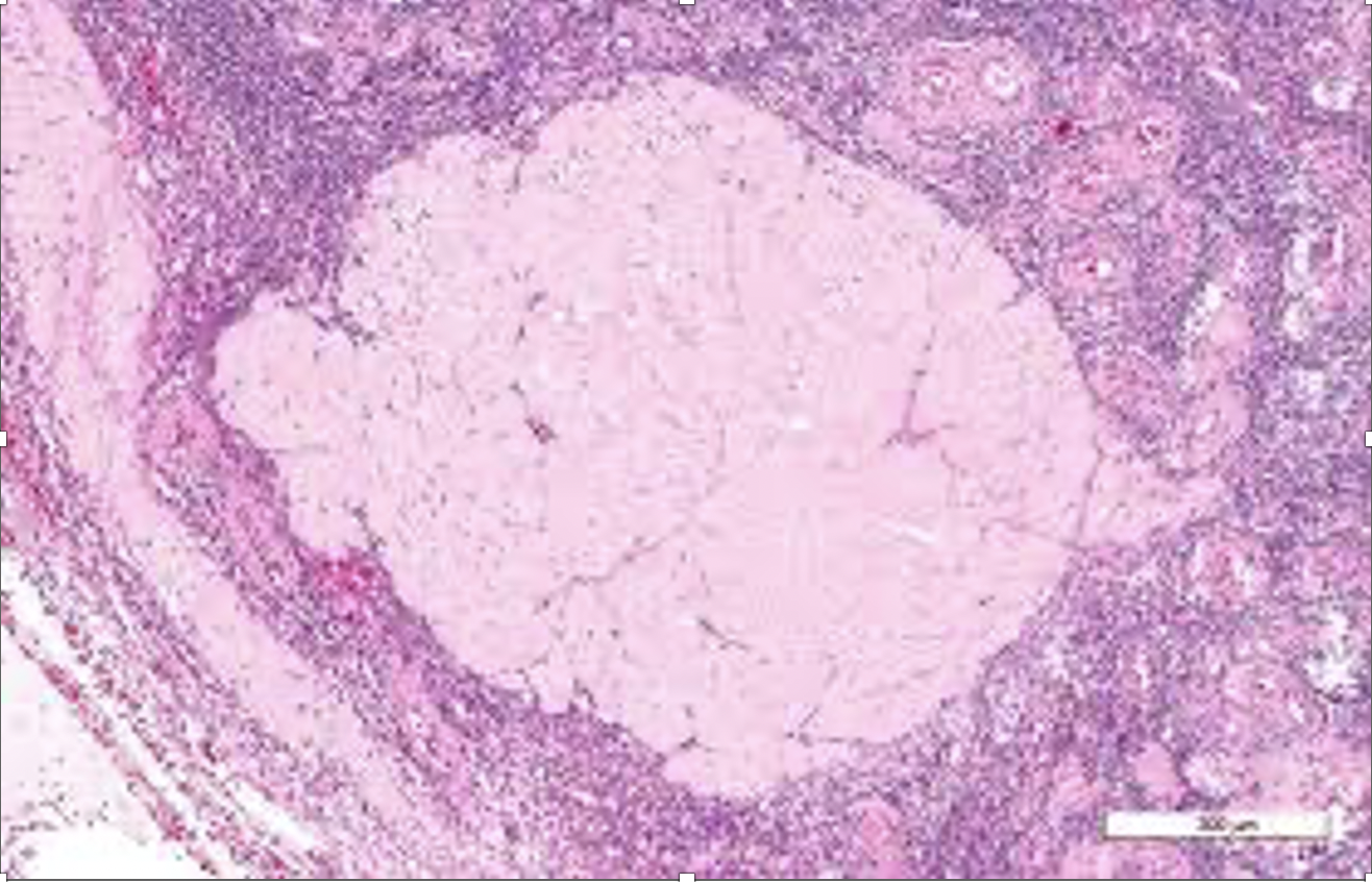
5
Perfectly
2
Q

Tinción
Epitelio
Tejidos
órgano

A
How well did you know this?
1
Not at all
2
3
4
5
Perfectly
3
Q

Tinción
Parte de la célula marcada

A

Tinción: inmunostoquimica (color café)
Parte de la cél: núcleo

How well did you know this?
1
Not at all
2
3
4
5
Perfectly
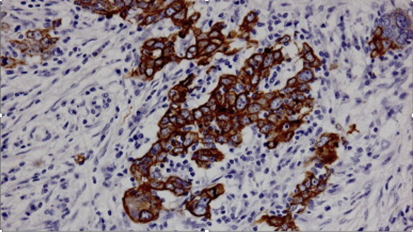
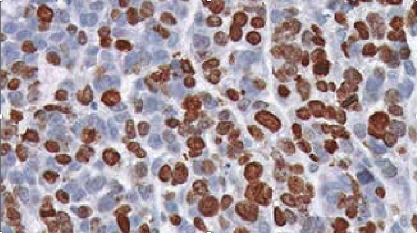
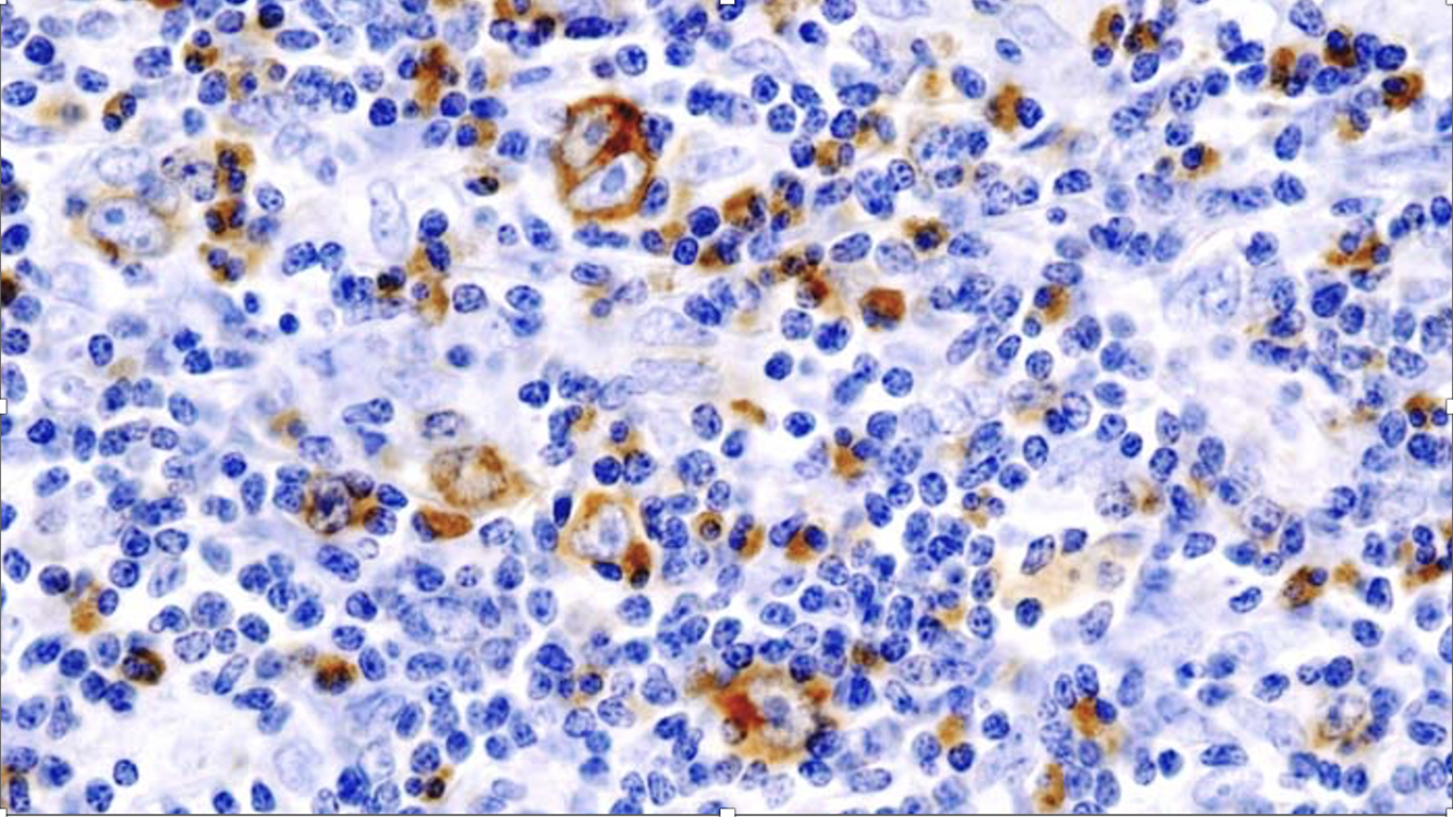
4
Q

Tinción
Parte de la célula marcada
Marcado usado

A

-Tinción: inmunohistoquimica
-Parte de la cel: membrana y Golgi
-Marcador: CD30
(linfona y marca cel´s neoplasicas)

How well did you know this?
1
Not at all
2
3
4
5
Perfectly
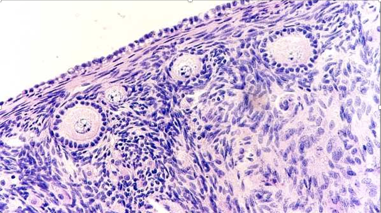
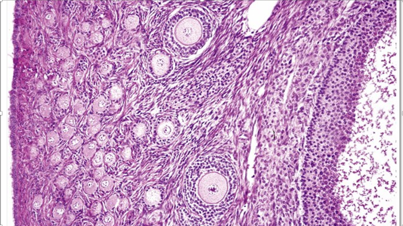
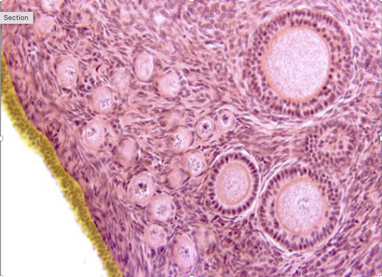
5
Q

órgano

A

órgano: ovarios (foliculos primordiales, primarios, secundario y graff)

How well did you know this?
1
Not at all
2
3
4
5
Perfectly
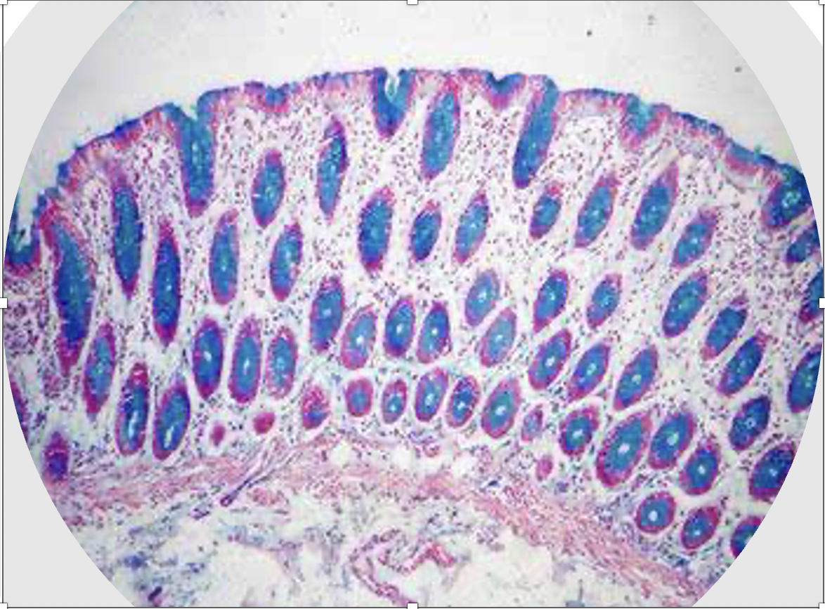
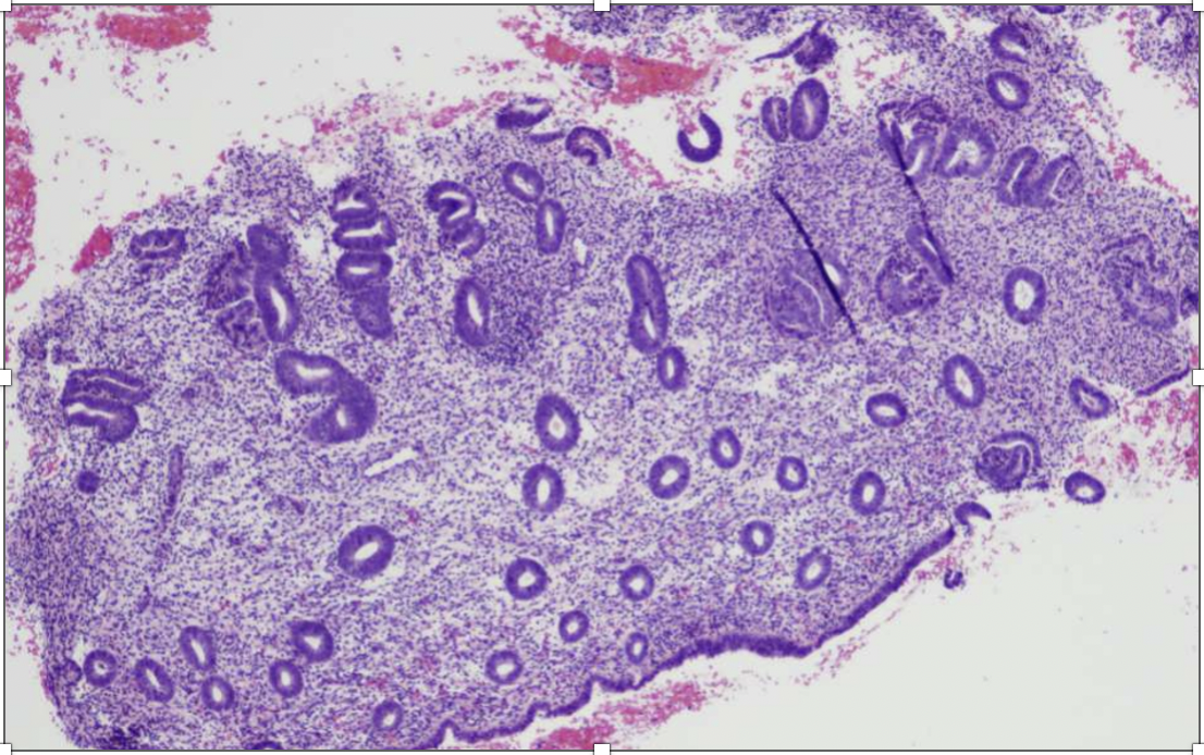
6
Q

Tinción
Epitelio
órgano

A

Tinción: azul alciano
Epitelio: cilindrico simple
órgano: tracto gastro intestinal (colon)
azul: mucina acida

How well did you know this?
1
Not at all
2
3
4
5
Perfectly
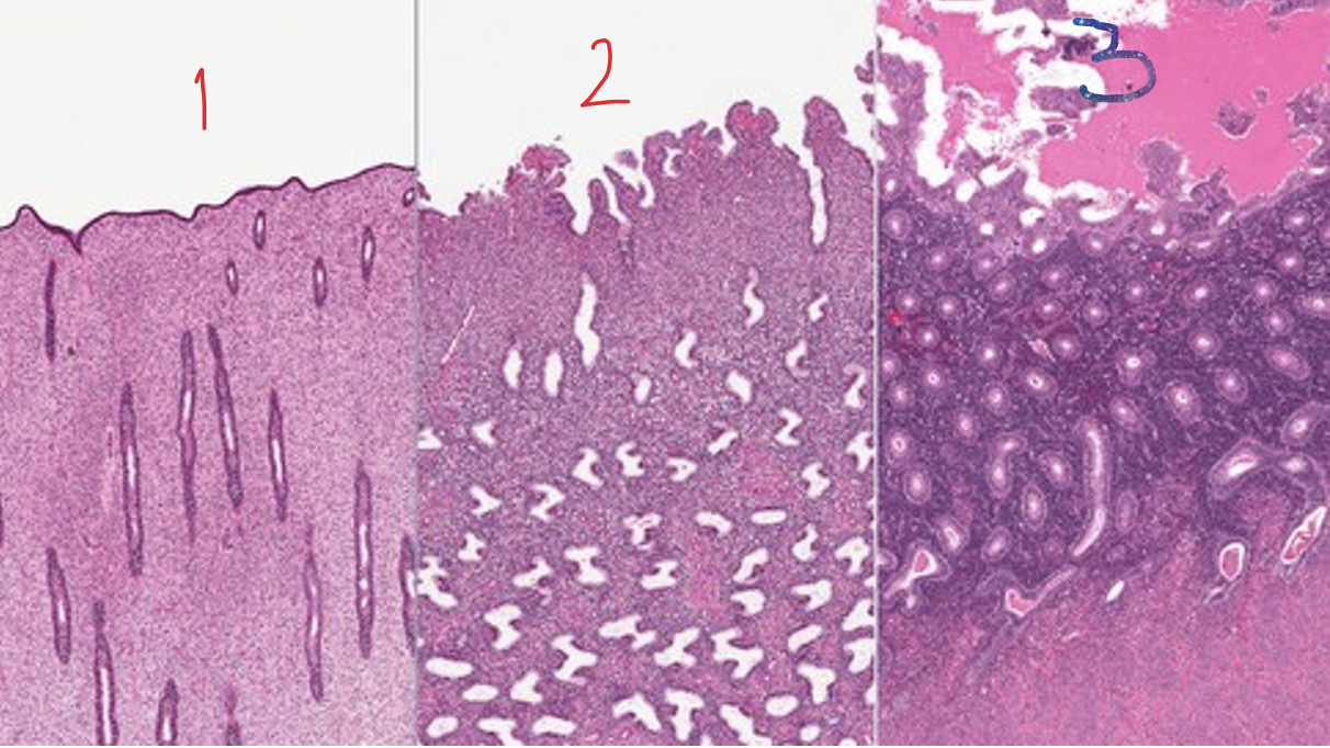
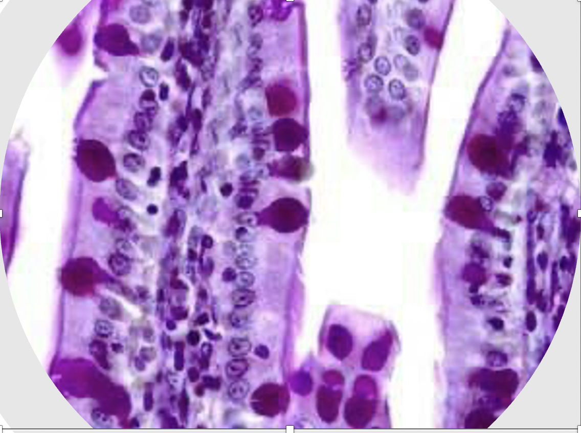
7
Q

Tinción
Epitelio
órgano

A

Tinción: PASS
Epitelio: cilindrico simple con células calciformes
órgano: tracto gastrointestinal

How well did you know this?
1
Not at all
2
3
4
5
Perfectly
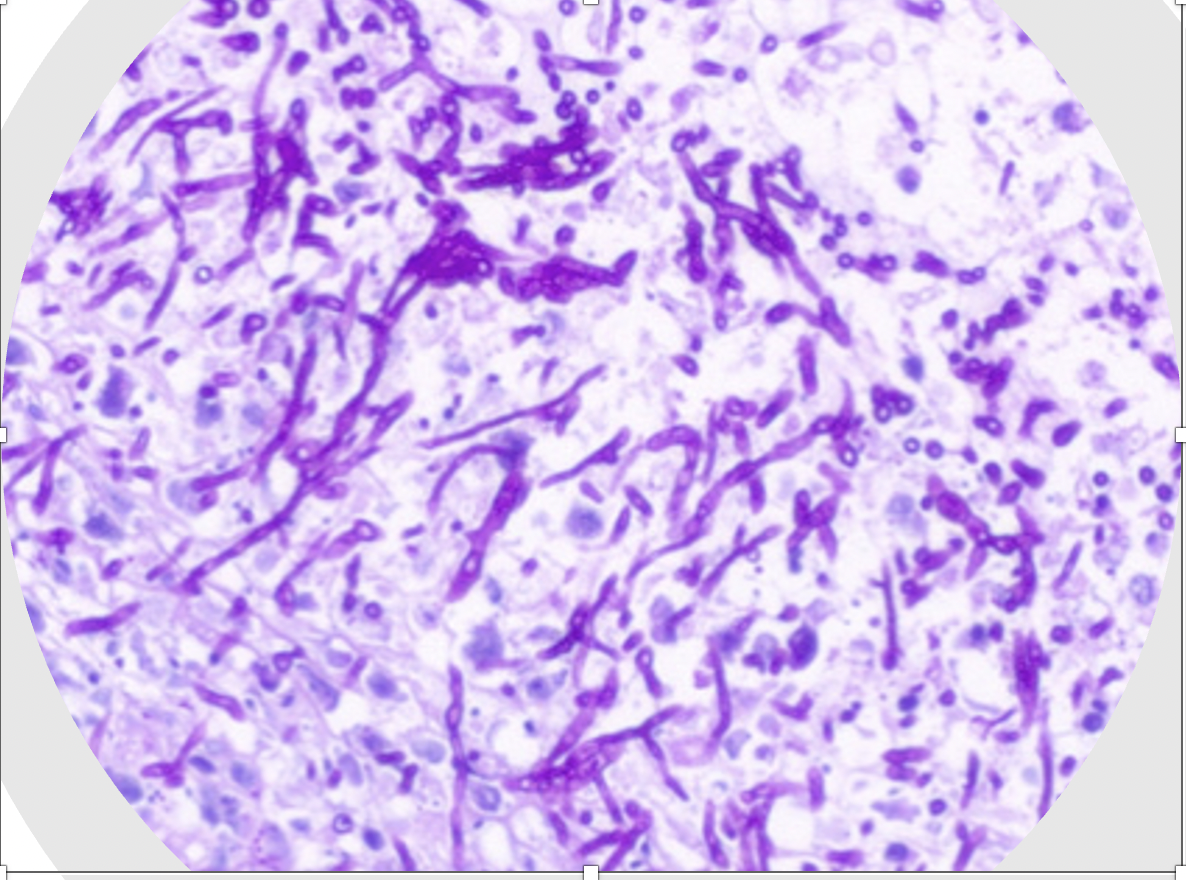
8
Q

Tinción y que resalta
Ángulo de los hongos

A

Tinción: Grocott
resalta: hongos
Ángulo: 45 grados

How well did you know this?
1
Not at all
2
3
4
5
Perfectly
9
Q

Tinción
¿Qué marca?

A

Tinción: PASS
-hongos

How well did you know this?
1
Not at all
2
3
4
5
Perfectly
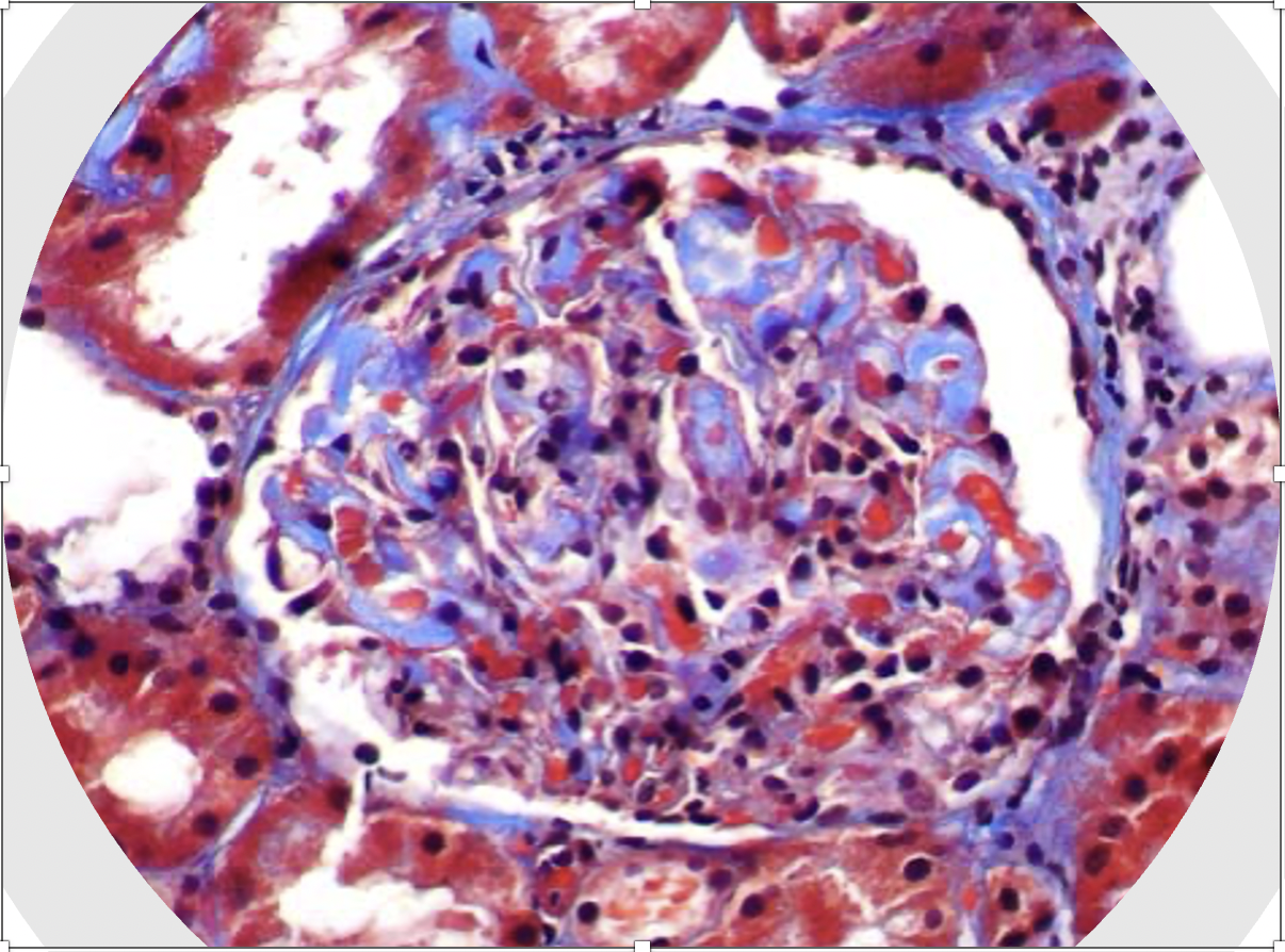
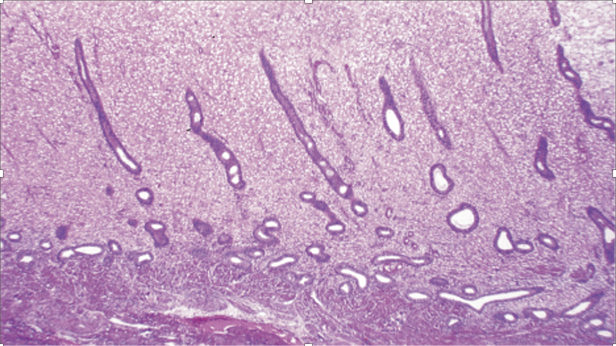
10
Q

Tinción
Epitelio
órgano

A

Tinción: tricrómico de Masson
Epitelio: plano simple
órgano: corteza del riñón (glomerulo/capsula de Bowman)
Túbulos renales: cúbico simple

How well did you know this?
1
Not at all
2
3
4
5
Perfectly
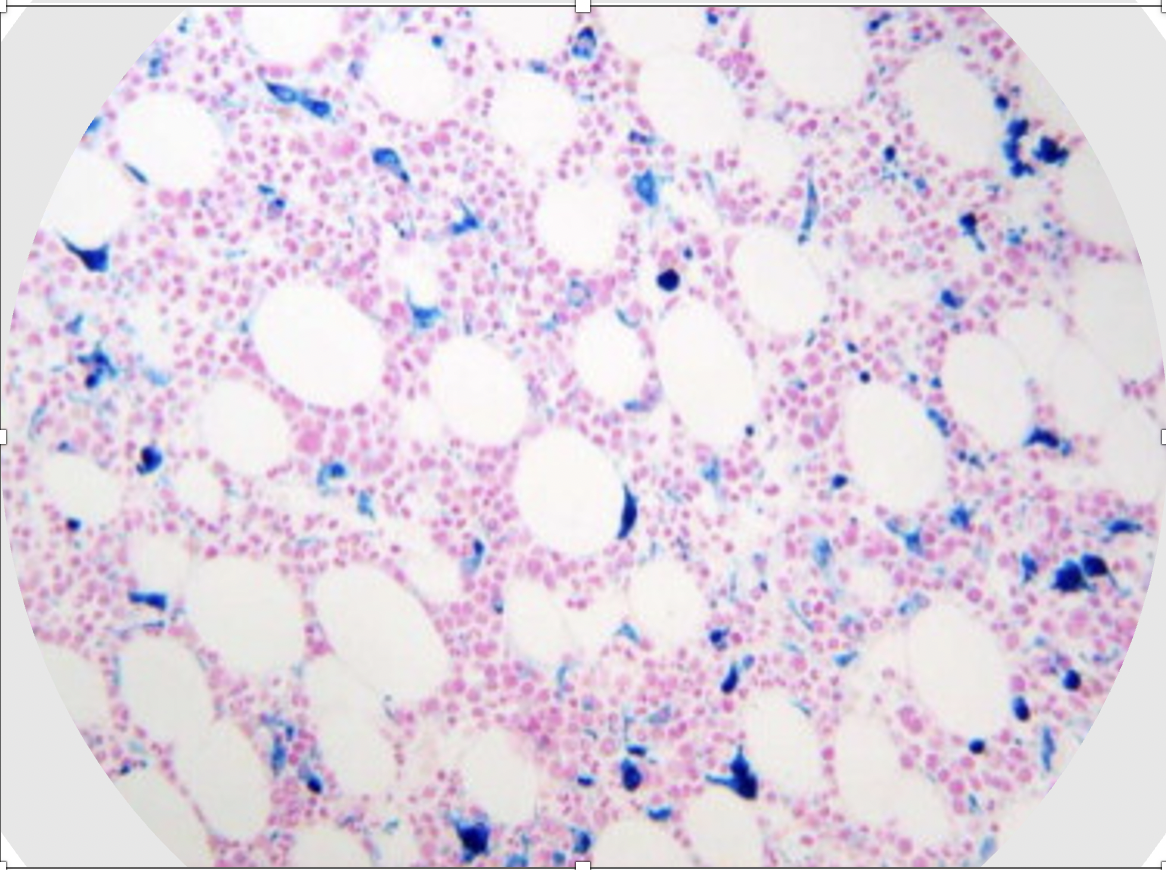
11
Q

Tinción
Células
órgano

A

Tinción: Pearls (depositos de hierro en azul)
Células: adipocitos y células hematopoyeticas
órgano: médula ósea

How well did you know this?
1
Not at all
2
3
4
5
Perfectly
12
Q

Tipo de muestra
Tinción
Epitelio

A

Muestra: citología
Tinción: papanicolau
Epitelio: plano

How well did you know this?
1
Not at all
2
3
4
5
Perfectly
13
Q

Tejidos
órgano

A

Tejidos: conectivo
órgano: cuerpo albicans

How well did you know this?
1
Not at all
2
3
4
5
Perfectly
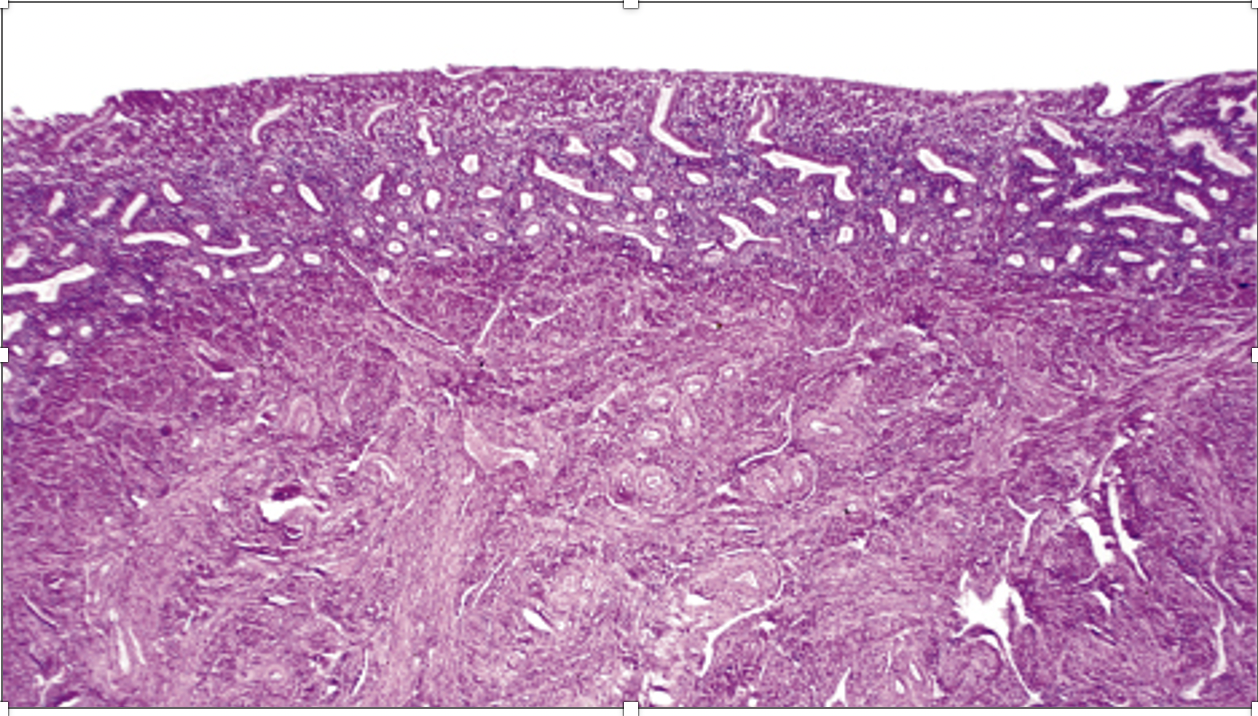
14
Q

¿Qué es lo amarillo?
órgano

A

Epitelio de superficie
órgano: ovario

How well did you know this?
1
Not at all
2
3
4
5
Perfectly
15
Q

órgano

A

órgano: ovario

How well did you know this?
1
Not at all
2
3
4
5
Perfectly
16
Q

Tejidos
órgano

A

Tejido: mm liso y laberito (vasos)
órgano: tuba uterina

How well did you know this?
1
Not at all
2
3
4
5
Perfectly
17
Q

órgano

A

órgano: Tuba uterina (más cerca)
Tiene esterio cilios (mueve el ovulo)

How well did you know this?
1
Not at all
2
3
4
5
Perfectly
18
Q

Tejidos
órgano
Tiene dos capas
¿Qué son los hoyos de la capa superior?

A

Tejidos: mm liso/ epitelio cubico simple
órgano: endometrio
Hoyos: vasos/ glandulas (luces cubiertas de endotelio)

How well did you know this?
1
Not at all
2
3
4
5
Perfectly
19
Q

Tejidos
órgano

A

Tejido: mm liso y fase glandular
órgano: endometrio en dif. fase

How well did you know this?
1
Not at all
2
3
4
5
Perfectly
20
Q

endometrio:
1_ ¿Cuándo hay estrogeno como esta?, epitelio
2_ ¿Qué hay en su fase progestasional?
3_ ¿Qué se ve en la fase menstrual?

A

1_ con glandulas rectas, epitelio cilindrico simple
2_ Glandulas en sarcacorchos/aserrada y vesiculas
3_ estroma más células y hay sangre

How well did you know this?
1
Not at all
2
3
4
5
Perfectly
21
Q

Epitelio
órgano

A

Epitelio: cilindrio simple
órgano: endometrio en fase estrogenica (1)

How well did you know this?
1
Not at all
2
3
4
5
Perfectly
22
Q

Epitelio
órgano

A

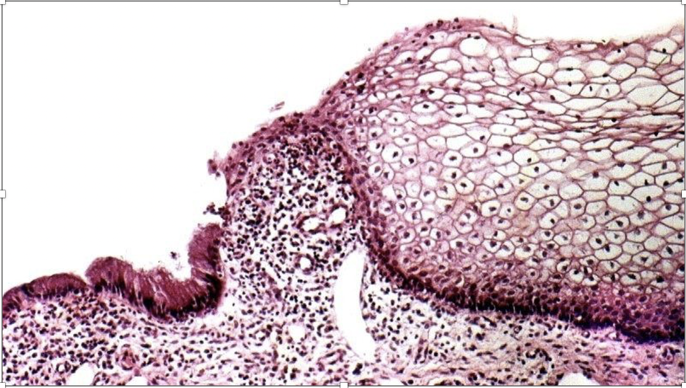
Epitelio: de transición
órgano: cervix (plano estratificado) y endocervix (cilindrico simple)

How well did you know this?
1
Not at all
2
3
4
5
Perfectly
23
Q

tinción
Tejidos
órgano

A

tinción: H&E
Tejidos: conectivo denso, adiposo, glandular
órgano: mama

How well did you know this?
1
Not at all
2
3
4
5
Perfectly
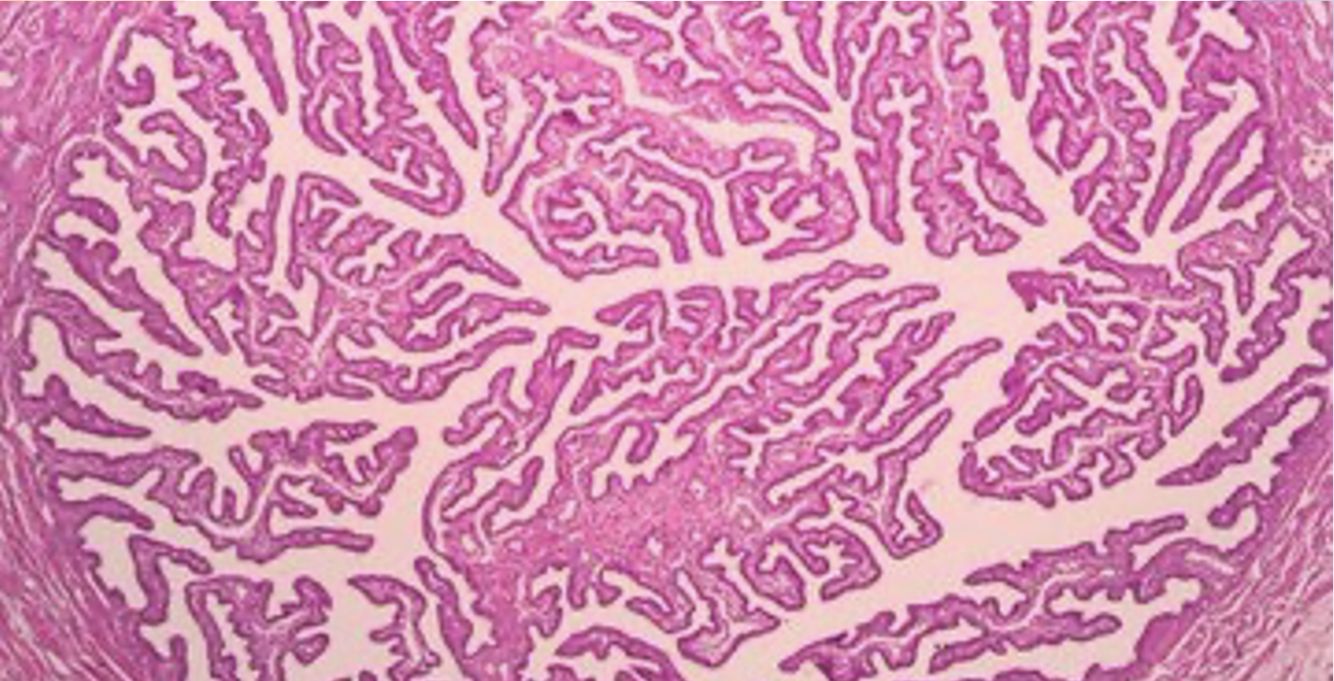
24
Q

Tinción
Epitelio
órgano

A

tinción: H&E
Epitelio: cilindrico simple
órgano: colón (flores)

How well did you know this?
1
Not at all
2
3
4
5
Perfectly
25
órgano
Ballena* órgano: hipocampo
26
Epitelio órgano
Epitelio: cubico simple (coloide) órgano: tiroides
27
Tinción órgano Epitelio ¿Qué rodea a los islotes de langerhans?
coladeras* Tinción: H&E Organo: Pancreas (islotes de langerhans) epitelio: cubico simple rodeado: acinos pancreaticos
28
¿Qué es lo que se ve?
Acinos pancreaticos e islotes
29
Epitelio órgano*****
Epitelio: cubico simple órgano: tiroides y paratiroides
30
Tinción ***** Epitelio Tejidos órgano
Tinción: Epitelio Tejidos órgano
31
Tinción Epitelio Tejidos órgano
Tinción: Pearls Epitelio Tejidos órgano 41:10
32
Tinción Epitelio Tejidos órgano
33
Tinción Epitelio Tejidos órgano
34
Tinción Epitelio Tejidos órgano
35
Tinción Epitelio Tejidos órgano
36
Tinción Epitelio Tejidos órgano
37
Tinción Epitelio Tejidos órgano
38
Tinción Epitelio Tejidos órgano
39
Tinción Epitelio Tejidos órgano
40
Tinción Epitelio Tejidos órgano
41
Tinción Epitelio Tejidos órgano
42
Tinción Epitelio Tejidos órgano
43
44
45
46
47
48
49
50
51
52
53
54
55
56
57
58
59
60
61
62
63
64
65
66
67
68
69
70
71
72
73
74
75
76
77
78
79
80
81
¿Dónde tenemos células calciforme?
Tracto gastrointestinal y respiratorio
82
Tipo de colágeno presente en las membranas
Tipo IV
83
Tinción más usada en citología
Papanicolau
84
¿Partes de dónde se toman citologías?
Mucosa oral y vaginal
85
¿Cuáles son las capas de la corteza suprerrenal?
1_ glomerular 2_ fascicular 3_ reticular
86
¿Dónde encontramos tejido linfoide capsulado? (muchos muchos puntitos)
1_ amigdala (semi capsulado) 2_ bazo 3_ timo 4_ médula ósea
87
¿Qué se ve en un ganglio linfatico?
1_ seno semicapsular 2_ capsula (tej. conectivo denso) 3_ Adiposo 4_ tienen vaso (epitelio: plano simple)