Lab 1 Flashcards

(25 cards)

1
Q

Resolution

A

ability of microscope to distinguish detail

How well did you know this?
1
Not at all
2
3
4
5
Perfectly
2
Q

Histology

A

Study of tissues and their microscopic structures

How well did you know this?
1
Not at all
2
3
4
5
Perfectly
3
Q

What are the 4 basic types of tissues found in human body?

A

Epithelial tissue, connective tissue, muscle tissue, nervous tissue

How well did you know this?
1
Not at all
2
3
4
5
Perfectly
4
Q

Epithelial tissue

A

Covers boyd surfaces and lines body cavities, hollow organs and ducts of glands.

  • Tightly packed together
  • Attached to underlying tissues. Attachement is accomplished by basement membrane,
How well did you know this?
1
Not at all
2
3
4
5
Perfectly
5
Q

What is the basement membrane?

A

A thin extracellular structure consisting of 2 layers, basal lamina and reticular lamina

How well did you know this?
1
Not at all
2
3
4
5
Perfectly
6
Q

Basal surface

A

The side of the epithelial tissue that faces the basement membrane

How well did you know this?
1
Not at all
2
3
4
5
Perfectly
7
Q

Apical surface

A

The side of the epithelial tissue that faces the body cavity, lumen or environment

How well did you know this?
1
Not at all
2
3
4
5
Perfectly
8
Q

What are the 3 shapes of epithelial cells in body?

A

Squamous, cuboidal and columnar

How well did you know this?
1
Not at all
2
3
4
5
Perfectly
9
Q

Simple epithelium

A

Single layer of cells in which every cell touches the basment membrane

How well did you know this?
1
Not at all
2
3
4
5
Perfectly
10
Q

Stratified epithelium

A

multiple layers of cells

How well did you know this?
1
Not at all
2
3
4
5
Perfectly
11
Q

Name the tissue

how many layers & Shape

Function

Where is it found

A

Simple squamous epithelium

single layer of thin flat cells - allows for a large amount of transport including flitration, diffusion, secretion and osmosis.

Found in:

Lining of blood vessels and heart
alveoli
glomercular capsule
lining of body cavities

How well did you know this?
1
Not at all
2
3
4
5
Perfectly
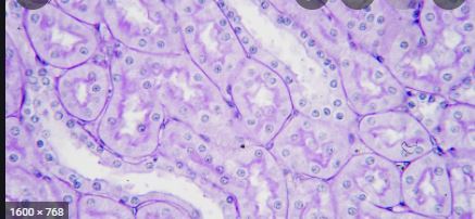
12
Q

Name the tissue

how many layers & Shape

Function

Where is it found

A

Simple cuboidal epithelium

Single layer of cuboidal cells. found where secretion and absorbtion occur and provides limited protection

Body location:
Kidney tubules
Thyroid gland

How well did you know this?
1
Not at all
2
3
4
5
Perfectly
13
Q

Name the tissue

how many layers & Shape

Function

Where is it found

A

Simple columnar epithelium

Single layer of cells that are taller than they are wide. Located where secretion and absorption occur. May have microvilli or cilia

Body locations:
Lining of stomach
Lining of small intestine
Lining of large intestine
linging of gallbladder

**Nuclei lined up in same position

How well did you know this?
1
Not at all
2
3
4
5
Perfectly
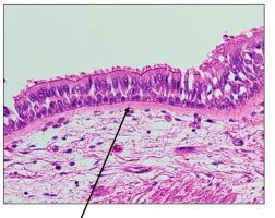
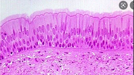
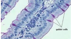
14
Q

Name the tissue

how many layers & Shape

Function

Where is it found

A

_**Pseudostratified Columnar Epithelium

Contains cells with varying shapes, majority of which are columnar in appearance.**_

Body locations:
**Lining of nasal cavities
Linig of trachea

*goblet cells
**Nuclei NOT centered, LOOKS layers**

How well did you know this?
1
Not at all
2
3
4
5
Perfectly
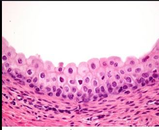
15
Q

Name the tissue

how many layers & Shape

Function

Where is it found

A

_**Stratified squamous epithelium

Mulitple layers of cells that are squamous at the apical surface.**_

Body Locations:
Epidermis
Lining of rectum
Lining of anus
Lining of vagina
Lining of esophagus

How well did you know this?
1
Not at all
2
3
4
5
Perfectly
16
Q

Name the tissue

how many layers & Shape

Function

Where is it found

A

_**Transitional epithelium

Multiple layers of cells with the apical layer having dome shape appearance**_

Body locations:
Lining of urinary bladder
Linging of Ureters

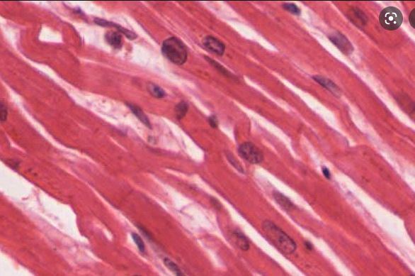
17
Q

What are the 3 types of muscle tissue found in the human body?

A

Skeletal muscle
Cardiac muscle
Smooth muscle

18
Q

What is the name of the tissue?

What is the shape?

Uni or mulitnucleate?

Striations?

Volunatry or involunatry movment?

Where is it found?

A

Skeletal Muscle Tissue

Found in skeletal muscles that are attached to the skeleton and can be controlled voluntarily to produce body movement.

Has STRIATIONS. Cylindrically shaped and are MULTINUCLEATE (several nuclei)

BODY LOCATIONS: Skeletal muscles

19
Q

What is the name of the tissue?

What is the shape?

Uni or mulitnucleate?

Striations?

Volunatry or involunatry movment?

Where is it found?

A

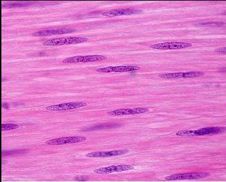
Smooth muscle tissue

Found in the wall of hollow organs and is involentarily controlled

-Single nucleus per cell and each cell has tappered ends

BODY LOCATION:
Blood vessel wall
Wall of many digestive, urinary and respiratory organs

*Elongated nuclei

20
Q

What is the name of the tissue?

What is the shape?

Uni or mulitnucleate?

Striations?

Volunatry or involunatry movment?

Where is it found?

A

Cardiac Muscle Tissue

Cynlindar and branched

Sinle nuclei

Stration and intercalated discs

involuntary movement

Found around the heart

21
Q

Microvilli

A

To increase surface area for transport

Found on nonciliaded simple columnar epithelium

22
Q

cilia

A

allows substances to be moved across the apical surface

23
Q

Goblet cells

A

produce mucus

24
Q

Intercalated discs

A

special intercellular connections

25
Multinucleate
Several nuclei \*\*Skelteal mucsle