Lab 2 Flashcards

(62 cards)

1
Q

Extra cellular matrix

A

The non-cellular component present within all tissues and organs

Could be fluid, gelatinous, semi-solid or solid

How well did you know this?
1
Not at all
2
3
4
5
Perfectly
2
Q

Collagen fibers

A

is the fiber in the extracellular matrix of connective tissues

characterized by being elongated and made up of collagen glycoproteins.

It is typically arranged in branching bundles of indefinite length. It is a strong insoluble fiber.

It occurs in the skin, tendon, ligaments, bone, and cartilage

How well did you know this?
1
Not at all
2
3
4
5
Perfectly
3
Q

What are the 3 types of fibers in connective tissue?

A

Collagen, reticular, elastic

How well did you know this?
1
Not at all
2
3
4
5
Perfectly
4
Q

Elastic fibers

A

an essential component of the extracellular matrix

composed of bundles of proteins (elastin)

able to stretch many times their length, and snap back to their original length when relaxed without loss of energy.

Found in the skin, lungs, arteries, veins, connective tissue proper, elastic cartilage,

How well did you know this?
1
Not at all
2
3
4
5
Perfectly
5
Q

Reticular fibers

A

A type of connective tissue fiber that is made up of type III collagen secreted by reticular cells

looks like a net mesh network with other similar fibers to serve as a supporting mesh in soft tissues such as liver and bone marrow

How well did you know this?
1
Not at all
2
3
4
5
Perfectly
6
Q

What are some common cells found in connective tissue?

A

Mesenchymal cells - self-renew by dividing and can differentiate into multiple tissues

Fibroblasts - secrete collagen proteins that are used to maintain a structural framework

Mast cells - white blood cell that is found in connective tissues & contributes to homeostasis in the immune system

Macrophages - type of white blood cell that surrounds and kills microorganisms, removes dead cells, and stimulates the action of other immune system cells.

White blood cells - are part of the body’s immune system.

How well did you know this?
1
Not at all
2
3
4
5
Perfectly
7
Q

Fibroblasts

A

A cell that synthesizes the extracellular matrix and collagen,produces the structural framework (stroma) for animal tissues,

Plays a critical role in wound healing.

Fibroblasts are the most common cells of connective tissue in animals.

How well did you know this?
1
Not at all
2
3
4
5
Perfectly
8
Q

Areolar connective tissue

What tissue group?

What directions do the fibers run?

Cells/Fibers?

Function?

Found?

A

Tissue: Loose connective tissue

Direction: Running in all directions

Cells: Fibroblast, mast, macrophages, white blood cells

Fibers: Reticular, elastic, collagen

Function: Provides cushioning to many organs and tissues of the body.

Found: It can be found in the skin as well as in places that connect epithelium to other tissues

How well did you know this?
1
Not at all
2
3
4
5
Perfectly
9
Q

Stroma

A

The supportive framework of an organ, gland or other structure, usually composed of connective tissue

How well did you know this?
1
Not at all
2
3
4
5
Perfectly
10
Q

Chondrocytes

A

Cartilage cells

The only cells found in healthy cartilage. They produce and maintain the cartilaginous matrix, which consists mainly of collagen and proteoglycans.

How well did you know this?
1
Not at all
2
3
4
5
Perfectly
11
Q

Lacunae

A

Isolated spaces that hold cells.

How well did you know this?
1
Not at all
2
3
4
5
Perfectly
12
Q

Osteons

A

is the fundamental functional unit of much compact bone. Have

roughly cylindrical structures

How well did you know this?
1
Not at all
2
3
4
5
Perfectly
13
Q

Central canal aka Haversian canal

A

through which blood vessels, lymph vessels, and nerves can travel to service and signal the cells throughout the compact bone. .

How well did you know this?
1
Not at all
2
3
4
5
Perfectly
14
Q

Osteocytes

A

Osteocytes are the longest living bone cell and Reside within the lacuna

How well did you know this?
1
Not at all
2
3
4
5
Perfectly
15
Q

What are the formed elements in blood?

A

Erythrocytes- red blood cells
Leukocytes- white blood cells
Platelets

How well did you know this?
1
Not at all
2
3
4
5
Perfectly
16
Q

What are the 3 basic parts of a neuron?

A

Cell body aka perikaryon
Axons
Dendrites

How well did you know this?
1
Not at all
2
3
4
5
Perfectly
17
Q

Cell body or perikaryon

A

the cell body of a neuron, containing the nucleus.

How well did you know this?
1
Not at all
2
3
4
5
Perfectly
18
Q

Epidermis

A

Outer thinner layer comprised of stratified squamous epithelium

How well did you know this?
1
Not at all
2
3
4
5
Perfectly
19
Q

Dermis

A

The inner thicker connective tissue layer

How well did you know this?
1
Not at all
2
3
4
5
Perfectly
20
Q

Subcutaneous aka hypodermis

A

Deep into the dermis

Consists of adipose and areolar connective tissues

How well did you know this?
1
Not at all
2
3
4
5
Perfectly
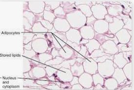
21
Q

Adipose connective tissue

What tissue group?

What directions do the fibers run?

Cells/Fibers?

Function?

Found?

A

Tissue: Loose connective tissue

Direction:

Cells: composed of fat cells known as adipocytes.

Fibers: Thin extracellular matrix consisting of reticular fibers

Function: Energy storing, hormone production, thermal isolation

Found: Hypodermis, surrounding the kidneys, eyeballs and yellow bone marrow

How well did you know this?
1
Not at all
2
3
4
5
Perfectly
22
Q
A
How well did you know this?
1
Not at all
2
3
4
5
Perfectly
23
Q

Reticular connective tissue

What tissue group?

What directions do the fibers run?

Cells/Fibers?

Function?

Found?

A

Tissue: Loose connective tissue

Direction: branched and mesh-like pattern

Cells: Fibroblasts called reticular cells

Fibers: Reticular fibers

Function: to form a stroma and provide structural support

Found: found in the Liver, kidney, the spleen, lymph nodes, and bone marrow.

How well did you know this?
1
Not at all
2
3
4
5
Perfectly
24
Q

Dense regular connective tissue

What tissue group?

What directions do the fibers run?

Cells/Fibers?

Function?

Found?

A

Tissue: Dense connective tissue

Direction: the collagen fibres are densely packed, and arranged in parallel

Cells: Fibroblasts

Fibers: Collagen fibers

Function: to transmit forces over a distance and to connect different organs/muscles

Found: Tendons and aponeuroses, most ligaments

How well did you know this?
1
Not at all
2
3
4
5
Perfectly
25
**Dense irregular connective tissue** What tissue group? What directions do the fibers run? Cells/Fibers? Function? Found?
**_Tissue:_** Dense connective tissue **_Direction:_** fibers that are not arranged in parallel bundles **_Cells:_** Fibroblast **_Fibers:_** Collagen **_Function:_** provides strength, making the skin resistant to tearing by stretching forces from different directions **_Found:_** Organ capsules, dermis, perichondrium
26
**Hyaline Cartilage** What tissue group? What directions do the fibers run? Cells/Fibers? Function? Found?
**_Tissue:_** Cartilage **_Direction:_** Eyeballs in Jello - clear **_Cells:_** chondroblasts in Lacunae **_Fibers:_** collagen fibers **_Function:_** assists the motion of joints **_Found:_** At the ends of bones, larynx, trachea and fetal skeleton
27
**Fibrocartilage** What tissue group? What directions do the fibers run? Cells/Fibers? Function? Found?
**_Tissue:_** Cartilage **_Direction:_** Crowded lazy river, alot going on **_Cells:_** Chondrocytes in lacunae **_Fibers:_** Collagen **_Function:_** provides the tough material of the intervertebral discs **_Found:_** Cartilage pads in knee, intervertebral discs, pubic symphysis
28
**Dense bone** What tissue group? What directions do the fibers run? Cells/Fibers? Function? Found?
**_Tissue:_** Bone / connective tissue **_Direction:_** Osteons that look like circles **_Cells:_** Osteocytes in lacunae - Center is central canal **_Fibers:_** Collagen **_Function:_** the main structure in the body for support, protection, and movement **_Found:_** Comprises the bones in skeleton
29
**Blood** What tissue group? What directions do the fibers run? Cells/Fibers? Function? Found?
**_Tissue:_** Blood **_Direction:_** Fluid matrix **_Cells:_** Erythrocytes (red blood cells, Leukocytes (white blood cells) platelets **_Fibers:_** no fibers / fluid plasma matrix **_Function:_** bringing the needed oxygen, nutrients, hormones and other signaling molecules, and removing the wastes **_Found:_** Within blood vessels, within chambers of heart
30
**_Nervous tissue_** What tissue group? What directions do the fibers run? Cells/Fibers? Function? Found?
**_Tissue:_** Nervous tissue **_Direction:_** **_Cells:_** neurons and glial cells **_Fibers:_** Axon & Dendrites **_Function:_** responsible for the sensory, integrative, and motor functions of the nervous system **_Found:_** Nervous system
31
Erythrocytes
Red blood cells carry oxygen from our lungs to the rest of our bodies. Then they make the return trip, taking carbon dioxide back to our lungs to be exhaled.
32
Leukocytes
White blood cells part of the body's immune system
33
Platelets
small, colorless cell fragments in our blood that form clots and stop or prevent bleeding
34
Axon
that carries nerve impulses away from the cell body.
35
Dendrite
where a neuron receives input from other cells
36
Name the Tissue
Areolar Connective Tissue
37
Name the tissue
Adipose connective tissue
38
Name the tissue
Reticular connective Tissue
39
Name the tissue
Dense irregular connective tissue
40
Name the tissue
Dense regular connective tissue
41
Name the fiber
Collagen fiber
42
Name the fiber
Elastic fibers
43
Name the fiber
Reticular fibers
44
Name the cell
Fibroblasts
45
Name the tissue
Hyaline cartilage
46
Name the cell
Chondrocytes
47
Name the structure
Lacunae
48
Name the tissue
Fibrocartilage
49
Name the cell
Chondrocytes
50
Name the structure
Lacunae
51
Name the tissue
Dense bone
52
Name the structure
Central canal aka Haversian canal
53
Name the cell
Osteocytes
54
Name the structure
Osteons
55
Name the tissue
Blood
56
Name the cell
Erythrocytes Red blood cell
57
Name the cell
Leukocytes White blood cell
58
Name the cell
Platelets
59
Name the tissue
Nervous tissue
60
Name the structure
Cell body Perikaryon
61
Name the structure
Dendrites
62
Name the structure
Axon