lab 11 integument Flashcards

(79 cards)

1
Q
A

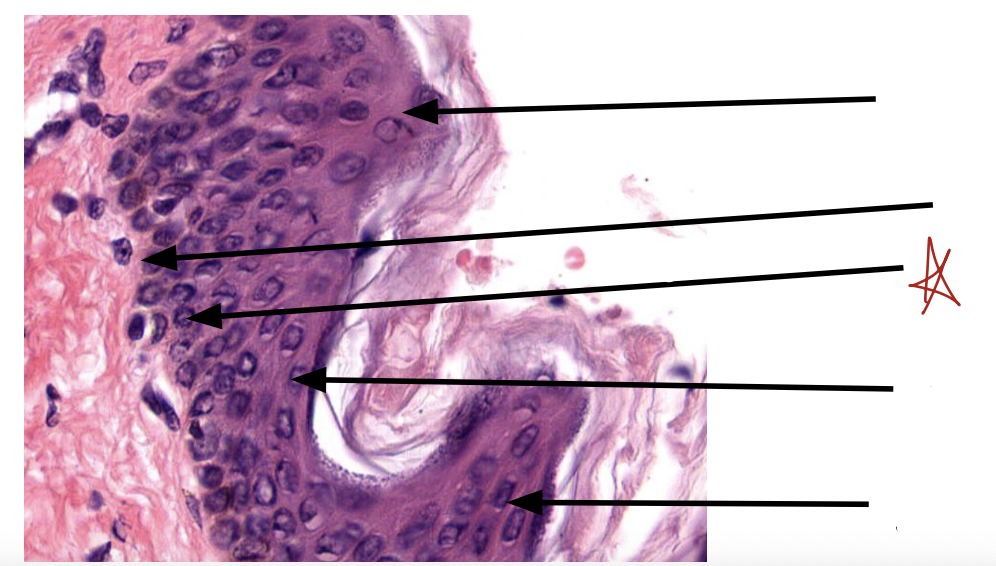
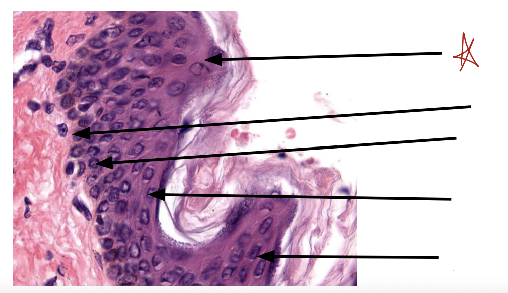
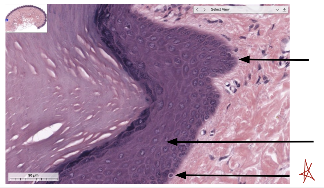
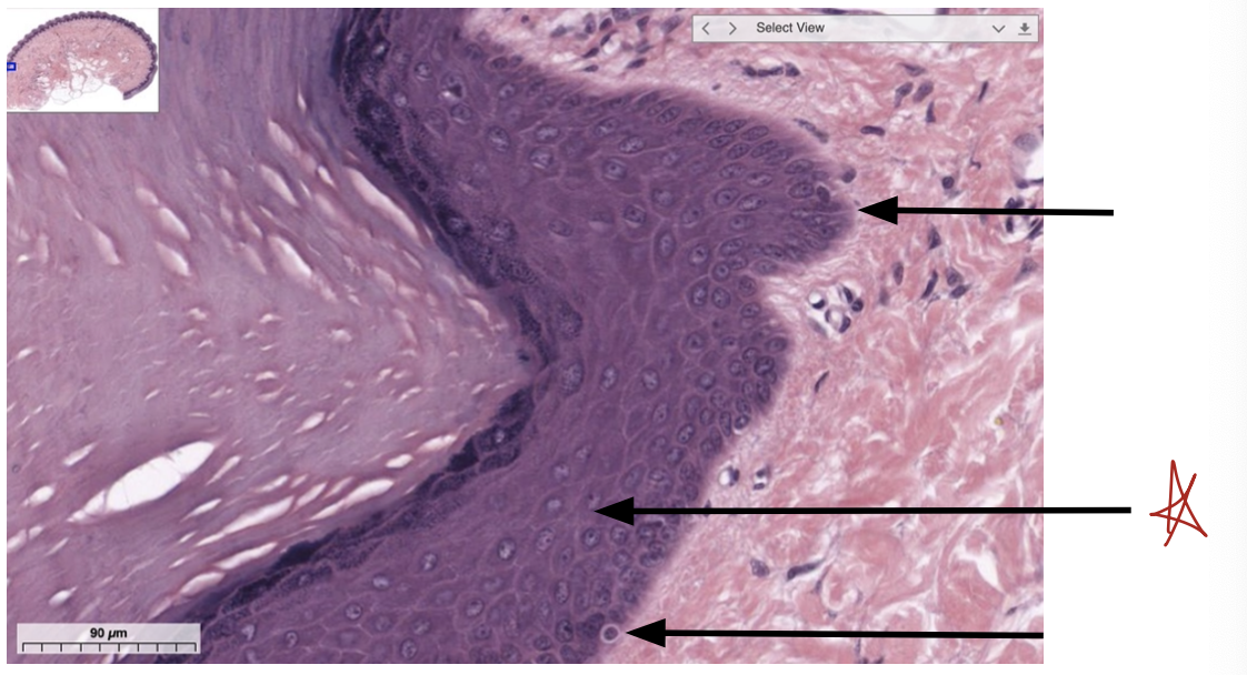
(epidermis-thick skin)

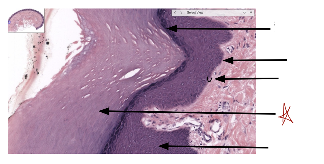
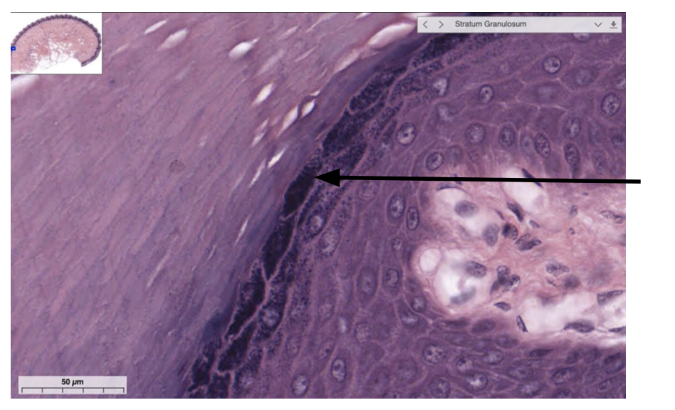
STRATUM GRANULOSUM

How well did you know this?
1
Not at all
2
3
4
5
Perfectly
2
Q
A

(epidermis-thick skin)

EPIDERMAL RIDGE

How well did you know this?
1
Not at all
2
3
4
5
Perfectly
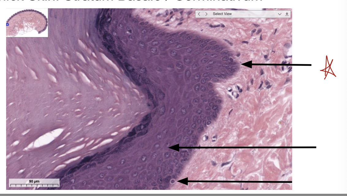
3
Q
A

(epidermis-thick skin)

STRATUM BASALE/GERMINATIVUM

How well did you know this?
1
Not at all
2
3
4
5
Perfectly
4
Q
A

(epidermis-thick skin)

STRATUM CORNEUM

How well did you know this?
1
Not at all
2
3
4
5
Perfectly
5
Q
A

(epidermis-thick skin)

STRATUM SPINOSUM

How well did you know this?
1
Not at all
2
3
4
5
Perfectly
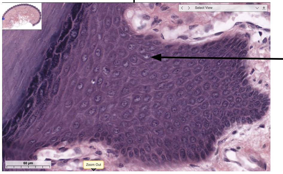
6
Q
A

(stratum basale/germinativum)

EPIDERMAL RIDGES

How well did you know this?
1
Not at all
2
3
4
5
Perfectly
7
Q
A

(stratum basale/germinativum)

KERATINOCYTE

How well did you know this?
1
Not at all
2
3
4
5
Perfectly
8
Q
A

(stratum basale/germinativum)

MELANOCYTE

How well did you know this?
1
Not at all
2
3
4
5
Perfectly
9
Q
A

(stratum spinosum)

DENDRITIC CELLS (LANGERHANS CELLS)

How well did you know this?
1
Not at all
2
3
4
5
Perfectly
10
Q
A

(stratum granulosum)

KERATOHYALIN GRANULES

How well did you know this?
1
Not at all
2
3
4
5
Perfectly
11
Q
A

(only in very thick skin)

STRATUM LUCIDUM

How well did you know this?
1
Not at all
2
3
4
5
Perfectly
12
Q

Tissue type ?

A

(dermis)

PAPILLARY LAYER
-loose areolar connective tissue

How well did you know this?
1
Not at all
2
3
4
5
Perfectly
13
Q
A

(dermis)

PAPILLARY CAPILLARIES

How well did you know this?
1
Not at all
2
3
4
5
Perfectly
14
Q
A

(dermis)

RETICULAR LAYER
-dense irregular connective tissue

How well did you know this?
1
Not at all
2
3
4
5
Perfectly
15
Q
A

(dermis)

ECCRINE SWEAT GLAND

How well did you know this?
1
Not at all
2
3
4
5
Perfectly
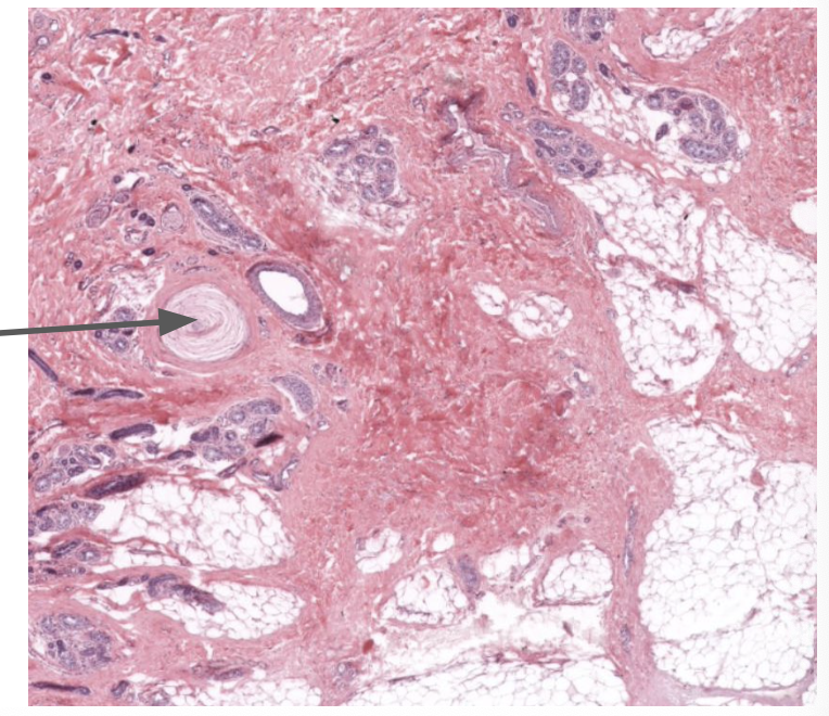
16
Q
A

(dermis)

LAMELLATED (PACINIAN) CORPUSCLE

How well did you know this?
1
Not at all
2
3
4
5
Perfectly
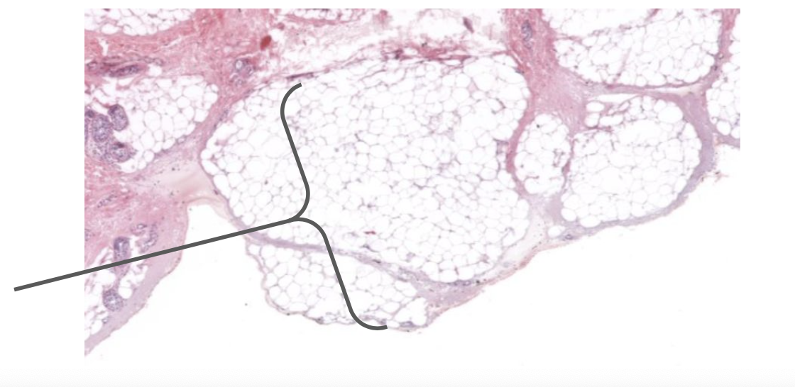
17
Q
A

(dermis)

SUBCUTANEOUS LAYER
-HYPODERMIS
-SUPERFICIAL FASCIA

How well did you know this?
1
Not at all
2
3
4
5
Perfectly
18
Q
A

(thin skin epidermis)

STRATUM GRANULOSUM

How well did you know this?
1
Not at all
2
3
4
5
Perfectly
19
Q
A

(thin skin epidermis)

EPIDERMAL RIDGE

How well did you know this?
1
Not at all
2
3
4
5
Perfectly
20
Q
A

(thin skin epidermis)

STRATUM BASALE/GERMINATIVUM

How well did you know this?
1
Not at all
2
3
4
5
Perfectly
21
Q
A

(thin skin epidermis)

STRATUM CORNEUM

How well did you know this?
1
Not at all
2
3
4
5
Perfectly
22
Q
A

(thin skin epidermis)

STRATUM SPINOSUM

How well did you know this?
1
Not at all
2
3
4
5
Perfectly
23
Q
A

(thin skin dermis)

ECCRINE SWEAT GLAND

How well did you know this?
1
Not at all
2
3
4
5
Perfectly
24
Q
A

(thin skin dermis)

RETICULAR LAYER

How well did you know this?
1
Not at all
2
3
4
5
Perfectly
25
(thin skin dermis) PAPILLARY LAYER
26
HAIR FOLLICLE
27
ARRECTOR PILI MUSCLE
28
(hair scalp) INTERNAL ROOT SHEATH
29
(hair scalp) HAIR SHAFT
30
(hair scalp) GLASSY MEMBRANE
31
(hair scalp) EXTERNAL ROOT SHEATH
32
(thin) MELANOCYTE
33
(thick) MELANOCYTE
34
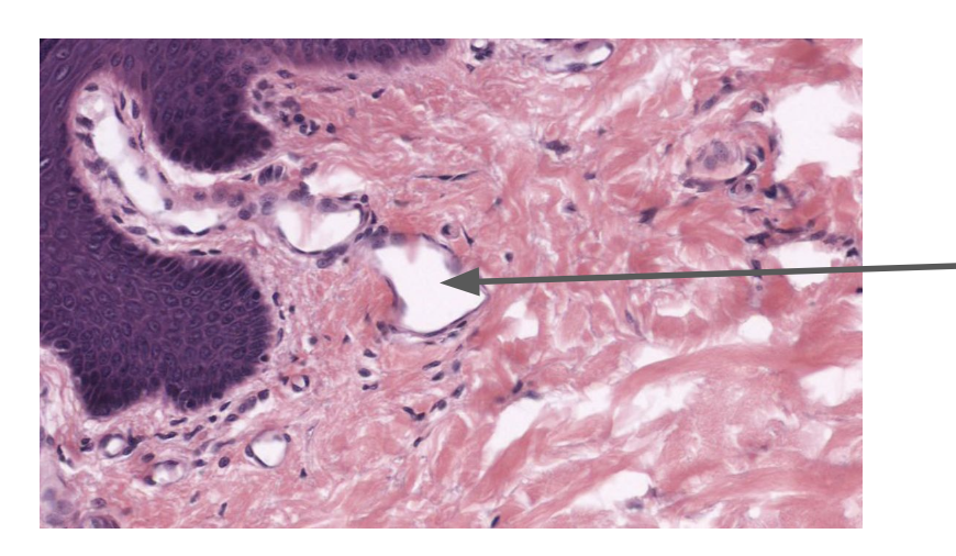
ECCRINE GLANDS
35
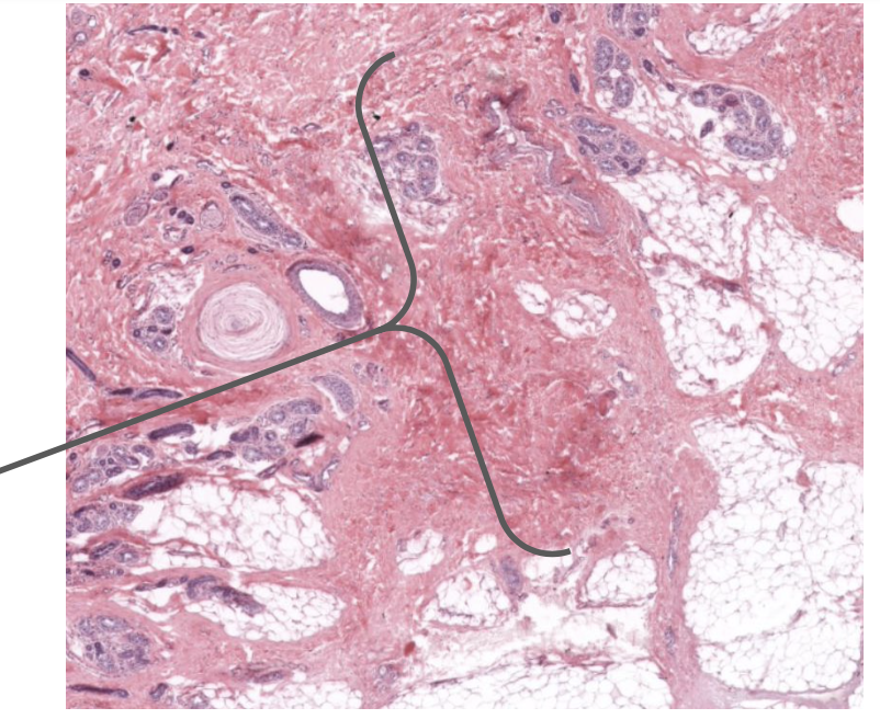
APOCRINE GLANDS
36
(fetal finger) HYPONYCHIUM
37
(fetal finger) NAIL BED
38
(fetal finger) NAIL PLATE
39
(fetal finger) EPONYCHIUM / CUTICLE
40
(fetal finger) NAIL ROOT
41
(fetal finger) NAIL MATRIX
42
(fetal finger) LAMELLATED (PACINIAN) CORPUSCLE
43
(fetal finger) MEROCRINE (ECCINE) SWEAT GLAND
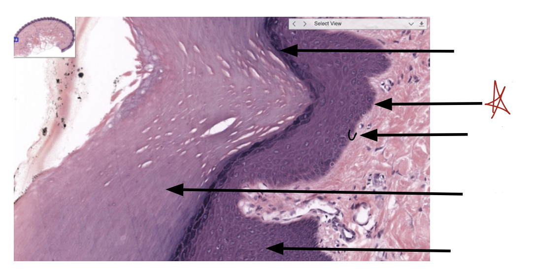
44
(human scalp) CORTEX (HAIR)
45
(human scalp) EXTERNAL ROOT SHEATH
46
(human scalp) INTERNAL ROOT SHEATH
47
(human scalp) MEDULLA (HAIR)
48
(human scalp) HAIR BULB
49
(human scalp) HAIR SHAFT
50
(human scalp) SEBACEOUS GLANDS
51
(human scalp) CUTICLE
52
(human scalp) HAIR ROOT
53
(human scalp) HAIR MATRIX
54
(human scalp) HAIR PAPILLA
55
(human scalp) FOLLICLE WALL
56
(human scalp) ARRECTOR PILI MUSCLE
57
58
59
what dermis layer contains many cells arranged in a sheet?
epidermis
60
what dermis layer is vascular?
dermis
61
what dermis layer contains sensory receptors?
epidermis dermis
62
what dermis layer consists of dense irregular connective tissue?
dermis
63
what dermis layer regenerates quickly?
epidermis
64
what dermis layer consists of stratified squamous epithelial tissue?
epidermis
65
burn that causes pain and blistering of skin
second degree -partial thickness burn
66
burn that is characterized by redness and pain such as sunburn
first degree -superficial burn
67
burn that there is often little pain due to destruction of nerves and underlying tissue
third degree -full thickness burn
68
69
epidermal ridge
70
what two layers make up the dermis
papillary layer reticular layer
71
gland that secretes oil into the hair follicle
sebaceous gland
72
sebaceous gland
73
what stores melanin and what is it stored in
melanocytes stored in melanosomes
74
75
76
77
nail root
78
apocrine gland
79
apocrine gland