tissues (L3) Flashcards

(24 cards)

1
Q
A
  1. simple cuboidal epithelium
  2. apical surface
  3. basement membrane
How well did you know this?
1
Not at all
2
3
4
5
Perfectly
2
Q
A
  1. stratified cuboidal epithelium
  2. basement membrane
  3. apical surface
How well did you know this?
1
Not at all
2
3
4
5
Perfectly
3
Q
A
  1. simple squamous epithelium
  2. basement membrane
  3. apical surface
How well did you know this?
1
Not at all
2
3
4
5
Perfectly
4
Q
A
  1. stratified squamous epithelium (keratinized)
  2. basement membrane
  3. apical surface
How well did you know this?
1
Not at all
2
3
4
5
Perfectly
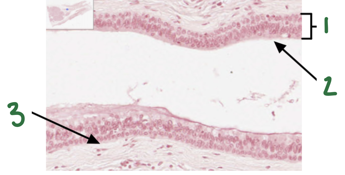
5
Q
A
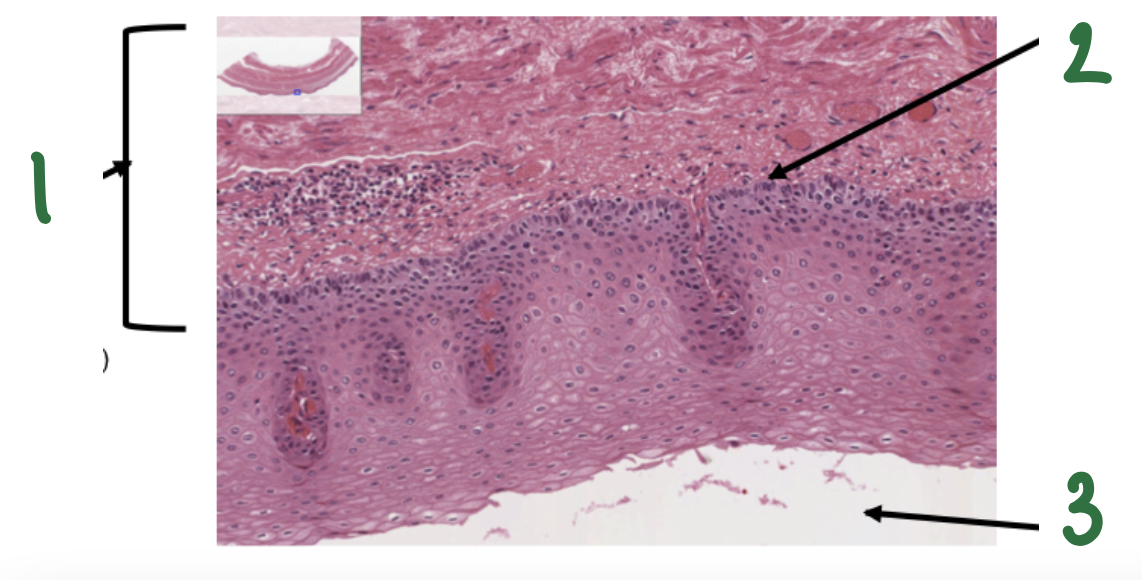
  1. stratified squamous epithelium (non-keratinized)
  2. basement membrane
  3. apical surface
How well did you know this?
1
Not at all
2
3
4
5
Perfectly
6
Q
A
  1. simple columnar epithelium
  2. basement membrane
  3. apical surface
How well did you know this?
1
Not at all
2
3
4
5
Perfectly
7
Q
A
  1. stratified columnar epithelium
  2. apical surface
  3. basement membrane
How well did you know this?
1
Not at all
2
3
4
5
Perfectly
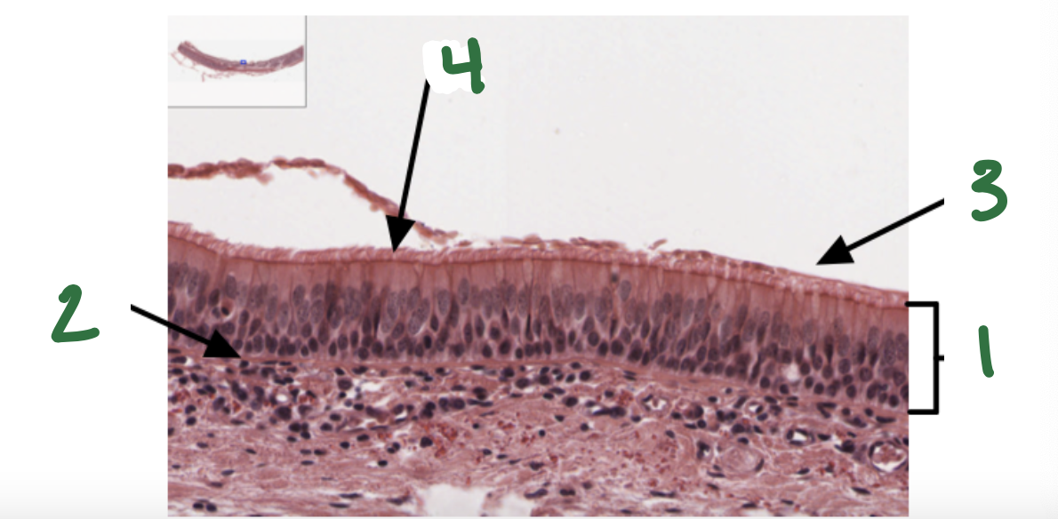
8
Q
A
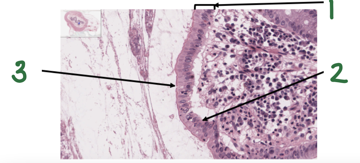
  1. pseudostratified ciliated columnar
  2. basement membrane
  3. apical surface
  4. cilia
How well did you know this?
1
Not at all
2
3
4
5
Perfectly
9
Q
A
  1. transitional epithelium
  2. apical surface
  3. basement membrane
How well did you know this?
1
Not at all
2
3
4
5
Perfectly
10
Q
A

areolar connective tissue

  1. lymphocyte
  2. elastin fibers (left)
    1. collagen (right)
  3. fibroblast
  4. macrophage
How well did you know this?
1
Not at all
2
3
4
5
Perfectly
11
Q
A

adipose connective tissue

  1. nucleus of adipocyte
  2. adipocyte
How well did you know this?
1
Not at all
2
3
4
5
Perfectly
12
Q
A

reticular tissue
(lymph node)

  1. reticular fibers
How well did you know this?
1
Not at all
2
3
4
5
Perfectly
13
Q
A

dense regular tissue
(tendon)

  1. fibroblast nuclei
  2. fibroblasts
  3. collagen fibers
How well did you know this?
1
Not at all
2
3
4
5
Perfectly
14
Q
A

elastic tissue
(aorta)

  1. dense regular tissue
  2. elastin fibers
How well did you know this?
1
Not at all
2
3
4
5
Perfectly
15
Q
A

dense irregular connective tissue
(dermis)

  1. collagen
  2. elastin fibers
How well did you know this?
1
Not at all
2
3
4
5
Perfectly
16
Q
A

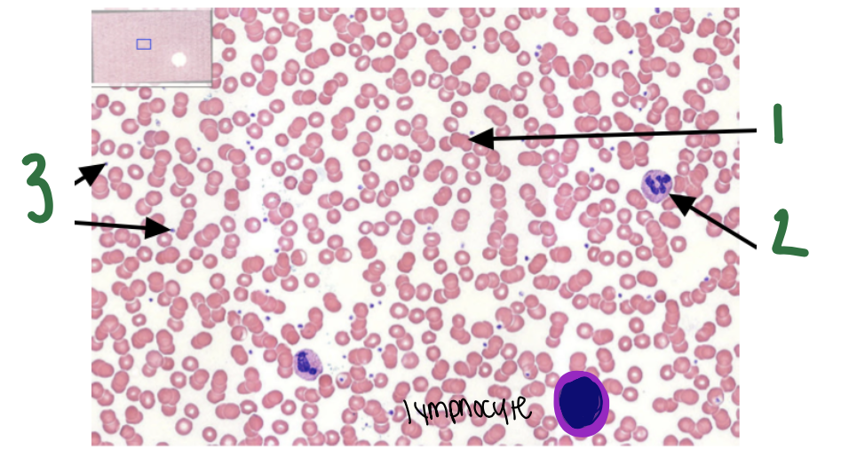
fluid connective tissue
(blood)

  1. erythrocyte
  2. neutrophil
  3. platelets
17
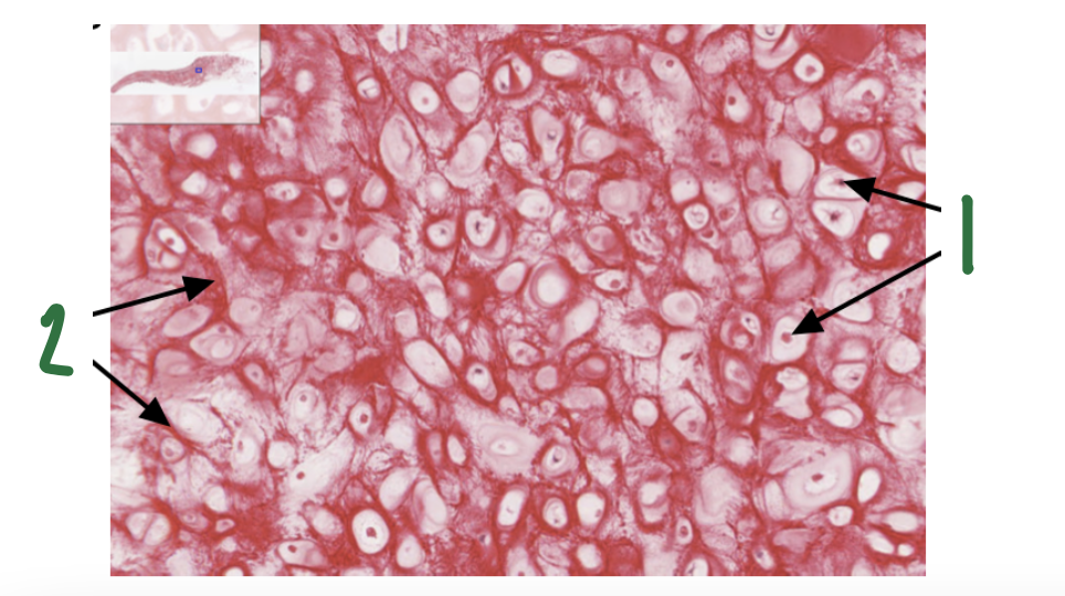
Q
A

hyaline cartilage
(trachea)

  1. collagen matrix
  2. chondrocyte
18
Q
A

elastic cartilage
(epiglottis)

  1. chondrocytes
  2. collagen matrix
19
Q
A

fibrocartilage
(intervertebral disc)

  1. chondrocytes
  2. collagen fibers
20
Q
A

bone connective tissue

  1. osteocyte
  2. central canal
  3. osteon
21
Q
A

skeletal/striated muscle tissue

  1. striations
  2. nucleus
  3. skeletal muscle fiber
22
Q
A

cardiac muscle
(ventricle)

  1. cardiac muscle fiber
  2. nuclei
  3. intercalated disc
23
Q
A

smooth muscle
(intestine)

  1. smooth muscle cell
  2. nuclei
24
Q
A

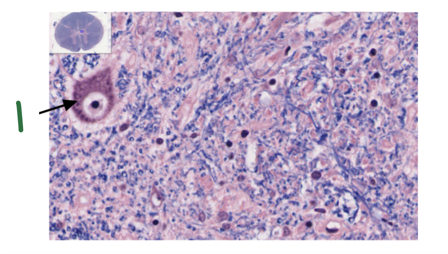
nervous tissue
(thoracic spinal cord)

  1. motor neuron with nuclei