Lab Module 20 Flashcards

(12 cards)

1
Q

What term refers to free gas in the peritoneal cavity?

A) Pneumoperitoneum
B) Pneuperitoneum
C) Pneumoperitonosis
D) Pneromoperitoneum

A

Correct Answer:
A) Pneumoperitoneum

How well did you know this?
1
Not at all
2
3
4
5
Perfectly
2
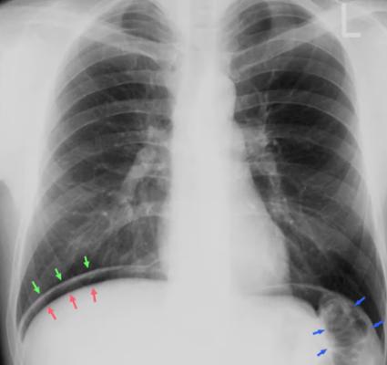
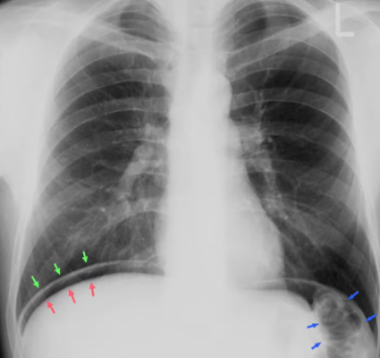
Q

The red arrows indicate the upper border of the (BLANK).

A) Stomach
B) Liver
C) Heart
D) Kidney

A

Correct Answer:
B) Liver

How well did you know this?
1
Not at all
2
3
4
5
Perfectly
3
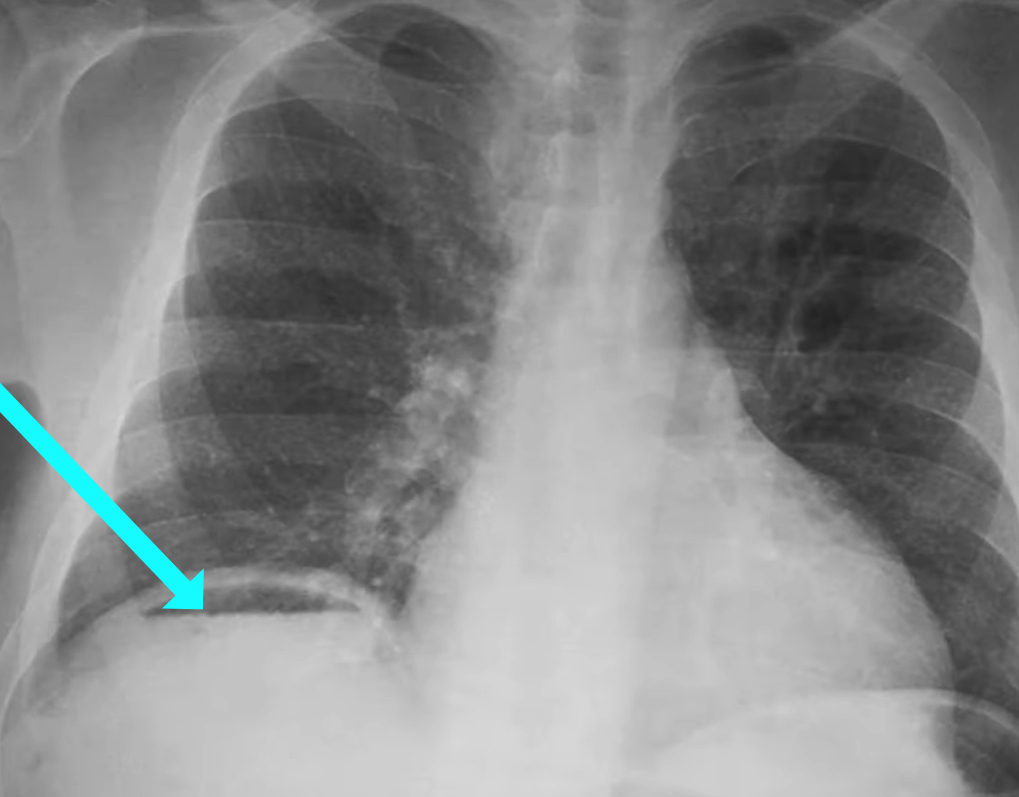
Q

To what structure is the arrow pointing?

A) Liver
B) Kidney
C) Air fluid level
D) Water fluid level

A

Correct Answer:
C) Air fluid level

How well did you know this?
1
Not at all
2
3
4
5
Perfectly
4
Q

To what structure are the arrows pointing?

A) Intestinal walls
B) Stomach
C) Kidney
D) Liver

A

Correct Answer:
A) Intestinal walls

How well did you know this?
1
Not at all
2
3
4
5
Perfectly
5
Q

To what structure are the arrows pointing?

A) Inner layers of the intestine
B) Inner and outer layers of the intestine
C) The caecum
D) Outer layers of the intestine

A

Correct Answer:
B) Inner and outer layers of the intestine

How well did you know this?
1
Not at all
2
3
4
5
Perfectly
6
Q

The emerging scientific field described in the passage focuses on mapping all non-genetic factors that influence human health over a lifetime. What is the term for this collection of chemical, physical, social, and biological exposures?

A) Proteome
B) Epigenome
C) Exposome
D) Metabolome

A

Correct Answer:
C) Exposome

How well did you know this?
1
Not at all
2
3
4
5
Perfectly
7
Q

Why are researchers increasingly interested in exposomic data when studying diseases such as Parkinson’s?

A) Environmental exposures affect only short-term health outcomes.
B) Exposomic data is easier to collect than genetic information.
C) Genetic mutations are responsible for nearly all cases of parkinson’s.
D) Environmental factors are estimated to contribute to the majority of disease risk.

A

Correct Answer:
D) Environmental factors are estimated to contribute to the majority of disease risk.

How well did you know this?
1
Not at all
2
3
4
5
Perfectly
8
Q

What is the long-term goal of integrating exposomic data into health research and clinical practice?

A) To convert large amounts of exposure data into individualized health solutions
B) To standardize global environmental policies
C) To replace medical imaging with environmental screening
D) To eliminate the need for genetic testing

A

Correct Answer:
A) To convert large amounts of exposure data into individualized health solutions

How well did you know this?
1
Not at all
2
3
4
5
Perfectly
9
Q

According to the AAMC, how might exposomics become part of routine medical care in the future?

A) By requiring environmental testing before all medical procedures
B) By including each patient’s exposomic profile in their electronic medical record
C) By eliminating the need for clinical laboratory tests
D) By replacing traditional vital signs with exposure measurements

A

Correct Answer:
B) By including each patient’s exposomic profile in their electronic medical record

How well did you know this?
1
Not at all
2
3
4
5
Perfectly
10
Q

What recent development demonstrates the growing momentum of the exposomics field in the United States?

A) FDA approval of exposome-based therapies
B) Nationwide requirement for environmental DNA sequencing
C) Creation of the network for exposomics in the united states (NEXUS)
D) Passage of federal legislation mandating exposure monitoring

A

Correct Answer:
C) Creation of the network for exposomics in the united states (NEXUS)

How well did you know this?
1
Not at all
2
3
4
5
Perfectly
11
Q

Why is exposomics considered an exceptionally large and complex scientific undertaking?

A) It focuses solely on genetic mutations, which are difficult to sequence accurately.
B) It studies only chemical exposures, which change too rapidly to measure.
C) It relies exclusively on clinical trials, which are expensive and slow.
D) It requires integrating expertise from multiple disciplines to map a person’s entire lifetime of exposures.

A

Correct Answer:
D) It requires integrating expertise from multiple disciplines to map a person’s entire lifetime of exposures.

How well did you know this?
1
Not at all
2
3
4
5
Perfectly
12
Q

Which of the following tools directly contributes to detecting thousands of chemical markers in biological samples such as blood or urine?

A) Wearable devices like the exposometer
B) Social determinants of health surveys
C) Non-targeted mass spectrometry
D) Geospatial satellites

A

Correct Answer:
C) Non-targeted mass spectrometry

How well did you know this?
1
Not at all
2
3
4
5
Perfectly