Lab Pract 2 Flashcards

(34 cards)

1
Q

Know 6 (twice)

A
  1. Red bone marrow B and T cells originate here and B cells go through maturation immunocompetence and develop receptors for antigens
How well did you know this?
1
Not at all
2
3
4
5
Perfectly
2
Q

Know 14 or 4

A
  1. Pharyngeal tonsil (when inflamed is known as Adenoids) one tonsil or 4
How well did you know this?
1
Not at all
2
3
4
5
Perfectly
3
Q

Know 2 and 5

A
  1. and 5 interstitial fluid (extracellular fluid) becomes lymph
How well did you know this?
1
Not at all
2
3
4
5
Perfectly
4
Q

Know 15, 5 and 12

A

15 Germinal center has large numbers of B lymphocytes when activated become plasma cells produce antibodies
5 amd 12 cortex

How well did you know this?
1
Not at all
2
3
4
5
Perfectly
5
Q

Know 13

A
  1. Thoracic duct lipid rich lymph
How well did you know this?
1
Not at all
2
3
4
5
Perfectly
6
Q

Know 7 and 10

A
  1. Uvula
  2. Internal nares (Chonae) bacteria pass up through this structure from pharynx to the para nasal sinuses
How well did you know this?
1
Not at all
2
3
4
5
Perfectly
7
Q

Know 3 and 6

A

3 and 6 Cricoid cartilage (complete ring)
below thyroid

How well did you know this?
1
Not at all
2
3
4
5
Perfectly
8
Q

know 10 and 11

A
  1. False vocal cord (ventricular fold)
  2. True vocal cord
How well did you know this?
1
Not at all
2
3
4
5
Perfectly
9
Q

Know 5 and 10

A

5 Diaphragm when contracted pressure in lungs relative the outside atmospheric presssure will go down boyles law
10 Bronchiole no cartilage
air moves in pressure lowers

How well did you know this?
1
Not at all
2
3
4
5
Perfectly
10
Q

Know 9

A

9 Ciliated simple columnar epithelium
all have cilia change with cancer

How well did you know this?
1
Not at all
2
3
4
5
Perfectly
11
Q

Know 11,12,13

A

11 Primary bronchus
supply’s a lung.
12.Secondary bronchus supply’s a lobe
13 Tertiary bronchus supply a bronchopulmonary segment (piece of a lobe

How well did you know this?
1
Not at all
2
3
4
5
Perfectly
12
Q

know 1 and 4

A

1 Respiratory bronchiole begins the respiratory zone
4 Alveoli end of conducting zone
Answer none of the above
no conducting zone in beging nose

How well did you know this?
1
Not at all
2
3
4
5
Perfectly
13
Q

know 9

A
  1. Parietal pleura
How well did you know this?
1
Not at all
2
3
4
5
Perfectly
14
Q

know 3 and 8

A

3 Middle lobe only on rt lung
8 Cardiac notch on left lung
2 bordering fisher

How well did you know this?
1
Not at all
2
3
4
5
Perfectly
15
Q

know 7 and 10

A

7 Alveolar ducts
10 Alveolar sacs

How well did you know this?
1
Not at all
2
3
4
5
Perfectly
16
Q

Know what 1-3 do and 4-7 do

A

1 Sternocleidomastoid
2 Scalenes
3 Pectoralis minor
1-3 forced inhalation running up staircase

  1. Rectus abdominis
  2. External abdominal oblique
  3. Internal abdominal oblique
  4. Transvers abdominis
    4-7 plus 9 are for force exhalation candles on b cake
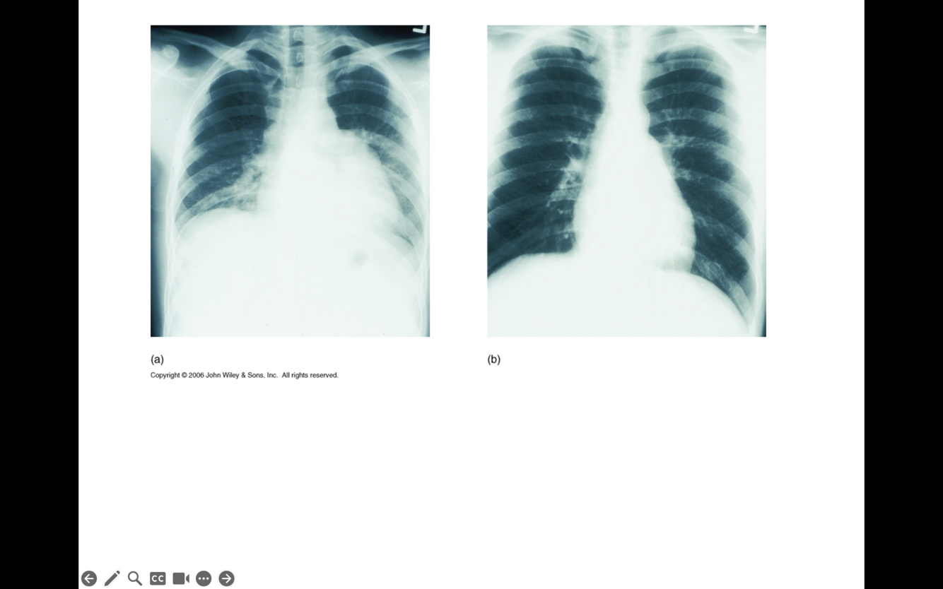
17
Q

know A and B

A

(a) x-ray show s exhalation

(b) X-ray shows inhalation

18
Q

know if it increases or decreases
know happens when punctured

A

1 punctured = 5 increase pressure (atelectasis collapsed lung caused by pneumothorax)

increases

19
Q

know a

A

(a) Emphysema
Only emphysema decrease lung compliance

20
Q

know number 5

21
Q

know the layers

A

1 Mucosa
Lamina Propria loose areolar connective tissue
2 Submucosa
3 Serosa or Visceral Peritoneum
4 Muscularis Externa controlled by
MYENTERIC plexus of Nerves

22
Q

know 3, 4,7

A

3 Mesocolon
4 Mesentery
7 Visceral peritoneum or Serosa
No falciform ligement

23
Q

know 2

A

2 Soft palate swings up during deglutition swallowing

24
Q

know 2,4,11,12

A

2 Cardia region
4 Lesser curvature
11 Folds in gastric mucosa RUGAE
12 Pylorus

25
know 11,12,13,14,22
11 Ileum 12 Ileocecal valve 13 Cecum 14 Appendix 22 Sigmoid colon
26
know 1
1 Parotid gland Mumps infection
27
know 16
16. Cementum anchors tooth to periodontal ligament is 18
28
know 6,7,8,9,10
6 Falciform ligament 7 Lt lobe of liver 8 Left hepatic duct 9 Common hepatic duct 10 Common Bile duct
29
know 21 and 23
21 Quadrate lobe of liver 23 Caudate lobe of liver
30
know 13,14,15
15 Villus 1 mm tall 13 Simple columnar epithelium cell has MICROVILLI which produce the brush border enzymes SUCRASE which will break down Sucrose cane sugar 14. Goblet cell produces alkaline mucous
31
know 3, 4, 6
3 Inner circular layer of smooth muscle 4 Outer longitudinal smooth muscle 6 Submucosa
32
know 4,5,7
4 Sinusoid capillaries (kuppef cells) 5 Triad branch of hepatic portal vein, Hepatic artery, bile duct 7 Hepatocytes produce bile
33
know all
3 Folds in gastric mucosa RUGAE 4 Duodenum 5 Pyloric sphincter **6 Pylorus**
34
know 8,9,10
9. Appendix 9 close to the ileocecal valve 8. Hastra (pockets only on large intestine colon) 10. Sigmoid colon desencing not labled on test