Lab Practical 3 Flashcards

(50 cards)

1
Q

Qeustion 1) Know 2

A

B. ureter kinks 2

How well did you know this?
1
Not at all
2
3
4
5
Perfectly
2
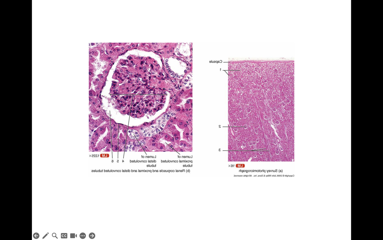
Q

Question 2) Know 2

A

A . 2 Renal cortex

How well did you know this?
1
Not at all
2
3
4
5
Perfectly
3
Q

Qeustion 3) Know 3

A

C. 3 Renal cortex

How well did you know this?
1
Not at all
2
3
4
5
Perfectly
4
Q

Qeustion 4) Know 6

A

A. Acute artery (different picture)

How well did you know this?
1
Not at all
2
3
4
5
Perfectly
5
Q

Qeustion 5) Know 5

A

C. 5 Trigone

How well did you know this?
1
Not at all
2
3
4
5
Perfectly
6
Q

Qeustion 6) Know 5 and 6

A

5 DCT ADH and 6 CD ADH

How well did you know this?
1
Not at all
2
3
4
5
Perfectly
7
Q

Qeustion 7) Know 18

A

E. 18 Urogenital diaphram

How well did you know this?
1
Not at all
2
3
4
5
Perfectly
8
Q

Qeustion 8) Know 6 ( white part)

A

C. 6 Capsular space

How well did you know this?
1
Not at all
2
3
4
5
Perfectly
9
Q

Qeustion 9) Know 9

A

D. 9 Spongey uretha

How well did you know this?
1
Not at all
2
3
4
5
Perfectly
10
Q

Qesution 10) Know 4

A

C. muscosa

How well did you know this?
1
Not at all
2
3
4
5
Perfectly
11
Q

Qesution 11) Know 11

A

A. Major Calyx

How well did you know this?
1
Not at all
2
3
4
5
Perfectly
12
Q

Qeustion 12) know 2

A

d. 2 Tunica albuginea

How well did you know this?
1
Not at all
2
3
4
5
Perfectly
13
Q

Qeustion 13) Know 4

A

D. 4 rete testis

How well did you know this?
1
Not at all
2
3
4
5
Perfectly
14
Q

Qeustion 14) know 8

A

B. Ductus vas deferens

How well did you know this?
1
Not at all
2
3
4
5
Perfectly
15
Q

Qeustion 15) Know 4

A

C. Membranous urethra

How well did you know this?
1
Not at all
2
3
4
5
Perfectly
16
Q

Qeustion 16) Know 1

A

A. 1 seminal vessical

How well did you know this?
1
Not at all
2
3
4
5
Perfectly
17
Q

Qeustion 17) Know 4 and 12

A

C. 4 and 12 Corpus spongiosum

How well did you know this?
1
Not at all
2
3
4
5
Perfectly
18
Q

Qeustion 18)

A

C

How well did you know this?
1
Not at all
2
3
4
5
Perfectly
19
Q

Qeustion 19) (Trick)

A

E. none of the above

How well did you know this?
1
Not at all
2
3
4
5
Perfectly
20
Q

Qeustion 20) Know 9

A

B. 9 secondary spermatocyte n hapliod

How well did you know this?
1
Not at all
2
3
4
5
Perfectly
21
Q

Qeustion 21) Know 4

A

D. 4 Interstitial or leydig cell produce testerone

22
Q

Qeustion 22) Know 3

A

B. 3 Isthmus narrow site where std or pid can result in ectopic pregancy

23
Q

Qeustion 23) know 5

A

B. round ligament

24
Q

Qeustion 24) Know 5

A

B. Round ligament

25
Qeustion 25) Know 8
C. 8 Labia Majora
26
Qeustion 26) Know 6
A. 6 Prepuce
27
Qeustion 27) Know 4
D. 4 Lactiferous Duct
28
Qeustion 28) Know 4
C. 4 Uterine tube
29
Qeustion 29) Know 3
3. Fertilization
30
Qeustion 30 )
e. Secondary
31
Qeustion 31) Know 13
C. 13 Antram
32
Qeustion 32) Know 4
D. 4 basalis
33
Qeustion 33) Know 4
D. 4 Inner cell mass of blastocyst becomes bilaminar disc and becomes the trilaminar disc (embryo)
34
Qeustion 34) Know 5
C. 5 Umbilical artery (Blue)
35
Question 35) Know what y mean
A. Male ( Y= Male)
36
Qeustion 36) Know 4
D. 4 Spermatic artery and pampiniform plexus of vein
37
# **** Qeustion 37) Know 1
A. 1 Apulla
38
Qeustion 38) Know 1
A. 1 Seminal vesical
39
Qeustion 39) Know 11
B. Corpora Cavenosa
40
Qeustion 40) Know 10
B. 10 Sertoli cells
41
Qeustion 41) Know 2
E. 2 Myometrium
42
Qeustion 42) Know 5
D. 5 Fimbrae
43
Qeustion 43) trick
E. None of the above
44
Qeustion 44) Know 7
E. 7 corpus luteum
45
Qeustion 45) Trick
E. none of the above
46
Qeustion 46) know 3
C. 3 functionalis
47
Qeustion 47) (D)
D
48
Qeustion 48) Know 2
B. 2 Dartos muscle
49
Qeustion 49) Know 1
A. 1 Afferent art
50
Qeustion 50) Know 1
D. 1 sphincter