Lab Practical 1 Flashcards

(41 cards)

1
Q
A

simple squamous - gland celll

How well did you know this?
1
Not at all
2
3
4
5
Perfectly
2
Q
A

plasma cell

I = mictochondrion

O = ER

G = Golgi body

P = pore

How well did you know this?
1
Not at all
2
3
4
5
Perfectly
3
Q
A

cell membrane

How well did you know this?
1
Not at all
2
3
4
5
Perfectly
4
Q
A

golgi body and vacuole

G = Golgi appartus

U = Vacuole

How well did you know this?
1
Not at all
2
3
4
5
Perfectly
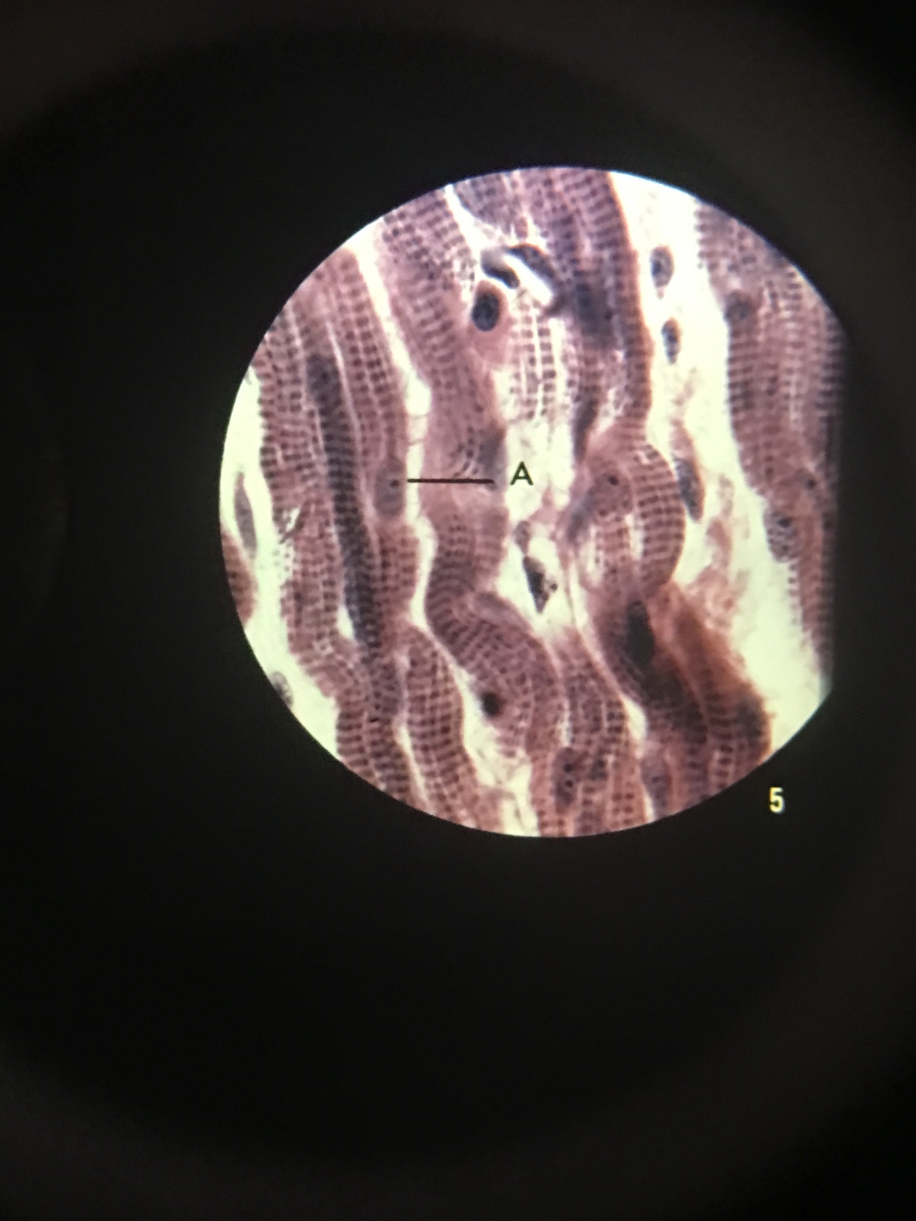
5
Q
A

mitochondrion

How well did you know this?
1
Not at all
2
3
4
5
Perfectly
6
Q
A

red = golgi appartus

blue = smooth ER

blue with orange dots = rough ER

purple = nucleus

How well did you know this?
1
Not at all
2
3
4
5
Perfectly
7
Q
A

red = mitochodria

green = rough ER

purple = Golgi appartus

yellow = centrosomes

How well did you know this?
1
Not at all
2
3
4
5
Perfectly
8
Q
A

simple squamous

A = very fine blood vessels

B = protective covering

How well did you know this?
1
Not at all
2
3
4
5
Perfectly
9
Q
A

simple squamous - cheek cell

How well did you know this?
1
Not at all
2
3
4
5
Perfectly
10
Q
A

pseudostratified ciliated columnar

A = epithelim

L = cilia

D = duct

G = gland

How well did you know this?
1
Not at all
2
3
4
5
Perfectly
11
Q
A

stratified squamous

A = food passage

B = epithelium

C = duct

How well did you know this?
1
Not at all
2
3
4
5
Perfectly
12
Q
A

simple cubodial

B = fibrous connective tissue

G = gland

How well did you know this?
1
Not at all
2
3
4
5
Perfectly
13
Q
A

areolar

How well did you know this?
1
Not at all
2
3
4
5
Perfectly
14
Q
A

adipose

A = nucleus

B = blood vessel

How well did you know this?
1
Not at all
2
3
4
5
Perfectly
15
Q
A

cartilage

G = gland

B = fibrous connective tissue

D = hard ring

How well did you know this?
1
Not at all
2
3
4
5
Perfectly
16
Q
A

blood (cartilage)

A, B, C = white blood cells

P = platelets

R = red blood cells

How well did you know this?
1
Not at all
2
3
4
5
Perfectly
17
Q
A

cartilage

C = cells

R = rubbery substance

18
Q
A

blood

A, B = white blood cells

19
Q
A

bone

A = bone cell

B = blood vessels and nerves run through that tube

20
Q
A

bone

A = bone cell

B = tube containing blood vessels and nerves

C = canals

21
Q
A

bone

T = bone cells

C = calcium phosphate

H = haversian canals

22
Q
A

membranous bone

a = bone cells

h = canal

m = matrix

23
Q
A

skeletal

a = cell nucleus

24
Q
A

skeletal

a = cell nucleus

25
skeletal muscle cell a = dark bands (thick and thin) i = light band (thin) z = dark line h = light zone
26
smooth A = cell
27
smooth A = cell
28
cardiac A, B = branching cells C = small blood vessel
29
nervous N = nucleus
30
nervous A = nucleus B= small blood vessel
31
what bones are shown in figure 1?
phalanges
32
what bones are shown in figure 2?
metatarsals
33
34
what bones are shown in figure 3?
tarsals
35
what bones are shown in figure 4?
calcaneus
36
what bones are shown in figure 1?
carpals
37
what bones are shown in figure 2?
metacarpals
38
what bones are shown in figure 3?
phalanges
39
Immovable Joints
Synarthroses - sutures of skull - ephphyseal plates of growing bones
40
Slightly Movable
amphiarthroses - between bodies of vertebrae - pubic symphysis - between tibia and fibula, distal end - sacroiliac joint
41
Movable
diarthroses -everything else