LAB practical Flashcards

(29 cards)

1
Q

What are the 4 blood type groups

A

A, B, AB, O

How well did you know this?
1
Not at all
2
3
4
5
Perfectly
2
Q

Which antigens are on the surface of RBC’s

A

A and B antigen

How well did you know this?
1
Not at all
2
3
4
5
Perfectly
3
Q

ident. and what they do

A

stimulated blood sample by name, unknown for testing for blood type/antigen

How well did you know this?
1
Not at all
2
3
4
5
Perfectly
4
Q

3 different serums together PICTURE

A

will cause agglutination clumping when they detect the corresponding antigen

How well did you know this?
1
Not at all
2
3
4
5
Perfectly
5
Q

LAB2 HEMATOLOGY plastic tray

A

blood and anti-sera are well mixed

How well did you know this?
1
Not at all
2
3
4
5
Perfectly
6
Q

LAB 2 HEMATOLOGY Toothpicks

A

used for mixing the liquids , new one for each well to prevent cross contamination

How well did you know this?
1
Not at all
2
3
4
5
Perfectly
7
Q

Which blood type is this ?

A

B

How well did you know this?
1
Not at all
2
3
4
5
Perfectly
8
Q

which blood type is this?

A

O

How well did you know this?
1
Not at all
2
3
4
5
Perfectly
9
Q

which blood type is this ?

A

A

How well did you know this?
1
Not at all
2
3
4
5
Perfectly
10
Q

what blood types can donate to a person with a blood type of AB?

A

All

How well did you know this?
1
Not at all
2
3
4
5
Perfectly
11
Q

what antibodies are in the plasma of someone with type O

A

both Anti A and B

How well did you know this?
1
Not at all
2
3
4
5
Perfectly
12
Q

Name the preparation of the slide

A

blood smear

How well did you know this?
1
Not at all
2
3
4
5
Perfectly
13
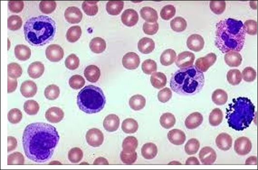
Q

LAB 2 HEMATOLOGY
what blood cells are agranular ?

A

monocytes and lymphocytes

How well did you know this?
1
Not at all
2
3
4
5
Perfectly
14
Q

name this machine

A

hemoglobinometer

How well did you know this?
1
Not at all
2
3
4
5
Perfectly
15
Q

what does it measure

A

amount of hemoglobin in whole blood G/dL

How well did you know this?
1
Not at all
2
3
4
5
Perfectly
16
Q

what is the normal range of hemoglobin for males ?

17
Q

what is the range for females ? Hemoglobin

18
Q

is this a normal hemoglobin for a female? 12.9 ?

19
Q

LAB 3 HEMATOLOGY name this test

20
Q

name the following materials and what they are for

A

microcentrifuge& spins the capillary tube to pack the red blood cells

21
Q

name the following materials and what they are for

A

heparinized capillary tubes& holds the blood sample and heparin prevents clotting

22
Q

name the following materials and what they are for

A

critoseal & clay to plug one open end of the capillary tube during centrifugation

23
Q

LAB 3 calculate the hematocrit

Length of packed blood cells in tube (mm)
Total length of blood column in tube (mm) x 100 = % hematocrit

24
Q

LAB3 HEMAcrit follow up is 32.8 % normal for a male ?

A

no , the normal range is 42-52

25
3. What is a normal range of hematorcrit for females?
37- 47%
26
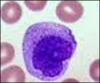
name the formed elements
lymphocyte
27
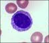
name the formed elements
monocyte
28
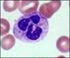
name the formed elements
neutrophil
29