LAB practical 2 Flashcards

(13 cards)

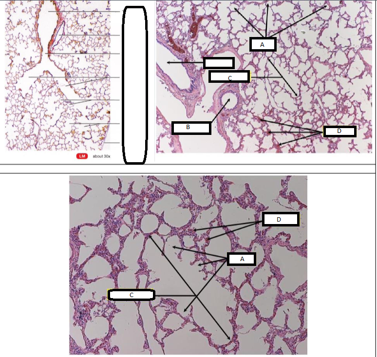
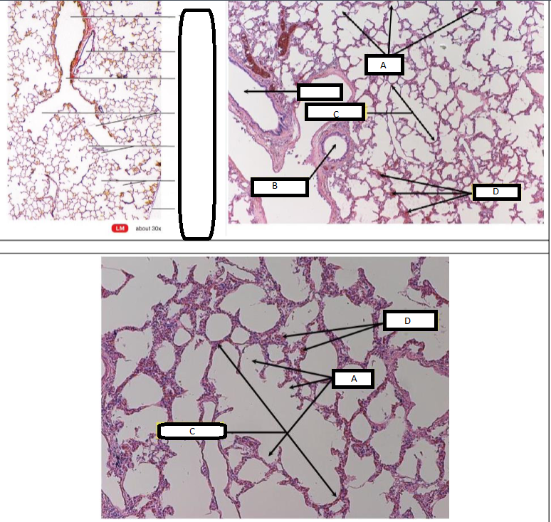
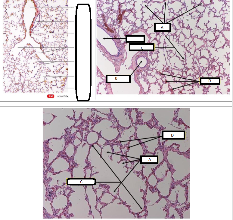
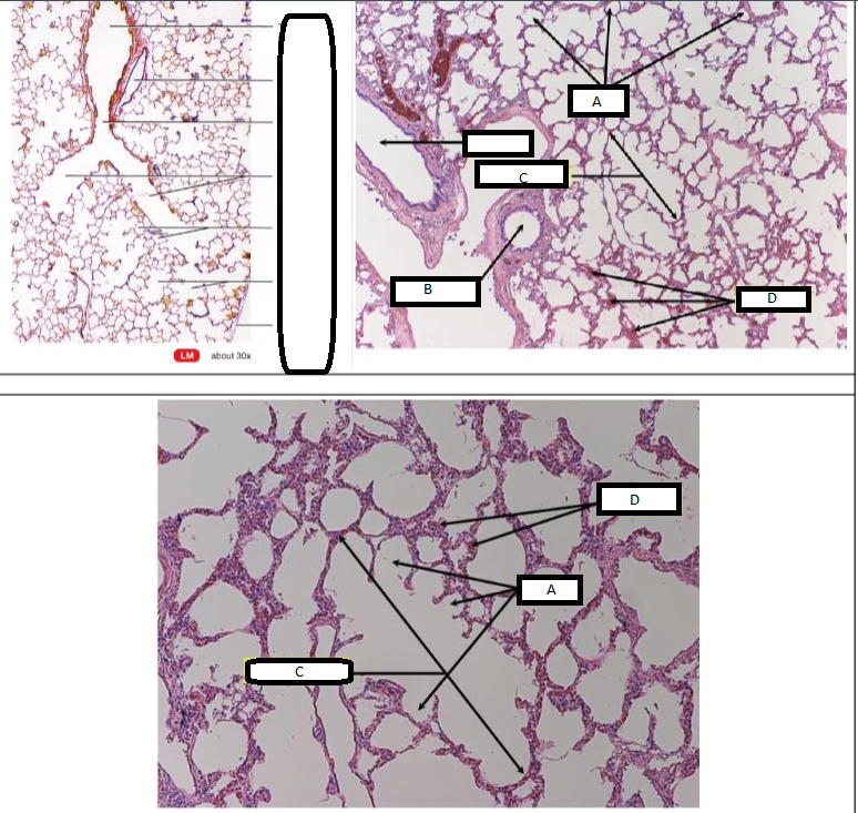
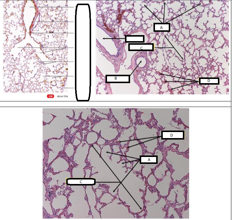
1
Q

What is A ?

A

alveoli/ alveolus

How well did you know this?
1
Not at all
2
3
4
5
Perfectly
2
Q

What is B

A

Bronchi

How well did you know this?
1
Not at all
2
3
4
5
Perfectly
3
Q

What is C

A

alveolar sac

How well did you know this?
1
Not at all
2
3
4
5
Perfectly
4
Q

what is letter D ?

A

capillaries

How well did you know this?
1
Not at all
2
3
4
5
Perfectly
5
Q

What organ can you find this at/ is?

A

The lung

How well did you know this?
1
Not at all
2
3
4
5
Perfectly
6
Q

what organ can you find this at?

A

trachea

How well did you know this?
1
Not at all
2
3
4
5
Perfectly
7
Q

what letter is D

A

cilla

How well did you know this?
1
Not at all
2
3
4
5
Perfectly
8
Q

what is A ?

A

thyroid cartilage / larynx

How well did you know this?
1
Not at all
2
3
4
5
Perfectly
9
Q

what is C ?

A

right lung

How well did you know this?
1
Not at all
2
3
4
5
Perfectly
10
Q

what is H ?

A

small intestine

How well did you know this?
1
Not at all
2
3
4
5
Perfectly
11
Q

what is G

A

stomach

How well did you know this?
1
Not at all
2
3
4
5
Perfectly
12
Q

what is I ?

A

sigmoid colon

How well did you know this?
1
Not at all
2
3
4
5
Perfectly
13
Q
A
How well did you know this?
1
Not at all
2
3
4
5
Perfectly