Lab Session - Respiratory System Flashcards

(28 cards)

1
Q
A

There is a thrombus here.
Both on the left and right
Mdx: Pulmonary thrombosis

How well did you know this?
1
Not at all
2
3
4
5
Perfectly
2
Q

What is the Mdx?
List two possible causes. (This is a dog)

A

Pulmonary thrombosis
Causes:
1. Heartworm - Difolaria immitis
2. Renal failure associated primarily with glomerular disease.
3. Hyperadrenocorticism
- antithrombin 3 is one of the main thrombin factors, it is lost through the glomerular filtrate and eliminated in the urine. loss of antithrombin 3 –> pulmonary thrombosis

How well did you know this?
1
Not at all
2
3
4
5
Perfectly
3
Q
A

Ulcerative, hemorrhagic larynigitis
BHV-1
Infectious bovine rhino tracheitis –> produces intra-nuclear inclusion bodies

How well did you know this?
1
Not at all
2
3
4
5
Perfectly
4
Q
A

Ulcerative, fibrinous, hemorrhagic laryngitis
How to confirm diagnosis? IHC

How well did you know this?
1
Not at all
2
3
4
5
Perfectly
5
Q
A

This is a dorsal view of the larynx of a horse.
Below is the epiglottis, artenoid cartilage (pointy)

How well did you know this?
1
Not at all
2
3
4
5
Perfectly
6
Q

xx

A
How well did you know this?
1
Not at all
2
3
4
5
Perfectly
7
Q

What are we looking at?
What is the MgDx?
Etiologic Dx?
Etiologic Agent?

A
  1. Looking at the inside of the larynx of a steer.
  2. Ulcerative, fibrinous laryngitis?
  3. Infectious bovine rhinotracheitis
  4. Bovine herpesvirus 1
How well did you know this?
1
Not at all
2
3
4
5
Perfectly
8
Q
A

Horse
Dorsal larynx
layngeal muscles (carcoid; an abductor muscle –> produces roaring sound)–> Unilateral
atrophy
MgDx –> Unilateral Laryngeal muscle atrophy.
Condition: Laryngeal hemiplegia
- Peripheral neuropathy affecting the left recurrent laryngeal nerve.

How well did you know this?
1
Not at all
2
3
4
5
Perfectly
9
Q

Degeneration of nerve =

A

neuropathy

How well did you know this?
1
Not at all
2
3
4
5
Perfectly
10
Q

Tissues from a pig

A

This is a pneumonia (inflammatory process infecting the lungs)
Lesions are scattered throughout the lungs, which is compatible with an embolic type of pneumonia. Enters lungs through inhalation or hematogenously (blood).

Etiologic Agent: Bacteria (typically produce embolic pneumonia); nodular lesions surrounded by a dark rim.

How well did you know this?
1
Not at all
2
3
4
5
Perfectly
11
Q

Tissue from a steer

A

MgDx: Fibrino-necrotic pneumonia
These areas of the lungs would be consolidated, more congested, heavy. The caudal portion of the lungs are normal.

Etiologic Agent: Mannhemia hemolytica
Etiologic Dx: Shipping fever
DDx: Histophila somni will occasionally produce a fibrinous pneumonia.
How to differentiate? Mannhemia is more necrotic than hisotphilus somni (specifically coagulative necrosis).

How well did you know this?
1
Not at all
2
3
4
5
Perfectly
12
Q
A

Fibrino-suppurative necrotizing pneumonia
Why? B/c see consolidation in the cranial portion of the lungs.
Entered via hematogenous route ? Entered into bronchi via breathing.
A lot of fibrin on the surface. Will probably find a lot of fibrin in the costal pleura as well.

How well did you know this?
1
Not at all
2
3
4
5
Perfectly
13
Q

This is tissue from a pig.

A

Description: Multifocal to locally extensive slightly raised areas of discoloration.

MgDx: Hemorrhagic necrotizing pneumonia (there is a little bit of fibrin, but not as much)
Etiologic Dx: Porcine caudal pneumonia
Etiologic agent: Actinobacillus pleuropneumonia

How well did you know this?
1
Not at all
2
3
4
5
Perfectly
14
Q

This is a tissue from a foal

A

Areas of hemorrhage that appear to be linear due to foreign body ingestion. But in this case, it is aspiration; This foal died from aspiration pneumonia

How well did you know this?
1
Not at all
2
3
4
5
Perfectly
15
Q

Tissues from a young horse.
MgDx?

A

Multifocal pyogranulomatous pneumonia (in foals, whenever you see in the lungs any kind of suppurative

How well did you know this?
1
Not at all
2
3
4
5
Perfectly
16
Q

MgDx?

A

MgDx: Multifocal pyogranulomatous pneumonia

Etiologic Dx: Rhodococcus equi pneumonia

17
Q
A

Congenital pulmonary actiletisis
Could have been due to dystocia

19
Q

MgDx?

A

MgDx: Interstitial pneumonia
- Can also see rib impressions
- These changes can be subtle
Etiologic Dx: PRRS
Etiology: Viral pneumonia
DDx: PCV, influenza,

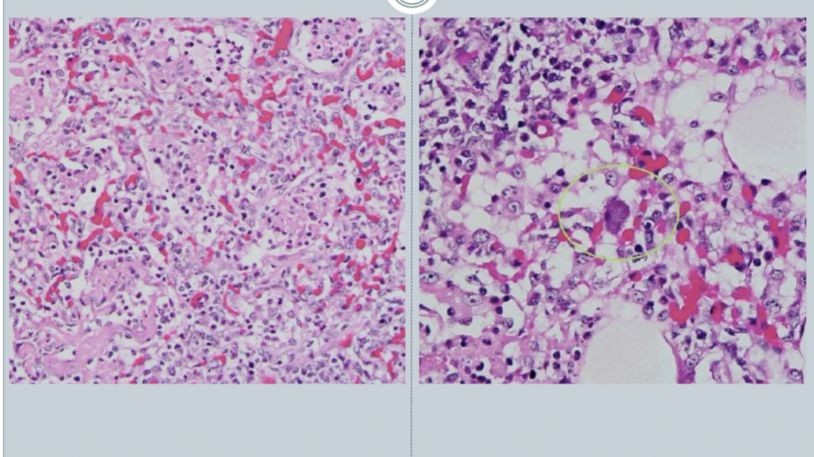
21
Q
A

interstitial and necrotizing pneumonia
microscopically seeing the presence of necrosis in the pulmonary tissue
some areas –> fibrin etc.
Get notes for this

22
Q
A

Suppurative exudate in the thorax.

Pyothorax
Lungs are small in size
Fluid compressing lungs = agalactesis
What happened in here?

23
Q
A

Multifocal pyogranulomatous pneumonia

24
Q
A

Recurrent airway obstruction or heaves in horses.
micrscopically you would see?
Areas of hyperinflation, emphysema.
Primarily confined to the caudal lung lobes and the coloring = darker, a lot of mucous accumulated inside.

characteristic histo: goblet cell metaplasia; you should not see goblet cells in the bronchioles, if you do maybe 1 or 2 are ok but more than that is bad

25
Atrophic rhinitis MgDx: Lateral deviation of nasal septum with unilateral asymmetry. Atrophy on both sides but more prominent on left side than on right. Bordatella bronchiseptica plays a more significant role, but atrophic rhinitis is multifactorial
26
Pyothorax Fibrinosuppurative pleuritis/pneumonia (if lungs are involved).
27
Etiologic Dx:
Mycotic. Why? greenish appearance, moldy looking. Mycotic air sacculitis
28
MgDx
Multifocal severe hemorrhagic granulomatous pneumonia Big thing to consider: Mycobacterium avium --> Avian TB