PNS Flashcards

(37 cards)

1
Q

How is the nervous system divided?

A

See below

How well did you know this?
1
Not at all
2
3
4
5
Perfectly
2
Q

dorsal root contains bipolar sensory neurons
spinal nerves have a motor component with normal motor neurons

A
How well did you know this?
1
Not at all
2
3
4
5
Perfectly
3
Q

Pathology in PNS
A. __________ neuron
B. __________ of peripheral nerve –> _______ degeneration and destruction of ______ _______
C. Destruction of ________ but preservation of ______ and _______ –> demyelination
D. Infectious, hematoxins, etc –> target ______, cell ______, ________ –> _______ degeneration –> ________ degeneration –> ______________

A

Pathology in PNS
A. Normal neuron
B. Dissection of peripheral nerve –> axonal degeneration and destruction of myelin sheath
C. Destruction of myelin but preservation of axons and neuron –> demyelination
D. Infectious, hematoxins, etc –> target neurons, cell body, axons –> neuronal degeneration –> axonal degeneration –> demyelination

How well did you know this?
1
Not at all
2
3
4
5
Perfectly
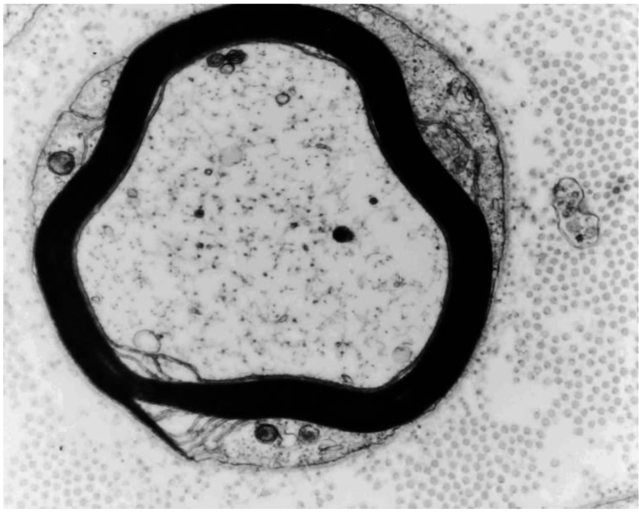
4
Q

What can be seen in the image below?

A

Normal myelinated nerve fibers

How well did you know this?
1
Not at all
2
3
4
5
Perfectly
5
Q

What is the main function of the myelin sheath? What happens as a result of damage to the myelin sheath?

A

Increase nerve conduction velocity.
Gait abnormalities can result due to damage.

How well did you know this?
1
Not at all
2
3
4
5
Perfectly
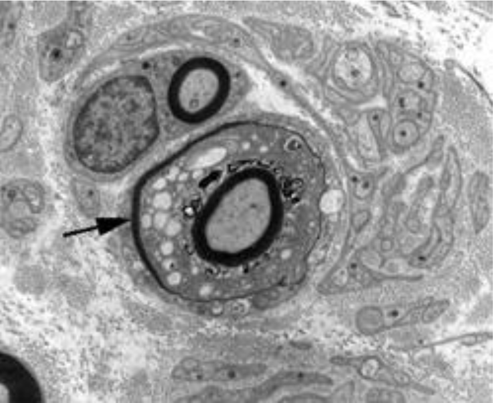
6
Q

What can be seen in the image below?

A

Normal myelinated nerve fiber:Which axonal and Schwann cell organelles can you see?.
Note collagen fibers in the endoneurium

Neural tubules and filaments seen in the middle.
Myeline sheath appears black b/c of fixative used (osteum? preserved myelin sheath).

How well did you know this?
1
Not at all
2
3
4
5
Perfectly
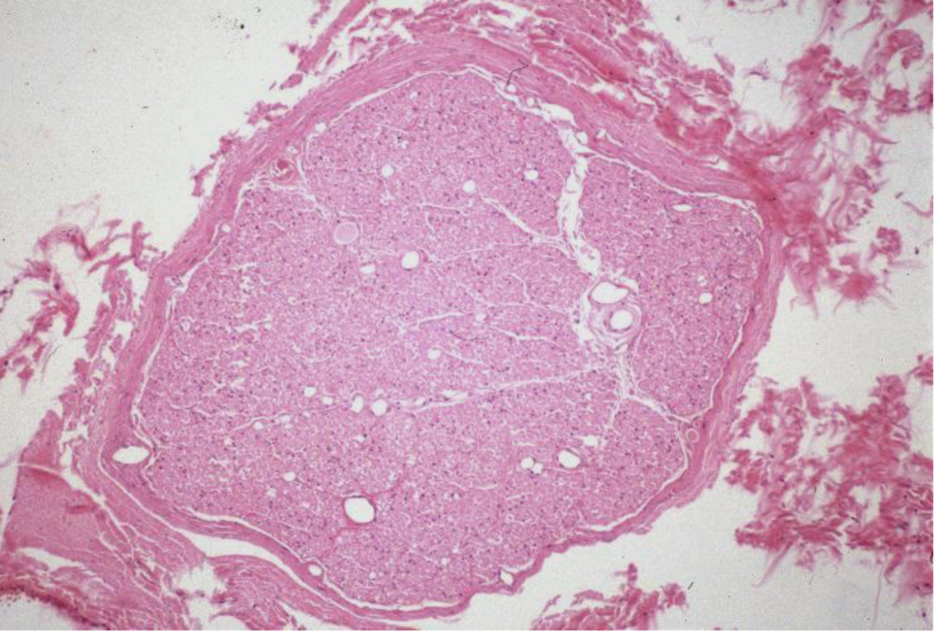
7
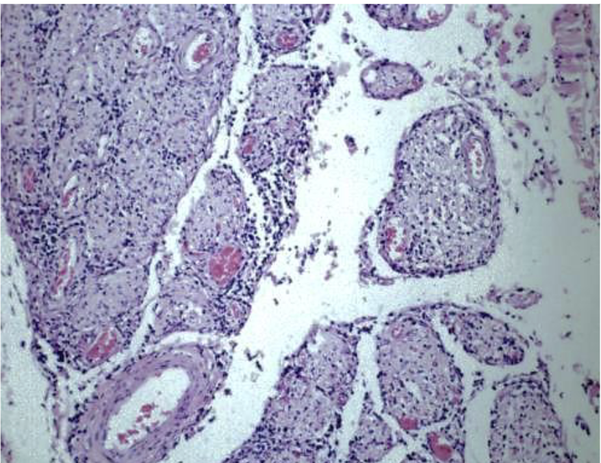
Q

What can be seen in the image below?

A

Nerve fascicle, TS, HE stain

Each fascicle has a very particular structure.
Myelinated and unmyelinated nerve fibers.

How well did you know this?
1
Not at all
2
3
4
5
Perfectly
8
Q

What can be seen in the image below?

A

myelinated nerve fibers
discolartion in center = axon
pinkish material around it = neurokeratin.

How well did you know this?
1
Not at all
2
3
4
5
Perfectly
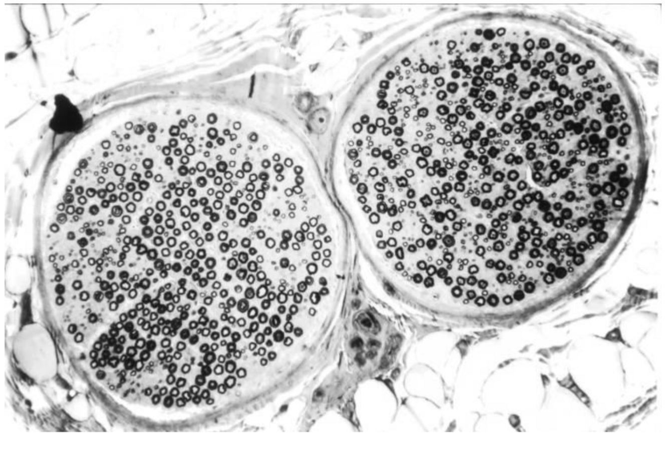
9
Q
A

Plastic embedded, TS of peripheral nerve.
Osmium-fixed preparation = preserves myelin sheath.
Note good preservation of myelin sheaths, dog – O.Illanes

How well did you know this?
1
Not at all
2
3
4
5
Perfectly
10
Q

Inflammatory Diseases
 Acute idiopathic polyradiculoneuritis (Coonhound paralysis in dogs)
 Cauda Equina neuritis in horses
 Cranial neuritis associated with guttural pouch mycosis and empyema in horses (extension of infection in guttoral pouch to peripheral nerves located near guttoral pouch)

A
How well did you know this?
1
Not at all
2
3
4
5
Perfectly
11
Q

_______________ Paralysis
- Acute __________ paralysis in dogs that occurs after the scratch or bite from a _________. These animals have have ________ in saliva –> body produces _________ response to saliva which effects ___________ nerves.
- The disease is compared to _______ __________ syndrome, an _________ response that follows _____ illness, ________ or other disease in humans and leads to ___________ of nerve
roots and ________ nerves.
- Also reported in dogs and rarely in cats with ____ history of contact with raccoons (?).
Lesions: ________ and influx of ____ cells –> __________ degeneration is a common sequel.
Signs: Hyperesthesia, weakness, ataxia, leading to __________ that can last for weeks or months. Recovery is ________ but can take along time. Affected dogs develop extensive denervation _________.

Infestation with _______ has been associated with this.

A

Coonhound Paralysis
- Acute ascending paralysis in dogs that occurs after the scratch or bite from a raccoon. Raccoon have antigens in saliva –> body produces immune response to saliva which effects peripheral nerves.
- The disease is compared to Guillain –Barré syndrome, an autoimmune response that follows viral illness, vaccination or other disease in humans and leads to demyelination of nerve
roots and peripheral nerves.
- Also reported in dogs and rarely in cats with no history of contact with racoons (acute idiopathic polyradiculoneuritis).
Lesions: demyelination and influx of inflammatory cells –> Axonal degeneration is a common sequel.
Signs: Hyperesthesia, weakness, ataxia, leading to tetraparesis that can last for weeks or months. Recovery is common but can take along time. Affected dogs develop extensive denervation atrophy

Infestation with mites has been associated with this.

How well did you know this?
1
Not at all
2
3
4
5
Perfectly
12
Q
A

Guillain- Barré Syndrome
Demyelination: Splitting of myelin lamellae, myelin debris

How well did you know this?
1
Not at all
2
3
4
5
Perfectly
13
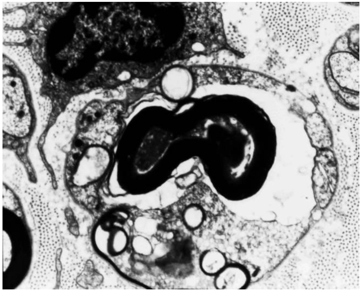
Q
A

Demyelinated axon. Note good preservation of the axoplasm. Myelin debris from
myelin breakdown is present within cytoplasmic processes of macrophages

How well did you know this?
1
Not at all
2
3
4
5
Perfectly
14
Q
A

Axonal degeneration: Note loss of morphologic detail in the axoplasm and
abundant myelin debris. Rabbit, Oillanes.

Axon is destroyed here. Secondary destruction of myelin sheath.

How well did you know this?
1
Not at all
2
3
4
5
Perfectly
15
Q
  1. What condition is the horse below suffering from?
    _____ and _______ paralysis in the horse that results from ________ inflammation of the ________ portions of the nerve roots of the _______ ________.
    Clinical signs: ____ paresthesia-anesthesia, urinary ________, fecal ________, _____ paralysis, ______ muscle atrophy (muscles along a line between the _______-______ joint and the ____ of the tail), hind limb ataxia and weakness.
    _______ and other nerve _____ (including those from the _______ nerves) can be also affected.
    Prognosis is ________.
    Lesions: __________ nerve roots due to moderate to severe inflammatory cell ___________ (? cells → ______ inflammation).
    Demyelination and axonal degeneration are seen.
    Etiology: __________, but an immune-mediated cause is suspected → the disease has been compared to Guillain Barré syndrome.
A
  1. Cauda Equina neuritis in horses
    Tail and sphincter paralysis in the horse that results from chronic inflammation of the extradural portions of the nerve roots of the cauda equina.
    Clinical signs: perineal paresthesia-anesthesia, urinary incontinence, fecal retention, tail paralysis, croup muscle atrophy (muscles along a line between the lumbo-sacral joint and the base of the tail), hind limb ataxia and weakness.
    Lumbar and other nerve roots (including those from the cranial nerves) can be also affected.
    Prognosis is poor.
    Lesions: Thickened nerve roots due to moderate to severe inflammatory cell infiltration (lymphocytes, plasma cells, macrophages, multinucleated giant cells → granulomatous inflammation).
    Demyelination and axonal degeneration are seen.
    Etiology: Unknown, but an immune-mediated cause is suspected → the disease has been compared to Guillain Barré syndrome.
How well did you know this?
1
Not at all
2
3
4
5
Perfectly
16
Q
A

Cauda equine neuritis – granulomatous
polyradiculoneuritis, Texas A&M University.

Nerve roots are Marked thickening of cauda equina b/c of presence of nonsuppurative inflammation of nerve roots.

17
Q
A

Cauda equina neuritis Nerve roots are Marked thickening of cauda equina b/c of presence of nonsuppurative inflammation of nerve roots.

18
Q
A

Cauda Equina Neuritis (Cauda Equina syndrome) in horses: Possible immune-mediated etiology
Lymphocytic infiltration of nerve roots,
Case from JPC collection.

Lymphocytes and plasma cells –> inflammatory conditions

19
Q
A

Cauda Equina Neuritis (Cauda Equina syndrome) in horses: Possible immune-mediated etiology
Many prefer the term “Polyneuritis Equi (PNE)” because
more accurately reflects the typical widespread distribution
of the inflammation affecting not only the cauda equina, but
often spinal roots and cranial nerves as well (from JPC).

20
Q

Degenerative Diseases
 Canine Inherited Hypertrophic neuropathy (Tibetan Mastiffs)
 Congenital hypomyelinating polyneuropathy of Golden Retrievers
 Hereditary polyneuropathy of Alaskan Malamutes
 Hereditary sensory neuropathy of Pointer dogs
 Sensory neuropathy of longhaired Dachshunds
 Canine giant axonal neuropathy – German Shepherd dogs
 Progressive axonopathy in Boxer dogs
 Polyneuropathy in Rottweiler dogs
 Equine laryngeal hemiplegia (roaring horses)
 Canine laryngeal paralysis – Bouvier des Flanders (denervation
atrophy of laryngeal muscles)

A

Primarily in dogs, occasionally cats.

21
Q
A

Traumatic conditions
 Avulsion/rupture of the brachial plexus – dogs and cats; if animal survives, can present with forelimb paralysis and paresis due to damage to radial nerve, ulnar nerve, etc.
 Amputation neuromas (tail dock neuroma in dogs for cosmetic reasons or due to trauma, sequel of neurectomy of digital nerves in horses).
 Pathogenesis: Abortive attempts of regeneration of severed axons. Axons try to regenerate and there is an exacerbated response. Tumor composed of regenerated neurons. Can be very painful, severe to the touch “The prevalence of this post-operative complication may reach 25% or higher”….

22
Q
A

Calving paralysis: bilateral compressive
damage of the obturator nerves →
complication to dystocia in heifers with
oversized fetuses. The obturator nerve
innervates adductor muscles. In more severe
cases of calving paralysis the L6 root of the
sciatic nerve is also involved.

Obturator nerve trauma during calving

Narrow birthing canal

23
Q
A

Calving paralysis

24
Q

Metabolic and nutritional disorders
 Lysosomal storage diseases (globoid cell leukodystrophy;
mannosidosis; Niemann-Pick disease, gangliosidosis etc.,).
 Diabetic neuropathy
 Hypothyroid neuropathy (adult or aged dogs with hypothyroidism).

25
Diabetes in cats: Often associated with _________ deposition in pancreatic ______. _________ limb weakness with characteristic ________ stance, muscle ________ and ________ abnormalities - Legs are _______ to floor.
Diabetes in cats: Often associated with amyloid deposition in pancreatic islets. Hind limb weakness with characteristic plantigrade stance, muscle wasting and propioceptive abnormalities - Legs are parallel to floor.
26
27
Diabetic neuropathy, cat, AVC
28
Heavy metals like ______, ______ and ________ may result in peripheral neuropathies
Heavy metals like lead, thallium and mercury may result in peripheral neuropathies
29
_____________ agent--> Vincristine produces a peripheral neuropathy: Vincristine sulfate, an ______ from the plant ______ ________ has ________ properties and is used in both human and veterinary _______ for the treatment of certain tumors. Peripheral neuropathy is common, ________ and an accepted sequel to therapy. As is the case with other anti-mitotic drugs, vincristine causes __________ breakdown which leads to impaired axonal _______ and axonal _________.
Chemotherapeutic agent--> Vincristine produces a peripheral neuropathy: Vincristine sulfate, an alkaloid from the plant Vinca rosea has antineoplastic properties and is used in both human and veterinary oncology for the treatment of certain tumors. Peripheral neuropathy is common, reversible and an accepted sequel to therapy. As is the case with other antimitotic drugs vincristine causes neurotubule breakdown which leads to impaired axonal transport and axonal degeneration.
30
Peripheral nerve from a mouse treated with a cyclin-dependant kinase inhibitor compound. Presence of “digestion chambers”. OIllanes
31
Neoplasia and the PNS  Paraneoplastic neuropathies  Primary tumors: Ganglioneuromas, ganglioneuroblastomas, peripheral nerve sheath tumors (benign and malignant variants: schwanomas, neurofibromas, neurofibrosarcomas etc.).  Secondary tumors: Rare. Marek’s disease is caused by a herpesvirus that induces lymphoma in chickens which can involve the viscera, eyes, CNS and PNS. Spinal lymphosarcoma in cats and cattle can occasionally involve spinal nerve roots.
32
Torticollis (twisting of the neck with abnormal position of the head), chicken, Noah’s Arkive Gallid alphaherpesvirus 3 (MDV serotype 2) = main and Meleagrid alphaherpesvirus 1 (turkey herpesvirus, MDV serotype 3)
33
Chicken, paralysis
34
Marek’s disease, avian herpesvirus: “gray eye” Neoplastic infiltration of iris - pupils small and margin between pupil and iris are not well demarcated.
35
Chicken, Marek’s disease. R eye is normal,
36
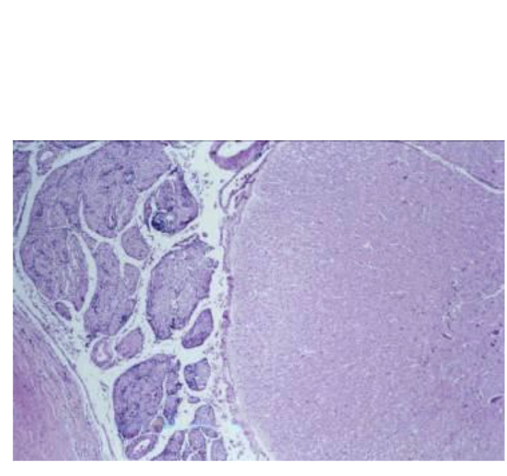
Chicken, Marek’s disease, involvement of peripeherla nerves, especailly nerve roots of Sciatic nerve --> paralysis thickened due to neoplastic infiltration
37
Marek’s disease, Chicken, Noah’s Arkive normal nerve roots on right, neoplastic infiltration on left.