Large, MPS Flashcards

(35 cards)

1
Q

[Met/MPS]

Mucopolysaccharidoses with typical dysmorphic/coarse features? (3)

A

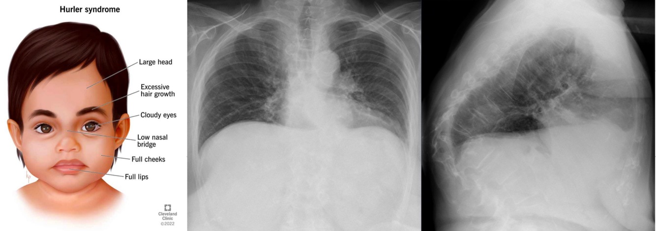
MPS 1H (Herler)
MPS 2 (Hunter)
MPS 6 (Maroteaus-Lamy)

How well did you know this?
1
Not at all
2
3
4
5
Perfectly
2
Q

[Met/MPS]

Mucopolysaccharidoses 1 types and enzyme defect?

A

Severe or attenuated (Hurler or Scheie, previously)

a-L-iduronidase defect

How well did you know this?
1
Not at all
2
3
4
5
Perfectly
3
Q

[Met/MPS]

Mucopolysaccharidoses 2 types and enzyme defect?

A

Hunter

Iduronate sulfatase defect

How well did you know this?
1
Not at all
2
3
4
5
Perfectly
4
Q

[Met/MPS]

Mucopolysaccharidoses 3 name and types?

A

Sanfilippo

A SGSH Heparin N-sulfatase
B NAGLU a-N-acetylglucosaminidase
C HGSNAT Acetyl CoA: a-glycosaminide
D GNS N-acetylglucosamine-6-sulfatase

How well did you know this?
1
Not at all
2
3
4
5
Perfectly
5
Q

[Met/MPS]

Mucopolysaccharidoses 4 types and enzyme defect?

A

Morquio IVA: Galactose 6-sulfatase
Morquio IVB: b-galactosidase

How well did you know this?
1
Not at all
2
3
4
5
Perfectly
6
Q

[Met/MPS]

Mucopolysaccharidoses 6 types and enzyme defect?

A

Maroteaux-Lamy

N-acetylgalactosamine 4-sulfatase (ARSB, arylsulphatase B)

(FYI, ARSA, arylsulphatase A deficiency, causes metachromatic leukodystrophy)

How well did you know this?
1
Not at all
2
3
4
5
Perfectly
7
Q

[Met/MPS]

Mucopolysaccharidoses 7 types name?

A

Sly

How well did you know this?
1
Not at all
2
3
4
5
Perfectly
8
Q

[Met/MPS]

Mucopolysaccharidoses 9 types and enzyme defect?

A

Natowicz

Hyaluronidase

How well did you know this?
1
Not at all
2
3
4
5
Perfectly
9
Q

[Met/MPS]

Clinical presentation of untreated severe MPS 1 (Hurler) by age? (4)

A

At birth: non-specific, umbilical or inguinal hernia, frequent URI
By 1 year: coarse facial features, Gibbus deformity, progressive skeletal dysplasia
By 3 year: intellectual disability, hearing loss, corneal clouding
Death by 10 years of life without treatment

How well did you know this?
1
Not at all
2
3
4
5
Perfectly
10
Q

[Met/MPS]

Clinical presentation of untreated attenuated MPS 1 (Hurler)?
- Onset age
- 4 organ systems

A

Onset between 1-10 years
Hearing loss
Corneal clouding
Respiratory involvement
Cardiac valvular disease

How well did you know this?
1
Not at all
2
3
4
5
Perfectly
11
Q

[Met/MPS]

Treatment options for MPS 1 (Hurler)? (2)

A

Hematopoietic stem cell transplantation with severe MPS 1
Enzyme replacement therapy with Aldurazyme

How well did you know this?
1
Not at all
2
3
4
5
Perfectly
12
Q

[Met/MPS]

Less effected symptoms from hematopoietic stem cell transplantation in severe MPS 1? (3)

A

HSCT has lesser effects on
- the skeletal and joint manifestations
- corneal clouding
- cardiac involvement

How well did you know this?
1
Not at all
2
3
4
5
Perfectly
13
Q

[Met/MPS]

Inheritance pattern of MPS 2 (Hunter)?

A

X-linked

How well did you know this?
1
Not at all
2
3
4
5
Perfectly
14
Q

[Met/MPS]

Classification (recently considering) for MPS 2 (Hunter)?

A

Early progressive and slowly progressive
(Disease has a wide variety, and has a continuum)

How well did you know this?
1
Not at all
2
3
4
5
Perfectly
15
Q

[Met/MPS]

Diagnostic biochemical test and genetic test for MPS 1 (Hurler)? (3)

A

Enzyme activity: the lysosomal enzyme α-L-iduronidase (IDUA)
Elevation of glycosaminoglycan (GAG): dermatan sulfate, heparan sulfate
Gene: IDUA

How well did you know this?
1
Not at all
2
3
4
5
Perfectly
16
Q

[Met/MPS]

Clinical presentation of usually seen only in early progressive MPS 2 (Hunter) compared to slowly progressive? (3 organ systems)

A

CNS: progressive cognitive deterioration
Resp: frequent URI, progressive airway obstruction
Cardiac: valvular disease, cardiomyopathy

17
Q

[Met/MPS]

Common Clinical presentation of both early progressive and slowly progressive MPS 2 (Hunter)? (5)

A

Macrocephaly, hydrocephalus
Macroglossia
Conductive and sensorineural hearing loss
Hepatosplenomegaly
Dysostosis multiplex (deposition of lipid like substance in body tissues)
Carpal tunnel syndrome
(No corneal clouding in Hunter)

18
Q

[Met/MPS]

Diagnostic biochemical test and genetic test for MPS 2 (Hunter)? (3)

A

Iduronate 2-sulfatase (I2S) enzyme activity
Glycosaminoglycan (GAG): dermatan sulfate, heparan sulfate
Gene: IDS

19
Q

[Met/MPS]

Treatment options for MPS 2 (Hunter)? (2)

A

Enzyme replacement therapy with Elaprase
Hematopoietic stem cell transplantation, but no RCT done

20
Q

[Met/MPS]

What based for classification of MPS 3 (Sanfilippo)?

A

Based on enzyme defects

MPS IIIA: N-sulphoglucosamine sulphohydrolase (m/c)
MPS IIIB: Alpha-N-acetylglucosaminidase,
MPS IIIC: Heparan-alpha-glucosaminide N-acetyltransferase
MPS IIID: N-acetylglucosamine-6-sulfatase

21
Q

[Met/MPS]

Clinical presentation of MPS 3 (Sanfilippo)? (3 phases)

A

Phase 1—developmental delay with recurrent URIs, diarrhea
Phase 2—severe, challenging behavior presents with hyperactivity and aggression, Precocious puberty
Phase 3—further neurologic deterioration, Death occurs by the 20s.

22
Q

[Met/MPS]

Treatment of MPS 3 (Sanfilippo)?

A

Supportive care
(HSCT considered not effective, ERT is limited due to BBB, developing intrathecal)

23
Q

[Met/MPS]

Characteristic first manifestation and onset of age for MPS IVA (Morquio A)?

A

Kyphoscoliosis, genu valgum (knock-knee), and pectus carinatum
Severe form: 1 - 3 years old

24
Q

[Met/MPS]

Intelligence level of progressed MPS IVA (Morquio A)?

A

Normal intellectual abilities

25
# [Met/MPS] Name of Bony deformity in MPS Which MPS is associated?
Dystostosis multiplex Seen in MPS 1 (Hurler), MPS 2 (Hunter), MPS 4 (Morquio), MPS 6 (Maroteaux-Lamy) Less seen in MPS 3 (Sanfilippo)
26
# [Met/MPS] Treatment for mucopolysaccharidosis IVA (MPS IVA) (Morquio A)?
Enzyme replacement therapy (elosulfase alfa, (Vimizim))
27
# [Met/MPS] Category of disease Mucopolysaccharidosis type IVB (MPS IVB) belongs to?
GLB1-related disorders (GM1 gangliosidosis and mucopolysaccharidosis type IVB)
28
# [Met/MPS] Subtypes of GLB1-related disorders that has mucopolysaccharidosis type IVB (MPS IVB)? (2)
GM1 gangliosidosis: infantile, late-infantile/juvenile, chronic MPS IVB (Morquio B)
29
# [Met/MPS] Two disease spectrum of GLB1-related disorders?
Beta-galactosidase (GLB1) deficiency 1. GM1 gangliosidosis: severe to intermediate with neurodegeneration 2. Morquio IVB: only skeletal manifestation
30
# [Met/MPS] Distinction between GM1 gangliosidosis and MPS IVB (Morquio B) in GLB1-related disorders?
GM1 gangliosidosis: neuronal degeneration MPS IVB (Morquio B): skeletal dysplasia
31
# [Met/MPS] Treatment for mucopolysaccharidosis type VI (Maroteaux Lamy Syndrome)?
Enzyme replacement therapy: Naglazyme
32
# [Met/MPS] Clinical characteristics of mucopolysaccharidosis type VI (Maroteaux Lamy Syndrome)? (3)
Joint degeneration Cardiovascular disease Reduced pulmonary function (Usually normal intelligence, might have learning difficulties from hearing loss)
33
# [Met/MPS] Dignosis? Skin ‘pebbling’ between scapulae With coarse facies, joint stiffness, and carpal tunnel syndrome
MPS 2 (Hunter)
34
# [Met/MPS] Treatment options for MPS type 1, 2, 3, 4, 6 and 7?
No ERT for MPS 3 (Sanfilippo) HSCT for MPS 1 (Hurler) (maybe MPS 2, Hunter) MPS1 (Hurler): Aldurazyme MPS2 (Hunter): Elaprase MPS4A (Morquio A): Elosulfase alfa MPS6 (Maroteaux-Lamy): Naglazyme
35
# [Met/LSD] Diseases that have Enzyme replacement therapy available in lysosomal storage disease? (4)
Gaucher Fabry Pompe Wolman (lysosomal acid lipase (LAL) deficiency)