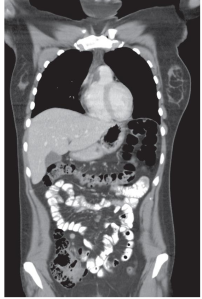
Lecture 2 Flashcards

(45 cards)

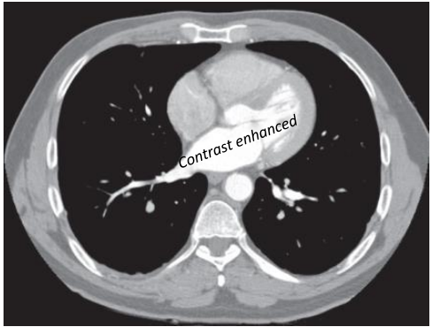
1
Q

What kind of image is this

A

CT scan

How well did you know this?
1
Not at all
2
3
4
5
Perfectly
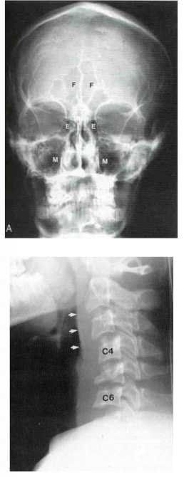
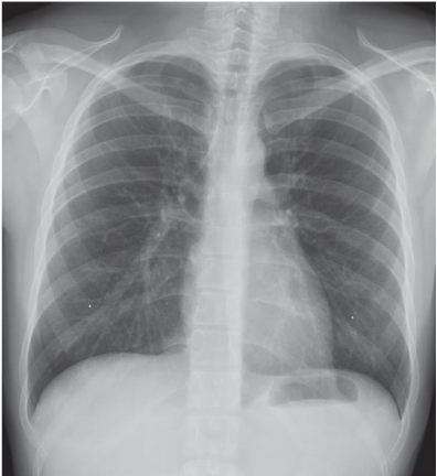
2
Q

What kind of image is this

A

X-Ray

How well did you know this?
1
Not at all
2
3
4
5
Perfectly
3
Q

What are the transmission type images

A

X-Ray, CT

How well did you know this?
1
Not at all
2
3
4
5
Perfectly
4
Q

What is the emission type

A

MRI

How well did you know this?
1
Not at all
2
3
4
5
Perfectly
5
Q

What is the reflective type of image

A

Ultrasound

How well did you know this?
1
Not at all
2
3
4
5
Perfectly
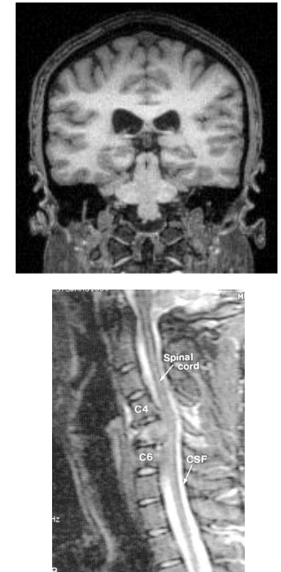
6
Q

What is this picture from

A

MRI

How well did you know this?
1
Not at all
2
3
4
5
Perfectly
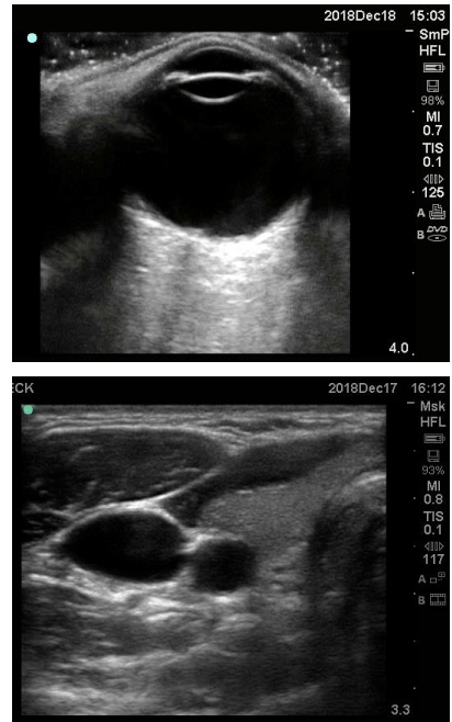
7
Q

What kind of image is this

A

Ultrasound

How well did you know this?
1
Not at all
2
3
4
5
Perfectly
8
Q

Bright white bone is seen in what 2 kinds of images

A

Ct, X-Ray

How well did you know this?
1
Not at all
2
3
4
5
Perfectly
9
Q

What kind of image gives the most detail on soft tissue

A

MRI

How well did you know this?
1
Not at all
2
3
4
5
Perfectly
10
Q

On an MRI bone is _____

A

Dark

How well did you know this?
1
Not at all
2
3
4
5
Perfectly
11
Q

What may be used for transmission type to aid visual imagery

A

Contrast

How well did you know this?
1
Not at all
2
3
4
5
Perfectly
12
Q

What does using contrast do with X-Rays & CT’s?

A

Improves images of hollow spaces

How well did you know this?
1
Not at all
2
3
4
5
Perfectly
13
Q

Transmission types are what

A

Beams of high-energy photons that are transmitted through body structure

How well did you know this?
1
Not at all
2
3
4
5
Perfectly
14
Q

In an X-Ray density differences are seen as

A

Shades of gray

How well did you know this?
1
Not at all
2
3
4
5
Perfectly
15
Q

In an X-Ray & CT-higher density is seen as what color

A

White

How well did you know this?
1
Not at all
2
3
4
5
Perfectly
16
Q

In an X-Ray & CT- lower density (radio-translucent) is seen as what color

A

Black

How well did you know this?
1
Not at all
2
3
4
5
Perfectly
17
Q

A CT density is measured on what scale

A

Hounsfield scale

How well did you know this?
1
Not at all
2
3
4
5
Perfectly
18
Q

How does an MRI work

A

Energy of hydrogen protons in a strong magnetic field gets detected

How well did you know this?
1
Not at all
2
3
4
5
Perfectly
19
Q

Modality?
View?

20
Q

Modality?
View?

21
Q

Modality?

22
Q

What is angiography

A

Imaging of vasculature

23
Q

How do you achieve angiography

A

With transmission OR emission techniques

24
Q

What is an arteriogram

A

Angiography of arteries

25
How do you get a standard angiogram
X-Ray
26
What determines the image seen on an ultrasound screen
Echogenicity of tissue
27
What is echogenicity in ultrasounds
The amount of ultrasound reflection by a tissue (relative to surrounding tissues)
28
What is the color scale of ultrasounds
Scale from white- black
29
What type of tissue is bright white on an ultrasound
(dense/stiff objects) -Bone, dense connective tissue, fat
30
Bright white is considered what on an ultrasound
Hyperechoic
31
Medium gray is considered what on an ultrasound
Isoechoic
32
What tissues are considered isoechoic on an ultrasound
Average density /stiffness- liver/spleen
33
Dark gray is considered what on an ultrasound
Hypoechoic
34
What tissues are considered hypoechoic on an ultrasound
Low density/ stiffness- nerves, skeletal muscle, kidney cortex
35
Black is considered what on an ultrasound
Anechoic
36
Anechoic is indicative of what kind of structures
Fluid filled structures (shadows)- Vessels, csts, bladder
37
Name 3 kinds of ultrasound probes
Linear array probe, curved array probe, phased array probe
38
What is the high frequency array probe
Linear array probe
39
2 characteristics of a high frequency array probe
Good image detail, poor penetration
40
Linear array probes are used for what kind of exams
Shallow (just below skin surface)
41
Name 4 exams a linear array probe is used for
Ocular, carotid, carpal tunnel, MSK
42
What are the 2 kinds of low frequency array probes
Curved (curvilinear) and phased array probe
43
Low frequency transducers are good for what
Modest image detail, good penetration
44
Curved (curvilinear) array probes are used for what kind of exams
Abdominal exams (liver, gallbladder, kidney)
45
Phased array probes are used for what kind of exams & what are examples
Intercostal exams- Heart/ lungs