Test 3- imaging Flashcards

(25 cards)

1
Q

Identify PA or AP

A
How well did you know this?
1
Not at all
2
3
4
5
Perfectly
2
Q

Identify PA or AP

A
How well did you know this?
1
Not at all
2
3
4
5
Perfectly
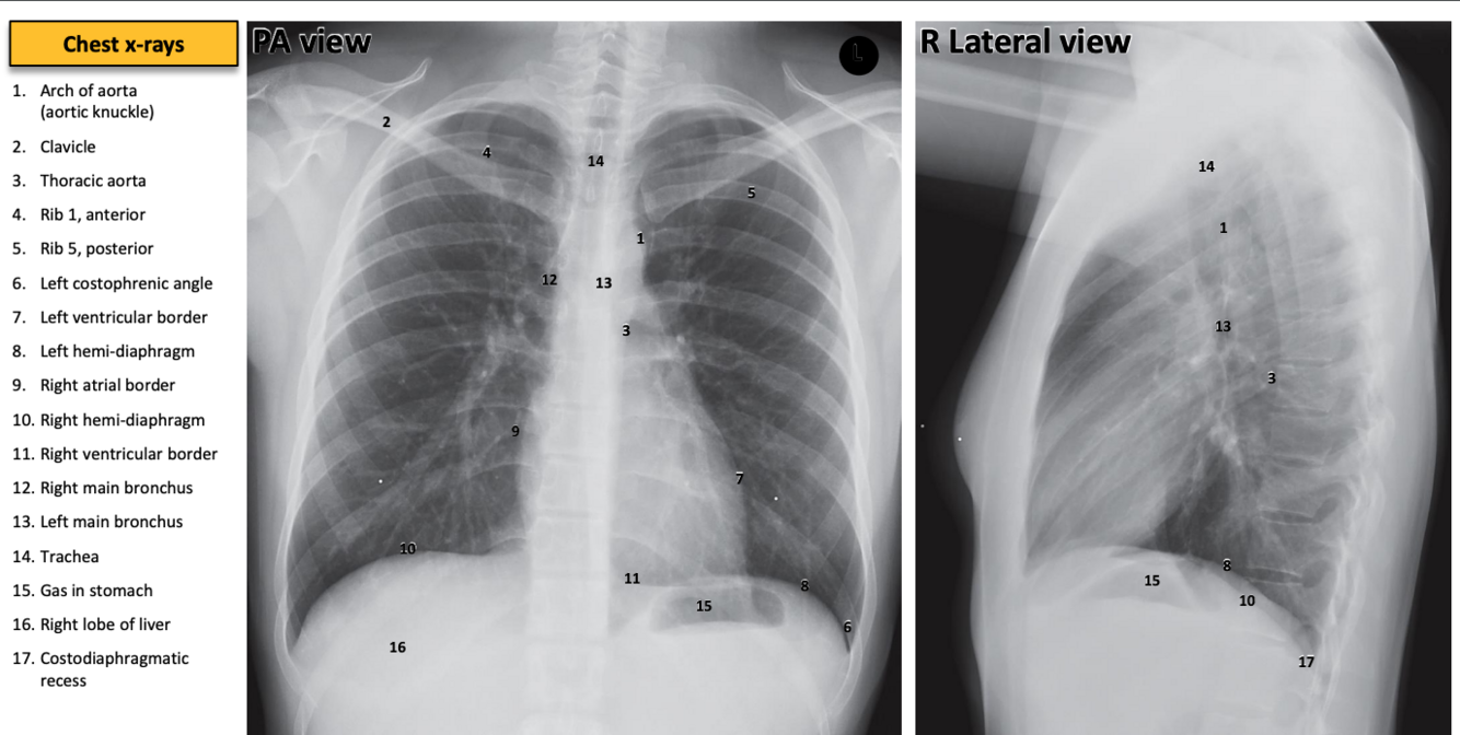
3
Q

Identify areas

A
How well did you know this?
1
Not at all
2
3
4
5
Perfectly
4
Q

Identify areas

A
How well did you know this?
1
Not at all
2
3
4
5
Perfectly
5
Q

Identify areas

A
How well did you know this?
1
Not at all
2
3
4
5
Perfectly
6
Q

Identify areas

A
How well did you know this?
1
Not at all
2
3
4
5
Perfectly
7
Q

Identify areas of heart

A
How well did you know this?
1
Not at all
2
3
4
5
Perfectly
8
Q

What kind of array probe do you use for heart US?

A

Phased

How well did you know this?
1
Not at all
2
3
4
5
Perfectly
9
Q

In the apical 4-chamber view where is the probe placed? Where is the probe marker directed? Where is the probe tilted towards? What should the position of the patient be?

A

PMI (point of maximal impulse), 5th intercostal space near the midclavicular line. Directed toward the left posterior axilla. Probe tilted towards patients right shoulder. Pt laying on left side (left decubitus) position

How well did you know this?
1
Not at all
2
3
4
5
Perfectly
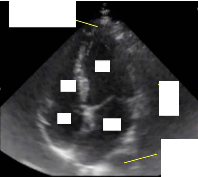
10
Q

Identify chambers of the heart

A
How well did you know this?
1
Not at all
2
3
4
5
Perfectly
11
Q

Parasternal long axis (PLAX) view- Where is the probe placed? Where is the marker directed? What is this view good for?

A

Place the probe just to the left of the sternum in the 3 rd, 4th, or 5th intercostal space with marker directed to right shoulder. Good for assessing cardiac function, perfusion, and valve function.

How well did you know this?
1
Not at all
2
3
4
5
Perfectly
12
Q

Identify locations on picture

A
How well did you know this?
1
Not at all
2
3
4
5
Perfectly
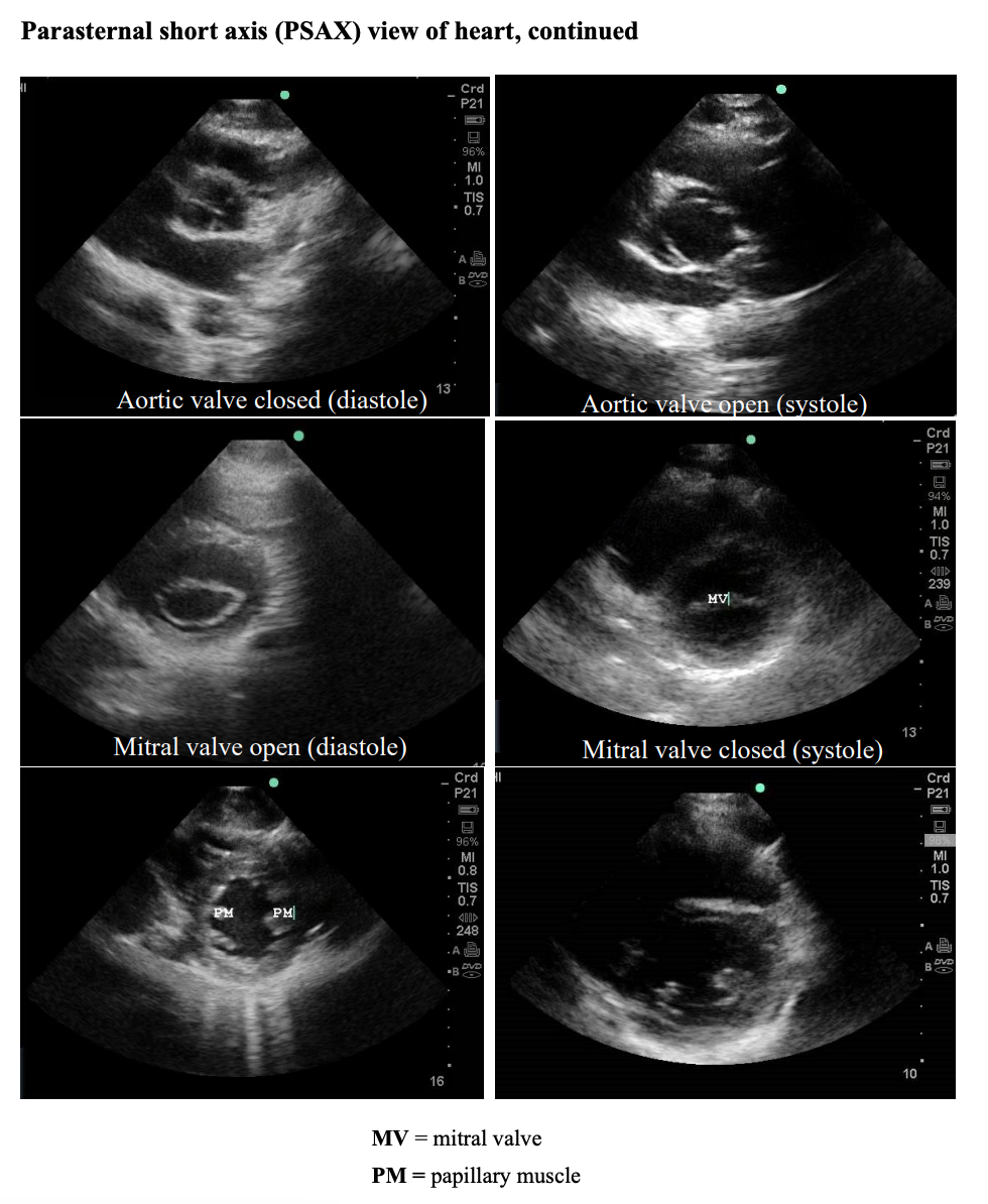
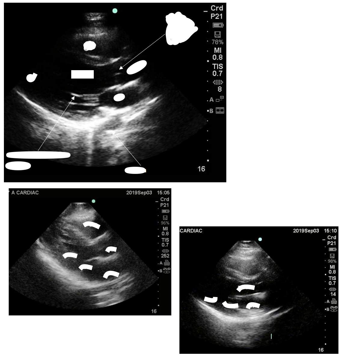
13
Q

Parasternal short axis (PSAX) view- Where is the probe placed? Where is the marker directed?

A

Place the probe just to the left of the sternum in the 3rd, 4th, or 5th intercostal space with marker directed to LEFT shoulder. Aim beam superiorly to view papillary muscles of mitral valve, or hold upright to view mitrial valve

How well did you know this?
1
Not at all
2
3
4
5
Perfectly
14
Q

What are the valves you can see and what view is this

A
How well did you know this?
1
Not at all
2
3
4
5
Perfectly
15
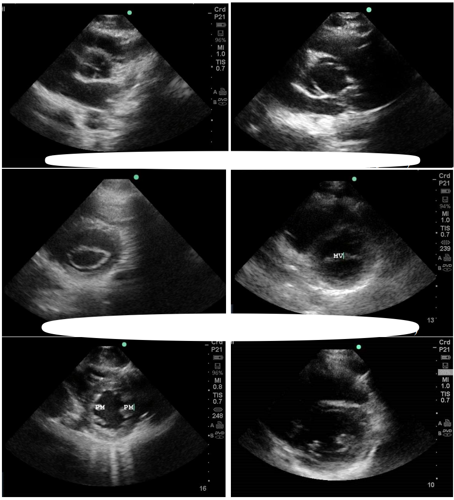
Q

Consider for each image:
* Which cardiac view is depicted?
* What was the orientation of the probe on the patient?
* Find the structures on the checklist for each view

A
How well did you know this?
1
Not at all
2
3
4
5
Perfectly
16
Q

Consider for each image:
* Which cardiac view is depicted?
* What was the orientation of the probe on the patient?
* Find the structures on the checklist for each view

17
Q

Consider for each image:
* Which cardiac view is depicted?
* What was the orientation of the probe on the patient?
* Find the structures on the checklist for each view

18
Q

Consider for each image:
* Which cardiac view is depicted?
* What was the orientation of the probe on the patient?
* Find the structures on the checklist for each view

19
Q

Consider for each image:
* Which cardiac view is depicted?
* What was the orientation of the probe on the patient?
* Find the structures on the checklist for each view

20
Q

What is the concern if ventricular tissue is not contracting symmetrically in the PSAX view?

A

Diminished cardiac function- possibly from infarction

21
Q

In a healthy heart, does the anterior leaf of the mitral valve touch the IV septum when it opens?

A

This indicates good, strong cardiac function

22
Q

What would be the US indicators of pericardial effusion?

A

The US image would show an anechoic space around the heart (black). Also, if it was a tamponade the heart would only be weakly contracting

23
Q

Why turn the patient to left lateral decubitus position (on left side) to improve image?

A

The thoracic viscera should shift to the left and bring the heart from behind the sternum.

24
Q

Which view(s) give best opportunity to assess the function of the left atrioventricular valve? Aortic
semilunar valve?

A

PLAX and PSAX

25