Que peux-tu dire sur la capacité de division des granulocytes?
ne se divisent jamais
granulocytes neutrophiles
=deux pools d’égale importance, échanges rapides de l’un à l’autre:
facteurs influant la répartition:
granulocytes neutrophiles
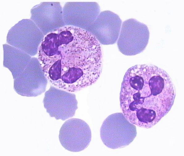
décrit ses caractéristiques morphologique (taille, forme, noyau…)
Ø= [10;15]µm, forme grossièrement arrondie
noyau:

Qu’est ce que la formule d’Arneth?
=donne le % des éléments selon le nombres de lobes
normal: 50% neutrophiles ont 3 lobes
formule d’Arneth dite:
granulocytes neutrophiles
caractéristiques du cytoplasme:
granulocytes neutrophile
Lysosome primaire
lysosomes primaires
granulocytes neutrophile
granulation primaire
granulations primaires:
granulocytes neutrophile
Décrit les granulations cytoplasmique et explique leur rôle
lysosomes primaires
granulations secondaires sont les premières à fusionner avec vacuoles phagocytose, puis, qque mn après granulations primaires
granulocytes neutrophiles
granulations secondaires:
=neutrophiles => teinte marron/beige au MGG
granulocytes neutrophile
granulations tertiaires,
granulation tertiaires: particulièrement riche en gélatinase (ou collagènase)
granulocytes neutrophiles
adhésion à l’endothélium et éléments opsonisés
adhère à l’endothélium vasculaire:
mb neutrophile porte récepteurs fragments Fc des Ig => adhère aux éléments recouverts d’anticorps (_opsonisés_) = 1ere étape phagocytose bactéries
granulocyte neutrophile
mobilité
Qu’est ce que le chimiotactisme?
=propriété d’une cellule mobile de s’orienter et de remonter un gradient de concentration d’une substance chimique, dite “chimiotactique”, qui se fixe sur récepteurs membranaires.
Inhibé par les anti-inflammatoires, les hormones et les enzymes qui dégradent facteurs chimiotactique
granulocytes neutrophiles
substances chimiotactiques?
Définit la diapédèse
=faculté de traverser les parois vasculaire pour passer dans le tC
diapédèse
Processus
dans la moelle les neutrophiles peuvent gagner la circulation par empéripolèse en traversant le cytoplasme d’un mégacaryocyte
granulocytes neutrophiles
phagocytose?
l**orsque capacité phagocytose neutrophile dépassée => lyse et libèrat° contenu dont facteurs chimiotactiques
granulocytes neutrophiles
bactéricidie?
moyens multiples:
granulocytes neutrophiles
phase de vie et destruction
s’accumulent rapidement dans les foyers d’infection et foyers inflammatoires aigus. S’altèrent rapidement => pyocytes (accumulation= pus)
granulocytes neutrophiles
en cas de besoin GN de l’organisme, on observe dans l’ordre
granulocytes neutrophiles
aplasie médullaire? réapparition au bout de…, leur absence est paliée par…
=moelle détruite par des toxiques ou médicaments
granulocytes éosinophiles
abondance, pools?
granulocytes éosinophiles
quelles sont les caractéristiques morphologiques des éosinophiles (taille, noyau…)
= plus grand que neutrophiles, Ø=[12;17]µm

granulocytes éosinophiles
petites granulations
membrane
PETITES GRANULATIONS Ø=[O,1;0,3]µm, renferme: phosphatase acide, aryl-sulfatase (qui inactive la SRS-A)
MEMBRANE: lysophospholipase, constitue les cristaux de Charcot-Leyden (strutures cristallines effilées qui s’observent dans les foyers inflammatoires aigus)