Leukemia Slides Flashcards

(14 cards)

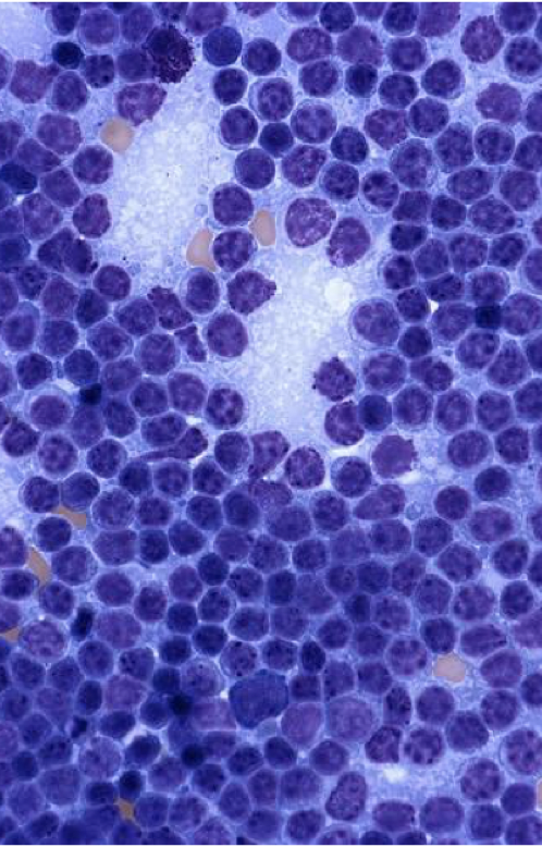
1
Q

what source?

what do you see?

diagnosis?

A
  • peripheral blood
  • numerous immature granulocytes
  • CML
How well did you know this?
1
Not at all
2
3
4
5
Perfectly
2
Q

what part of the body?

what do you see?

diagnosis?

A
  • peripheral blood
  • basophils
  • CML
How well did you know this?
1
Not at all
2
3
4
5
Perfectly
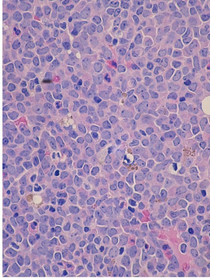
3
Q

what is the source?

what do you see?

diagnosis?

A
  • bone marrow aspirate
  • hypercellularity and increased M:E
  • CML
How well did you know this?
1
Not at all
2
3
4
5
Perfectly
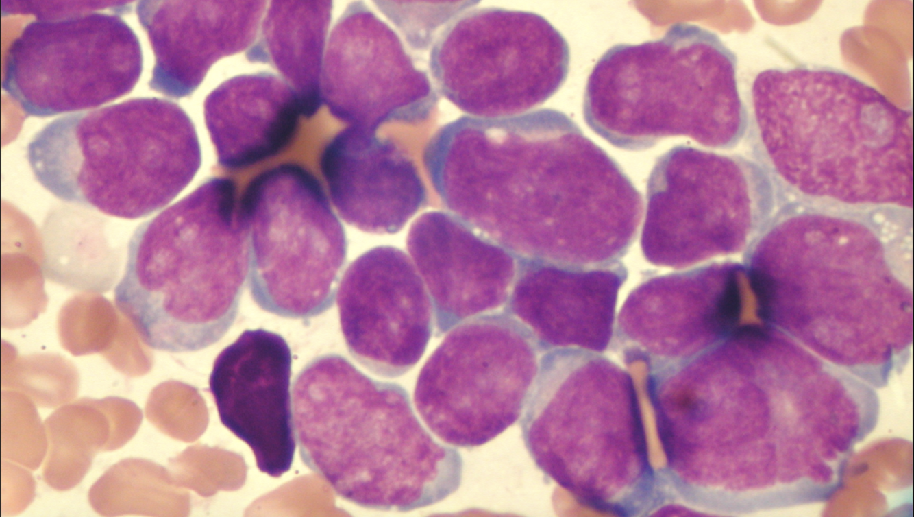
4
Q
  • where in the body?
  • what do you see?
  • diagnosis?
A
  • bone marrow biopsy
  • maturing granulocytes
  • CML
How well did you know this?
1
Not at all
2
3
4
5
Perfectly
5
Q
  • what source
  • what do you see?
  • diagnosis
A
  • bone marrow aspirate
  • maturing granulocytes
  • CML
How well did you know this?
1
Not at all
2
3
4
5
Perfectly
6
Q

diagnosis?

A
  • CLL
How well did you know this?
1
Not at all
2
3
4
5
Perfectly
7
Q

diagnosis?

A
  • CLL
How well did you know this?
1
Not at all
2
3
4
5
Perfectly
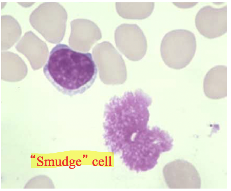
8
Q

source?

what do you see?

diagnosis?

A
  • peripheral blood
  • lymphocytosis
  • CLL
How well did you know this?
1
Not at all
2
3
4
5
Perfectly
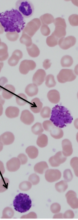
9
Q

source?

what do you see?

diagnosis?

A
  • bone marrow aspirate
  • variable involvement, loss of heterogeneity
  • CLL
How well did you know this?
1
Not at all
2
3
4
5
Perfectly
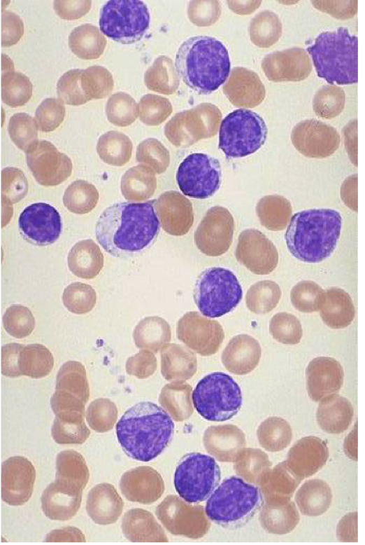
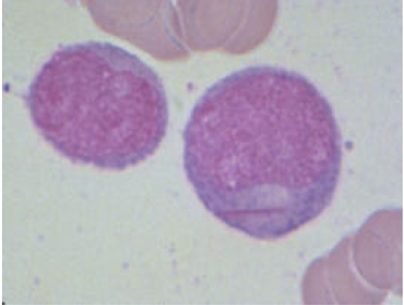
10
Q

what do you see?

diagnosis?

A
  • Auer rods
  • AML
How well did you know this?
1
Not at all
2
3
4
5
Perfectly
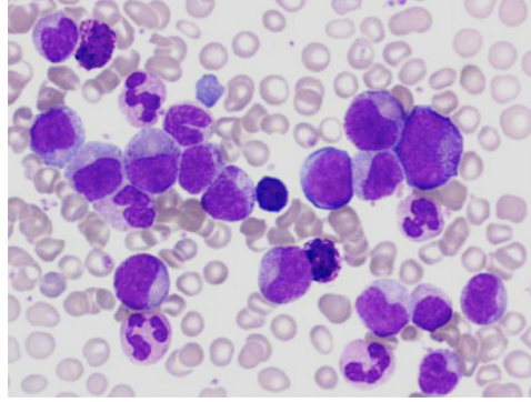
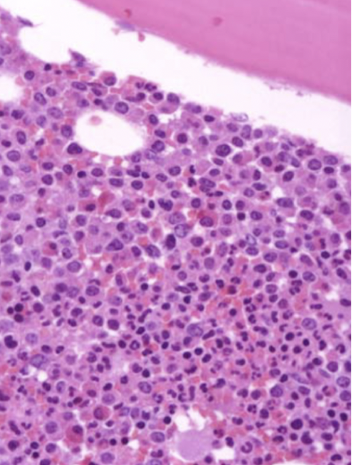
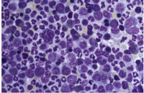
11
Q

source?

what do you see?

diagnosis?

A
  • bone marrow biopsy
  • monotonous population of mononuclear cells
  • AML
How well did you know this?
1
Not at all
2
3
4
5
Perfectly
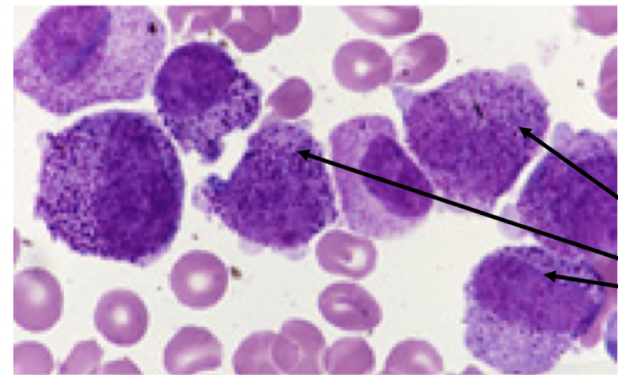
12
Q

what do you see?

diagnosis?

A
  • lots of granules
  • APL
How well did you know this?
1
Not at all
2
3
4
5
Perfectly
13
Q

diagnosis?

A
  • ALL
How well did you know this?
1
Not at all
2
3
4
5
Perfectly
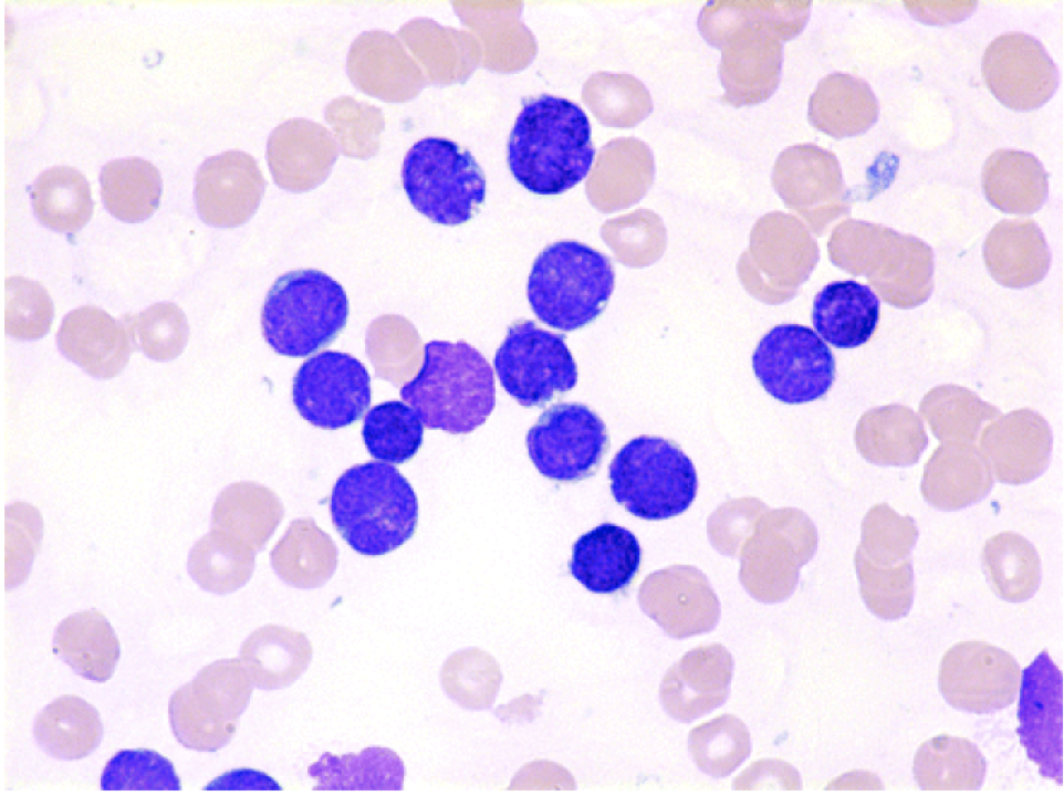
14
Q

what do you see?

diagnosis?

A
  • large cells, open chromatin, prominent nucleoli
  • ALL
How well did you know this?
1
Not at all
2
3
4
5
Perfectly