PCD Slides Flashcards

(4 cards)

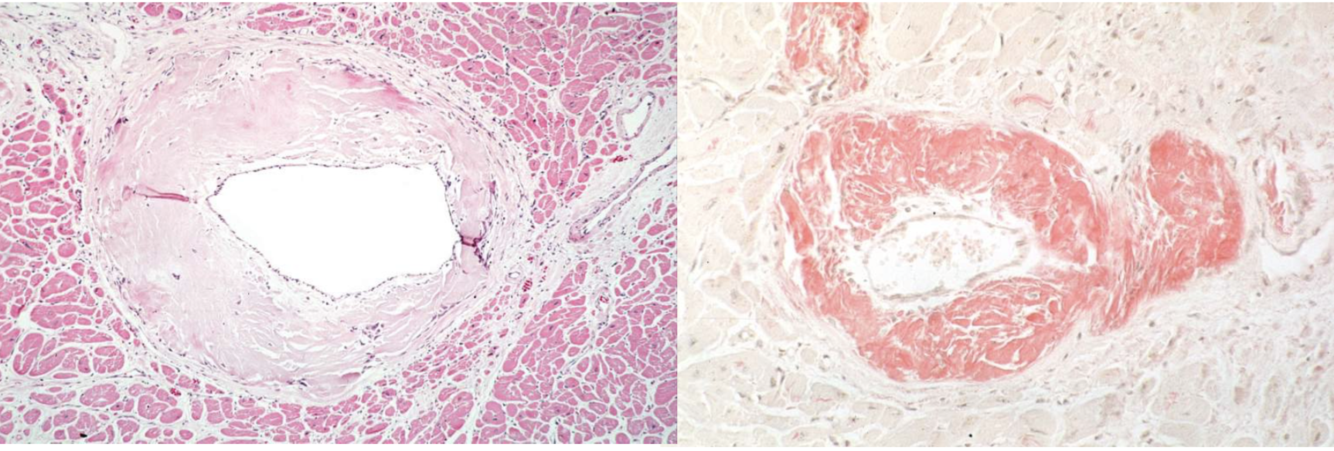
1
Q
A

Amylod heart on Congo red stain

  • amyloidosis
How well did you know this?
1
Not at all
2
3
4
5
Perfectly
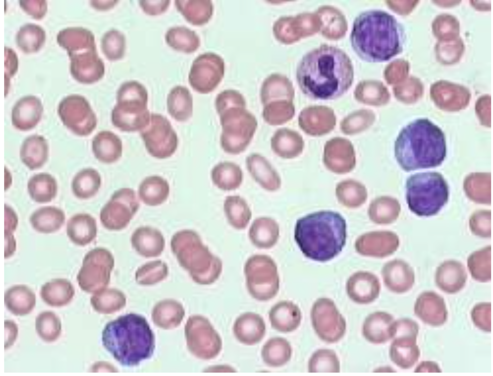
2
Q
A

plasmacytoid lymphocytes

  • waldenstrom’s
How well did you know this?
1
Not at all
2
3
4
5
Perfectly
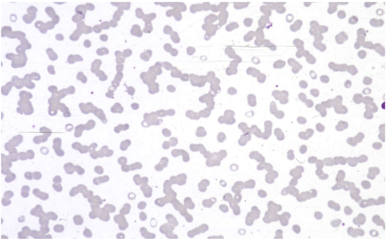
3
Q
A

waldenstrom’s

How well did you know this?
1
Not at all
2
3
4
5
Perfectly
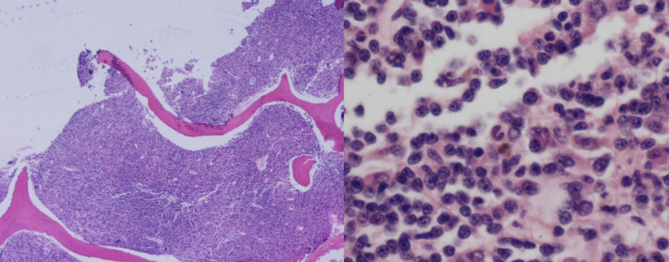
4
Q

commonly seen in

A
  • multiple myeloma
How well did you know this?
1
Not at all
2
3
4
5
Perfectly