Why is repaired tendon said to functionally deficient
Because repair involves fibrosis and the formation of scar tissue. Scar tissue is stronger but stiffer.
Describe the structure of tendon
Triple helix collagen molecule => Collagen fibril => Collagen fibre => Subfascicle => Fascicle => secondary and tertiary fascicles => Tendon unit

Whats the difference between postional tendons and energy storing tendons
Positional - Anatomically opposing.Transfer muscle force to generate movement at a joint
Energy storing - Store energy from previous stride, then release at recoil. Increasing efficiency of high speed locomotion
What is stress, creep and stress relaxation
Stress - Load experienced by the tendon per unit cross sectional area
Creep - Increased deformation under constant load
Stress relaxation - Load required to cause specific tissue strain decreases with time
Describe indirect fracture healing
Normal process
Fracture => haematoma => granulation tissue => Connective tissue => fibrocartilage & cancellous bone => bone.
Successive cell types require more oxygen. Stages of callus can be skipped if adequate oxygen tension
Describe the 2 Ways of direct fracture healing
Contact healing
Gap healing
What is malunion and what are the 6 types of Non-union
Malunion - Bone unites correctly but in wrong postion
Non union - Failure or delay in bone healing

What are the forces acting on a fracture
What treatment would be used for a minimally misaligned fracture
Coaption (cast) - Immobilise fracture
Promblems:
What are the 3 surgical methods of fixing a diaphyseal fracture
What Complimentary prostesis can be used
What are the 4 A’s when evaluating fractures
What attaches to the extensor process of the distal phalanx
How does the hoof grow
Throughout life, Growth occurs from the coronary corium where germinal cells produce keratinocytes
how does laminitis occur
Arteriovenous anastomoses usually closed under normal circumstances. However when its open, allows blood to bypass capillary network & into dermis & causes ishaemia
Describe the 4 diagnostic nerve blocks of the equine limb
How would you diagnose lameness in the forlimb and hindlimb
Forelimb
During weight bearing on the lame limb, the head will lift to try eleviate the weight of the limb and dip on the normal limb so it bears the weight of the head and neck
Hindlimb
Greater degree of difference between maximal and minumum pelvic heights during the stride of the lame limb
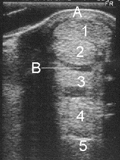
Label the ultrasound of the equine distal limb (transverse)

B - Tendon sheath
What are the direct and indirect costs of lameness
Direct
Indirect
Describe the lameness scoring test for cows

Whats the difference between prevelance and incidence
Incidence - The number of cases over a given period of time (36/100 cows were lame this year)
Prevelance - The amount of cases on a given day ( 36/100 cows are lame today)
What management factor can affect the prevelance of laminitis
Housing
Needs sufficient space to lay down and ruminate for 11-14 hours. if insufficient time is spent ruminating, decrease in bicarbonate causing ruminal acidosis. This causes laminitis due to poor quality horn and inflammation of laminae
Feed
TMR must be sufficiently mixed, otherwise cows will pick out more palatable feed leaving roughage. Decrease in bicarbonate.
What control measures should be taken to reduce lameness in cattle
Describe the sructure of intervertebral disk
