Define accessory ossicles?
Define sesmoids?
Name the most common ossicles?
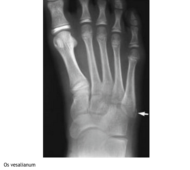
Name most common sesmoids?
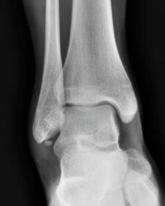
What is this?

Describe the epidemiology of Os trigonum?
Describe the pathophysiology of OS trigonium?

Name associated conditions of OS trigonium?
Describe the osteology of os trigonium?
Describe the symptoms of os trigonium?
Symptoms
O/E
What investigations are useful in Os trigonium?

What is the Differential dx of Os trigonium ?

What is the Tx of Os trigonium?

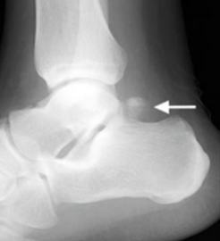
What is this?

What is the epidemiology and pathoanatomy of Os Subfibulare?
What are the symptoms and signs of Os Subfibulare?
Symptoms
Signs
What imaging is helpful in Os Subfibulare?

What is DDX of Os Subfibulare?

What is the Tx of Os Subfibulare?
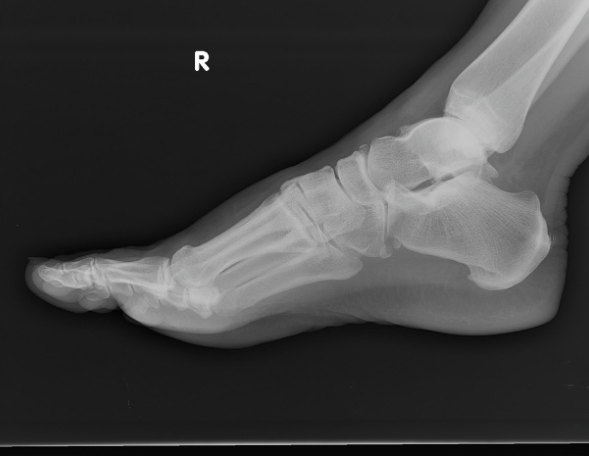
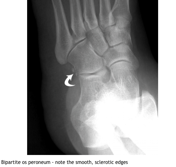
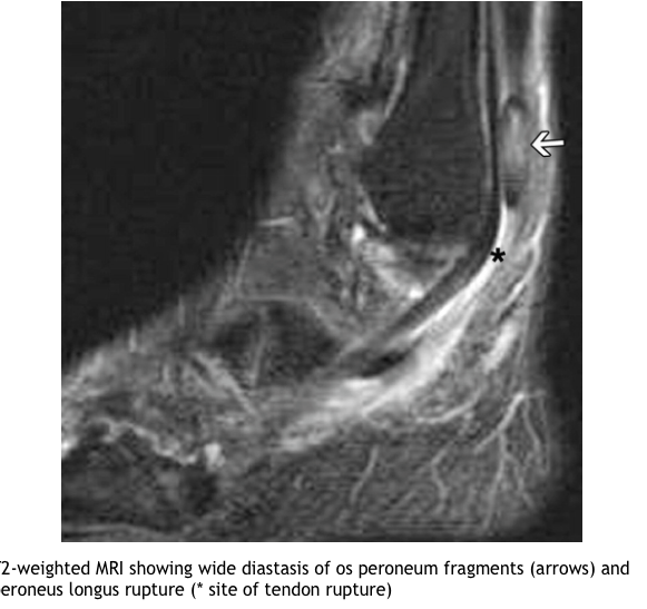
What is this?

What is the epidemiology of Os peroneum?

Describe the pathophysiology of injury/fracture?

What investigations are useful in DDx of Os peroneum?

What is the DDX of Os peroneum?
