What’s the definition of lower GI bleeding? (landmark)
Lower GI bleed = any bleeding distal to the ligament of Treitz
*ligament of Treitz: connects duodenum to the diaphragm and divides it from jejunum

The differential diagnosis for lower GI bleed
Lower GI bleed - differentials
Assessment of pts with lower GI
Resuscitation of the patient with hypotension (if there is a bleed)
Blood transfusion
What further investigations to perform in a patient with lower GI bleed who is shocked?
Stages of shock (the names of categories) (3)
Stage I -> compensated, or nonprogressive
Stage II -> decompensated or progressive
Stage III -> irreversible
What happens in stage I shock?
Stage I of shock
Low blood flow (perfusion) is first detected -> a number of systems are activated in order to maintain/restore perfusion
All this serves to maximize blood flow to the most important organs and systems in the body.
What happens at stage 2 shock?
Stage II of shock
What happens in stage III shock?
Stage III of shock
What cannula do we insert into a shocked patient?
2x 16G cannulae
Is there a scoring system for lower GI bleed?
no validated scoring system for lower GI bleed
When can we discharge a patient with a lower GI bleed?
If a patient:
What do we need to remember in terms of medication a pt is on when they come in with GI bleed
stop anti-coagulant medication
What’s the commonest cause of lower GI bleed?
Why do we use NG tube in the investigation of lower GI bleed?
To differentiate between upper & lower GI bleed
*if we can aspirate blood = upper GI bleed
We do not do it, everyone, depends on certainty of diagnosis for source of bleeding
Investigations in acute lower GI bleed
Basics: ECG, CXR, NG tube
Identification of the site of bedding: endoscopy (upper and lower), CT angiography, digital subtraction angiography
*lower GI endoscopy acutely is not often performed - due to faeces being there = therefore difficult to visualise the source of bleeding
What if the pt has a Hx of aortic intervention and comes in with GI bleed?
*aortic intervention e.g. aneurysm repair
Urgent/Immediate CT angiography and vascular referral
What can be done while colonoscopy if the source of lower GI bleed is identified?
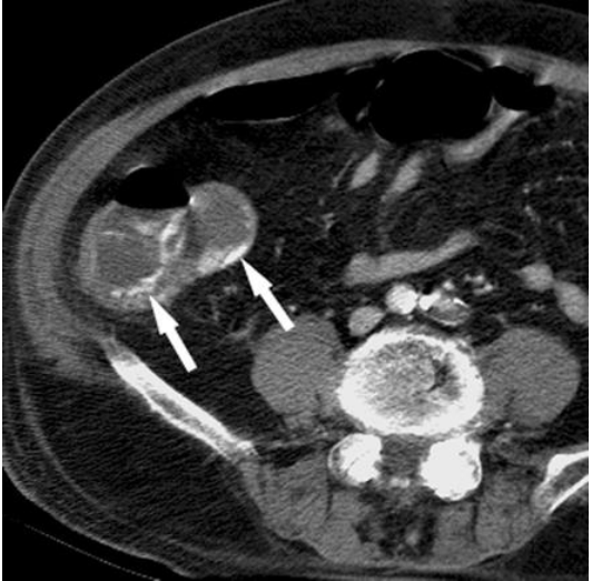
What can we see on CT angioography in a lower GI bleed into the bowel?
Blood with contrast goes into the bowel lumen

Selective Mesenteric Angiography
Selective Mesenteric Angiography
*no bowel prep is needed for that
* serious complication - bowel ischaemia may occur (as we need to embolise the vessels) -11% risk
Radionuclide Scintigraphy
Advantages/ disadvantages
Radionuclide scintigraphy

(blurred picture of the skeleton; shady areas where the bleed is on)
Advantages:
Disadvantage:
Capsule endoscopy
Capsule endoscopy

*not usually used in acute setting and clinical practice
Indication for the surgery in a lower GI bleed (1)
Haemodynamic instability despite aggressive resuscitation
Surgical techniques in lower GI bleed