Lower limb problems II Flashcards

(131 cards)

1
Q

Femoral shaft fracture is often due to

A

High energy injuries

How well did you know this?
1
Not at all
2
3
4
5
Perfectly
2
Q

Investigations for femoral shaft fractures

A

Xray

How well did you know this?
1
Not at all
2
3
4
5
Perfectly
3
Q

What can happen in displaced femoral shaft fracture

A

Substantial blood loss
Fat entering venous system causing embolism
-> resp distress / hypoxia / confusion

How well did you know this?
1
Not at all
2
3
4
5
Perfectly
4
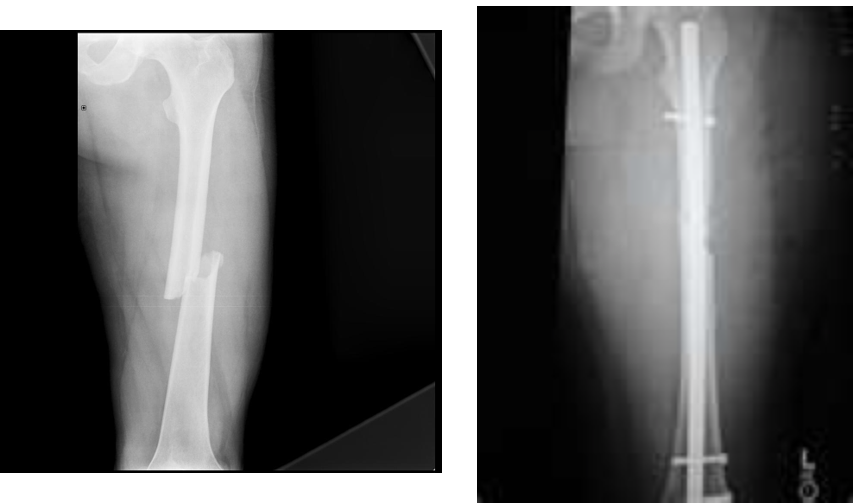
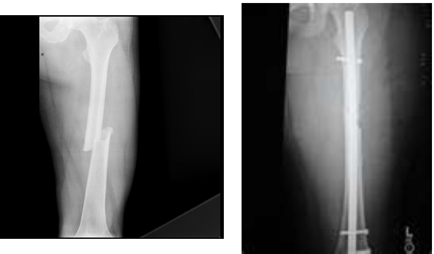
Q

Management of femoral shaft fractures

A
  1. Thomas splint for temporary stabilisation
  2. closed reduction + IM nail / plate fixation
How well did you know this?
1
Not at all
2
3
4
5
Perfectly
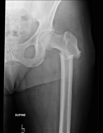
5
Q

Subtrochanteric (proximal femur) fracture often occurs in

A

Osteoporotic bone in elderly

How well did you know this?
1
Not at all
2
3
4
5
Perfectly
6
Q

What are the issues with subtrochanteric fractures

A

It takes a long time to heal and Non-union often occurs due to poor blood supply to the area

How well did you know this?
1
Not at all
2
3
4
5
Perfectly
7
Q

Management of subtrochanteric fracture

A
  1. Thomas splint for initial stabilisation
  2. IM nail
How well did you know this?
1
Not at all
2
3
4
5
Perfectly
8
Q

What type of joint is the knee joint

A

Hinge type of synovial joint

How well did you know this?
1
Not at all
2
3
4
5
Perfectly
9
Q

Movements of the knee joint

A

Flexion
Extension
Small degree of internal and external rotation

How well did you know this?
1
Not at all
2
3
4
5
Perfectly
10
Q

Articulating surfaces of the knee joint

A

2 between femur and tibia
1 between femur and patella

How well did you know this?
1
Not at all
2
3
4
5
Perfectly
11
Q

What type of bone is patella

A

Sesamoid bone - bone embedded in tendon / muscle

How well did you know this?
1
Not at all
2
3
4
5
Perfectly
12
Q

The patella is embedded in which tendon

A

Quadriceps tendon

How well did you know this?
1
Not at all
2
3
4
5
Perfectly
13
Q

The joint capsule of the knee is supported by ligaments. What are the ligaments of the knee

A

Patellar ligament
Lateral collateral ligament
Medial collateral ligament
Anterior cruciate ligament
Posterior cruciate ligament

How well did you know this?
1
Not at all
2
3
4
5
Perfectly
14
Q

Which ligaments of the knee joints are intracapsular

A

Anterior and posterior cruciate ligaments

How well did you know this?
1
Not at all
2
3
4
5
Perfectly
15
Q

Name A-D

A

A- Lateral collateral ligament
B- Anterior cruciate ligament
C- Posterior cruciate ligament
D- Medial collateral ligament

How well did you know this?
1
Not at all
2
3
4
5
Perfectly
16
Q

Name A-H

A

A- iliotibial band
B- Anterior cruciate ligament
C- Menisci
D- Fibula
E- Quadricep muscles
F- Patella
G- Patellar ligament
H- Tibia

How well did you know this?
1
Not at all
2
3
4
5
Perfectly
17
Q

Apart from ligaments, what else helps support the knee

A

Iliotibial band

How well did you know this?
1
Not at all
2
3
4
5
Perfectly
18
Q

Attachment of anterior cruciate ligament

A

From the intercondylar region of tibia, blends with medial epicondyle of tibia
Ascends posteriorly and attaches to the lateral femoral epicondyle

How well did you know this?
1
Not at all
2
3
4
5
Perfectly
19
Q

Attachment of posterior cruciate ligament

A

From the posterior intercondylar region of the tibia
Ascends anteriorly and attach to the medial femoral condyle

How well did you know this?
1
Not at all
2
3
4
5
Perfectly
20
Q

Function of MCL

A

resists valgus stress (force from lateral side)

How well did you know this?
1
Not at all
2
3
4
5
Perfectly
21
Q

Function of LCL

A

Resist varus stress (force from medial side)
Resist posterior-lateral rotation of the knee

How well did you know this?
1
Not at all
2
3
4
5
Perfectly
22
Q

Function of ACL

A

Resists internal rotation of the tibia in extension (bones of the knee joint twist in opposite directions)
Prevent anterior subluxation of tibia (so tibia won’t move forward)

How well did you know this?
1
Not at all
2
3
4
5
Perfectly
23
Q

Function of PCL

A

Resists posterior subluxation of the tibia
Prevents hyperextension of the knee

How well did you know this?
1
Not at all
2
3
4
5
Perfectly
24
Q

Function of menisci

A

Shock absorbers
Distribute the load of weight evenly across the knee joint

How well did you know this?
1
Not at all
2
3
4
5
Perfectly
25
What is special about medial menisci
It is attached to medial collateral ligament which makes it more likely to be damaged (damage to MCL often causes damage to medial meniscus)
26
Name A-D
A- Suprapatellar bursa B- Prepatellar bursa C- Infrapatellar bursa D- Semimembranous bursa
27
Clinical significance of suprapatellar bursa
Abnormal fluid within the knee joint can fill in here causing visible swelling
28
The extensor mechanism of the knee describes
Quadricep muscles and tendon Patella Patellar ligament
29
The extensor mechanism of the knee is responsible for
leg extension at the knee
30
Distal femur fracture often occurs in
Osteoporotic bone
31
Injury mechanism of distal femur fracture
Fall onto flexed knee in osteoporotic bone
32
The knee of the patient with distal femur fracture is often
Flexed (cannot extend it)
33
Investigation of distal femur fracture
Xray - AP and lateral
34
Management of distal femur fracture
Fixed with plate and screws
35
Why is true knee dislocation a medical emergency
Due to its high chance of neurovascular injuries and compartment syndrome
36
True knee dislocation management
Multi‐ligament reconstruction (because in order for the knee to dislocate, all the ligaments must be broken)
37
Most common presentation of patellar dislocation
Lateral dislocation
38
Patellar dislocation is most common in
Teenagers ,female
39
Risk factors for patellar dislocation
Ligamentous laxity Valgus alignment of the knee Shallow trochlear groove
40
Symptoms of patellar dislocation
Pain and tenderness medially where the patellar ligament is torn
41
Clinical signs of patellar dislocation
Haemarthrosis (swelling) Positive patellar apprehension test
42
What is haemarthrosis
Bleeding into synovial membrane
43
Describe the patellar apprehension test
1. patient in supine / sitting up with knee flexed 30 degrees 2. try to displace the patella laterally Pain = positive
44
Investigations for patellar dislocations
Patellar apprehension test Xray
45
What may be seen on xray for patellar dislocation
Lipohaemarthrosis Associated osteochondral fracture
46
Management for patellar dislocation
Most spontaneously reduce when the knee is straightened Splint Physiotherapy
47
How likely are patients going to experience another patellar dislocation after one
10% experience another recurrent dislocation
48
How to prevent further recurrent dislocations of the patella
Physio to strengthen quadriceps Risk decreases with as they grow older Surgery
49
What can cause tibial plateau fractures to occur
High energy injury in young Low energy injury in old osteoporotic bone
50
Tibial plateau fracture is classified by
Schatzker system
51
Tibial plateau fracture is an intra/extra-articular fracture
Intra-articular
52
Different presentations of tibial plateau fractures
split in the bone a depression of the articular surface a combination of both
53
Injury mechanism of tibial plateau fracture
valgus force to the knee with foot planted
54
Investigations for tibial plateau fracture
Xray - AP and lateral CT
55
What may be seen on xray for tibial plateau fracture
lipohaemarthrosis; fat floating on top of blood which bled into the joint
56
Lipohaemarthrosis is a specific sign for
Intra-articular fractures
57
Complications of tibial plateau fracture
Blow to lateral aspect of knee -> damage the common fibular nerve High risk of compartment syndrome Damage to soft tissue
58
Sign of common fibular nerve damage
Foot drop
59
Why does common fibular nerve damage cause foot drop
Because the deep branch of common fibular nerve provides motor innervation to muscles in the anterior compartment of leg Those muscles are required to dorsiflex the foot
60
Management of tibial plateau fracture
ORIF Bone grafting for depressed fractures TKR (most still require TKR despite other management)
61
Tibial plateau fracture is associated with soft tissue injury. How can this be a problem in management
Substantial soft tissue swelling -> requires temporary external fixation -> ORIF
62
Injury mechanisms of tibial shaft fractures
Torsional injury Bending Compressive force from deceleration Direct force
63
Torsional injury can cause which fracture configuration of the tibial shaft
Spiral fracture
64
Compressive force from deceleration can cause which fracture configuration of the tibial shaft
Oblique fracture
65
High energy direct force can cause which fracture configuration of the tibial shaft
Comminuted fracture
66
Tibial shaft fracture is at a high risk of
compartment syndrome of the anterior compartment of leg
67
Investigation for tibial shaft fracture
Xray - AP and lateral
68
Management for tibial shaft fracture
above knee cast ORIF with IM nails
69
What is valgus knee
When the bone at the knee joint is angled out and away from the body's midline
70
Describe the image
Valgus knee
71
What is varus knee
When the bone of the knee joint is angled inwards towards the body's midline
72
Describe the image
Varus knee
73
What factors increases the risk for knee osteoarthritis
Valgus / varus knee Ligament injuries - esp ACL Previous meniscal tears Active occupation and hobbies
74
Which type of OA can valgus knee cause
Lateral OA
75
Which type of OA can varus knee cause
Medial OA
76
Injury mechanism of meniscal tears
Twisting force on loaded knee (weightbearingon knee) e.g. turning at football / squatting
77
How do most older patients get meniscal tear
Atraumatic, spontaneous tears due to weakened meniscus
78
Degenerative meniscal tear is an early sign of
knee oA
79
Rupture of which ligament is often associated with meniscal tear
ACL
80
Which type of meniscal tear is more common
Medial meniscal tear
81
Symptoms of meniscal tear
Pain and tenderness localised to medial/lateral joint line (depending on which type of tear) Unable to fully straighten knee (true locking) Knee about to collapse during walking
82
Why would patients with meniscal tears describe the feeling that their knee is going to collapse during walking
Because the meniscal fragment may be caught in the knee joint during movement
83
Patients with knee arthritis sometimes describe that their knee is stuck as well. Is this the same as locked knee in meniscal tears
No, meniscal tears cause true locked knee whereas arthritis causes pseudo-locking which can resolve spontaneously
84
Pseudo-locking vs true locked knee
Pseudo-locking can be resolved spontaneously whereas true locking cannot True locking is due to a fragment trapped in knee joint whereas pseudo-locking is due to too much pain
85
Acute locked knee in a patient with meniscal tear suggests
Large bucket handle meniscal tear
86
Does true-locking occur in all patients with meniscal tear
No, only if the meniscal tear is severe and unstable enough to be flipped and trapped in knee
87
Clinical signs of meniscal tear
Swelling Positive McMurray's test (but may not be accurate) Positive Steinman test (but may not be accurate)
88
Describe McMurray's test for meniscal tear
1. Patient supine 2. Manually flex the hip and knee by grasping the patient's feet 3. Extend the knee with internal rotation of the tibia + varus (inwards) stress 4. Then return to flexion of the knee and extend the knee again but with external rotation + valgus stress
89
Describe specifically what each step of Mcmurray's test is testing for
1. Flex -> extend knee with internal rotation + varus stress = tests for lateral meniscal tear 2. Flex -> extend knee with external rotation + valgus stress = tests for medial meniscal tear
90
Describe Steinman's test
1. Patient supine 2. Stabilise the knee in flexed position 3. Hold the ankle of the leg 4. Rotate the leg medially and laterally Pain = positive
91
Pain during external rotation in Steinman test suggests
Medial meniscal tear
92
investigations for meniscal tear
Steinman's McMurray's MRI
93
How to differentiate between degenerative and acute meniscal tear
Degenerative tear is Steinman's negative and likely to be associated with signs of OA
94
Why is it important to differentiate between degenerative and acute meniscal tear
Because management is different - degenerative tears are unlikely to benefit from arthroscopic meniscectomy whereas acute tears can
95
Management for acute meniscal tear
Meniscal repair (only indicated in some) Arthroscopic meniscectomy (If meniscal repair fails / meniscal repair not indicated and pain does not settle after 3 months)
96
When is meniscal repair indicated
In young patients with fresh meniscal tears
97
Describe the healing of meniscal tears
Slow due to blood supply only on its outer 1/3 Healing potential decreases with increasing age
98
What are bucket handle tears
Large longitudinal meniscal tear, where the fragment can flip out and cause knee locks
99
Why may it be useful to see patients with suspected soft tissue injuries of the knee a few days later if not significant
Due to pain and instability limiting examination findings
100
What imaging technique is used to identify soft tissue injuries of the knee
MRI
101
If you suspect large soft tissue injury of the knee, what should you do
early MRI instead of seeing the patient again few days later
102
Which knee ligament is the most commonly injured
ACL
103
Mechanism of injury of ACL
Sudden pivoting with foot planted
104
Symptoms of ACL tear
Audible pop followed by pain and swelling Pain settles but leaves rotatory instability
105
What is the main complaint that patients with ACL injury will present
Rotatory instability (ACL is responsible to resist the internal rotation of tibia)
106
Clinical signs of ACL injury
Excessive anterior movement of the tibia on anterior drawer test and Lachman test (ACL is responsible to prevent anterior subluxation of tibia)
107
Describe Anterior drawer test
1. Patient supine, knee flexed 2. Sit on the patient's foot to immobilise the foot 3. Grab the tibial head with both hands and pull it anteriorly Positive = abnormal anterior movement of tibia
108
Describe the Lachman test
1. Patient supine, knee slightly flexed 2. tibia is slightly externally rotated 3. Hold the knee with one hand and the tibial head with another hand 4. Pull the tibial head anteriorly (like in anterior drawer test) Positive = anterior movement of tibia
109
Investigations for ACL injury
Joint aspiration - may show haemarthrosis MRI
110
Management of ACL injury
Some may compensate well (not heal) Physiotherapy ACL reconstruction if indicated Rehab after ACL reconstruction
111
Why can't ACL repair itself
Because there is no blood supply
112
When is ACL reconstruction indicated
No improvement from physio Multiligament reconstruction For professional athletes
113
Mechanism of injury of PCL injury
Direct blow to anterior tibia
114
Symptoms of PCL injury
Popliteal knee pain and bruising Positive posterior drawer test Positive sag test
115
Describe the sag test (Godfrey sign)
1. Patient supine, knee flexed to 90 degrees 2. Inspect the tibial tuberosities Positive = tibia sags posterior compared to other knee
116
Investigations for PCL injury
Xray - PCL injury is often associated w other injuries MRI Sag test Posterior drawer test
117
Management for PCL injury
Most don't require reconstruction surgery Reconstruction surgery for those that develop instability
118
What instability can PCL injury cause
Recurrent hyperextension Feeling unstable when going down stairs
119
Mechanism of injury of MCL
Valgus stress - rugby tackling from the side
120
Symptoms of MCL
Knee swelling Valgus instability Medial joint line tenderness Pain on valgus
121
Investigations for MCL injury
Clinical - valgus stress test Xray / MRI if needed
122
Describe the valgus stress test
1. Patient supine with knee in extension and slight external rotation 2. Hold the ankle with one hand and the other hand hold the lateral condyle of the femur 3. Push against the knee medially and laterally against the ankle Positive = abnormal movement / pain
123
Management of MCL injury
Usually heals well Hinged knee brace MCL tightening / reconstruction for chronic MCL instability
124
Why does MCL injury heal well whereas ACL injury doesn't
Because there is blood supply to MCL whereas there isn't to ACL
125
LCL injury often occurs with
PCL or ACL injury Uncommon on its own
126
Mechanism of injury of LCL
Varus stress Hyperextension
127
Symptoms of LCL injury
Knee swelling Varus instability Lateral joint line tenderness Positive varus stress test
128
Describe the varus stress test
1. Patient supine, knee fully extended 2. Hold the ankle with one hand and the medial epicondyle of knee with another 3. Push against the knee laterally and medially against the ankle Positive = abnormal movement / pain
129
Investigations for LCL injury
Clinical - Varus stress test Xray / MRI if needed
130
Management of LCL injury
Early urgent repair Late reconstruction for those that are later diagnosed
131
LCL injury is often associated with
Common fibular nerve damage Multiligament injuries Vascular injury - popliteal artery