Upper limb problems III Flashcards

(75 cards)

1
Q

What is carpal tunnel syndrome

A

Neuropathy caused by acute or chronic compression of the median nerve in carpal tunnel

How well did you know this?
1
Not at all
2
3
4
5
Perfectly
2
Q

Cause of carpal tunnel syndrome

A

Idiopathic
RA
Pregnancy
Diabetes
Chronic renal failure
Hypothyroidism (myxoedema)
Fractures around the wrist
Acromegaly

How well did you know this?
1
Not at all
2
3
4
5
Perfectly
3
Q

How does RA cause carpal tunnel syndrome

A

Synovitis reduces space in carpal tunnel

How well did you know this?
1
Not at all
2
3
4
5
Perfectly
4
Q

How does pregnancy, diabetes, chronic renal failure and hypothyroidism cause carpal tunnel syndrome

A

Cause retention of water -> reduces space

How well did you know this?
1
Not at all
2
3
4
5
Perfectly
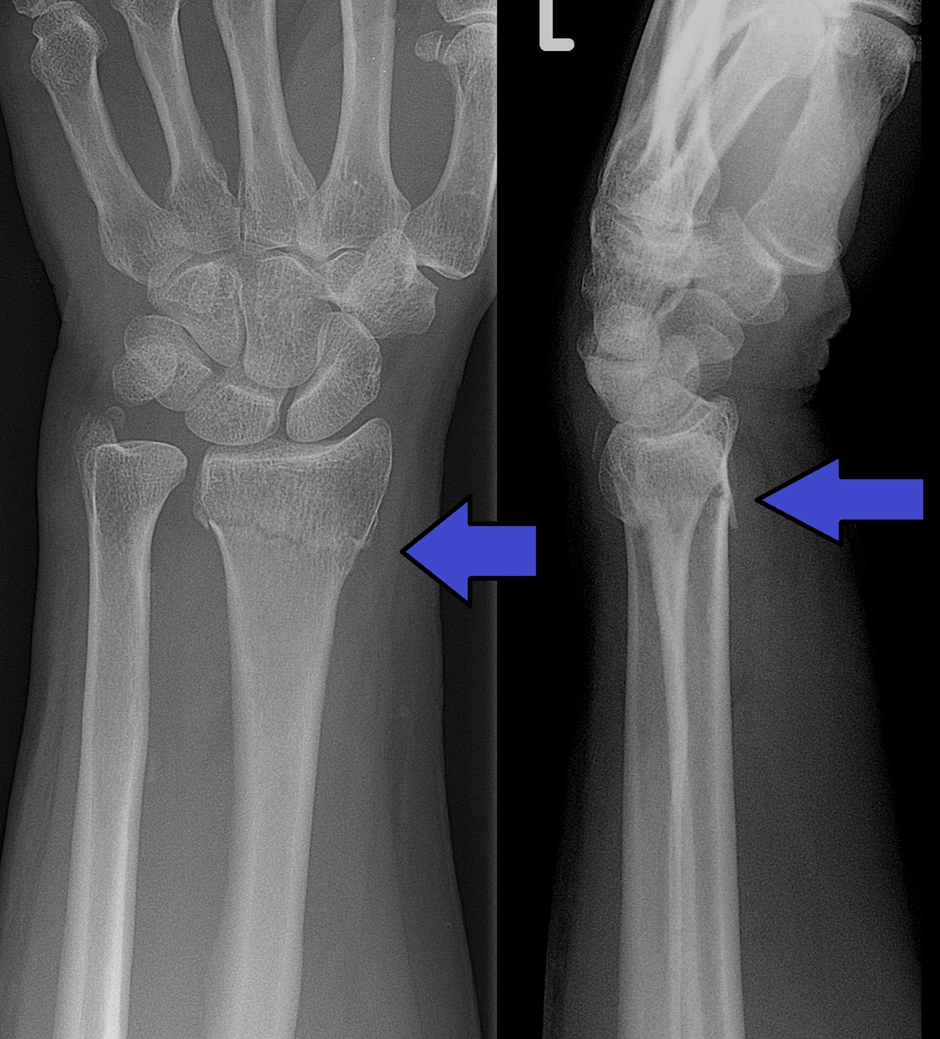
5
Q

Which wrist fracture causes carpal tunnel syndrome

A

Colles fracture - complete fracture of distal radius causing dorsal displacement of radius

How well did you know this?
1
Not at all
2
3
4
5
Perfectly
6
Q

Do carpal tunnel syndrome symptoms persist after pregnancy if pregnancy was the only cause

A

No, it tends to reside after childbirth

How well did you know this?
1
Not at all
2
3
4
5
Perfectly
7
Q

Motor innervation of the hand by median nerve

A

LOAF muscles
-lateral 2 lumbricals
-opponens pollicis
-abductor pollicis brevis
-flexor pollicis brevis

How well did you know this?
1
Not at all
2
3
4
5
Perfectly
8
Q

Sensory innervation of the hand by median nerve

A

Palmar aspect of lateral 3 and 1/2 fingers (thumb, index, middle and half of ring finger)
Dorsal aspect of nail beds of those fingers too

How well did you know this?
1
Not at all
2
3
4
5
Perfectly
9
Q

Symptoms of carpal tunnel syndrome

A

Weakness in thumb and radial 2 1/2 fingers
Tingling, burning sensation of those 3 fingers worse at night
Tingling, burning sensation relieved by shaking/ hanging out the hand at night
Clumsiness in fingers
Loss of sensation

How well did you know this?
1
Not at all
2
3
4
5
Perfectly
10
Q

Signs of carpal tunnel syndrome

A

Muscle wasting at thenar eminence (base of thumb)

How well did you know this?
1
Not at all
2
3
4
5
Perfectly
11
Q

Investigations for carpal tunnel syndrome

A

Tinel’s test - causes symptoms
Phalen’s test - causes symptoms
Nerve conduction studies

How well did you know this?
1
Not at all
2
3
4
5
Perfectly
12
Q

Describe tinel’s test

A

Percuss over median nerve
Positive = tingling, burning sensation over the area innervated by median nerve

How well did you know this?
1
Not at all
2
3
4
5
Perfectly
13
Q

Describe Phalen’s test

A

Ask patient to hold his wrists hyper-flexed
Positive = tingling, burning sensation over the area innervated by median nerve

How well did you know this?
1
Not at all
2
3
4
5
Perfectly
14
Q

Management of carpal tunnel syndrome

A

Wrist splints at night to prevent flexion
Corticosteroids injections
Carpal tunnel decompression surgery

How well did you know this?
1
Not at all
2
3
4
5
Perfectly
15
Q

What is De Quervain’s tenosynovitis

A

Inflammation of the extensor pollicis longus and extensor pollicis brevis tendons

How well did you know this?
1
Not at all
2
3
4
5
Perfectly
16
Q

Risk factors of De quervain’s

A

Women
30-50
Pregnancy
RA
Occupation - musicians, office workers who need to perform thumb abduction repetitively

How well did you know this?
1
Not at all
2
3
4
5
Perfectly
17
Q

Symptoms of De Quervain’s tendinopathy

A

Pain at the base of the thumb
Pain exacerbated by abduction of the thumb, gripping and ulnar deviation of the wrist
Swollen wrist

How well did you know this?
1
Not at all
2
3
4
5
Perfectly
18
Q

Investigations for DeQuervain’s tendinopathy

A

Finklestein’s test
US - rule out CMC OA
Xray - rule out CMC OA

How well did you know this?
1
Not at all
2
3
4
5
Perfectly
19
Q

Describe Finklestein’s test

A

Patient’s thumb is flexed, making a fist
Hand is ulnar deviated
Postive = pain

How well did you know this?
1
Not at all
2
3
4
5
Perfectly
20
Q

How to differentiate between CMC OA and De Quervain’s tendinopathy

A

CMC OA Finkelstein’s test is usually negative but positive in grind test

How well did you know this?
1
Not at all
2
3
4
5
Perfectly
21
Q

Management of DeQuervain’s tendinopathy

A

Splint
Rest
Physio
Analgesics
Steroid injections
Surgical decompression

How well did you know this?
1
Not at all
2
3
4
5
Perfectly
22
Q

What is Dupuytren’s contracture

A

progressive, fibrotic thickening of the palmar fascia progressing into contractures at MCP and PIP joints

How well did you know this?
1
Not at all
2
3
4
5
Perfectly
23
Q

Pathology of Dupuytren’s contracture

A

Proliferation of my-fibroblast cells
Production of type 3 collagen rather than type 1 = thickened palmar fascia

How well did you know this?
1
Not at all
2
3
4
5
Perfectly
24
Q

Risk factors of Dupuytren’s contracture

A

Males
Diabetes
Smoking
Alcohol
Cirrhosis
Epilepsy, epileptic medications
Repetitive trauma to hand

How well did you know this?
1
Not at all
2
3
4
5
Perfectly
25
Which joints are involved in Dupuytren's contracture
MCP PIP
26
Symptoms of Dupuytren's contracture
Painless Starts as palmar nodule then progresses into flexion contracture of fingers Symmetrical and bilateral
27
Which fingers are the most commonly involved in Dupuytren's contracture
Ring and little fingers
28
What is Dupuytrens diathesis
Severe form of Dupuytren's Dupuytren's contracture of the 4th and 5th fingers + Ledderhose + Peyronie's
29
What is Ledderhose disease
Plantar fibromatosis - growth of fibrous nodules on soles of feet
30
What is Peyronie's disease
FIbromatosis of the penis
31
Signs of Dupuytren's contracture
Palpable hard nodules fixed flexion deformity of the 4th and 5th digit (painless)
32
Investigations for Dupuytren's contracture
Clinical
33
Management of Dupuytren's contracture
Stretch Observe Surgery
34
Name A-E
A- Distal phalanx B- Proximal phalanx C- Sesamoid bone D- Metacarpal E- Middle phalanx
35
Name A-D
A- DIP joint B- PIP joint C- IP joint D- MCP joint
36
Name A-H
A- Scaphoid B- Lunate C- Triquetrum D- Pisiform E- Trapezium F- Trapezoid G- Capitate H- Hamate
37
Name A-F
A- Palmar aponeurosis B- Flexor tendon sheaths C- Hypothenar fascia D- Tendon of palmaris longus E- Flexor retinaculum F- Thenar fascia
38
Which tendons pass through the flexor tendon sheath to the digits
Flexor digitorum superficialis Flexor digitorum profundus Flexor pollicis longus
39
What is the thenar eminence
Muscles of the thumb at the base of thumb
40
Superficial muscles in thenar eminence
Abdcutor pollicis brevis Flexor pollicis brevis
41
Deep muscle in thenar eminence
Opponens pollicis
42
Name A-C
A- Flexor pollicis brevis B- Abductor pollicis brevis C- opponens pollicis
43
Attachment of abductor pollicis brevis
Origin: flexor retinaculum and tubercles of scaphoid and trapezium Attachment: Lateral side of base of proximal phalanx of thumb
44
Function of abductor pollicis brevis
abducts the thumb helps opposition of the thumb
45
Attachment of flexor pollicis brevis
Origin: flexor retinaculum and tubercles of scaphoid and trapezium Attachment: Lateral side of base of proximal phalanx of thumb
46
Function of flexor pollicis brevis
flexes the first MCP joint of the thumb
47
Attachment of opponens pollicis
Origin: flexor retinaculum and tubercles of scaphoid and trapezium Attachment: lateral side of 1st metacarpal
48
Function of opponens pollicis
Opposition of thumb (by medially rotate and flex the metacarpal on trapezium)
49
Innervation of thenar eminence
Recurrent branch of median nerve
50
What are the hypothenar muscles
Muscles that control the movement of little finger at the base of the little finger
51
What are the superficial hypothenar muscles
Abductor digiti minimi Flexor digiti minimi
52
What are the deep hypothenar muscles
Opponens digiti minimi
53
Name A-C
A- Flexor digiti minimi B- Abductor digiti minimi C- Opponens digiti minimi
54
Attachment of flexor digiti minimi
Origin: Hook of hamate and flexor retinaculum Attachment: Medial side of base of proximal phalanx of 5th digit
55
Function of flexor digiti minimi
Flexes proximal phalanx of 5th digit
56
Attachment of abductor digiti minimi
Origin: Pisiform Attachment: Medial side of base of proximal phalanx of 5th digit
57
Function of abductor digiti minimi
Abduct the 5th digit Assist in flexion of proximal phalanx of 5th digit
58
Attachment of opponens digiti minimi
Origin: Hook of hamate and flexor retinaculum Attachment: Medial border of 5th metacarpal
59
Innervation of hypothenar eminence
Deep branch of ulnar nerve
60
Which hand bone is the most frequently fractured
Scaphoid
61
Mechanism of injury of scaphoid fracture
Fall on outstretched hand
62
Symptoms of scaphoid fracture
Pain and tenderness in anatomical snuffbox
63
Investigations for scaphoid fracture
Xray - AP, lateral, 2 obliques If not visible - repeat xray in 10 days or do MRI
64
If scaphoid fracture is not visible on xray initially but highly suspicious of it, what should be done
Start treatment (scaphoid plaster and splint) Repeat Xray or MRI after 10 days
65
Management of scaphoid fracture
Wrist in beer glass position Cast ORIF / screw fixation if needed
66
Complication of scaphoid fracture
Compromise blood supply causing - avascular necrosis - increased risk of non-union - early OA
67
how may scaphoid fracture compromise blood supply
The fracture can damage dorsal branch of radial artery which supplies 70-80% of blood supply to scaphoid
68
What is trigger finger
Impingement at the level of A1 pulley inhibiting smooth gliding of the tendon
69
What is a pulley
Bands of tissues along the tendon sheath which holds the flexor tendons close to the finger bones
70
Risk factors of trigger finger
Female >50 (but can occur at any age) Diabetes RA Occupation that requires prolonged gripping
71
Pathophysiology of trigger finger
1. flexor tenosynovitis from repetitive movements 2. causes fibrocartilaginous metaplasia which forms nodules distal to the pulley on the tendon 3. When fingers are flexed, the nodule moves proximal to the pulley but when the patient tries to extend finger, the node cannot pass back under the pulley 4. so the finger is locked in flexed position
72
Symptoms of trigger finger
Pain over A1 pulley (around metacarpal head) Finger locked in flexion
73
Difference between trigger finger and dupuytren's contracture
Dupuytren's contracture is painless, fixed and cannot be passively corrected
74
Clinical signs of trigger finger
Feel nodule pass beneath pulley
75
Management of trigger finger
Often resolves spontaneously Splint Steroid injections into tendon sheath Surgical release