Which restrictive lung diseases may be caused by inhalation of inorganic dust particles?
Pneumoconioses (includes anthracosis, coal worker’s pneumoconiosis, silicosis, and asbestosis)
What causes anthracosis? What histopathologic finding is characteristic of this disease?
Inhalation of carbon dust. Macrophages eat the carbon, resulting in irregular black patches both grossly and histologically (see photo).

Inhalation of both coal dust and silica may cause which restrictive lung disease?
Coal workers pneumoconiosis
Which disease is characterized by fibrotic nodules filled with necrotic black fluid; other sequalae include bronchiectasis and pulmonary hypertension?

Coal worker’s pneumoconiosis
What type of jobs put people at risk for silicosis? Where is silica found?
Silica is found in rocks! People at risk are stone masons, miners, glass makers, stone cutter cats.
What gnarly infectious disease does silicosis put people at greater risk for?
TB
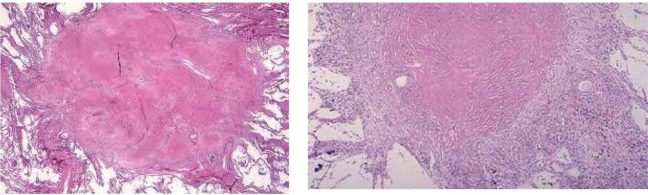
Your patient is a 58 y.o. male who has worked in landscaping forever and he presents with shortness of breath. He doesn’t have heart failure and you get some PFTs that show he is restricted. You do a lung biopsy and the histologic slide is attached. What is your diagnosis?

Chronic silicosis - characterized by fibrotic nodules that enlarge and block airways and blood vessels.
In which lobes of the lung does asbestosis preferentially affect?
The lower lobes
Inhalation of what specific particles causes coal workers pneumoconiosis?
Coal AND silica dust
If your patient was in the ship-building industry and presents with a restrictive lung disease, what should be one of your top DDxs?
Asbestosis
Name a histologic finding in a lung affected by asbestosis. Describe the shit.
Ferrugenous bodies - stain positively for iron stains.
Arise from protein coating asbestos fibers.

What restrictive lung disease, caused by inhalation of inorganic particles, results in formation of dense fibrocalcific plaques on the parietal pleura? What might you find on a histological section from this patient’s lung?

Asbestosis. You might also find ferrugenous bodies.
What cancer(s) do asbestosis predispose people to?
Bronchiogenic carcinoma and malignant mesothelioma
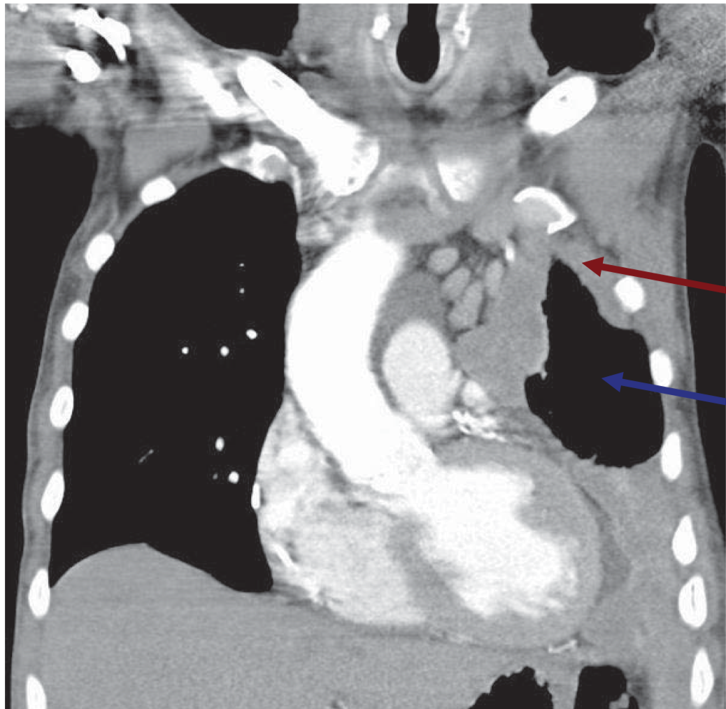
Inhalation of ________ can cause the condition seen here on XR.

Asbestos - its a mesothelioma
What are the two types of idiopathic pulmonary fibrosis? Which type has a better prognosis?
Usual interstitial pneumonia (UIP) - bad prognosis
Non-specific interstitial pneumonia (NSIP) - 100% 5-year survival rate
Idiopathic pulmonary fibrosis is characterized by chronic inflammation of the _______ _______.
alveolar walls
What two gross findings are characteristic of idiopathic pulmonary fibrosis?
What is the distribution of fibrosis in the lungs in UIP?
Fibrosis is seen in the periphery and bases of the lungs in UIP
What is your Dx?

Idiopathic pulmonary fibrosis (honeycomb appearance)
What is your Dx?

Idiopathic pulmonary fibrosis (cobblestoning)
Word association game: bird owner
Hypersensitivity pneumonitis
What histological findings are seen in hypersensitivity pneumonitis? How are granulomas of HSP different than those of sarcoidosis?
Non-caseating granulomas and interstitial thickening (fibrosis).
HSP granulomas are seen more often in the periphery and are less well-developed than in sarcoidosis.

Name the types of infectious agents that usually cause the following:
Airspace pneumonia
Interstitial pneumonia
Granulomatous pneumonia
Airspace pneumonia - bacteria
Interstitial pneumonia - viruses and mycoplasma
Granulomatous pneumonia - TB and fungi
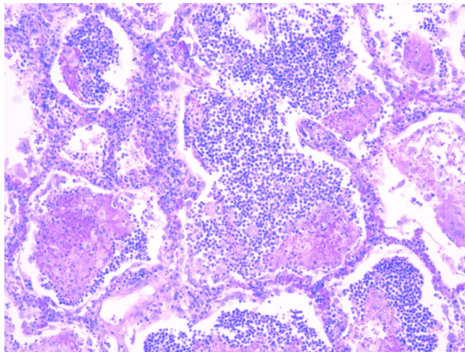
Your patient is febrile and is experiencing shortness of breath and productive cough. They recently had a flu-like illness. The photo shows what their lungs would look like. What type of pneumonia is this?

Air space pneumonia –> lobar pneumonia