What is this?

Dog Kidney
How can you distinguish the renal cortex from the renal medulla?
cortex:
contains glomeruli, PCT, and DCTs
medulla:
only contains tubules
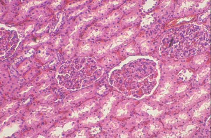
Is this in the cortex or the medulla?

Cortex. Notice the glomeruli and the tubules
Is this in the cortex or the medulla?

Medula. Notice there are ONLY tubules
What are we looking at? (I know, it’s a bad pic)


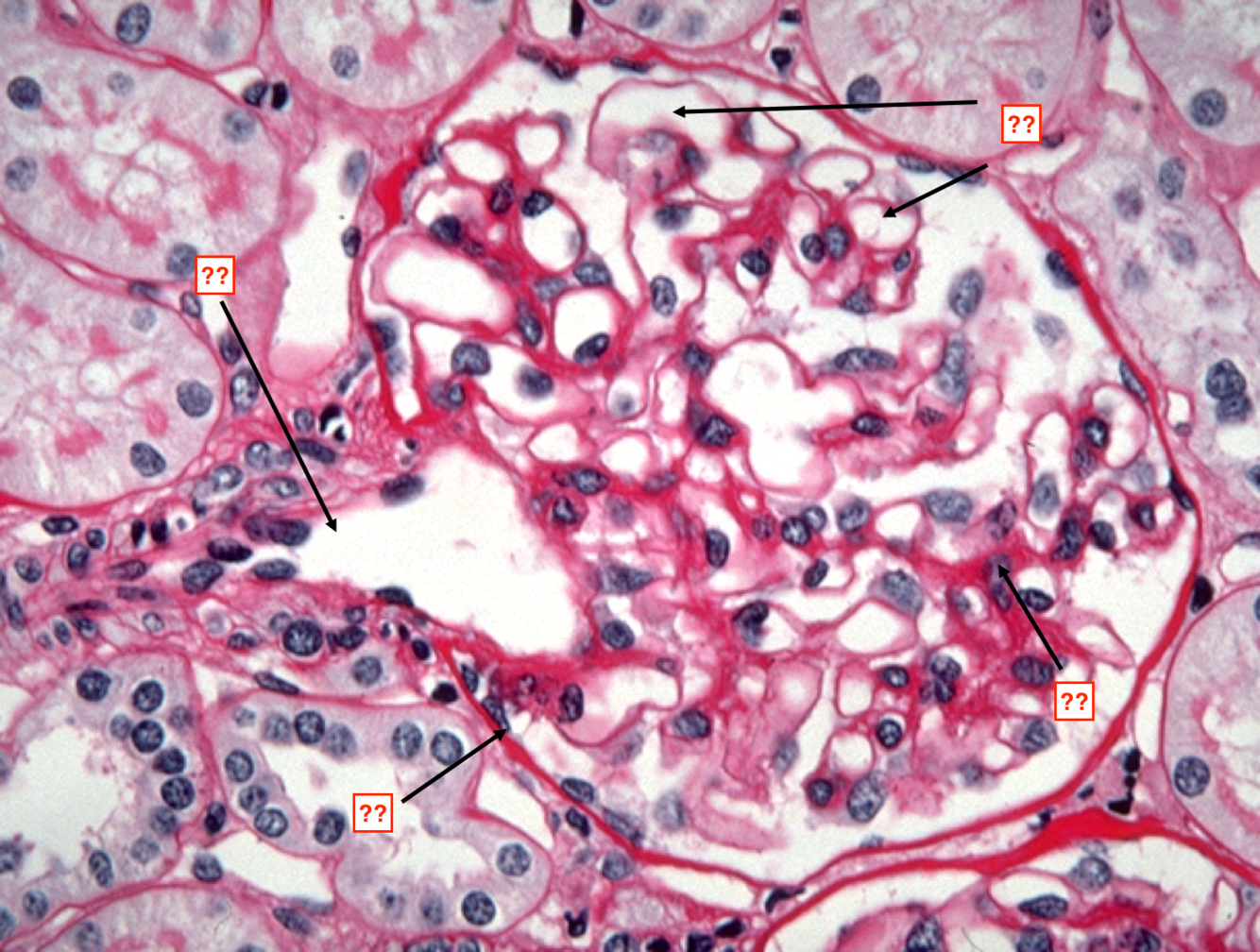
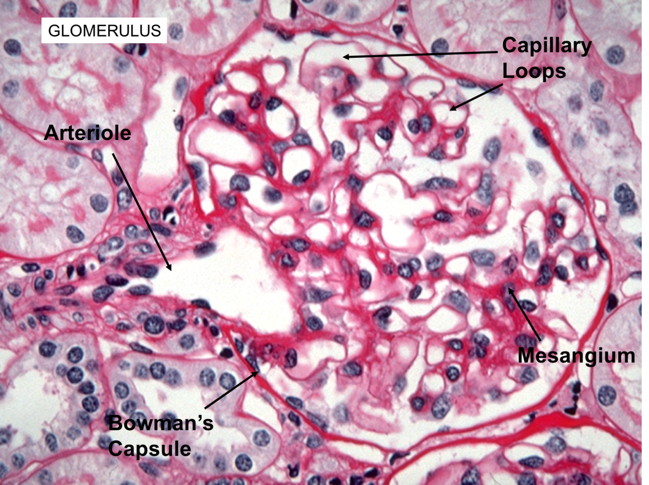
What are you looking at? Name the arrows? Is this normal or diseased?

normal glomerulus

What is the difference between PCT cells and DCT cells?
PCT: larger with microvilli
DCT: smaller w/o microvilli
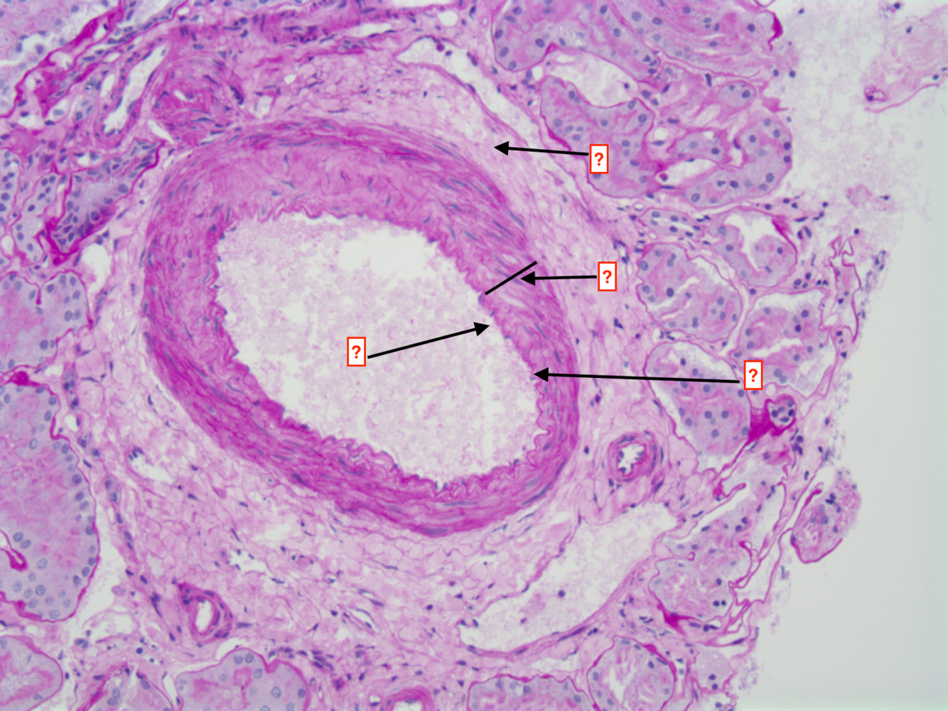
Name it


Name it

Artery

What are the 3 categories of renal failure? Once has 4 sub-categories, what are they?
NOTE: pathologists lump tubular and interstitial diseases into one category

What is tubulointerstitial nephritis?
Inflammation of the tubules and interstitium
What is ischemic or toxic tubular injury?
it is acute tubular injury
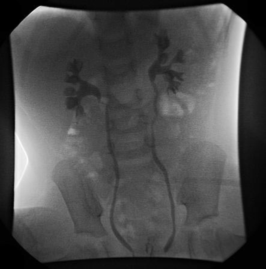
Is this fluoroscopic voiding cystourethrogram (VCUG) image of a 2 year old boy normal?

NO! this shows hydronephrosis indicating vesiculouretal reflux
What is acute pyelonephritis? What usually causes it?
inflammation of the renal pelvis, calyces, and kidney tissue
bacterial infection
Is pyelonephritis typically an ascending (urethra up) or descending (hematogenous) infection?
ascending infection

What is wrong with it? (this is one kidney cut in half and opened like a book, but we are seeing the capsular portion)

This is a fixed kidney demonstrating acute pyelonephritis

What in God’s name is going on here?

The inside of a kidney demonstrating acute pyelonephritis

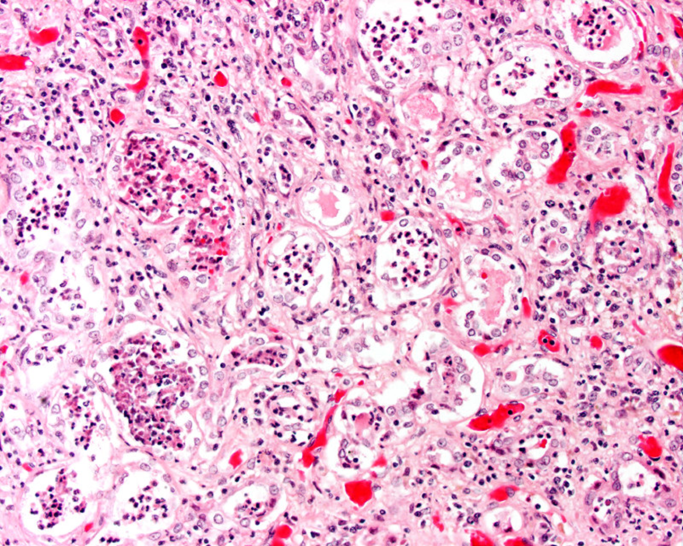
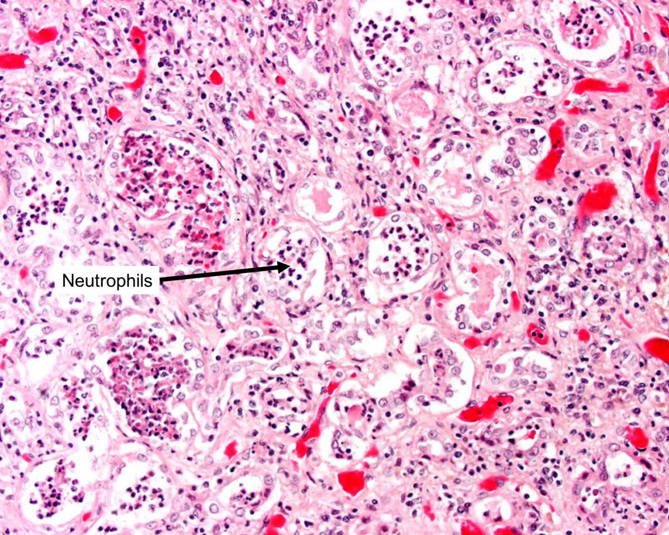
What is going on here?


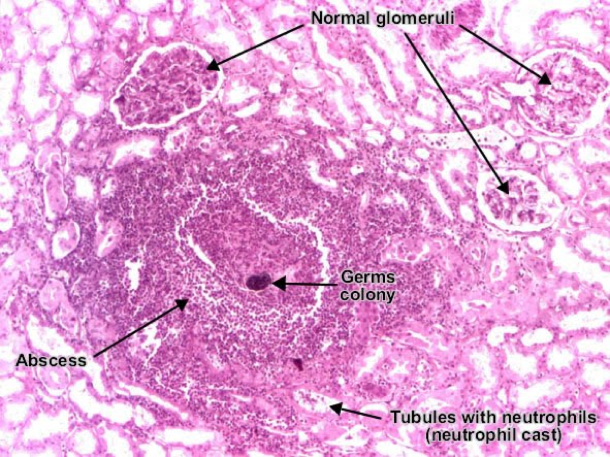
What do you see? diagnosis?

Bunch of neutrophils hanginging out
pyelonephritis

What is the most common cause of tubulointerstitial nephritis
acute pyelonephritis
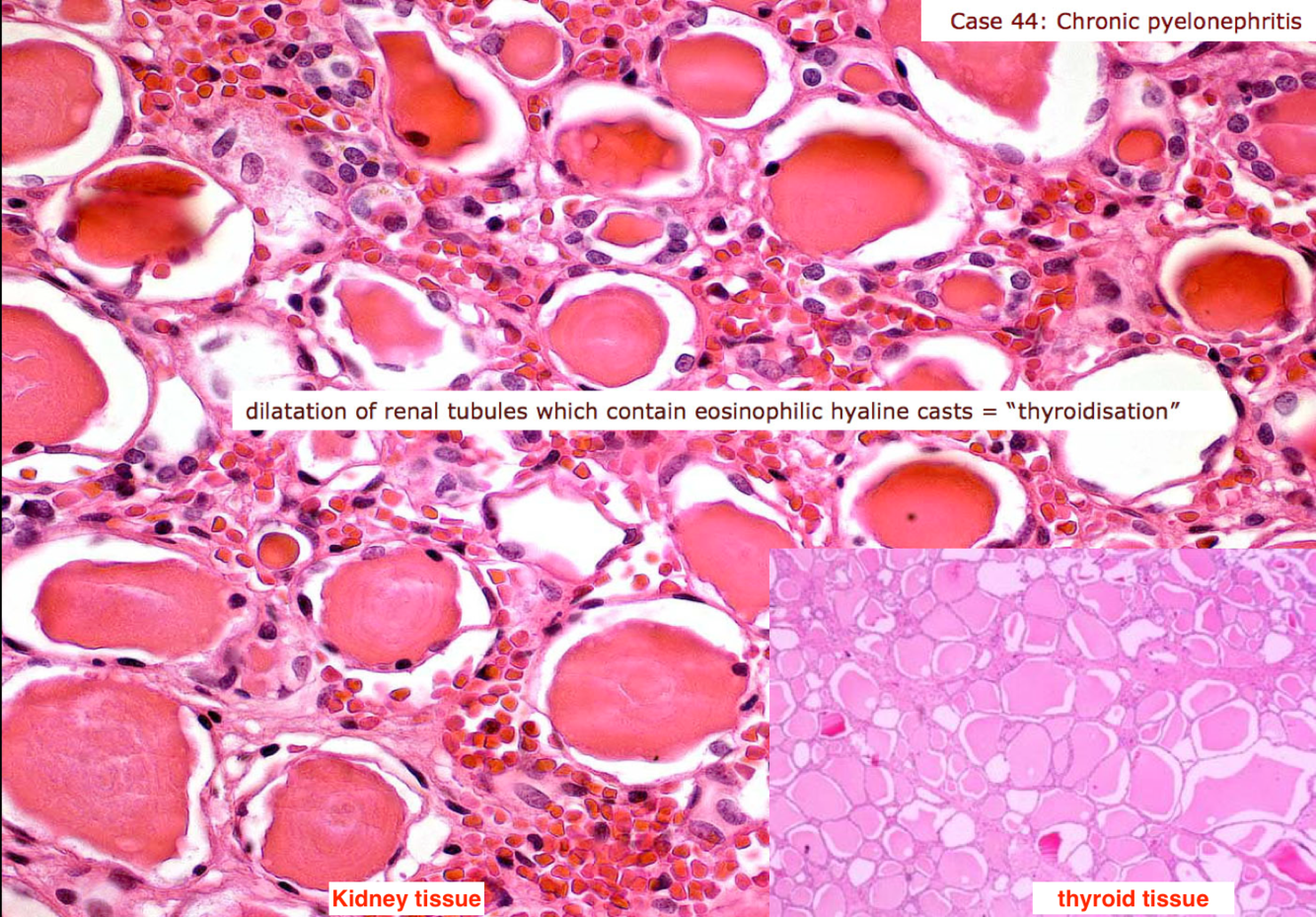
Acute pyeolonephritis can lead to chronic pyelonephritis. What are some of the problems that can occur?
scarring and fibrosis
tubular atrophy and “thyroidization”
leads to hypertension (RBF is 20% of CO)
leads to chronic renal failure

Normal kidney on the left. What is wrong with the left?

Scars. Could be from pyelonephritis, infarct, etc. Need biopsy

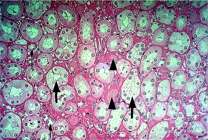
What is going in these tubules?

thyroidization because it looks like thyroid tissue
see picture to see why it is called thryoidization

What is interstitial nephritis?
inflammation that is not caused by bacteria (otherwise we would call it acute pyelonephritis)