Lungworms Flashcards

(69 cards)

1
Q

What are the 3 primary lungworms of ruminants?

A

Dictyocaulus

  • Protostrongylus*
  • Muellerius*

How well did you know this?
1
Not at all
2
3
4
5
Perfectly
2
Q

Dictyocaulus spp. is typically found in what climate?

A

Moist, temperate climates.

Tends to be found around the tropics.

How well did you know this?
1
Not at all
2
3
4
5
Perfectly
3
Q

Name the primary hosts for these species:

  • Dictyocaulus viviparous*
  • Dictyocaulus filaria*
  • Dictyocaulus arnfieldi*
A
  • D. viviparous
    • cattle, bison, camelids, wild ruminants
  • D. filaria
    • sheep, goats, wild ruminants
  • D. arnfieldi
    • donkey, horse
How well did you know this?
1
Not at all
2
3
4
5
Perfectly
4
Q

Is Dictyocaulus viviparous in fact viviparous?

(The answer…may surprise you)

A

Lol Nope.

D. viviparous is, in fact, ovoviviparous.

Recall that this means eggs are laid containing and L1 larva.

How well did you know this?
1
Not at all
2
3
4
5
Perfectly
5
Q

How would you describe these lips (other than sensuous)?

A

Pair of tri-lobe lips.

This is characteristic of Dictyocaulus adults.

How well did you know this?
1
Not at all
2
3
4
5
Perfectly
6
Q

What characteristic can you use to know that you are looking at a Dictyocaulus spp. larva?

A

Brown food granules in intestine.

How well did you know this?
1
Not at all
2
3
4
5
Perfectly
7
Q

Where do adult Dictyocaulus live?

A

Bronchi and bronchioles

Lay eggs, which are coughed up, swallowed, and passed in the feces.

How well did you know this?
1
Not at all
2
3
4
5
Perfectly
8
Q

Describe the larval migration of L3 Dictyocaulus once swallowed.

A

Gut, lymphatics, thoracic duct, blood, heart, lung, pulmonary capillaries, alveoli, bronchioles and bronchi.

How well did you know this?
1
Not at all
2
3
4
5
Perfectly
9
Q

So, like, if Dictyocaulus adults live in the lungs, how do the eggs get into the feces?

A

Eggs are coughed up, swallowed, and passed in the feces.

How well did you know this?
1
Not at all
2
3
4
5
Perfectly
10
Q

List the prepatent periods of each of the Dictyocaulus species.

A
  • D. viviparous
    • 4-10 weeks
  • D. filariae
    • 4-6 weeks in goats, 8 weeks in sheep
  • D. arnfieldi
    • 4-5 weeks
How well did you know this?
1
Not at all
2
3
4
5
Perfectly
11
Q

What do larval Dictyocaulus feed on?

A

Trick question!

The larvae do not feed, but rely on stored food granules in the gut.

How well did you know this?
1
Not at all
2
3
4
5
Perfectly
12
Q

In what scientists are calling “rad” and “totally awesome,” Dictyocaulus larvae rely on this fungal species for dispersion.

A

Pilobolus

How well did you know this?
1
Not at all
2
3
4
5
Perfectly
13
Q

True or False:

The penetration phase with Dictyocaulus tends to be asymptomatic.

A

True

This phase involves L3 migration from the gut to the lungs via the lymphatics, then the blood stream.

How well did you know this?
1
Not at all
2
3
4
5
Perfectly
14
Q

What kind of exudate would you expect to find in the bronchioles of an animal infected with Dictyocaulus during the prepatent phase?

A

Eosinophilic exudate

How well did you know this?
1
Not at all
2
3
4
5
Perfectly
15
Q

What kind of pathology would you expect to see during the patent phase of a Dictyocaulus infection?

A
  • Adults in the upper airway result in severe bronchitis and epithelial damage.
  • Airways blocked by worms.
  • Frothy mucus + cellular exudate.
  • Emphysema and consolidation of lobules.
  • Secondary infection, pneumonia.
How well did you know this?
1
Not at all
2
3
4
5
Perfectly
16
Q

These worms were found in the lung of a cow. What species do you suspect?

A

Dictyocaulus spp.

Whenever you see a mass of worms in the bronchi of a ruminant, you should think Dictyocaulus.

Because this is a cow, the species is probably Dictyocaulus viviparous

How well did you know this?
1
Not at all
2
3
4
5
Perfectly
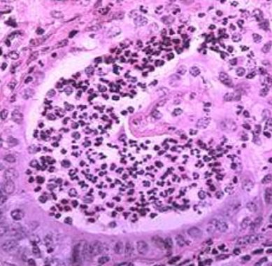
17
Q

Wow look, cytology! And things are happening on it!

A

Dictyocaulus worms in bronchi. Note the inflammatory exudation and cellular infiltration.

How well did you know this?
1
Not at all
2
3
4
5
Perfectly
18
Q

These are lungs. But not normal lungs! What’s going on?

A

Interstitial emphysema.

In this case, this is parasitic bronchitis caused by infection with adult Dictyocaulus worms.

How well did you know this?
1
Not at all
2
3
4
5
Perfectly
19
Q

What happens in the post-patent phase of Dictyocaulus infections?

A

Worms are usually expelled due to the massive immune response.

Worms may not be completely expelled in the case of very large infections.

Some animals may have impaired pulmonary function even after expelling the worms.

How well did you know this?
1
Not at all
2
3
4
5
Perfectly
20
Q

When are Dictyocaulus infections most common?

A

Usually occur in the fall (Sept - Oct)

L3 larvae tend to prefer cool, wet weather

How well did you know this?
1
Not at all
2
3
4
5
Perfectly
21
Q

What factors affect the severity of Dictyocaulus infections?

A

Number of parasites

Size and location of parasites

Host response to parasites

How well did you know this?
1
Not at all
2
3
4
5
Perfectly
22
Q

What age of animals tend to be most affected by Dictyocaulus infections?

A

Calves and yearlings

(especially when exposed to a new pasture)

How well did you know this?
1
Not at all
2
3
4
5
Perfectly
23
Q

How can you diagnose Dictyocaulus infections?

A

Clinical signs (however, these are non-specific)

L1 in fresh feces (Baerman method)

Adult worms detected in necropsy

How well did you know this?
1
Not at all
2
3
4
5
Perfectly
24
Q

Why is it important to have a fresh fecal sample when trying to detect Dictyocaulus larvae?

A

You are most likely to find L1 Dictyocaulus larvae in the feces. However, if the animal happens to have a strongyle infection and you let the fecal sample sit for too long, the strongyle eggs may hatch and release their larvae. You may then mistake these larvae for Dictyocaulus.

GET FRESH POO!

How well did you know this?
1
Not at all
2
3
4
5
Perfectly
25
What is the name of this test, and what is it used for?
Baerman test. Used to collect motile larvae from a FRESH fecal sample. Editor's note: this test REALLY looks like a poop martini.
26
What species is this?
L1 larva of *Dictyocaulus viviparous*. Note the food granules and rounded head.
27
What species is this?
L1 larva of *Dictyocaulus filaria*. Note the cephalic button and blunt tail.
28
Describe the vaccine for *Dictyocaulus* in ruminants.
Uses irradiated larvae, administered orally. This vaccine is not available in the US. INTERESTING STUFF: This was the first vaccine developed against a parasite.
29
What is the definitive host of *Dictyocaulus arnfieldi*?
Donkeys Tends to be most pathogenic in horses
30
Describe the life cycle of *Dictyocaulus arnfieldi*
Adults mate and lay eggs in the bronchi. Eggs coughed up and swallowed. Hatch to L1 in the GI tract or a few hours after defecation. L1 molts to L3 within a week. L3 ingested by host, migrates to bronchi via lymphatics. Pre-patent period: 4-5 weeks.
31
How would you diagnose a *Dictyocaulus* infection?
Clinical signs. L1 in bronchial washings. L1 in feces (make sure to get FRESH feces) Note: *Dictyocaulus arnfieldi* infections are often not patent in horses and ponies.
32
You find this egg in FRESH feces from a horse. What species do you suspect?
This is *Dictyocaulus arnfieldi*. It's difficult to distinguish the species from the egg alone (except in *D. filaria*). You might guess that this was a *Dictyocaulus* based on the host, symptoms, and the fact that this is a larvated egg.
33
You find this specimen in the fresh feces of a horse. What characteristics can you use to help identify it?
Host species, sheathed L2, food granules in gut. This is *Dictyocaulus arnfieldi*
34
How could you prevent and control *D. arnfieldi* infections?
Keep donkeys and horses separated. Quarantine new animals and treat as needed. The BIG 3 anthelmintics are effective as treatment.
35
What kind of life cycle does *Protostrongylus* sp. have?
Indirect Oviviviparous. Eggs hatch in lungs -\> L1 in fresh feces -\> L1 infects snail intermediate host -\> IH ingested by definitive host -\> L3 migrates through lymph nodes then to heart and lungs.
36
List the intermediate and definitive host of *Protostrongylus*
IH: snail DH: small ruminants (sheep and goats)
37
What is the prepatent period of *Protostrongylus*?
1 month
38
There is an additional mode of infection for *Protostrongylus* other than ingestion. What is it?
Transplacental transmission. Larvae migrate to the fetal liver. After birth, they migrate to the lung.
39
*Protostrongylus* is a major problem in this wildlife species.
Bighorn sheep.
40
What are the clinical signs associated with *Protostrongylus* infection?
Local inflammation and exudate in the bronchioles. Epithelial desquamation in alveoli and bronchioles. Lobular pneumonia. Infections are usually subclinical
41
Identify this L1
*Protostrongylus* Note the sharp, tapered tail.
42
Name the intermediate and definitive hosts of *Muellerius* sp.
IH: terrestrial snails DH: small ruminants
43
What are the prepatent and patent periods of *Muellerius*?
Prepatent: 4-6 weeks Patent: 5-6 years
44
What are the clinical signs of heavy *Muellerius* infections?
Bronchopneumonia Cough Fibrinous pleuritis
45
How would you diagnose a *Muellerius* infection?
Baerman on fresh feces to identify L1
46
Identify this L1 (arrow is pointing to a diagnostic characteristic)
*Muellerius* Note the dorsal spine on the tail
47
Tissue from a lung infected with *Muellerius*. Describe the lesions.
Sub-pleural granulomatous nodules Young nodules contain adults, eggs, and L1 Older nodules calcified
48
Identify these larvae and name the features you used to identify them.
Left: *Dictyocaulus filaria* * Cephalic button on head, food granules in gut, tail ends in sharp point Middle: *Protostrongylus* * Long tail tapers to a point Right: *Muellerius* * Tail has an undulating tip and a dorsal spine.
49
What drugs would you use to treat *Protostrongylus* and *Muellerius* infections?
Avermectins Benzimidazoles Levamisole
50
What is the definitive host of *Metastrongylus*?
Pigs
51
What is the distinct morphological feature of adult *Metastrongylus* males?
Reduced copulatory bursa
52
What is the intermediate host of *Metastrongylus*?
Earthworms
53
How does a pig become infected with *Metastrongylus*?
Ingestion of earthworm containing an L3 larva. L3 then migrates through the lymphatics to the blood and then the lungs. Prepatent period: 3-4 weeks.
54
What stage of *Metastrongylus* is shed into the environment?
L1 in eggs
55
*Metastrongylus* can live for years inside its earthworm intermediate host. Which other lungworm can do this?
*Syngamus*
56
What symptoms are associated with infection with *Metastrongylus* larvae and adults?
Larvae: petechial hemorrhages in lungs Adults: bronchiolar obstruction, secondary pneumonia
57
Why is fecal flotation not a reliable method for detection of *Metastrongylus*? What method should you use instead?
Eggs do not float well, which can result in false negatives. Some suggest floating with zinc or magnesium sulfate instead of sugar. Clinical signs are suggestive. Adults can be detected at necropsy.
58
Identify this egg found in the fresh feces of a pig.
*Metastrongylus* Note the thick shell and larvated egg. Do not confuse with *Ascaris*, which is not larvated at this point in time.
59
You find these in the bronchioles of a pig at slaughter check. What species is this?
*Metastrongylus*
60
How would you prevent *Metastrongylus* infections?
Prevent access of hogs to earthworms by: raising on concrete or in confinement use nose rings to prevent rooting in soil
61
What can you use to treat *Metastrongylus* infections?
Fenbendazole Ivermectin Levamisole
62
What is the definitive host of *Crenosoma vulpis*?
Canines and raccoons
63
What is the intermediate host of *Crenosoma*?
Gastropods
64
What is the prepatent period for *Crenosoma vulpis*?
19 days
65
Which stage of *Crenosoma* is infective?
L3 in intermediate host
66
Identify this species
*Crenosoma vulpis* Note the crenations in the cuticle (hence the species name)
67
How would you identify a *Crenosoma* infection?
History of outdoor exposure Clinical signs Detection of L1 in feces or sputum (don't confuse with *Filaroides*) Broncho-interstitial pattern on radiograph
68
How would you distinguish *Crenosoma* L1's from *Filaroides*?
*Crenosoma* does not have a kink in the tail
69
What drugs would you use to treat *Crenosoma vulpis*?
Fenbendazole Milbemycin oxime Prednisone (for inflammation) Note: these are extra-label usage