Malignancy Flashcards

(30 cards)

1
Q

Name 5 benign bone tumours/disorders?

A
  • osteochondroma
  • osteoid osteoma
  • enchondroma (more common in young adults)
  • bone cysts (more common in children)
  • fibrous dysplasia
How well did you know this?
1
Not at all
2
3
4
5
Perfectly
2
Q

Name the 3 primary malignant bone tumours?

A
  • osteosarcoma
  • Ewing’s sarcoma
  • chondrosarcoma
How well did you know this?
1
Not at all
2
3
4
5
Perfectly
3
Q

Name 6 tumours that are most likely to metastasise to bone.

A
  • breast
  • lung
  • prostate
  • renal
  • thyroid
  • bowel
How well did you know this?
1
Not at all
2
3
4
5
Perfectly
4
Q

Name 3 haemopoietic diseases?

A
  • myeloma
  • leukaemia
  • lymphoma
How well did you know this?
1
Not at all
2
3
4
5
Perfectly
5
Q

What 3 general conditions can present with a bone lesion?

A
  • infection of the bone
  • metabolic bone disease
  • cancer of the bone
How well did you know this?
1
Not at all
2
3
4
5
Perfectly
6
Q

Where do secondary bone metastases tend to be found?

A
  • in the central skeleton and proximal limbs (hips and shoulders)
How well did you know this?
1
Not at all
2
3
4
5
Perfectly
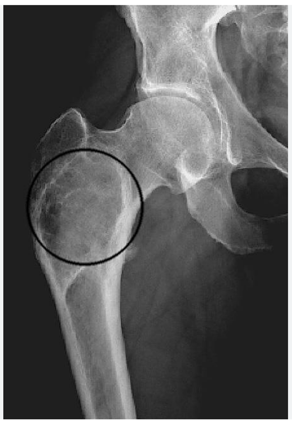
7
Q

Lytic lesion on x-ray (suggestive of malignancy)…

A
How well did you know this?
1
Not at all
2
3
4
5
Perfectly
8
Q

Fibrous dysplasia (x-ray, what is it)…

A
  • x-ray: ‘ground-glass’ appearance
  • fibrous dysplasia: not strictly a bone tumour, caused by a developmental abnormality of bone with numerous fibrous proliferations
How well did you know this?
1
Not at all
2
3
4
5
Perfectly
9
Q

What blood tests should be done in suspected malignancy of the bone?

A
  • FBC: may show anaemia of chronic disease
  • LFTs: to see if liver metastases are present
  • Calcium profile: elevated in generalised malignancy
  • ALP: elevated in Pagets
  • CRP/ESR: elevated in infection or malignancy
  • (Prostate-specific antigen (PSA): elevated in prostate malignancy)
  • (Carcinoembryonic antigen (CEA): elevated in bowel carcinoma)
How well did you know this?
1
Not at all
2
3
4
5
Perfectly
10
Q

Apart from x-rays and blood tests, what other investigations can be done if malignancy is suspected?

A
  • Isotope bone scan: both malignancy and infection will show as hot
  • CT: used to confirm osteoid osteoma
  • MRI: can detect early metastatic lesions (before x-rays), also used to see the extent of tumours
  • Biopsy: provides good detail of the tumour
How well did you know this?
1
Not at all
2
3
4
5
Perfectly
11
Q

What is an enchondroma?

A
  • a benign bone lesion of cartilaginous origin
  • enchondromas develop from aberrant cartilage (chondroma) left within the bone (‘en’)
  • usually found within the metaphysis of long bones (femur or humerus)
How well did you know this?
1
Not at all
2
3
4
5
Perfectly
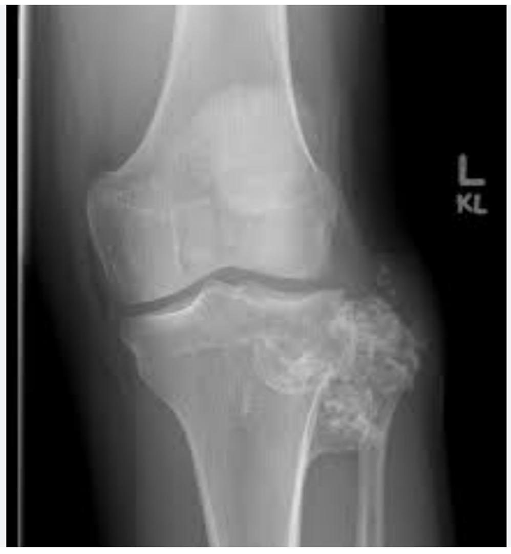
12
Q

Enchondroma and osteochondroma diagram…

A
How well did you know this?
1
Not at all
2
3
4
5
Perfectly
13
Q

What is an osteochondroma?

A
  • the most common benign bone lesion
  • develops from aberrant cartilage remaining on the surface of the cortex
How well did you know this?
1
Not at all
2
3
4
5
Perfectly
14
Q

What is an osteoid osteoma?

A
  • painful, self-limiting benign bone lesion
  • caused by an accumulation of osteoblasts located in the cortex of bone
How well did you know this?
1
Not at all
2
3
4
5
Perfectly
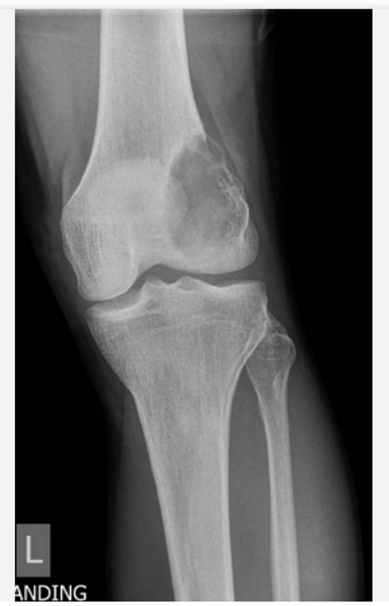
15
Q

X-ray and CT image of osteoid osteoma…

A
How well did you know this?
1
Not at all
2
3
4
5
Perfectly
16
Q

What is an osteosarcoma?

A
  • Paget disease or radiation can predispose
  • the tumour is highly malignant and secretes osteoid
  • local spread occurs quickly, destroying the cortex, but it may also metastasise
  • (most common in knee, proximal humerus, femur)
17
Q

What is the treatment for an osteosarcoma and what is the treatment for a chondrosarcoma?

A
  • BOTH: MDT approach important
  • Osteosarcoma: chemotherapy, potentially amputation
  • Chondrosarcoma: wide excision sometimes, potentially amputation
18
Q

What is a chondrosarcoma?

A
  • occurs in older patients (>40yrs)
  • symptoms: pain and a lump
  • many arise from previous chondromas that have undergone malignant change
  • x-ray: ‘fluffy popcorn’ calcification
19
Q

Mechanism of long-bone metastasis…

20
Q

What is the conservative management for secondary bone tumours?

A
  • Analgesia and splinting
  • radiotherapy / chemotherapy
  • IV bisphosphonates: to inhibit osteoclastic resorption of bone
21
Q

What is the surgical management for secondary bone tumours?

A
  • intramedullary fixation of long bones for fracture or impending fracture
  • joint arthroplasty
  • spinal cord decompression and stabilisation for acute cord compression
22
Q

What is the prognosis for secondary bone tumours?

A
  • prognosis depends on the primary tumour
23
Q

What is lymphoma?

A
  • Lymphoma is a malignant haematopoietic tumour, usually occurring secondarily in bone
  • note: primary bone lymphoma has better prognosis
24
Q

What is haematopoiesis?

A
  • the process through which the body manufactures blood cells
  • it occurs within the hematopoietic system (includes organs and tissues such as the bone marrow, liver, and spleen)
25
What investigations should be done for suspected lymphoma?
- X-ray: shows a long lesion with mottled bony destruction - Isotope bone scan: excludes further lesions - Biopsy: confirms diagnosis - (most commonly affects the pelvis, spine, and ribs)
26
What is myeloma?
- a tumour, lesions are due to a plasma cell malignancy - usually found in spine, ribs, or clavicle - note: poor prognosis
27
What investigations should be done for suspected myeloma?
- X-ray: shows classic punched-out lytic lesions - ESR: high - Urinary analysis: Bence-Jones proteins (light-chain proteins)
28
What is leukaemia?
- a malignancy of white blood cells - most common malignancy of childhood - 1/3 of patients have bone pain - Leukaemia can present with an acutely hot swollen joint (very similar to septic arthritis)
29
Ewing's sarcoma (symptoms, investigations, x-ray)...
- occurs in adolescents (rare) - symptoms: pain, eythema, mass along long bone diaphysis, systemic symptoms (fever, anaemia) - investigations: raised ESR and WCC, x-ray - x-ray shows onion skin periosteal reaction - (histology: small-cell sarcoma)
30
Osteosarcoma (symptoms, x-ray)...
- most common primary bone malignancy, occurs mainly in adolescent males - symptoms: warm, painful swelling, most commonly at knee - x-ray: periosteal reaction with codman's triangle and a sunburst appearance