Maternal Physio - GIT Flashcards

(12 cards)

1
Q

Organs displaced upward by the enlarging uterus

A

The stomach, appendix, and intestines

How well did you know this?
1
Not at all
2
3
4
5
Perfectly
2
Q

Appendix position and implication

A
  • Displaced upward and laterally
  • Pain from appendicitis may occur much higher in the abdomen because the gravid uterus pushes the appendix up
How well did you know this?
1
Not at all
2
3
4
5
Perfectly
3
Q

Gastric emptying time

  • During pregnancy
  • During labor
A
  • During pregnancy
    • Unchanged
  • During labor
    • Prolonged during labor and administration of analgesic agents
How well did you know this?
1
Not at all
2
3
4
5
Perfectly
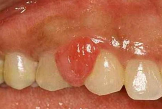
4
Q

Gum changes

A
  • May be hyperemic and softened
  • Epulis of pregnancy
    • focal, highly vascular swelling of gums but regresses spontaneously after delivery
How well did you know this?
1
Not at all
2
3
4
5
Perfectly
5
Q

Effects of progesterone in GIT

A
  • ↓ lower esophageal sphincter tone → heartburn
  • ↓ bowel peristalsis → constipation → hemorrhoids

Memory aid:

  • Progesterone has a somehow relaxing effect
    • Relaxed ES tone
    • Relaxed bowel → ↓ bowel peristalsis
How well did you know this?
1
Not at all
2
3
4
5
Perfectly
6
Q

Mechanism for hemorrhoid development

A

Constipation and elevated pressure in veins below the level of the uterus

How well did you know this?
1
Not at all
2
3
4
5
Perfectly
7
Q

Liver enzyme(s) with increased activity

A
  • Alkaline phosphatase activity in serum almost doubles during pregnancy
  • Total albumin
  • Serum globin
How well did you know this?
1
Not at all
2
3
4
5
Perfectly
8
Q

Liver enzyme(s) with decreased activity

A
  • ALT
  • AST
  • GGT
  • Bilirubin
  • Serum albumin
How well did you know this?
1
Not at all
2
3
4
5
Perfectly
9
Q

Albumin levels in pregnancy

A

Serum albumin ↓, but total albumin ↑ because of a greater volume of distribution

How well did you know this?
1
Not at all
2
3
4
5
Perfectly
10
Q

Liver size in pregnancy

A

Remains the same

How well did you know this?
1
Not at all
2
3
4
5
Perfectly
11
Q

Why are pregnant women prone to cholestasis?

A
  • Progesterone inhibits CCK-mediated smooth muscle stimulation → impairs gallbladder contraction → increased residual volume and cholestasis
  • Estrogen inhibits intraductal transport of bile acids → contributes to cholestasis
  • Memory aid:*
  • Progesterone – relaxing effect – inhibits CCK – impaired GB contraction
How well did you know this?
1
Not at all
2
3
4
5
Perfectly
12
Q

Cholestasis with increased lipids and cholesterol leads to

A

Higher incidence of gallstones, cholecystitis, and biliary obstruction

How well did you know this?
1
Not at all
2
3
4
5
Perfectly